Cataratas
Cataratas

Cataratas

Las cataratas, definidas como opacidades del cristalino, presentan una notable bilateralidad en su manifestación clínica. Esta condición ocular es reconocida como la principal causa de ceguera a nivel mundial. La catarata relacionada con la edad emerge como el factor preponderante, constituyendo la causa más frecuente de esta afección. Sin embargo, existen diversas etiologías que pueden desencadenar este fenómeno patológico. Entre ellas se incluyen factores congénitos, tales como infecciones intrauterinas provocadas por agentes como la rubéola y el citomegalovirus (CMV), así como errores innatos del metabolismo como la galactosemia.

Asimismo, eventos traumáticos, tanto agudos como crónicos, pueden inducir la formación de cataratas. Además, enfermedades sistémicas como la diabetes mellitus, la distrofia miotónica y la dermatitis atópica se correlacionan con un aumento del riesgo de desarrollar esta afección ocular. La administración de corticosteroides, tanto en formulaciones tópicas, sistémicas o inhaladas, también se asocia con la génesis de cataratas.

La uveítis, caracterizada por la inflamación de la úvea, así como la exposición a la radiación, son factores adicionales que pueden desencadenar el desarrollo de cataratas. Es importante destacar que la opacidad del cristalino es una condición prevalente en individuos mayores de 60 años, siendo este grupo demográfico particularmente propenso a sufrir este trastorno visual.

Además, el hábito de fumar ha sido identificado como un factor de riesgo significativo en la formación de cataratas, exacerbando la patología. Por otro lado, se ha observado que la administración de suplementos multivitamínicos/minerales, así como una dieta rica en antioxidantes, puede ejercer un efecto protector contra el desarrollo de cataratas relacionadas con la edad, al contrarrestar el estrés oxidativo, que se considera un componente crucial en su patogénesis.

 

Manifestaciones clínicas

El síntoma predominante de las cataratas es el borramiento progresivo de la visión, una manifestación que puede afectar significativamente la calidad de vida del individuo. Junto con este síntoma principal, pueden presentarse otros signos y síntomas que reflejan las distintas etapas y características de la catarata.

Entre estos síntomas adicionales se encuentra el deslumbramiento, especialmente en ambientes con una iluminación intensa o durante la conducción nocturna. Este fenómeno puede interferir con la visión y la capacidad de discernir objetos con claridad. Además, puede producirse un cambio en la capacidad de enfoque visual, particularmente la aparición de miopía o dificultades para ver objetos cercanos, lo que puede dificultar actividades cotidianas como la lectura o el trabajo con dispositivos electrónicos.

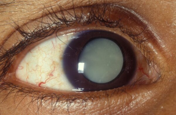
La visión doble monocular es otro síntoma que puede surgir en algunos casos de cataratas, afectando la percepción de profundidad y complicando la realización de tareas visuales precisas. Incluso en etapas tempranas de la catarata, es posible observar la opacidad del cristalino a través de una pupila dilatada, utilizando instrumentos como el oftalmoscopio o la lámpara de hendidura en un examen oftalmológico.

A medida que la catarata progresa y madura, la visualización de la retina se vuelve progresivamente más difícil. Esto se debe a la opacidad creciente del cristalino, que afecta la transmisión de la luz al fondo del ojo. En etapas avanzadas, la reflexión de la luz desde el fondo del ojo desaparece por completo y la pupila puede adquirir un aspecto blanquecino, indicativo del grado avanzado de opacidad del cristalino.

 

Tratamiento

La principal indicación para la cirugía de cataratas es la disminución funcional de la visión, específicamente su efecto en las actividades diarias y el aumento del riesgo de caídas. Este criterio se convierte en el factor determinante para proceder con la intervención quirúrgica. La cirugía de cataratas generalmente implica la extracción del cristalino opacificado, dejando intacta la cápsula posterior del cristalino (técnica extracapsular), lo que proporciona soporte para la inserción de una lente intraocular protésica.

