La amiloidosis es un trastorno raro y complejo en el que las proteínas mal plegadas se acumulan en diversos tejidos y órganos, lo que provoca disfunción progresiva y, en casos graves, insuficiencia orgánica. Esta condición es el resultado de la deposición de fibrillas de proteínas insolubles, conocidas como amiloides, que alteran la estructura y función normal de los órganos afectados. Las fibrillas de amiloide están compuestas por proteínas que se han desnaturalizado, desviándose de su conformación nativa y funcional. Este proceso de desnaturalización puede ocurrir durante la traducción de proteínas (la síntesis inicial de la proteína a partir del ARN mensajero) o durante las modificaciones postraduccionales (alteraciones que ocurren después de la síntesis de la proteína). Las proteínas desnaturalizadas presentan una propiedad única: no pueden disolverse en agua, lo que favorece su agregación en fibrillas de amiloide. Estas fibrillas se depositan en los tejidos, donde interfieren con la función normal de las células y los órganos.
La deposición patológica de proteínas amiloides en los tejidos ocurre cuando la tasa de acumulación de amiloides supera la capacidad del cuerpo para eliminar las proteínas mal plegadas. Normalmente, las proteínas se descomponen y eliminan mediante procesos celulares como la proteólisis o la secreción, pero en la amiloidosis, la producción de proteínas amiloides excede estos mecanismos de eliminación. Como resultado, los depósitos de amiloides se acumulan gradualmente, lo que lleva a una acumulación que, con el tiempo, causa disfunción orgánica. Los órganos más comúnmente afectados por la deposición de amiloides incluyen el corazón, los riñones, el hígado y el sistema nervioso. Con el tiempo, estos depósitos pueden dañar los tejidos de tal manera que se produzca un daño irreversible, lo que puede llevar a la insuficiencia orgánica y, sin tratamiento adecuado, a la muerte prematura.
La amiloidosis se clasifica en diferentes tipos según el tipo de proteína que forma los depósitos de amiloides. Existen seis categorías principales, cada una con su propia fisiopatología subyacente:
- Amiloidosis primaria (AL): Esta forma se caracteriza por la deposición de cadenas ligeras de inmunoglobulinas, proteínas anormales producidas por las células plasmáticas en la médula ósea. Las cadenas ligeras están mal plegadas, formando fibrillas de amiloide que se depositan en diversos órganos, especialmente en el corazón, los riñones y el sistema nervioso.
- Amiloidosis secundaria (AA): En este tipo, los depósitos amiloides están compuestos por la proteína sérica A, que se produce en respuesta a condiciones inflamatorias crónicas. El cuerpo sobreproduce esta proteína, que se desnaturaliza y se agrega, dando lugar a depósitos de amiloide. La amiloidosis secundaria está a menudo asociada con enfermedades como la artritis reumatoide, infecciones crónicas o enfermedad inflamatoria intestinal.
- Amiloidosis hereditaria: Esta forma se debe a mutaciones genéticas que producen proteínas mutantes, siendo la más común la transtiretina (TTR). En la amiloidosis hereditaria, la TTR mutante forma fibrillas de amiloide que se acumulan en órganos como el corazón, los nervios y los riñones. Existen diversas mutaciones genéticas asociadas a este tipo, y las manifestaciones clínicas pueden variar según la mutación específica.
- Amiloidosis senil: En este tipo, los depósitos amiloides están compuestos por transtiretina (TTR) normal o «silvestre», que tiende a desnaturalizarse y agregarse con la edad. La amiloidosis senil afecta principalmente a los adultos mayores y suele involucrar el corazón. Los depósitos de amiloide en el corazón pueden dar lugar a una miocardiopatía restrictiva, una condición en la que la capacidad del corazón para expandirse y contraerse se ve limitada.
- Amiloidosis relacionada con diálisis: Este tipo ocurre en pacientes que reciben diálisis a largo plazo. Se debe a la acumulación de beta-2-microglobulina, una proteína que normalmente es filtrada por los riñones. En los pacientes en diálisis, la proteína no se elimina adecuadamente, lo que lleva a su deposición en tejidos como las articulaciones, los tendones y los huesos. Los depósitos pueden causar dolor articular, rigidez y otras complicaciones.
- Amiloidosis LECT2: Este tipo está asociado con la deposición de una proteína llamada LECT2 (factor quimiotáctico de leucocitos 2) y se ha observado principalmente en personas de etnia latina/latino. La amiloidosis LECT2 es relativamente rara y puede afectar diversos órganos, como el hígado y los riñones.
La amiloidosis también puede clasificarse según la extensión de la deposición de amiloides. La amiloidosis localizada se refiere a los casos en los que los depósitos de amiloide están confinados a un solo tipo de tejido u órgano. Esta forma es menos común y puede observarse en condiciones localizadas, como la deposición aislada de amiloide en la piel o los pulmones. Por otro lado, la amiloidosis sistémica es la forma más común, en la que los depósitos de amiloide están dispersos por todo el cuerpo, afectando múltiples órganos de manera simultánea.
