La vagina, componente esencial del sistema reproductor femenino, se presenta como un conducto tubular y muscular que conecta el cuello uterino con la abertura externa, conocida como introito vaginal. Anatómicamente, se sitúa entre la uretra y el ano en la región perineal.
Su estructura abarca varias capas de tejido, incluyendo músculos, tejido conectivo y membranas mucosas. La mucosa vaginal, una capa interna, se lubrica naturalmente, facilitando la penetración durante la actividad sexual y contribuyendo a mantener la salud vaginal.
Cumple diversas funciones vitales. Durante el parto, se convierte en el canal por el cual el bebé se desplaza desde el útero hacia el exterior del cuerpo. Asimismo, durante las relaciones sexuales, facilita la introducción de espermatozoides en el tracto reproductivo femenino, permitiendo la posibilidad de fertilización.
En el ámbito menstrual, actúa como el canal de salida para el flujo menstrual procedente del útero. Además, desempeña un papel importante en las experiencias sexuales y el placer sexual, dado que contiene numerosas terminaciones nerviosas y se beneficia de una lubricación natural que favorece la comodidad durante la penetración.
La higiene vaginal es esencial para prevenir infecciones, aunque debe manejarse con moderación para no perturbar el equilibrio bacteriano natural. La salud de este órgano también se ve influenciada por cambios hormonales, como los que ocurren durante el ciclo menstrual, el embarazo y la menopausia.
Es importante destacar que la anatomía vaginal puede variar entre mujeres en términos de longitud, flexibilidad y elasticidad, lo cual es completamente normal.

Histología de la vagina
Es un tubo fibromuscular que comunica los órganos genitales internos con el medio externo. Una vaina fibromuscular que se extiende desde el cuello del útero hasta el vestíbulo vaginal, el cual corresponde a la región situada entre los labios menores.
En una mujer virgen, el orificio de entrada vaginal puede estar ocluido por el himen, que es un repliegue de la membrana mucosa que se proyecta dentro de la luz vaginal. El himen o sus restos derivan de la membrana endodérmica que separaba la vagina en desarrollo de la cavidad del seno urogenital definitivo del embrión.
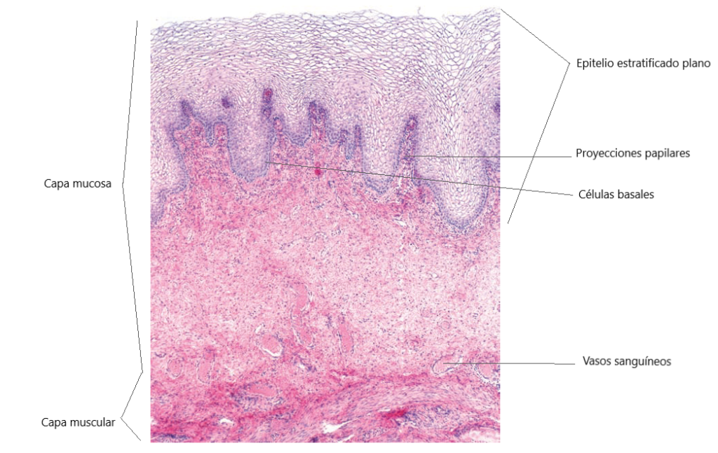
La pared vaginal está compuesta por los siguiente estratos:
- Una capa mucosa interna que posee pliegues o rugosidades transversales abundantes y está revestida por epitelio estratificado plano. Las papilas de tejido conjuntivo de la lámina propia subyacente empujan el revestimiento epitelial.
- Una capa muscular intermedia, que está organizada en dos estratos de músculo liso entremezclados: uno circular interno y otro longitudinal externo. El estrato externo se continúa con la capa correspondiente en el útero y es mucho más grueso que el estrato interno. A la altura del introito vaginal, hay fibras musculares estriadas que pertenecen al músculo bulboesponjoso.
- Una capa adventicia externa, que está organizada en un estrato interno de tejido conjuntivo denso contiguo a la capa muscular y un estrato externo de tejido conjuntivo laxo que se confunde con la adventicia de las estructuras vecinas.
- El estrato interno contiene muchas fibras elásticas que contribuyen a la elasticidad y a la resistencia de la pared vaginal.
- El estrato externo contiene una gran cantidad de vasos sanguíneos y linfáticos, así como nervios.
Posee un epitelio plano estratificado sin estrato córneo y carece de glándulas. En la la luz de la vagina el revestimiento consiste en un epitelio plano estratificado sin estrato córneo. Su superficie está lubricada sobre todo por el moco producido por las glándulas cervicales. Las glándulas vestibulares mayores y menores, ubicadas en la pared del vestíbulo vaginal, producen más moco para lubricar este órgano. En la pared vaginal misma no hay glándulas.
El epitelio sufre cambios cíclicos durante el ciclo menstrual. Bajo la influencia de los estrógenos, durante la fase folicular, las células epiteliales sintetizan y acumulan glucógeno a medida que migran hacia la superficie. Las células se descaman en forma continua, pero cerca de la fase menstrual o durante la misma, la capa superficial del epitelio vaginal puede desprenderse entera.
La lámina propia exhibe dos regiones bien diferenciadas. La región externa justo debajo del epitelio está compuesta por un tejido conjuntivo laxo muy celular. La región más profunda, contigua a la capa muscular, es más densa y podría considerarse una submucosa. Esta región contiene muchas venas de paredes delgadas que simulan tejido eréctil durante la excitación sexual.
Inmediatemante debajo del epitelio hay una gran cantidad de fibras elásticas, algunas de las cuales se extienden dentro de la capa muscular.
La lámina propia contiene muchos linfocitos y leucocitos, en particular neutrófilos, que migran hacia el interior del epitelio. También puede haber nódulos linfáticos solitarios.
Posee pocas terminaciones nerviosas de la sensibilidad general. Las terminaciones nerviosas sensitivas son más abundantes en la tercera parte inferior vaginal asociadas con las sensaciones de dolor y de distensión.

Síguenos en X: @el_homomedicus y @enarm_intensivo Síguenos en instagram: homomedicus y en Treads.net como: Homomedicus

