NEUMONÍAS INTERSTICIALES DIFUSAS
NEUMONÍAS INTERSTICIALES DIFUSAS

NEUMONÍAS INTERSTICIALES DIFUSAS

Las neumonías intersticiales comprenden un grupo de enfermedades pulmonares que afectan principalmente el intersticio pulmonar, la red de tejido que rodea los alvéolos. Cada tipo de neumonía intersticial tiene características clínicas, radiológicas y patológicas distintas.

1. Neumonía Intersticial Usual (UIP)

Características Clínicas:

  • Edad y Sexo: Se presenta comúnmente en personas de 55 a 60 años, con una ligera predominancia masculina.
  • Síntomas: Inicio insidioso con tos seca y disnea que puede durar meses o años. La tos seca es un síntoma predominante.
  • Signos Clínicos: Clubbing digital está presente en un 25-50% de los pacientes en el momento del diagnóstico. Se puede escuchar estertores inspiratorios finos y tardíos en la auscultación pulmonar.

Pruebas de Función Pulmonar (PFTs):

  • Defecto Ventilatorio Restrictivo: Los pacientes muestran una disminución en la capacidad pulmonar total.
  • Capacidad de Difusión Pulmonar Reducida: Indicativa de una alteración en la transferencia de gases a través de la membrana alveolocapilar.

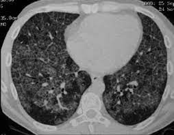
Hallazgos Radiológicos:

  • Tomografía Computarizada de Alta Resolución (TCAR): Muestra opacidades reticulares y lineales, predominantemente en las bases y subpleurales, con cambios de «panal de abejas» (honeycombing). La distribución de la fibrosis es parcheada y no uniforme en el tiempo o el espacio. Las áreas normales de pulmón pueden estar adyacentes a áreas de fibrosis avanzada.

Patología:

  • Histopatología: Se observa pérdida de neumocitos tipo I y proliferación de neumocitos tipo II. La fibrosis se caracteriza por la presencia de «focos de fibroblastos» con fibroblastos y miofibroblastos proliferando activamente. La inflamación es generalmente leve, con acumulación de linfocitos y macrófagos alveolares, pero sin ser una característica prominente.

Pronóstico y Tratamiento:

  • Progresión: La UIP es progresiva e inexorable, con una mediana de supervivencia de aproximadamente 3 años, dependiendo del estadio en el momento de la presentación.
  • Tratamiento: Nintedanib y pirfenidona han demostrado reducir la tasa de declinación de la función pulmonar. La evaluación temprana para trasplante pulmonar es crucial. No se han demostrado beneficios en estudios aleatorizados comparados con pacientes no tratados.

2. Enfermedad Intersticial Asociada a Bronquiolitis Respiratoria (RB-ILD)

Características Clínicas:

  • Edad: Afecta principalmente a pacientes de 40 a 45 años.
  • Síntomas: Similar a la UIP, pero en pacientes más jóvenes. Los pacientes con RB-ILD son casi siempre fumadores.

Pruebas de Función Pulmonar (PFTs):

  • Hallazgos: Resultados similares a los de UIP, pero con anormalidades menos severas.

Hallazgos Radiológicos:

  • TCAR: Muestra un patrón nodular o reticulonodular, con opacidades en vidrio esmerilado más difusas y menos cambio de panal de abejas. También puede mostrar enfisema en lóbulos superiores.

Patología:

  • Histopatología: Acumulación de macrófagos en los espacios alveolares, con pocos focos de fibroblastos y mínima fibrosis. La arquitectura alveolar está preservada.

Pronóstico y Tratamiento:

  • Prognóstico: La remisión espontánea ocurre en hasta el 20% de los pacientes, por lo que la historia natural es incierta. La tasa de supervivencia es claramente mejor que la de UIP, con una mediana de supervivencia superior a 10 años.
  • Tratamiento: La cesación del tabaquismo es esencial. Los corticosteroides pueden ser efectivos, aunque no hay ensayos clínicos aleatorizados que respalden esta idea.

