La proteinosis alveolar pulmonar es una enfermedad rara en la que se acumula material lipoproteináceo en los pequeños sacos de aire de los pulmones, conocidos como alveolos. Esta acumulación de material espeso y pegajoso impide que los alveolos realicen su función de intercambio de gases, lo que puede provocar dificultades respiratorias significativas.
La enfermedad puede ser primaria, es decir, ocurrir sin una causa identificable, o secundaria a otras condiciones. En la forma primaria, a menudo se desconoce la razón exacta de la acumulación de este material en los alveolos, pero se cree que podría estar relacionada con un problema en la eliminación del surfactante, una sustancia que ayuda a mantener los alveolos abiertos y facilita la respiración.
En cuanto a las formas secundarias, la proteinosis alveolar puede surgir en el contexto de diversas condiciones subyacentes. Por ejemplo, en personas con sistemas inmunológicos comprometidos, como aquellos con VIH/SIDA, el riesgo de desarrollar esta enfermedad puede ser mayor. También se ha asociado con neoplasias hematológicas, como leucemias y linfomas, que afectan la sangre y pueden interferir con la función pulmonar normal. La inhalación prolongada de ciertos polvos minerales, comunes en industrias como la minería, también puede contribuir a la acumulación de material lipoproteináceo en los alveolos. Además, infecciones pulmonares, como la tuberculosis y algunas infecciones virales, pueden desencadenar la enfermedad.
Manifestaciones clínicas, de laboratorio y de imagen
La proteinosis alveolar pulmonar es una enfermedad rara que se manifiesta principalmente con disnea progresiva, es decir, dificultad para respirar que empeora con el tiempo. Esto ocurre porque el material lipoproteináceo se acumula en los alveolos, las pequeñas bolsas de aire en los pulmones responsables del intercambio de oxígeno y dióxido de carbono. Esta acumulación impide que los alveolos funcionen correctamente, reduciendo la capacidad de los pulmones para oxigenar la sangre y eliminar el dióxido de carbono, lo que provoca una sensación constante de falta de aire.
Cuando se realiza una radiografía de tórax en pacientes con proteinosis alveolar, se pueden observar infiltrados alveolares bilaterales. Estos infiltrados aparecen como áreas difusas de opacidad en ambos pulmones, debido a la acumulación de material en los alveolos.
La tomografía computarizada (TC) del tórax proporciona una imagen más detallada y revela un patrón característico llamado “pavimentación loca”. Este término se refiere a opacidades en vidrio esmerilado, que son áreas de atenuación parcial en los pulmones que parecen borrosas en las imágenes. Además, la TC muestra engrosamiento de los septos interlobulares e intralobulares, que son las delgadas paredes que separan los lobulillos pulmonares. Este engrosamiento es causado por la acumulación de material lipoproteináceo y contribuye al patrón de pavimentación loca.
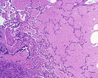
Para confirmar el diagnóstico de proteinosis alveolar, se realiza un procedimiento llamado lavado broncoalveolar (BAL). Durante este procedimiento, un líquido se introduce en los pulmones a través de un broncoscopio y luego se recoge para su análisis. En la proteinosis alveolar, este líquido tiene una apariencia lechosa debido a la alta concentración de material lipoproteináceo. Además, el material lipoproteináceo se tiñe con una técnica llamada ácido-Schiff (PAS), lo que ayuda a visualizarlo bajo el microscopio y confirmar su presencia.
En los casos secundarios de proteinosis alveolar, cuando la enfermedad es consecuencia de otra condición, como una deficiencia inmunológica o una neoplasia hematológica, se puede medir un marcador específico en el suero o en el líquido BAL. Este marcador es el factor estimulante de colonias antigranulocitos-macrófagos (anti-GM-CSF). Un título elevado de anti-GM-CSF es altamente sensible y específico para la enfermedad, ayudando a confirmar el diagnóstico en estos contextos.
Tratamiento
En algunos casos, la proteinosis alveolar puede entrar en remisión espontánea, lo que significa que los síntomas mejoran sin necesidad de intervención médica significativa. Esto puede ocurrir cuando el organismo logra restablecer el equilibrio en la producción y eliminación del surfactante, una sustancia que se acumula en los alvéolos y que es esencial para el funcionamiento pulmonar. Por otro lado, algunos pacientes pueden experimentar una progresión de la enfermedad que lleva a una insuficiencia respiratoria creciente. En estos casos, la acumulación de surfactante continúa afectando el intercambio gaseoso, lo que puede llevar a un deterioro continuo de la función pulmonar.
El tratamiento de la proteinosis alveolar puede incluir varias estrategias. Uno de los enfoques más efectivos es el lavado pulmonar completo periódico, que implica el uso de grandes volúmenes de solución salina para eliminar el exceso de surfactante acumulado en los alvéolos. Este procedimiento se realiza en intervalos regulares y su frecuencia puede variar según la respuesta del paciente y la gravedad de la enfermedad. Otra opción de tratamiento es la administración de GM-CSF, un factor estimulante de colonias de granulocitos, que ayuda a regular la producción y eliminación de surfactante. El GM-CSF puede ser administrado por inhalación o por vía subcutánea, y la respuesta a este tratamiento puede variar entre los pacientes.
A pesar de los beneficios de estos tratamientos, pueden surgir complicaciones, como infecciones pulmonares. El lavado pulmonar y el uso de ciertos medicamentos pueden alterar la flora normal de los pulmones y aumentar el riesgo de infecciones por bacterias oportunistas, como Nocardia, o hongos. Estas infecciones pueden complicar aún más el cuadro clínico y requerir tratamientos adicionales.

Fuente y lecturas recomendadas:
- Kim, C., et al. (2022). Characteristics of hospital admissions for pulmonary alveolar proteinosis: Analysis of the nationwide inpatient sample (2012-2014). BMC Pulmonary Medicine, 22, 365. https://doi.org/10.1186/s12890-022-01979-x
- Salvaterra, E., et al. (2020). Pulmonary alveolar proteinosis: From classification to therapy. Breathe (Sheffield), 16, 200018. https://doi.org/10.1183/20734735.00001820
- Trapnell, B. C., et al. (2020). Inhaled molgramostim therapy in autoimmune pulmonary alveolar proteinosis. New England Journal of Medicine, 383, 1635-1644. https://doi.org/10.1056/NEJMoa1915388

