Carcinoma del tracto biliar

Carcinoma del tracto biliar

El carcinoma de la vesícula biliar se presenta en aproximadamente un 2 % de los pacientes sometidos a cirugía por enfermedades del tracto biliar. Aunque la incidencia de esta neoplasia,…
Carcinoma hepatocelular

Carcinoma hepatocelular

Las neoplasias malignas hepáticas se clasifican según el tipo celular de donde provienen dentro del hígado, un órgano complejo compuesto por diversos tipos celulares con funciones específicas. Cuando el cáncer…
Mesotelioma

Mesotelioma

El mesotelioma es un tumor primario que se origina en las membranas serosas que recubren ciertos órganos del cuerpo. En aproximadamente el ochenta por ciento de los casos, este cáncer…
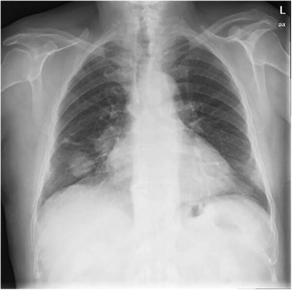
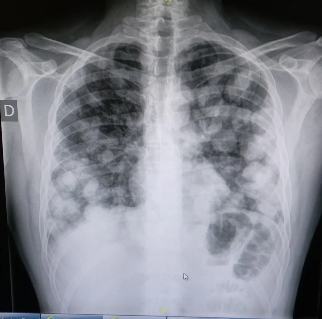
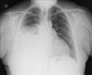
Metástasis pulmonar

Metástasis pulmonar

Las metástasis pulmonares se desarrollan cuando células malignas originadas en un tumor fuera del pulmón se diseminan hacia este órgano a través de vías vasculares, como las arterias o venas,…
Tratamiento del cáncer broncogénico

Tratamiento del cáncer broncogénico

Tratamiento del carcinoma de pulmón no microcítico El tratamiento del carcinoma de pulmón no microcítico (CPNM) debe ser determinado en función del estadio clínico, las condiciones fisiológicas del paciente y…
Diagnóstico de carcinoma broncogénico

Diagnóstico de carcinoma broncogénico

El cáncer de pulmón constituye actualmente la primera causa de mortalidad oncológica a nivel mundial tanto en varones como en mujeres, fenómeno que obedece a una confluencia de factores biológicos,…