La enfermedad tubulointersticial crónica es un proceso patológico que afecta la estructura y función de los túbulos y el intersticio renal, y una de las causas más comunes de esta condición es la uropatía obstructiva. Esta uropatía se desarrolla a partir de una obstrucción prolongada o recurrente del flujo urinario, lo que provoca un aumento de la presión en el sistema renal y, finalmente, daño a los tejidos renales.
Los factores etiológicos de la uropatía obstructiva son variados y pueden incluir condiciones anatómicas o patológicas. En los hombres, las enfermedades prostáticas, como la hiperplasia benigna de próstata o el cáncer de próstata, son causas frecuentes de obstrucción, ya que pueden comprimir la uretra y dificultar el flujo de orina. En el caso de los riñones únicos, la presencia de cálculos ureterales, o piedras, puede obstruir el uréter, impidiendo la salida de orina y llevando a una dilatación del sistema pielocalicial y a un daño parenquimatoso. Además, los cálculos ureterales bilaterales también representan un riesgo significativo de uropatía obstructiva.
Otras causas de obstrucción incluyen tumores malignos, como el carcinoma de cérvix, colon o vejiga, que pueden invadir o comprimir estructuras urinarias, y tumores retroperitoneales o fibrosis, que alteran la anatomía normal del espacio retroperitoneal y afectan el pasaje de la orina.
Además, el reflujo vesicoureteral es otra condición que puede contribuir al desarrollo de enfermedad tubulointersticial crónica. Esta anomalía, que generalmente se presenta en la infancia, ocurre cuando el esfínter vesicoureteral es incompetente, permitiendo que la orina del revestimiento vesical regrese al uréter y potencialmente al riñón durante la micción. Este reflujo anómalo puede causar que la orina extravase hacia el intersticio renal, generando una respuesta inflamatoria que, si persiste, lleva a la formación de tejido fibroso. Esta fibrosis se traduce en una pérdida progresiva de la función renal y en la incapacidad de los túbulos para realizar sus funciones adecuadamente, lo que agrava el deterioro de la salud renal.
La nefropatía analgésica es una condición renal que puede surgir en individuos que consumen grandes cantidades de medicamentos antiinflamatorios para el control del dolor, tales como paracetamol, aspirina y otros antiinflamatorios no esteroides. Aunque el paracetamol es un posible, aunque menos claro, causante, es el uso prolongado y en dosis elevadas de estos analgésicos lo que se considera esencial para el desarrollo de disfunción renal. Se estima que la ingesta de al menos un gramo diario de estos medicamentos durante varios años es un factor determinante en la aparición de daño renal. Sin embargo, es común que muchos pacientes subestimen su consumo de analgésicos, lo que complica la identificación de esta nefropatía.
Entre los factores de riesgo que predisponen a la nefropatía analgésica se encuentran el sexo femenino, la edad avanzada y la desnutrición. Estos factores pueden influir en la forma en que los riñones metabolizan y responden a los fármacos, aumentando así la susceptibilidad al daño renal.
El mecanismo de acción de los antiinflamatorios no esteroides, incluyendo la aspirina, implica la formación de metabolitos intermedios que pueden inducir necrosis celular. Estos fármacos afectan negativamente el flujo sanguíneo en la médula renal al inhibir la síntesis de prostaglandinas, compuestos que son esenciales para mantener la perfusión renal adecuada. Además, la disminución de los niveles de glutatión, un antioxidante crucial para la detoxificación celular, contribuye al estrés oxidativo en los tejidos renales.
Un aspecto notable de la nefropatía analgésica es que las concentraciones de algunos de estos analgésicos en el vértice de las papilas renales y en la parte interna de la médula pueden ser diez veces superiores a las que se encuentran en la corteza renal. Esta acumulación puede resultar en necrosis papilar, además de provocar inflamación crónica del intersticio y formación de tejido cicatricial. La necrosis papilar puede ser devastadora, ya que afecta la capacidad del riñón para concentrar la orina y puede llevar a un deterioro funcional significativo.
