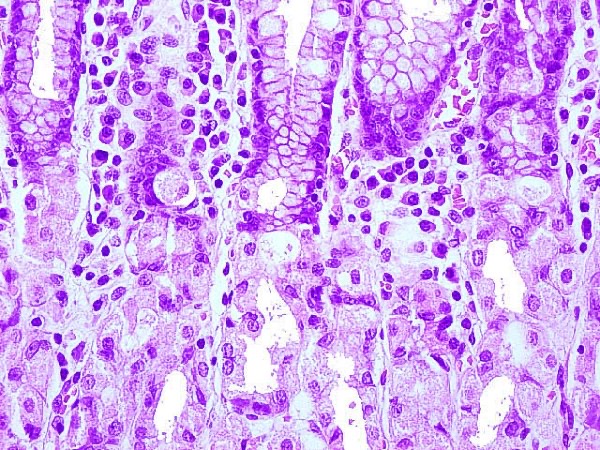
En el revestimiento del estómago, las células progenitoras ubicadas en la base de las glándulas gástricas tienen la capacidad de diferenciarse y reemplazar de manera constante a las células muertas. Este proceso es esencial para el mantenimiento y la renovación del tejido gástrico, así como para el funcionamiento adecuado del sistema digestivo.
En la base de las glándulas gástricas, se encuentran células madre o progenitoras, también conocidas como células madre gástricas. Estas células tienen la capacidad de autorrenovarse y de dar origen a diferentes tipos de células especializadas que componen el revestimiento del estómago.
Las células progenitoras gástricas se dividen y dan lugar a células más especializadas a medida que se desplazan hacia la superficie del revestimiento gástrico. Durante este proceso, las células se someten a cambios genéticos y bioquímicos que las hacen adquirir características específicas y funciones especializadas.
Las células diferenciadas en el revestimiento gástrico incluyen las células principales (oxínticas), las células parietales, las células endocrinas y las células mucosas. Cada tipo celular tiene un papel específico en la secreción de enzimas digestivas, la producción de ácido clorhídrico, la regulación hormonal y la producción de moco protector.
A medida que las células superficiales del revestimiento gástrico se desgastan y mueren, las células progenitoras en la base de las glándulas gástricas se dividen y se diferencian para reemplazarlas. Este proceso de renovación celular es continuo y se lleva a cabo para mantener la integridad y el funcionamiento adecuado del tejido gástrico.
El equilibrio entre la proliferación y la diferenciación de las células progenitoras gástricas está cuidadosamente regulado por señales moleculares y factores de crecimiento. Estos factores controlan la proliferación y la diferenciación de las células progenitoras, asegurando que se produzca una renovación celular adecuada sin excesos ni deficiencias.
La constante diferenciación y reemplazo de las células muertas en el revestimiento gástrico son esenciales para mantener la estructura y la función adecuadas del estómago. Además, este proceso de renovación celular permite la adaptación del revestimiento gástrico a las demandas fisiológicas y las lesiones, así como la reparación de posibles daños. Cualquier alteración en la proliferación o diferenciación celular puede tener implicaciones en la salud y dar lugar a trastornos gástricos.

Síguenos en X: @el_homomedicus y @enarm_intensivo Síguenos en instagram: homomedicus y en Treads.net como: Homomedicus


