La amiloidosis renal representa una entidad relativamente rara dentro del espectro de enfermedades renales que pueden causar síndrome nefrótico. Este fenómeno se origina debido a la deposición tisular de una proteína anormalmente plegada y sobreproducida, conocida como amiloide. La característica distintiva de esta condición es la formación de fibrillas amiloides que se acumulan en los tejidos, en este caso, en los riñones.
La diversidad de proteínas que pueden contribuir a la formación de estas fibrillas amiloides es un factor relevante en la variedad de presentaciones clínicas y en la dificultad diagnóstica de la amiloidosis renal. Entre las proteínas implicadas se encuentran las cadenas ligeras de inmunoglobulinas monoclonales en la amiloidosis primaria, denominada amiloidosis AL, y la proteína amiloide A sérica en la amiloidosis secundaria, conocida como amiloidosis AA.
La amiloidosis primaria, o amiloidosis AL, es la forma más común de amiloidosis renal. Se asocia con una discrasia de células plasmáticas, lo que conduce a la producción excesiva y la deposición de cadenas ligeras de inmunoglobulinas monoclonales. Esta sobreproducción de proteínas anormales conduce a la formación de fibrillas amiloides que se depositan en los riñones, interfiriendo con su función normal y provocando síntomas como el síndrome nefrótico.
Por otro lado, la amiloidosis secundaria, o amiloidosis AA, aunque menos común que la amiloidosis AL, también puede contribuir a la presentación del síndrome nefrótico. Esta forma de amiloidosis puede estar asociada con enfermedades inflamatorias crónicas como la artritis reumatoide, la enfermedad inflamatoria intestinal o infecciones crónicas. En estos casos, la proteína amiloide A sérica, un reactante de fase aguda, se deposita en los tejidos, incluidos los riñones, como resultado de la respuesta inflamatoria sostenida.
La amplia gama de condiciones subyacentes que pueden desencadenar la amiloidosis renal, junto con la heterogeneidad de las proteínas amiloides implicadas, contribuye a la relativa rareza de esta enfermedad como causa del síndrome nefrótico.
Manifestaciones
La amiloidosis es una enfermedad sistémica caracterizada por la acumulación anormal de fibrillas de proteína amiloide en diversos tejidos y órganos del cuerpo, incluidos los riñones. La participación renal en la amiloidosis puede manifestarse con una variedad de síntomas y signos, siendo la proteinuria, la disminución del filtrado glomerular (FG) y el síndrome nefrótico algunos de los más prominentes.
La proteinuria, o presencia de proteínas en la orina en cantidades anormales, es un hallazgo común en la amiloidosis renal y puede ser uno de los primeros signos de enfermedad. La disminución del FG, que indica una reducción en la capacidad de los riñones para filtrar adecuadamente la sangre, también es característica de la afectación renal en la amiloidosis. El síndrome nefrótico, que se define por la presencia de proteinuria masiva, hipoalbuminemia, edema y dislipidemia, puede desarrollarse a medida que la enfermedad progresa y afecta la función renal de manera más significativa.
Además de la participación renal, la amiloidosis puede afectar otros órganos, como el corazón. La afectación cardíaca es común en la amiloidosis, especialmente en la forma primaria (amiloidosis AL), y puede manifestarse como cardiomiopatía restrictiva, insuficiencia cardíaca y arritmias. Por lo tanto, es importante realizar una evaluación integral de la función de múltiples órganos en pacientes con sospecha de amiloidosis.
El diagnóstico de la amiloidosis implica una evaluación exhaustiva que incluye pruebas de detección como la electroforesis de proteínas en suero y orina. La identificación de un pico monoclonal en estas pruebas puede sugerir la presencia de amiloidosis y justifica una evaluación adicional, incluida la cuantificación de las cadenas ligeras libres en suero y la evaluación de la relación kappa:lambda, lo que puede ayudar a diferenciar entre los diferentes subtipos de amiloidosis.
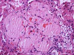
A nivel patológico, los riñones afectados por amiloidosis suelen mostrar un aumento de tamaño, con glomérulos llenos de depósitos amorfos que muestran birrefringencia verde con la tinción de rojo Congo, lo que es característico de la presencia de fibrillas de amiloide. El examen microscópico electrónico también puede revelar la deposición de fibrillas en los tejidos renales.
En cuanto al pronóstico, la amiloidosis AL, en particular, puede progresar rápidamente a enfermedad renal en etapa terminal (EIRC), con una supervivencia global a los cinco años que suele ser inferior al 20%. El pronóstico empeora en pacientes con una afectación cardíaca avanzada, lo que resalta la importancia de una detección temprana y un manejo adecuado de la enfermedad para mejorar los resultados a largo plazo.
Tratamiento y pronóstico
El tratamiento de la amiloidosis, especialmente en su forma primaria (amiloidosis AL), es un desafío debido a la naturaleza sistémica y la heterogeneidad de la enfermedad. La combinación de melfalán, corticosteroides y el inhibidor de proteosoma bortezomib se ha establecido como el tratamiento estándar para la amiloidosis AL, aunque la adición de daratumumab, un anticuerpo monoclonal anti-CD38, está emergiendo como una opción terapéutica prometedora.
El melfalán es un agente quimioterapéutico que actúa al interferir con la replicación del ADN en las células, lo que conduce a la muerte celular. Los corticosteroides, como la prednisona, tienen propiedades antiinflamatorias e inmunosupresoras que pueden ayudar a reducir la inflamación y mejorar los síntomas asociados con la amiloidosis. El bortezomib es un inhibidor del proteosoma que bloquea la degradación de proteínas anormales en las células, lo que puede ayudar a reducir la acumulación de proteínas amiloides y mejorar la función de los órganos afectados.
La combinación de estos medicamentos ha demostrado ser eficaz para inducir la remisión de la enfermedad en un porcentaje significativo de pacientes con amiloidosis AL. Sin embargo, el trasplante autólogo de células madre, que implica el uso de células madre del propio paciente después de la quimioterapia para reemplazar las células dañadas, también se ha utilizado en algunos casos. Aunque puede inducir remisión en aproximadamente el 80% de los sobrevivientes, está asociado con una alta tasa de mortalidad, lo que limita su aplicabilidad a un subconjunto selecto de pacientes.
En la amiloidosis AA, que está asociada con enfermedades inflamatorias crónicas, el tratamiento se centra en el manejo de la enfermedad subyacente para prevenir la producción de proteína amiloide. Si se logra tratar con éxito la enfermedad subyacente, la remisión de la amiloidosis puede ocurrir en algunos casos. Además, en casos de amiloidosis renal avanzada, el trasplante renal puede ser una opción para mejorar la función renal y la calidad de vida del paciente.