La exposición ambiental a metales pesados, como el plomo, el cadmio, el mercurio y el bismuto, se presenta con poca frecuencia en Estados Unidos, sin embargo, puede inducir enfermedades tubulointersticiales, las cuales afectan la estructura y función de los túbulos y el intersticio renal. La relación entre la exposición a metales pesados y el daño renal se debe a la capacidad de estos metales para interferir en procesos celulares y provocar estrés oxidativo, así como a su acumulación en los tejidos renales.
Las personas en riesgo de desarrollar enfermedades tubulointersticiales inducidas por plomo son aquellas con exposición ocupacional, como soldadores o trabajadores que manejan pintura a base de plomo o gasolina con plomo. Además, el consumo de alcohol destilado en radiadores de automóviles, comúnmente conocido como «whiskey de luna», puede representar una fuente de exposición al plomo, ya que este metal puede lixiviarse del metal del radiador durante el proceso de destilación.
Por otro lado, una forma particular de enfermedad tubulointersticial crónica que afecta desproporcionadamente a los trabajadores agrícolas masculinos en Centroamérica es conocida como nefropatía mesoamericana. Este síndrome se ha convertido en una de las causas más significativas de enfermedad renal crónica en esa región, conduciendo a la enfermedad renal en etapa terminal. Aunque la fisiopatología exacta de la nefropatía mesoamericana aún no se comprende completamente, se cree que una combinación de factores ambientales, ocupacionales y posiblemente genéticos contribuye a su desarrollo.
Las teorías sobre la nefropatía mesoamericana sugieren que la exposición a altas temperaturas y la deshidratación en entornos de trabajo agrícola pueden exacerbar el daño renal, posiblemente en conjunto con la exposición a toxinas ambientales y a condiciones de vida precarias. Este fenómeno resalta la importancia de considerar factores multifactoriales en la patogénesis de las enfermedades renales en poblaciones específicas.
Manifestaciones clínicas
La poliuria puede ser un síntoma significativo en el contexto de daño tubular, especialmente cuando este daño conduce a la diabetes insípida nefrogénica, que se caracteriza por la insensibilidad de los túbulos renales a la vasopresina, una hormona crucial para la regulación de la reabsorción de agua. En condiciones normales, la vasopresina actúa sobre los túbulos colectores para aumentar la reabsorción de agua, pero en casos de daño tubular, esta respuesta puede estar alterada, resultando en una incapacidad del riñón para concentrar la orina y, por lo tanto, en un aumento en la producción de orina diluida.
Además, en algunas personas con defectos que provocan la pérdida de sal, puede ocurrir un estado de depleción del volumen. Este fenómeno es menos común, pero puede resultar en desequilibrios en la homeostasis del sodio y el agua, lo que contribuye a la poliuria.
La hiperpotasemia, o aumento de los niveles de potasio en la sangre, también puede ser una complicación asociada con la disminución de la tasa de filtración glomerular (TFG) y la resistencia distal de los túbulos a la aldosterona. La aldosterona es una hormona que promueve la excreción de potasio y la reabsorción de sodio en los túbulos distales. Cuando la TFG es baja y la respuesta a la aldosterona está comprometida, la excreción de potasio puede verse afectada, lo que lleva a una acumulación en el torrente sanguíneo.
La acidosis tubular renal es una alteración común que puede desarrollarse a través de tres mecanismos principales. Primero, puede haber una reducción en la formación de amoníaco en los túbulos proximales, lo que es esencial para la excreción de protones y el mantenimiento del equilibrio ácido-base. En segundo lugar, la incapacidad para reabsorber bicarbonato en los túbulos proximales puede resultar en una pérdida de esta base fundamental, contribuyendo así a la acidosis. Por último, la incapacidad de los túbulos distales para secretar protones también es crucial para la acidificación de la orina, lo que, de no llevarse a cabo adecuadamente, exacerba la acidosis metabólica.
