La hipoglucemia es una condición en la cual los niveles de glucosa en la sangre están anormalmente bajos. La glucosa es la principal fuente de energía para el cuerpo y…
La pseudohiponatremia es una condición en la cual los niveles de sodio en el suero sanguíneo parecen estar bajos, pero en realidad son normales. Esta situación puede ocurrir debido a…
El hematocrito es una medida que se utiliza para determinar la proporción de eritrocitos en la sangre. Se obtiene mediante la centrifugación de una muestra de sangre en un tubo…
El diagnóstico de colangitis esclerosante primaria (CEP) se ha mejorado con el uso cada vez más frecuente de la colangiografía por resonancia magnética (MRCP, por sus siglas en inglés), cuya…
La electrocardiografía es el estudio de las oscilaciones de voltaje que sufre el miocardio durante el ciclo cardíaco. Estas oscilaciones pueden registrarse desde la superficie corporal mediante un aparato denominado…
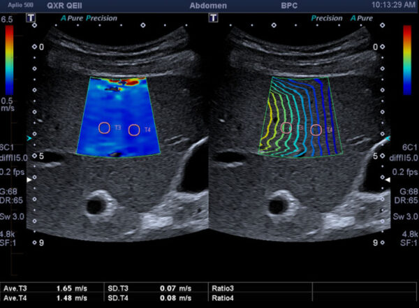
La elastografía surge como una extensión conceptual de la ultrasonografía convencional, pero con un cambio fundamental en el parámetro físico que se desea explorar. Mientras que la ultrasonografía tradicional se…
La monitorización de la presión arterial de forma invasiva implica la inserción de un catéter arterial en una arteria periférica, generalmente en la arteria radial, femoral o braquial. Este catéter…
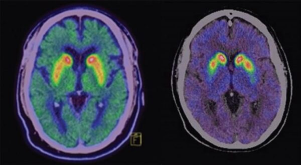
La tomografía por emisión de positrones constituye una modalidad de imagen molecular de alta sensibilidad que permite visualizar procesos fisiológicos y bioquímicos en seres vivos mediante la detección simultánea de…
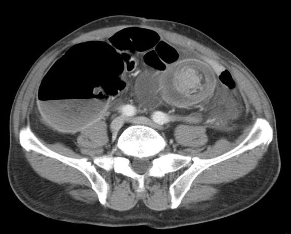
La obstrucción intestinal es una condición médica común que se presenta frecuentemente en el servicio de urgencias. Esta afección puede involucrar tanto el intestino delgado como el colon, siendo responsable…
El ultrasonido al lado del paciente, conocido por sus siglas en inglés como Point-of-Care Ultrasonography (POCUS), representa una innovación trascendental en la práctica clínica moderna, especialmente dentro de la especialidad…