El condrosarcoma es un tipo de cáncer de tejido cartilaginoso. Al igual que otros tipos de cáncer, el condrosarcoma se clasifica en grados para determinar su agresividad y pronóstico. La…
El osteosarcoma es el tipo más común de cáncer óseo primario y se caracteriza por la proliferación anormal de células óseas inmaduras. La clasificación por grados del osteosarcoma se basa…
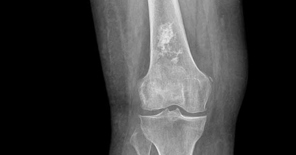
Los condrosarcomas son un tipo de tumor maligno que se caracterizan por su crecimiento lento y la producción de matriz cartilaginosa. Estos tumores se desarrollan principalmente en el esqueleto axial,…
El cáncer de mama en varones es considerado una enfermedad rara debido a su baja incidencia en comparación con las mujeres. Aproximadamente, solo el 1% de todos los casos de…
Los tipos de alteraciones que puede sufrir el ADN se clasifican en los siguientes tipos. Sustituciones de un solo par de bases. Las sustituciones de un solo par de…
Algunos virus de diferentes tipos están asociados a la génesis de neoplasias malignas mediante diversos mecanismos que alteran el ADN o procesos celulares. Tanto virus ARN como ADN se asocian…
El ADN puede ser lesionado por diversas causas que pueden ser endógenas o exógenas. Existen diversas causas constantes e inevitables de origen endógeno que ocasionan lesión global del ADN entre…
La relación entre el virus del papiloma humano y el desarrollo de diversos tipos de cáncer constituye uno de los ejemplos más claros de carcinogénesis inducida por agentes infecciosos en…
El cerebro y la médula espinal, componentes principales del sistema nervioso central, regulan funciones vitales como el análisis de información, la toma de decisiones, la coordinación motora y la integración…
La metástasis es un proceso complejo en el cual las células cancerosas se diseminan desde el sitio primario del tumor a otras partes del cuerpo. Durante este proceso, las células…