En el contexto de la enfermedad tubulointersticial, se observa con más frecuencia acidosis tubular renal tipo 1 o tipo 4. Sin embargo, la exposición a metales pesados puede causar un daño directo a los túbulos proximales, lo que resulta en una acidosis tubular renal proximal, también conocida como tipo 2. Este tipo de acidosis se caracteriza por la incapacidad de los túbulos proximales para realizar funciones clave, lo que contribuye a un desbalance en el manejo del pH corporal.
En contraste con la nefritis intersticial aguda, el análisis de orina en la enfermedad tubulointersticial crónica suele ser poco revelador, a menudo presentando hallazgos blandos, ya sea con escasas células o con la presencia de cilindros hialinos anchos. La proteinuria puede estar presente debido a la incapacidad del túbulo proximal para reabsorber proteínas que han sido filtradas libremente, aunque esta condición generalmente se manifiesta con un nivel de proteinuria inferior a dos gramos por día.
Uropatía obstructiva
La uropatía obstructiva es una condición que puede surgir de una obstrucción parcial del tracto urinario, y se manifiesta de diversas maneras en función de la gravedad y duración de la obstrucción. En casos de obstrucción parcial, los pacientes pueden presentar poliuria, que resulta del daño tubular en los riñones. Esto se debe a que la obstrucción interfiere con la capacidad de los túbulos renales para concentrar la orina, llevando a una producción excesiva de orina diluida. Por el contrario, en situaciones más severas, la disminución de la tasa de filtración glomerular puede causar oliguria, que es la producción de orina en cantidades insuficientes.
Además, los pacientes con uropatía obstructiva suelen presentar azotemia, un aumento de los productos de desecho nitrogenados en la sangre, que se produce debido a la incapacidad de los riñones para excretar estos compuestos. La hipertensión es otra complicación común, resultante del aumento en la producción de renina y la subsecuente activación del sistema renina-angiotensina, lo que causa vasoconstricción y retención de sodio y agua, elevando así la presión arterial.
La evaluación clínica del paciente incluye exámenes abdominales, rectales y genitourinarios, que pueden ser útiles para detectar una vejiga distendida o una próstata agrandada. Estos hallazgos físicos son indicativos de retención urinaria, que a menudo acompaña a la uropatía obstructiva.
El análisis de orina en estos pacientes puede ser generalmente insípido, pero en algunas ocasiones puede mostrar hematuria (sangre en la orina), piuria (presencia de pus en la orina) o bacteriuria (presencia de bacterias), que son signos de infección o inflamación en el tracto urinario.
Las técnicas de imagen son fundamentales para el diagnóstico de uropatía obstructiva. La ecografía abdominal es a menudo la primera prueba utilizada, ya que puede detectar la presencia de hidroureter (dilatación del uréter) y hidronefrosis (dilatación del sistema de recolección renal). Sin embargo, esta modalidad puede no identificar obstrucciones causadas por fibrosis retroperitoneal, una condición donde el tejido fibroso comprime las estructuras urinarias.
Si persiste la sospecha clínica de obstrucción a pesar de un ultrasonido normal, se pueden considerar estudios adicionales como la tomografía computarizada o la resonancia magnética. Estas técnicas proporcionan imágenes más detalladas y pueden ayudar a identificar obstrucciones que no son visibles en la ecografía, asegurando un diagnóstico adecuado y el tratamiento oportuno de la uropatía obstructiva.
Reflujo vesicoureteral
El reflujo vesicoureteral es una condición en la cual la orina fluye en dirección opuesta, desde la vejiga hacia los uréteres y, potencialmente, hacia los riñones. Esta anomalía se diagnostica comúnmente en niños pequeños que presentan antecedentes de infecciones del tracto urinario recurrentes. Sin embargo, también puede desarrollarse en pacientes que han recibido un trasplante renal.
El mecanismo del reflujo vesicoureteral generalmente está relacionado con un funcionamiento anómalo del esfínter vesicoureteral, que es el mecanismo que normalmente evita el retorno de la orina hacia el tracto urinario superior durante la micción. En los niños, este problema puede ser congénito o puede desarrollarse como resultado de anomalías anatómicas del sistema urinario. La presencia de este reflujo es preocupante porque permite que la orina, que puede contener patógenos, regrese a los riñones, aumentando el riesgo de infecciones y, en consecuencia, daño renal.