3. Neumonía Intersticial Aguda (AIP)

Características Clínicas:

  • Edad: Abarca un rango amplio de edades, incluyendo pacientes jóvenes.
  • Síntomas: Inicio agudo de disnea seguido de un rápido desarrollo de insuficiencia respiratoria. La mitad de los pacientes reporta un síndrome viral previo.

Hallazgos Radiológicos:

  • TCAR: Muestra consolidación bilateral difusa con áreas de atenuación en vidrio esmerilado. Puede parecerse a la fase organizadora del daño alveolar difuso.

Patología:

  • Histopatología: Cambios patológicos reflejan una respuesta aguda al daño dentro de días a semanas, con fibrosis y mínima deposición de colágeno. No hay cambio de panal de abejas a menos que el proceso persista por más de un mes en pacientes con ventilación mecánica.

Pronóstico y Tratamiento:

  • Prognóstico: Alta mortalidad inicial (50-90% en 2 meses), pero si el paciente sobrevive, la progresión se detiene. La función pulmonar puede volver a la normalidad o quedarse permanentemente afectada.
  • Tratamiento: El cuidado de soporte, incluida la ventilación mecánica, es crítico. El efecto de terapias específicas no está claro.

4. Neumonía Intersticial No Específica (NSIP)

Características Clínicas:

  • Edad: Afecta principalmente a personas de 45 a 55 años, con una ligera predominancia femenina.
  • Síntomas: Inicio con tos y disnea en meses, no años.

Hallazgos Radiológicos:

  • TCAR: Muestra áreas bilaterales de atenuación en vidrio esmerilado y fibrosis. El cambio de panal de abejas es raro.

Patología:

  • Histopatología: La inflamación y fibrosis son variables, pero suelen ser uniformes en el tiempo, sugiriendo una respuesta a una sola lesión. La inflamación linfocítica y plasmocítica es predominante, con fibrosis mínima.

Pronóstico y Tratamiento:

  • Prognóstico: En general, es bueno, con una mediana de supervivencia superior a 10 años, dependiendo del grado de fibrosis al diagnóstico.
  • Tratamiento: Los corticosteroides pueden ser efectivos, aunque no hay estudios clínicos prospectivos que respalden esta terapia.

5. Neumonía Organizada Cryptogénica (COP)

Características Clínicas:

  • Edad: Típicamente de 50 a 60 años, pero con amplia variación.
  • Síntomas: Inicio abrupto, frecuentemente semanas a meses después de una enfermedad similar a la gripe. Los síntomas incluyen disnea, tos seca, fatiga, fiebre y pérdida de peso.

Hallazgos Radiológicos:

  • TCAR: Muestra consolidación subpleural y engrosamiento de las paredes bronquiales, con infiltrados nodulares y en vidrio esmerilado.

Patología:

  • Histopatología: Presencia de cuerpos de Masson (brotes de tejido conectivo laxo) y células inflamatorias llenando alveolos y bronquiolos distales.

Pronóstico y Tratamiento:

  • Prognóstico: Generalmente bueno para aquellos que responden al tratamiento. Las recaídas son comunes.
  • Tratamiento: Respuesta rápida a los corticosteroides en aproximadamente dos tercios de los pacientes.

Un diagnóstico preciso de las neumonías intersticiales es crucial para el manejo adecuado de estas complejas enfermedades pulmonares. Entender la causa y la historia natural de la enfermedad permite a los médicos proporcionar información clara y detallada a los pacientes, así como dirigir el tratamiento de manera más eficaz.

Las neumonías intersticiales abarcan una variedad de trastornos pulmonares que afectan el intersticio, el tejido que rodea los alvéolos. Cada tipo tiene una causa y una progresión características. Por ejemplo, la Neumonía Intersticial Usual (UIP) se asocia con una progresión inexorable y tiene una mediana de supervivencia de aproximadamente tres años, mientras que la Enfermedad Intersticial Asociada a Bronquiolitis Respiratoria (RB-ILD) tiene un pronóstico significativamente mejor, especialmente si el paciente deja de fumar. Un diagnóstico preciso permite a los médicos explicar a los pacientes cómo evoluciona su enfermedad y qué pueden esperar a lo largo del tiempo.