El avance en las técnicas quirúrgicas ha llevado al desarrollo de la facoemulsificación ultrasonica, un método en el cual se fragmenta el núcleo del cristalino mediante ultrasonidos y se utilizan lentes intraoculares plegables. Esto permite realizar la cirugía de cataratas a través de una incisión pequeña sin necesidad de suturas, lo que reduce la tasa de complicaciones postoperatorias y acelera la rehabilitación visual.

Las lentes intraoculares protésicas estándar monofocales pueden corregir la visión cercana o lejana. Sin embargo, se han desarrollado lentes intraoculares premium, como las multifocales, de profundidad de enfoque extendido y acomodativas, que reducen la necesidad de corrección tanto para la visión a distancia como para la cercana.

En regiones en desarrollo, la cirugía manual de pequeña incisión es popular debido a que requiere menos equipamiento. En esta técnica, el núcleo del cristalino se extrae intacto, lo que facilita el procedimiento con recursos limitados.

Después de la cirugía de cataratas, puede ser necesario realizar un tratamiento adicional con láser (meses o años después de la cirugía inicial) si la cápsula posterior del cristalino se opacifica. Se ha investigado el uso de gotas oculares tópicas para disolver o prevenir las cataratas, con resultados prometedores en modelos experimentales. Sin embargo, en la actualidad, la cirugía sigue siendo la única opción de tratamiento para una catarata visualmente significativa.

 

Pronóstico

La cirugía de cataratas ha demostrado ser una intervención rentable en términos de mejora de la supervivencia y la calidad de vida. En el mundo desarrollado, esta cirugía logra mejorar la agudeza visual en un 95% de los casos, lo que refleja su eficacia en la restauración de la función visual. Sin embargo, el restante 5% puede enfrentar desafíos debido a daños retinianos preexistentes o complicaciones quirúrgicas o postoperatorias.

En contraste, en áreas menos desarrolladas, la mejora en la agudeza visual puede no ser tan pronunciada, en parte debido a errores refractivos no corregidos después de la cirugía. Esto resalta la importancia de considerar las condiciones socioeconómicas y los recursos disponibles al evaluar la eficacia de la cirugía de cataratas en diferentes contextos.

Es importante destacar que el uso de ciertos medicamentos puede aumentar el riesgo de complicaciones durante y después de la cirugía de cataratas. Por ejemplo, fármacos como los antagonistas alfa-adrenérgicos para la hiperplasia prostática benigna o la hipertensión sistémica, así como antipsicóticos, han sido asociados con un mayor riesgo de complicaciones durante el período perioperatorio, como el síndrome del iris flácido. La obstrucción del conducto nasolagrimal también aumenta el riesgo de infección intraocular, como la endoftalmitis.

Específicamente, el bloqueador alfa tamsulosina ha sido identificado como el fármaco con mayor riesgo de síndrome del iris flácido. La decisión de suspender los bloqueadores alfa antes de la cirugía de cataratas es objeto de debate, ya que los efectos del fármaco en el iris pueden persistir durante meses o incluso años. Por lo tanto, es crucial que el cirujano esté informado sobre el uso de estos medicamentos por parte del paciente para poder prepararse adecuadamente para posibles complicaciones durante la cirugía.

 

 

Homo medicus


Síguenos en X: @el_homomedicus  y @enarm_intensivo  Síguenos en instagram: homomedicus  y en Treads.net como: Homomedicus  

🟥     🟪     🟨     🟧     🟩     🟦

Aprende administración paso a paso

Administración Desde Cero

ADMINISTRACION DESDE CERO

¿De cuánta utilidad te ha parecido este contenido?

¡Haz clic en una estrella para puntuarlo!

Promedio de puntuación 0 / 5. Recuento de votos: 0

Hasta ahora, ¡no hay votos!. Sé el primero en puntuar este contenido.

Ya que has encontrado útil este contenido...

¡Sígueme en los medios sociales!

Si te fue útil este resumen, compártelo por favor!