La ecografía renal es una herramienta diagnóstica clave en la evaluación del reflujo vesicoureteral, ya que puede mostrar signos de cicatrización renal y dilatación del sistema de recolección urinaria, conocida como hidronefrosis. Estas alteraciones son indicativas de que los riñones han sido afectados por el reflujo y pueden revelar daños que son consecuencia de infecciones recurrentes y la presión ejercida por la acumulación de orina.
La mayor parte del daño renal asociado con el reflujo vesicoureteral ocurre antes de los cinco años de edad. Durante esta etapa crítica de desarrollo, los riñones de los niños son particularmente susceptibles a los efectos dañinos de las infecciones recurrentes y la inflamación. Con el tiempo, la exposición continua a estas agresiones puede llevar a una disminución progresiva de la función renal, lo que culmina en enfermedad renal en etapa terminal (ESKD, por sus siglas en inglés). Esta progresión hacia ESKD es común en aquellos que experimentan un daño renal significativo debido al reflujo.
Analgésicos
El uso prolongado de analgésicos, especialmente los antiinflamatorios no esteroides, puede tener diversas repercusiones en la salud renal, manifestándose en una variedad de alteraciones clínicas. Entre estas se incluyen hematuria, que es la presencia de sangre en la orina, proteinuria leve, poliuria y anemia, así como piuria estéril, que se refiere a la presencia de leucocitos en la orina sin evidencia de infección.
La hematuria puede ser resultado de un daño directo a los túbulos renales o a las estructuras vasculares asociadas, lo que provoca sangrado en el tracto urinario. La proteinuria leve puede deberse a la incapacidad del túbulo proximal para reabsorber adecuadamente las proteínas filtradas, un efecto que ocurre en el contexto de daño tubular. La poliuria, o producción excesiva de orina, también puede ocurrir como consecuencia del daño a los túbulos renales, lo que interfiere con su capacidad para concentrar la orina adecuadamente.
La anemia en estos pacientes puede ser atribuible a varias causas. Una de las más comunes es la hemorragia gastrointestinal, que puede resultar de la irritación de la mucosa gastrointestinal por el uso de analgésicos. Además, la deficiencia de eritropoyetina, una hormona producida por los riñones que estimula la producción de glóbulos rojos en la médula ósea, puede contribuir a la anemia, especialmente en aquellos con disfunción renal.
En situaciones más graves, como la necrosis papilar, pueden encontrarse papilas renales desechadas en la orina. La necrosis papilar se produce cuando hay una isquemia o daño a la vascularización de las papilas renales, lo que lleva a la muerte celular y a la eventual descomposición de las estructuras papilares. Estos fragmentos pueden causar obstrucción en el tracto urinario, complicando aún más el estado del paciente.
Históricamente, la necrosis papilar se diagnosticaba principalmente mediante urografía intravenosa, pero en la práctica clínica actual, se emplean con mayor frecuencia técnicas de imagen como la tomografía computarizada y la cistouretroscopía para su detección. La tomografía computarizada ofrece una visualización detallada de las estructuras renales y urinarias, permitiendo identificar cambios anatómicos y funcionales asociados con la necrosis papilar. La cistouretroscopía, por su parte, permite una evaluación directa del tracto urinario inferior y la visualización de posibles obstrucciones causadas por las papilas desechadas.
Metales pesados
La exposición a metales pesados, como el plomo y el cadmio, puede tener efectos adversos significativos sobre la función renal, particularmente en los túbulos proximales del riñón. La toxicidad del plomo provoca un daño directo a estas estructuras, lo que interfiere con su capacidad para llevar a cabo funciones esenciales, incluyendo la secreción de ácido úrico. Esta alteración puede dar lugar a un aumento en los niveles de ácido úrico en la sangre, conocido como hiperuricemia, que a su vez puede desencadenar una forma de artritis llamada gota saturnina, caracterizada por la acumulación de cristales de urato en las articulaciones.
