20 cosas que debes saber sobre el cáncer de páncreas.
20 cosas que debes saber sobre el cáncer de páncreas.

20 cosas que debes saber sobre el cáncer de páncreas.

  1. El adenocarcinoma ductal infiltrante de páncreas se asocia a una de las tasas de mortalidad más elevadas. Casi todos los pacientes con cáncer de páncreas fallecen en un corto período de tiempo después del diagnóstico.
  2.  El cáncer de páncreas surge como consecuencia de una serie de mutaciones en los genes asociados, algunas hereditarias y otras adquiridas.
  3. Las neoplasia mucinosa papilar intraductal así como las neoplasias quísticas mucinosas pueden evolucionar a adenocarcinoma infiltrante.
  4. La lesión precursora más frecuente del carcinoma pancreático se origina en los conductos pequeños y en los conductillos: la neoplasia intraepitelial pancreática
  5. Se ha identificado neoplasia intraepitelial pancreática microscópica en zonas adyacentes a tumores infiltrantes y por lo que se les relaciona etiológicamente además de que ambas comparten una serie de alteraciones genéticas.
  6. La secuenciación del genoma del carcinoma pancreático ha confirmado cuatro genes son los que con más frecuencia se afectan por las mutaciones somáticas en esta neoplasia son:
    • KRAS. Es el oncogén que con más frecuencia se altera en el cáncer pancreático.
    • CDKNA2A/p16. El gen p16 (CDKN2A) es el gen supresor de tumores más frecuentemente inactivado en el cáncer pancreático, y está suprimido en el 95% de los casos.
    • SMAD4. El gen supresor de tumores SMAD4 está inactivado en el 55% de los cánceres pancreáticos.
    • TP53. El gen supresor de tumores TP53 está inactivado en el 50-70% de los carcinomas pancreáticos.
  7. El cáncer pancreático es una enfermedad que suele presentarse en adultos ancianos y un 80% de los casos aparecen entre los 60 y los 80 años de edad.
  8. La influencia ambiental más importante es el tabaco. La pancreatitis crónica de larga evolución y la diabetes mellitus se asocian también a un aumento del riesgo de cáncer de páncreas.
  9. Un número creciente de defectos genéticos hereditarios aumentan el riesgo de sufrir cáncer de páncreas.
  10. El 60% de los cánceres pancreáticos surgen en la cabeza de la glándula, el 15%, del cuerpo, y el 5%, de la cola; en el 20% de los pacientes, la neoplasia afecta de forma difusa a todo el órgano.
  11. Los carcinomas pancreáticos suelen ser masas mal definidas, duras, estrelladas y de color gris-blanco.
  12. El cáncer pancreático es extremadamente agresivo suelen invadir los tejidos peripancreáticos de forma extensa e induce una intensa reacción del huésped con fibrosis densa.
  13. La mayoría de los carcinomas de la cabeza del páncreas obstruye el colédoco distal.
  14. en su trayecto a través de la cabeza del páncreas por lo que se observa una distensión marcada del árbol biliar y los pacientes presentan ictericia.
  15. Los carcinomas en el cuerpo y la cola del páncreas no afectan a las vías biliares.
  16. Los carcinomas pancreáticos a menudo se extienden a través del espacio retroperitoneal, atrapando nervios adyacentes, produciendo dolor. El cáncer de páncreas puede invadir el bazo, las glándulas suprarrenales, la columna vertebral, el colon transverso y el estómago.
  17. La invasión linfática también se observa con frecuencia en el cáncer de páncreas. Los ganglios linfáticos peripancreáticos, gástricos, mesentéricos, epiploicos y portohepáticos suelen afectarse.
  18. Las metástasis a hígado son frecuentes en el cáncer de páncreas.
  19. Las metástasis a distancia del cáncer de páncreas ocurren, principalmente, en los pulmones y los huesos.
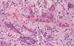
  20. La descripción microscópica del carcinoma pancreático suele mostrar un adenocarcinoma de moderada a escasamente diferenciado que forma glándulas abortivas con secreción de mucina o cúmulos de células y muestra un patrón de crecimiento muy infiltrante y agresivo.

 

 

 

 

Homo medicus

 


 

Guías de estudio. Homo medicus.
Guías de estudio. Homo medicus.
Síguenos en X: @el_homomedicus  y @enarm_intensivo  Síguenos en instagram: homomedicus  y en Treads.net como: Homomedicus  

🟥     🟪     🟨     🟧     🟩     🟦

Aprende administración paso a paso

Administración Desde Cero

ADMINISTRACION DESDE CERO

¿De cuánta utilidad te ha parecido este contenido?

¡Haz clic en una estrella para puntuarlo!

Promedio de puntuación 0 / 5. Recuento de votos: 0

Hasta ahora, ¡no hay votos!. Sé el primero en puntuar este contenido.

Ya que has encontrado útil este contenido...

¡Sígueme en los medios sociales!

Si te fue útil este resumen, compártelo por favor!