Publicado enHistología
Los linfocitos, componentes esenciales del sistema linfático
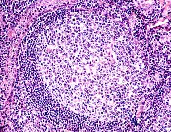
Los linfocitos son componentes esenciales del sistema linfático Los linfocitos circulantes son componentes esenciales del sistema inmunológico y desempeñan un papel crucial en la defensa del organismo contra agentes patógenos.…