Además de la hiperuricemia, los pacientes expuestos al plomo suelen presentar hipertensión arterial. Este aumento en la presión arterial puede estar relacionado con la activación del sistema renina-angiotensina, que es un mecanismo fisiológico que regula la presión arterial y el equilibrio de líquidos. El daño tubular inducido por el plomo también puede afectar la capacidad del riñón para excretar sodio, contribuyendo así al aumento de la presión arterial.
El diagnóstico de la toxicidad por plomo se establece mediante una prueba de quelación con edetato de calcio disódico, que se realiza a partir de una recolección de orina en un período determinado. En esta prueba, se administra una dosis controlada de edetato de calcio disódico, que se une al plomo en el cuerpo y facilita su excreción a través de la orina. La presencia de más de 600 miligramos de plomo en la orina después de la administración de 1 gramo de edetato indica una exposición excesiva a este metal.
Por otro lado, la exposición al cadmio también causa disfunción en los túbulos proximales, pero sus efectos son algo diferentes. El daño tubular por cadmio puede provocar hiperclaciuria, que es la excreción excesiva de calcio en la orina. Esta condición aumenta el riesgo de formación de cálculos renales, o nefrolitiasis, lo que representa otra complicación significativa para los pacientes expuestos a este metal. La presencia de cálculos renales puede llevar a episodios de dolor intenso y obstrucción del tracto urinario, así como a infecciones recurrentes.
Nefropatía mesoamericana
La nefropatía mesoamericana es un síndrome renal crónico que ha cobrado atención significativa en las últimas décadas, especialmente en poblaciones agrícolas de Centroamérica. Este trastorno se caracteriza por un conjunto de hallazgos clínicos y bioquímicos que pueden ayudar a diferenciarlo de otras formas de enfermedad renal crónica.
Entre las manifestaciones más comunes de la nefropatía mesoamericana se encuentran la proteinuria de bajo grado, que se refiere a la presencia de pequeñas cantidades de proteína en la orina. Este hallazgo es importante, ya que indica una alteración en la función renal, aunque por sí solo no es diagnóstico. Además, muchos individuos afectados presentan hiperuricemia, que es un aumento de los niveles de ácido úrico en la sangre. Este fenómeno puede estar relacionado con la reducción en la capacidad de los riñones para excretar ácido úrico, lo que a su vez puede contribuir a la aparición de gota en algunos pacientes. La hipokalemia, que es la disminución de los niveles de potasio en la sangre, también se observa frecuentemente en esta población. La hipokalemia puede ser consecuencia de la pérdida de potasio a través de los riñones y puede llevar a complicaciones cardiovasculares si no se maneja adecuadamente.
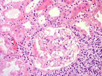
Un hallazgo notable en la biopsia renal de pacientes con nefropatía mesoamericana es la presencia de áreas de isquemia glomerular. Aunque no se considera un signo patognomónico, es altamente sugestivo de este síndrome, especialmente cuando se acompaña de lesiones tubulointersticiales crónicas. La isquemia glomerular puede ocurrir a pesar de que la enfermedad vascular subyacente sea leve, lo que sugiere que otros factores, posiblemente ambientales o relacionados con el estilo de vida, contribuyen al desarrollo del daño renal en estas áreas.
El proceso patológico que subyace a la nefropatía mesoamericana aún no se comprende completamente. Sin embargo, se han sugerido varios factores como contribuyentes potenciales. Las condiciones de trabajo en entornos agrícolas, que a menudo implican exposición a altas temperaturas y deshidratación, pueden exacerbar la carga renal. Además, la exposición a toxinas ambientales y la falta de acceso a atención médica adecuada pueden agravar la situación, llevando a un daño renal progresivo.
Tratamiento
El tratamiento de la disfunción renal depende fundamentalmente de identificar el trastorno subyacente que la provoca. Esta identificación es crucial porque las diferentes etiologías pueden requerir enfoques terapéuticos distintos. En el caso de que una biopsia renal revele fibrosis intersticial, esto indica daño irreversible en el tejido renal. La extensión de esta fibrosis se asocia directamente con la probabilidad de progresión hacia la enfermedad renal en etapa terminal, lo que resalta la importancia de un diagnóstico temprano y un manejo adecuado.