La identificación exacta del tipo de neumonía intersticial permite seleccionar el tratamiento más adecuado. Por ejemplo, en la UIP, los fármacos antifibróticos como nintedanib y pirfenidona pueden ralentizar la progresión de la enfermedad, mientras que en la neumonía organizada cryptogénica (COP), los corticosteroides suelen ser efectivos y pueden inducir una remisión rápida en muchos pacientes. Conocer el diagnóstico correcto evita la administración de tratamientos inadecuados que podrían no solo ser ineficaces, sino también potencialmente perjudiciales.

Además, un diagnóstico preciso es esencial para identificar a aquellos pacientes que podrían beneficiarse de un trasplante pulmonar. En el caso de UIP avanzada, la evaluación temprana para trasplante puede ser crucial para mejorar la calidad de vida y prolongar la supervivencia del paciente.

Una comprensión clara del diagnóstico permite a los médicos educar a los pacientes sobre la naturaleza de su enfermedad, las opciones de tratamiento disponibles y las expectativas de evolución. Esto es fundamental para que los pacientes y sus familias tomen decisiones informadas y se preparen adecuadamente para el futuro. Conocer el curso esperado de la enfermedad también ayuda a gestionar los síntomas y a planificar estrategias para mejorar la calidad de vida.

 

Diagnóstico

El diagnóstico de fibrosis pulmonar idiopática (FPI) es un proceso meticuloso que combina la historia clínica, el examen físico y una serie de pruebas especializadas. Esta enfermedad, una de las formas más comunes de neumonía intersticial difusa, se clasifica como idiopática cuando no se identifica una causa específica que explique la fibrosis pulmonar.

Todo comienza con una evaluación completa del historial médico del paciente. Los síntomas típicos de la FPI, como una tos seca persistente y dificultad para respirar, suelen desarrollarse lentamente durante meses o incluso años. Durante el examen físico, el médico escuchará crujidos inspiratorios finos y tardíos en los pulmones, un hallazgo característico de la fibrosis pulmonar. Estos estertores son un indicio clave de que el tejido pulmonar está siendo reemplazado por fibrosis.

Las pruebas de función pulmonar son esenciales para confirmar el diagnóstico. En la FPI, estas pruebas revelan un patrón restrictivo, lo que significa que hay una reducción en la capacidad total del pulmón y en la capacidad de difusión de gases. Estos resultados reflejan la pérdida de tejido pulmonar funcional debido a la fibrosis.

La tomografía computarizada de alta resolución (TCAR) proporciona información crucial para el diagnóstico. En la FPI, la TCAR muestra un patrón característico con opacidades predominantes en las bases y en los bordes periféricos de los pulmones. También se observan bronquiectasias por tracción y cambios tipo panal de abejas, que indican la presencia de fibrosis avanzada. La combinación de estos hallazgos permite a los médicos confirmar el diagnóstico sin necesidad de una biopsia pulmonar en la mayoría de los casos.

Para asegurarse de que la fibrosis no sea secundaria a una enfermedad reumatológica, se realizan estudios serológicos que incluyen la búsqueda de anticuerpos como el ANA, el factor reumatoide y los anticuerpos anti-péptidos cíclicos. En algunos casos, se pueden analizar anticuerpos adicionales específicos para enfermedades del tejido conectivo.

En las etapas avanzadas de la FPI, es importante evaluar la presencia de hipertensión pulmonar, ya que esta condición puede complicar la enfermedad y afectar significativamente la calidad de vida del paciente. La detección temprana de la hipertensión pulmonar permite una gestión más efectiva de los síntomas y una mejor planificación del tratamiento.


Estudios especiales

El diagnóstico de enfermedades pulmonares intersticiales difusas a menudo requiere la utilización de técnicas invasivas para obtener muestras de tejido y proporcionar un diagnóstico definitivo. Tres de las técnicas más comúnmente empleadas son el lavado broncoalveolar (BAL), la biopsia transbronquial y la biopsia pulmonar quirúrgica, cada una con sus propias indicaciones y limitaciones.