Manifestaciones clínicas
Los pacientes con amiloidosis localizada presentan síntomas y signos relacionados con el órgano único afectado por los depósitos de amiloide. Estos síntomas son específicos del órgano afectado y suelen manifestarse de manera localizada. Por ejemplo, si los depósitos amiloides afectan las cuerdas vocales, el paciente puede experimentar ronquera debido a la disfunción de estas estructuras. De manera similar, si los depósitos afectan las órbitas, se pueden observar signos como la proptosis (desplazamiento hacia adelante del globo ocular) y alteraciones visuales. En estos casos, los depósitos de amiloide están confinados a un solo tejido o una pequeña área anatómica, lo que limita la extensión de los síntomas, aunque puede haber una progresión hacia una mayor afectación en algunos casos.
Por otro lado, los pacientes con amiloidosis sistémica presentan síntomas y signos más amplios y difusos, debido a la deposición generalizada de amiloides en múltiples órganos y tejidos. En estos casos, la enfermedad se manifiesta a través de síndromes médicos inexplicables que afectan a diferentes sistemas del cuerpo. Uno de los principales signos en los pacientes con amiloidosis sistémica es la insuficiencia cardíaca, que puede estar asociada con una miocardiopatía infiltrativa o restrictiva. En la miocardiopatía infiltrativa, los depósitos de amiloide interfieren con la función contráctil del corazón, mientras que en la miocardiopatía restrictiva, los depósitos de amiloide dificultan la capacidad del corazón para expandirse y llenarse de sangre durante el ciclo cardíaco. Ambas formas pueden llevar a insuficiencia cardíaca congestiva, con síntomas como fatiga, disnea (dificultad para respirar) y edema.
En el sistema renal, la amiloidosis sistémica puede causar síndrome nefrótico, una condición caracterizada por la pérdida excesiva de proteínas en la orina, lo que lleva a hinchazón generalizada (edema), niveles bajos de proteínas en sangre y aumento de los lípidos. Este síndrome se debe a la infiltración de los riñones por depósitos de amiloide, que dañan los filtros renales y alteran su capacidad para regular la composición de la orina.
En el sistema digestivo, los pacientes pueden experimentar malabsorción y pérdida de peso inexplicada, ya que los depósitos de amiloide en el tracto gastrointestinal interfieren con la absorción de nutrientes esenciales. Esto puede dar lugar a síntomas como diarrea crónica, distensión abdominal y deficiencias nutricionales. La función hepática también puede verse afectada en la amiloidosis sistémica, con el hígado siendo un sitio común para la deposición de amiloide, lo que provoca disfunción hepática que puede manifestarse como hepatomegalia (agrandamiento del hígado), ictericia (coloración amarillenta de la piel y ojos) o incluso insuficiencia hepática en casos graves.
La insuficiencia autonómica, que afecta el sistema nervioso autónomo encargado de controlar funciones involuntarias del cuerpo como la presión arterial, el ritmo cardíaco y la digestión, también es una complicación frecuente en los pacientes con amiloidosis sistémica. Los pacientes pueden experimentar síntomas como hipotensión ortostática (disminución de la presión arterial al ponerse de pie), sudoración anormal o alteraciones en la frecuencia cardíaca.
Otra manifestación frecuente de la amiloidosis sistémica es el síndrome del túnel carpiano, que generalmente se presenta de manera bilateral. Este trastorno se debe a la presión de los depósitos de amiloide sobre los nervios medianos en las muñecas, lo que puede causar dolor, entumecimiento y debilidad en las manos, especialmente al realizar movimientos repetitivos o al estar en posiciones incómodas durante un período prolongado.
Además, los pacientes pueden experimentar neuropatía periférica sensoriomotora, que implica daño a los nervios periféricos, provocando síntomas como dolor, debilidad muscular y pérdida de la sensación en las extremidades. Este tipo de neuropatía es frecuente en las formas sistémicas de la amiloidosis y puede empeorar con el tiempo, afectando la capacidad del paciente para caminar y realizar actividades cotidianas.
Otras manifestaciones comunes en la amiloidosis sistémica incluyen una lengua agrandada, conocida como macroglosia, que puede ser dolorosa o causar dificultades para hablar o tragar. La lengua puede volverse gomosa y aparecer con una textura suave y aumentada de tamaño debido a los depósitos de amiloide en los músculos linguales. También se pueden observar placas cerosas y ásperas en la piel, especialmente en áreas expuestas o alrededor de las articulaciones. Las contusiones, incluso en áreas como la región periorbital (alrededor de los ojos), son comunes debido a la fragilidad de los vasos sanguíneos afectados por los depósitos de amiloide. Los pacientes pueden presentar también tos o dificultad para respirar (disnea) si los depósitos afectan los pulmones, lo que puede provocar limitaciones en la capacidad pulmonar. Finalmente, los pacientes pueden experimentar dificultades para deglutir (disfagia) debido a la infiltración de los tejidos de la garganta o el esófago por los depósitos de amiloide, lo que interfiere con el proceso normal de deglución de alimentos y líquidos.