El tratamiento de la hipertensión es un aspecto esencial en la gestión de la disfunción renal, ya que el control de la presión arterial puede ralentizar la progresión del daño renal. La hipertensión puede agravar la injuria renal, por lo que su tratamiento debe ser una prioridad en pacientes con enfermedad renal crónica.
Además, en situaciones donde se presenta disfunción tubular, pueden ser necesarias intervenciones específicas. Por ejemplo, si se identifica acidosis metabólica, la suplementación con bicarbonato puede ser útil para corregir los desequilibrios ácidos. Por otro lado, en casos de hiperpotasemia, la restricción de potasio en la dieta es fundamental para prevenir complicaciones cardiovasculares y otros efectos adversos.
En el contexto de la obstrucción del tracto urinario, como en el caso de la hidronefrosis, es vital que esta obstrucción sea aliviada de manera oportuna. La obstrucción prolongada puede causar un daño tubular adicional, especialmente en el nefrón distal, lo que puede volverse irreversible. Esto enfatiza la necesidad de intervención rápida para prevenir complicaciones a largo plazo.
Aunque en algunos casos se puede indicar la corrección quirúrgica del reflujo vesicoureteral, es importante tener en cuenta que esta intervención por sí sola no garantizará la prevención del deterioro hacia la enfermedad renal en etapa terminal si la fibrosis intersticial es extensa. La fibrosis sugiere que ya ha ocurrido un daño significativo, lo que puede limitar la efectividad de las intervenciones quirúrgicas en términos de restaurar la función renal.
En el manejo de la nefropatía por plomo, los pacientes en quienes se sospecha esta condición deben continuar el tratamiento con terapia de quelación utilizando edetato de calcio disódico, siempre y cuando no exista evidencia significativa de daño renal irreversible. Es fundamental evitar cualquier exposición adicional al plomo, ya que la continuidad en la exposición puede agravar el daño renal y comprometer aún más la función renal.
Para la nefropatía analgésica, la intervención más crucial consiste en la suspensión de todos los analgésicos. La interrupción de estos medicamentos es esencial, ya que su uso continuado puede perpetuar el daño renal. En casos donde no hay una fibrosis intersticial significativa, es posible observar una estabilización o incluso una mejora en la función renal tras la cesación de los analgésicos. Además, garantizar una adecuada repleción de volumen durante la exposición a estos fármacos puede proporcionar beneficios adicionales, ayudando a mitigar los efectos tóxicos en los riñones.
En cuanto a los pacientes con nefropatía mesoamericana, es importante aconsejarlos sobre la necesidad de mantenerse adecuadamente hidratados. La hidratación es esencial para ayudar a preservar la función renal y prevenir complicaciones adicionales. Asimismo, se debe recomendar que, siempre que sea posible, minimicen la exposición al calor. Las condiciones de trabajo en ambientes cálidos y la deshidratación pueden exacerbar el daño renal en esta población.
Además, es importante que los pacientes eviten el uso de antiinflamatorios no esteroides (AINEs). Estos medicamentos pueden tener efectos hemodinámicos adversos, incluyendo la reducción del flujo sanguíneo renal y de la tasa de filtración glomerular, lo que puede agravar la lesión renal, especialmente en situaciones de depleción de volumen y en climas cálidos. La combinación de deshidratación y el uso de AINEs puede ser particularmente dañina, por lo que su uso debe ser estrictamente limitado en estos pacientes.

Fuente y lecturas recomendadas:
- Bortnick EM et al. Vesicoureteral reflux: current care trends and future possibilities. Urol Clin North Am. 2023;50:391. [PMID: 37385702]
- Lou-Meda R et al. Mesoamerican endemic nephropathy (MeN): a disease reported in adults that may start since childhood? Semin Nephrol. 2022;42:151337. [PMID: 37028147]

