¿Qué son las Células de Langerhans?
¿Qué son las Células de Langerhans?

¿Qué son las Células de Langerhans?

Las células de Langerhans son un tipo de células presentadoras de antígenos que desempeñan un papel crucial en la respuesta inmunológica de la piel. Estas células poseen un aspecto dendrítico, lo que les confiere una amplia superficie de contacto y una gran capacidad para interactuar con otras células del sistema inmunitario. Se localizan en la epidermis, la capa más externa de la piel, donde actúan como sentinelas del sistema inmunitario, vigilando constantemente el ambiente en busca de patógenos.

El origen de las células de Langerhans se encuentra en la médula ósea, donde se desarrollan a partir de progenitores hematopoyéticos conocidos como citoblastos linfoides multipotenciales. Estos progenitores tienen la capacidad de diferenciarse en diversas líneas celulares del sistema inmunitario. Una vez que las células de Langerhans se forman, migran a través del torrente sanguíneo y alcanzan la epidermis, donde sufren un proceso de maduración y especialización, convirtiéndose en células inmunocompetentes capaces de realizar funciones clave en la respuesta inmune.

En su función principal, las células de Langerhans captan antígenos que penetran en la piel. Este proceso implica la fagocitosis, donde la célula engloba y destruye patógenos, así como la captura de fragmentos de antígenos que son presentados en su superficie a través de moléculas del complejo mayor de histocompatibilidad de clase II. Esta presentación es fundamental para la activación de linfocitos T, que son células esenciales en la respuesta inmune adaptativa.

Una vez que un antígeno es procesado y presentado, las células de Langerhans inician su migración desde la epidermis hacia los ganglios linfáticos regionales. Durante este trayecto, las células maduran aún más y preparan su carga de antígenos para interaccionar con linfocitos T. Esta interacción es crítica, ya que permite que los linfocitos T reconozcan el antígeno específico y se activen para llevar a cabo una respuesta inmunitaria adecuada, que puede incluir la producción de anticuerpos o la destrucción directa de células infectadas.

Las células de Langerhans, por lo tanto, no solo cumplen una función de vigilancia inmune en la epidermis, sino que también actúan como mediadoras clave entre la inmunidad innata y la adaptativa, conectando la detección temprana de patógenos con la activación de respuestas específicas del sistema inmunológico. Su papel es fundamental para mantener la integridad y la defensa del organismo frente a infecciones cutáneas y otras amenazas ambientales.

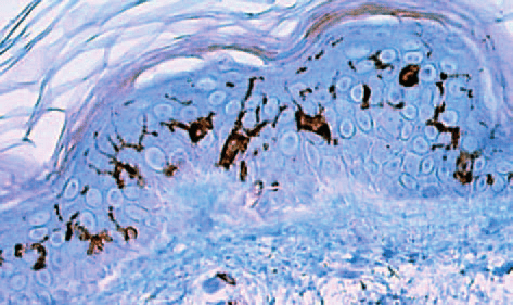
Varios estudios experimentales han establecido que la relación entre las células de Langerhans y otras células en la epidermis de la piel humana normal presenta un índice constante de uno a cincuenta y tres. Este ratio sugiere una distribución equilibrada y específica de las células de Langerhans en comparación con la población de queratinocitos y otras células en la epidermis. Sin embargo, la identificación de las células de Langerhans en cortes histológicos de rutina, como los teñidos con hematoxilina y eosina, es compleja, dado que su morfología y características no permiten una distinción clara.

Al igual que los melanocitos, que son responsables de la pigmentación de la piel, las células de Langerhans no forman uniones desmosómicas con los queratinocitos circundantes. Esto implica que mantienen una relación diferente con la matriz celular, lo que podría influir en su función y en su capacidad para interactuar con el entorno. En los cortes histológicos convencionales, el núcleo de las células de Langerhans se tiñe intensamente con hematoxilina, lo que resalta su prominencia en comparación con otras estructuras celulares. El citoplasma, en contraste, aparece más claro, lo que añade dificultad a su identificación sin técnicas adicionales.

Para abordar esta limitación, se han desarrollado métodos especiales que permiten visualizar las células de Langerhans con mayor claridad. La impregnación con cloruro de oro y la inmunotinción utilizando anticuerpos dirigidos contra moléculas como CD1a son ejemplos de estas técnicas que destacan su presencia en el estrato espinoso de la epidermis. A través de estas metodologías, se pueden observar las prolongaciones dendríticas de las células de Langerhans, que son similares a las del melanocito, lo que sugiere una especialización funcional en la comunicación con otras células del sistema inmunológico y el entorno cutáneo.

El uso de la microscopía electrónica de transmisión revela características distintivas de las células de Langerhans. El núcleo de estas células generalmente presenta indentaciones o escotaduras, lo que resulta en un contorno irregular que se puede utilizar como un criterio de identificación. Además, uno de los rasgos más distintivos son los gránulos de Birbeck, que presentan una morfología característica que recuerda a una raqueta de tenis. Estos gránulos son vesículas relativamente pequeñas que aparecen como bastoncitos con una expansión bulbosa en un extremo, y se ha sugerido que están implicados en la función inmunológica de las células de Langerhans, en particular en el procesamiento y presentación de antígenos.

Las células de Langerhans, al igual que los macrófagos, desempeñan un papel fundamental en la respuesta inmunitaria, actuando como células presentadoras de antígenos. Estas células expresan moléculas del complejo mayor de histocompatibilidad de clase I y clase II, lo que les permite presentar fragmentos de antígenos tanto a linfocitos T CD8 positivos como a linfocitos T CD4 positivos, respectivamente. La capacidad de presentar antígenos a través de estas dos clases de moléculas es crucial para la activación de diferentes subtipos de linfocitos T, facilitando una respuesta inmune adaptativa coordinada.