El lavado broncoalveolar (BAL) es una técnica diagnóstica en la que se introduce una solución salina estéril en los bronquios y alveolos a través de un broncoscopio, que luego se aspira para obtener una muestra de células y fluidos del pulmón. Esta técnica puede ser particularmente útil para identificar infecciones, como las causadas por Pneumocystis jirovecii o micobacterias, cuando se encuentran células malignas en el examen citológico. Además, el BAL puede ayudar a diagnosticar neumonía eosinofílica, histiocitosis de células de Langerhans y proteinosis alveolar. Sin embargo, el BAL tiene limitaciones ya que proporciona información sobre el contenido del alveólo y no permite la visualización directa de los cambios estructurales en el tejido pulmonar.

La biopsia transbronquial, que se realiza mediante un broncoscopio flexible, permite obtener muestras de tejido pulmonar a través de instrumentos especializados. Esta técnica es menos invasiva que la biopsia pulmonar quirúrgica y se realiza con relativa facilidad en la mayoría de los pacientes. No obstante, las muestras obtenidas son pequeñas, lo que aumenta el riesgo de error de muestreo y puede complicar la interpretación de los resultados. El artefacto de aplastamiento, que puede ocurrir durante la obtención de la muestra, también puede interferir con el diagnóstico. A pesar de estas limitaciones, la biopsia transbronquial puede confirmar diagnósticos de sarcoidosis, propagación linfangítica del carcinoma, proteinosis alveolar pulmonar, tuberculosis miliar e histiocitosis de células de Langerhans. Sin embargo, en la fibrosis pulmonar idiopática (IPF), la biopsia transbronquial no suele ser suficiente, ya que esta enfermedad requiere un patrón de cambios histológicos en lugar de un hallazgo específico para un diagnóstico definitivo.

La biopsia pulmonar quirúrgica se considera el estándar de oro para el diagnóstico de enfermedades pulmonares intersticiales difusas, incluyendo la IPF. Esta técnica puede realizarse mediante un procedimiento quirúrgico abierto o usando la cirugía toracoscópica asistida por video (VATS). En una biopsia pulmonar quirúrgica, se toman varias muestras de tejido de diferentes áreas del pulmón, incluyendo tejido que parece normal. Este enfoque aumenta la probabilidad de capturar una muestra representativa del tejido afectado y proporciona información crítica sobre el alcance de la fibrosis y la inflamación activa. La biopsia pulmonar quirúrgica puede proporcionar un diagnóstico preciso y también información pronóstica sobre la enfermedad. Se recomienda esta técnica para pacientes menores de 60 años cuando no se ha obtenido un diagnóstico específico basado en características clínicas y radiográficas.

Para pacientes mayores o aquellos con una salud comprometida, se debe considerar cuidadosamente la relación entre los riesgos y beneficios de la biopsia pulmonar quirúrgica. Los riesgos incluyen una morbilidad significativa asociada con el procedimiento, la posibilidad de que no se obtenga un diagnóstico definitivo incluso con la biopsia, y la posibilidad de que, incluso con un diagnóstico específico, no haya un tratamiento efectivo disponible. En estos casos, puede ser preferible optar por terapia empírica o no invasiva en lugar de someter al paciente a una biopsia pulmonar quirúrgica, dadas las circunstancias clínicas individuales.


Tratamiento

El manejo de la neumonía intersticial difusa es un desafío complejo que a menudo requiere la intervención de un neumólogo, dada la variedad de patrones y respuestas a tratamientos entre los distintos tipos de esta enfermedad. La experiencia clínica y las guías de tratamiento sugieren que los neumólogos, especializados en el manejo de enfermedades pulmonares, son los más capacitados para proporcionar una atención adecuada y personalizada a estos pacientes.

