El pericondrio es un tejido especializado que rodea al cartílago en el cuerpo. Está compuesto por células que se asemejan a los fibroblastos, que son responsables de producir y mantener…
La subunidad estructural y funcional de la fibra muscular es la miofibrilla. Una fibra muscular está repleta de miofibrillas. Las miofibrillas son visibles en los preparados histológicos favorables y se…
Las fibras musculares esqueléticas in vivo difieren en su diámetro y en su color natural. Las reacciones histoquímicas basadas en la actividad enzimática oxidativa, específicamente las reacciones de la succínico…
La fibra muscular se refiere a la célula estructural básica del tejido muscular. Estas fibras son células alargadas y multinucleadas que componen los músculos esqueléticos, cardíacos y lisos en el…
El músculo tiene a su cargo el movimiento del cuerpo y de sus partes, y los cambios en el tamaño y la forma de los órganos internos. El tejido muscular…
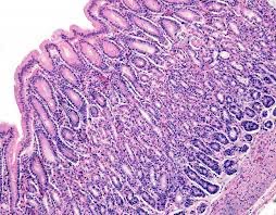
La capa interna del estómago, conocida como mucosa gástrica, desempeña un papel fundamental en la función digestiva y protectora del órgano. Está compuesta por diferentes tipos de células epiteliales columnares,…
La pared del estómago está compuesta por cuatro capas distintas que desempeñan funciones específicas: la mucosa, la submucosa, la muscular propia y la serosa. Cada una de estas capas tiene…
Las manifestaciones clínicas de la cirrosis son el resultado directo de los cambios patológicos que ocurren en el hígado y reflejan la gravedad de la enfermedad hepática. Estas manifestaciones clínicas…
Las funciones del hueso incluyen soporte mecánico, transmisión de las fuerzas generadas por los músculos, protección de las vísceras, homeostasis mineral y formación de un nicho para la producción de…
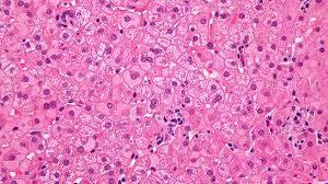
Los hepatocitos, las células principales del hígado, forman los cordones celulares anastomosados del lobulillo hepático. Estas células son poligonales y grandes, con dimensiones que oscilan entre 20 y 30 micrómetros…