Además de las moléculas de histocompatibilidad, las células de Langerhans también exhiben receptores de Fc para la inmunoglobulina G. Estos receptores permiten a las células de Langerhans unirse a anticuerpos IgG que se encuentran acoplados a patógenos o a antígenos. Esta interacción no solo facilita la captura y fagocitosis de antígenos, sino que también potencia la respuesta inmunitaria al permitir la activación de otras células inmunitarias y la producción de citocinas proinflamatorias.

Otro aspecto relevante es la expresión de receptores para el componente C3b del complemento. Este componente es parte del sistema del complemento, que juega un papel esencial en la opsonización de patógenos, facilitando su reconocimiento y eliminación por parte de las células del sistema inmunitario. La capacidad de las células de Langerhans para reconocer y unirse a C3b les permite aumentar su eficacia en la captura de antígenos y en la mediación de respuestas inmunitarias.

Las células de Langerhans también presentan cantidades fluctuantes de moléculas CD1a, que son responsables de la presentación de lípidos y glicolípidos a linfocitos T. Esta característica las distingue y las especializa aún más en su función de mediadoras de la respuesta inmune, especialmente en la respuesta a patógenos que no son necesariamente proteicos, como ciertos microorganismos.

En su función como células presentadoras de antígenos, las células de Langerhans juegan un papel crucial en las reacciones de hipersensibilidad retardada. Estas reacciones incluyen condiciones como la dermatitis alérgica de contacto, en las que un antígeno específico provoca una respuesta inmunitaria mediada por células. En este contexto, las células de Langerhans captan antígenos que penetran en la piel, procesan estos antígenos y migran hacia los ganglios linfáticos regionales. Una vez allí, interactúan con linfocitos T, presentando el antígeno procesado y promoviendo su activación. Esta interacción es fundamental para el desarrollo de la respuesta inmunitaria adaptativa, que incluye la proliferación de linfocitos T específicos para el antígeno y la producción de mediadores inflamatorios.

Las muestras de piel obtenidas mediante biopsia de personas infectadas con el virus de la inmunodeficiencia humana, o VIH, así como de aquellos que presentan el complejo relacionado con el SIDA, han revelado la presencia del virus en el citoplasma de las células de Langerhans. Esta observación sugiere que estas células desempeñan un papel significativo en la patología del VIH, actuando como un reservorio para el virus. A diferencia de los linfocitos T, que son el principal objetivo del VIH y son rápidamente destruidos por la infección, las células de Langerhans parecen ser más resistentes a los efectos citopáticos del virus. Esta resistencia podría permitir que el VIH persista en estas células, contribuyendo a la cronicidad de la infección y dificultando la erradicación del virus del organismo.

El mecanismo por el cual las células de Langerhans retienen el VIH a pesar de la infección no está completamente comprendido, pero se ha propuesto que su capacidad para captar y procesar antígenos, así como su naturaleza migratoria, pueden facilitar la persistencia del virus. Dado que estas células están ubicadas en la epidermis, actúan como una primera línea de defensa, lo que las coloca en contacto directo con el virus, permitiendo su internalización. Esta situación plantea preocupaciones sobre la implicación de las células de Langerhans en la transmisión del VIH, ya que pueden facilitar el acceso del virus a las capas más profundas de la piel y a las células del sistema inmunitario subyacente.

Por otro lado, la transformación maligna de las células de Langerhans está relacionada con la histiocitosis de células Langerhans, un grupo de enfermedades caracterizadas por un aumento anómalo y diseminado de estas células. Esta condición se manifiesta en una variedad de formas, que pueden incluir lesiones cutáneas, infiltración de órganos y formación de tumores en localizaciones diversas, como los huesos, incluidos el cráneo y la mandíbula, así como en los pulmones y otros tejidos. La acumulación excesiva de células de Langerhans anormales puede comprometer la función de los órganos afectados, provocando síntomas clínicos que varían según la localización y la extensión de la enfermedad.

La histiocitosis de células Langerhans se presenta como una enfermedad que puede afectar tanto a niños como a adultos, aunque sus manifestaciones clínicas y pronóstico pueden diferir entre estas poblaciones. En algunos casos, la enfermedad puede ser benigna y autolimitada, mientras que en otros puede ser más agresiva y requerir tratamiento médico intensivo, que puede incluir quimioterapia, radioterapia o terapias dirigidas.

 

 

 

Homo medicus

 


 

Guías de estudio. Homo medicus.
Guías de estudio. Homo medicus.

¡Gracias por visitarnos!

 

Fuente y lecturas recomendadas:
  1. Pawlina, W. (2015). Histología: un texto y atlas. Con biología celular y molecular correlacionada (7.a ed.). Wolters Kluwer.  ISBN: 978-84-16004-96-6.
Síguenos en X: @el_homomedicus  y @enarm_intensivo  Síguenos en instagram: homomedicus  y en Treads.net como: Homomedicus  

🟥     🟪     🟨     🟧     🟩     🟦

Aprende administración paso a paso

Administración Desde Cero

ADMINISTRACION DESDE CERO

¿De cuánta utilidad te ha parecido este contenido?

¡Haz clic en una estrella para puntuarlo!

Promedio de puntuación 0 / 5. Recuento de votos: 0

Hasta ahora, ¡no hay votos!. Sé el primero en puntuar este contenido.

Ya que has encontrado útil este contenido...

¡Sígueme en los medios sociales!

Si te fue útil este resumen, compártelo por favor!