Para enfermedades como la neumonía intersticial no específica (NSIP), la neumonía organizadora criptogénica (COP) y el síndrome de bronquiolitis respiratoria asociada a enfermedad intersticial (RB-ILD), los corticosteroides suelen ser efectivos. En estos casos, se recomienda iniciar un ensayo de terapia con corticosteroides, comúnmente prednisona, administrada en dosis de 1-2 mg/kg/día. Este tratamiento debe mantenerse durante un mínimo de 2 meses para evaluar la respuesta. La evidencia clínica muestra que muchos pacientes con estas condiciones responden favorablemente a los corticosteroides, con mejoras significativas en los síntomas y en la función pulmonar.

En contraste, la fibrosis pulmonar idiopática (FPI) presenta un perfil de respuesta diferente. En los pacientes con FPI, la terapia con corticosteroides ha demostrado ser ineficaz y, por lo tanto, no se recomienda. La FPI es una enfermedad progresiva y debilitante en la que los corticosteroides no solo son ineficaces para detener el avance de la fibrosis, sino que también pueden llevar a efectos secundarios significativos sin beneficios claros para el control de la enfermedad.

Para la FPI, los tratamientos aprobados incluyen nintedanib y pirfenidona. Estos agentes están diseñados para ralentizar la progresión de la enfermedad al reducir la tasa de deterioro de la función pulmonar y extender el tiempo hasta la primera exacerbación significativa. Sin embargo, es importante destacar que, aunque estos medicamentos han mostrado eficacia en ralentizar la progresión de la enfermedad, no han demostrado mejorar la supervivencia global de los pacientes. La eficacia de estos tratamientos se mide en términos de ralentización del deterioro funcional, no en una mejora de la esperanza de vida.

El trasplante de pulmón sigue siendo el único tratamiento definitivo para la FPI, con una tasa de supervivencia estimada a 5 años de aproximadamente el 50%. Esta opción se considera cuando la enfermedad ha progresado a un punto donde la calidad de vida del paciente está severamente comprometida y otras terapias han resultado inadecuadas.

Además de las terapias específicas, la atención de apoyo es crucial en el manejo de la neumonía intersticial difusa. El oxígeno suplementario puede ser necesario para mantener niveles adecuados de oxígeno en sangre, especialmente en etapas avanzadas de la enfermedad. La rehabilitación pulmonar también juega un papel fundamental en la mejora de la calidad de vida, ayudando a los pacientes a gestionar sus síntomas, mejorar su capacidad funcional y adaptarse a los cambios en su salud respiratoria.

 

 

Homo medicus

 


 

Guías de estudio. Homo medicus.
Guías de estudio. Homo medicus.

¡Gracias por visitarnos!

 

Fuente y lecturas recomendadas:
  1. Cameli, P., et al. (2020). Long-term follow up of patients with idiopathic pulmonary fibrosis treated with pirfenidone or nintedanib: A real-life comparison study. Frontiers in Molecular Biosciences, 7, 581828. https://doi.org/10.3389/fmolb.2020.581828

    Gibson, C. D., et al. (2020). Comparison of clinical measures among interstitial lung disease (ILD) patients with usual interstitial pneumonia (UIP) patterns on high-resolution computed tomography. Lung, 198(5), 811-818. https://doi.org/10.1007/s00408-020-00352-7

    Raghu, G., et al. (2022). Idiopathic pulmonary fibrosis (an update) and progressive pulmonary fibrosis in adults: An official ATS/ERS/JRS/ALAT clinical practice guideline. American Journal of Respiratory and Critical Care Medicine, 205(5), e18-e47. https://doi.org/10.1164/rccm.202204-0745ST

Síguenos en X: @el_homomedicus  y @enarm_intensivo  Síguenos en instagram: homomedicus  y en Treads.net como: Homomedicus  

🟥     🟪     🟨     🟧     🟩     🟦

Aprende administración paso a paso

Administración Desde Cero

ADMINISTRACION DESDE CERO

¿De cuánta utilidad te ha parecido este contenido?

¡Haz clic en una estrella para puntuarlo!

Promedio de puntuación 0 / 5. Recuento de votos: 0

Hasta ahora, ¡no hay votos!. Sé el primero en puntuar este contenido.

Ya que has encontrado útil este contenido...

¡Sígueme en los medios sociales!

Si te fue útil este resumen, compártelo por favor!