Publicado enBiología celular
Esqueletogénesis
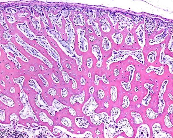
La esqueletogénesis constituye un proceso biológico altamente orquestado que refleja, en su complejidad, la historia evolutiva prolongada de los vertebrados. La razón por la cual distintos linajes celulares participan en…









