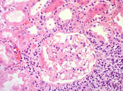
La enfermedad tubulointersticial puede manifestarse de dos formas principales: aguda y crónica. La forma aguda suele estar vinculada principalmente con la exposición a ciertos medicamentos, infecciones o trastornos reumatológicos sistémicos. Estos factores desencadenantes pueden desencadenar una respuesta inflamatoria aguda en los túbulos renales y el tejido intersticial que los rodea.
Cuando se presenta la enfermedad en su forma aguda, es común observar síntomas como edema intersticial, que es la acumulación anormal de líquido en el espacio entre los túbulos renales y los vasos sanguíneos. Además, puede haber infiltración de células del sistema inmunológico, especialmente neutrófilos polimorfonucleares, en el tejido intersticial. Esto puede ir acompañado de una lesión tubular aguda, que se refiere a un daño en las células de los túbulos renales.
Por otro lado, la enfermedad tubulointersticial también puede presentarse en una forma crónica. Esto puede ocurrir como resultado de una enfermedad aguda previa que no se resolvió por completo, lo que lleva a una lesión crónica y a cambios estructurales persistentes en los túbulos renales y el tejido intersticial. Alternativamente, la enfermedad crónica puede desarrollarse gradualmente a lo largo del tiempo sin un factor desencadenante identificable.
En los casos crónicos, se observan cambios como fibrosis intersticial, que es la formación de tejido cicatricial en el espacio entre los túbulos renales, y atrofia tubular, que implica la disminución del tamaño y la función de los túbulos. Además, en la enfermedad crónica, hay una predominancia de células mononucleares en el tejido intersticial, lo que indica una respuesta inflamatoria de larga duración.
Enfermedades Tubulointersticiales Agudas:
- Nefritis intersticial aguda por fármacos: La exposición a ciertos medicamentos puede desencadenar una reacción inflamatoria aguda en los túbulos renales y el tejido intersticial.
- Nefritis intersticial aguda infecciosa: Infecciones bacterianas, virales u fúngicas pueden provocar una respuesta inflamatoria aguda en el riñón.
- Nefritis intersticial aguda asociada a enfermedades sistémicas: Trastornos reumatológicos sistémicos, como el lupus eritematoso sistémico, pueden causar una inflamación aguda en el tejido intersticial renal.
- Nefritis intersticial aguda idiopática: En algunos casos, la causa de la inflamación aguda en los túbulos renales y el tejido intersticial puede no ser identificada.
Enfermedades Tubulointersticiales Crónicas:
- Nefritis intersticial crónica secundaria a enfermedad aguda: Una enfermedad tubulointersticial aguda previa que no se resuelve completamente puede evolucionar hacia una forma crónica con el tiempo.
- Nefropatía tubulointersticial crónica idiopática: En algunos casos, la enfermedad tubulointersticial crónica puede desarrollarse gradualmente sin una causa identificable.
- Nefritis intersticial crónica asociada a enfermedades sistémicas: Algunos trastornos sistémicos, como la enfermedad de Crohn o la espondilitis anquilosante, pueden causar inflamación crónica en los túbulos renales y el tejido intersticial.
- Nefritis intersticial crónica inducida por fármacos: La exposición prolongada a ciertos medicamentos puede provocar daño crónico en los túbulos renales y el tejido intersticial.
- Nefropatía tubulointersticial crónica por enfermedades metabólicas: Algunas enfermedades metabólicas, como la hipercalcemia o la hiperoxaluria, pueden causar daño crónico en los túbulos renales y el tejido intersticial.