Los síntomas y signos de la amiloidosis sistémica suelen desarrollarse de manera insidiosa, lo que significa que los pacientes pueden no notar los efectos del daño orgánico hasta que la enfermedad ya esté avanzada. Esto hace que el diagnóstico de amiloidosis a menudo se realice de forma tardía, cuando los órganos ya han sufrido un daño significativo y las funciones de los sistemas afectados están comprometidas. El diagnóstico temprano es crucial para la gestión adecuada de la enfermedad y para mejorar las perspectivas del paciente, pero debido a la variedad y la naturaleza inespecífica de los síntomas, la identificación de la amiloidosis puede ser un desafío para los médicos.
Exámenes diagnósticos
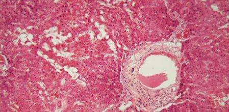
El diagnóstico de amiloidosis se basa en la identificación de depósitos de proteínas amiloides en los tejidos, lo cual requiere la realización de una biopsia tisular. Cuando se examina esta biopsia bajo el microscopio, utilizando la tinción hematoxilina-eosina, los depósitos de amiloide aparecen como una sustancia intersticial de color rosa en el tejido. Esta tinción básica, sin embargo, no es suficiente para confirmar la presencia de amiloide de manera específica. Para confirmar la naturaleza de los depósitos, se utiliza una tinción especial con Congo rojo. La proteína amiloide se tiñe de rojo intenso con Congo rojo, y lo que resulta más característico es que, cuando se observa la muestra bajo luz polarizada, los depósitos de amiloide adquieren un color verde manzana brillante, un fenómeno conocido como «birefringencia verde manzana». Este hallazgo es clave para el diagnóstico de amiloidosis, dado que refleja la estructura especial de las fibrillas amiloides.
Las fibrillas de amiloide son estructuras de tres cadenas que están compuestas por la proteína amiloide, la proteína amiloide P y glucosaminoglicanos. Estas fibrillas se organizan en hojas beta-plegadas, una conformación estructural que se puede observar mediante microscopia electrónica. Esta organización es fundamental para la formación de los depósitos amiloides, ya que las cadenas de proteínas mal plegadas se agrupan y forman estas estructuras fibrosas que se depositan en los tejidos y órganos afectados.
En el caso de la amiloidosis primaria, la proteína amiloide está formada por cadenas ligeras de inmunoglobulinas, específicamente las cadenas ligeras kappa o lambda. Estas proteínas son producidas de manera anormal por las células plasmáticas, que son un tipo de célula del sistema inmunológico. Las cadenas ligeras de inmunoglobulinas son responsables de la formación de los depósitos de amiloide que se acumulan en los órganos, y su presencia es indicativa de la enfermedad.
Cuando se sospecha de amiloidosis sistémica, uno de los métodos diagnósticos más efectivos es la aspiración ciega de la grasa abdominal. Este procedimiento, que consiste en extraer una pequeña muestra de tejido adiposo, puede revelar la presencia de depósitos de amiloide en aproximadamente dos tercios de los casos. La grasa abdominal es un sitio común de depósito de amiloides, y su aspiración proporciona una forma relativamente accesible y menos invasiva de obtener material diagnóstico. Sin embargo, si la aspiración de la grasa abdominal no muestra evidencia de amiloidosis, se debe realizar una biopsia del órgano afectado para confirmar la presencia de los depósitos.
El diagnóstico bioquímico de amiloidosis también se realiza a través del análisis de suero y orina. En el 90% de los pacientes con amiloidosis primaria, el análisis de proteínas en suero y orina revelará la presencia de paraproteínas, es decir, proteínas anormales que son las cadenas ligeras de inmunoglobulinas kappa o lambda. Este análisis se realiza mediante técnicas de electroforesis de proteínas (PEP), electroforesis de proteínas en condiciones de focos de inmunofijación (IFE) o mediante pruebas de cadenas ligeras libres. Estas pruebas permiten detectar la presencia de estas proteínas anormales en los fluidos biológicos y sirven para confirmar el diagnóstico de amiloidosis. En los casos restantes, cuando no se detecta una paraproteína en suero o orina, el diagnóstico se puede confirmar mediante espectrometría de masas, una técnica avanzada que permite identificar las cadenas ligeras de inmunoglobulina directamente en las biopsias de tejido, lo que proporciona una confirmación adicional de la enfermedad.
En la amiloidosis primaria, los depósitos de amiloide pueden ser más comunes con cadenas ligeras lambda que con kappa, una proporción que es relativamente opuesta a la distribución habitual de las cadenas ligeras en las células B normales. En condiciones fisiológicas, las células plasmáticas producen una proporción equilibrada de cadenas ligeras kappa y lambda. Sin embargo, en la amiloidosis primaria, este equilibrio se altera, y en la mayoría de los casos se observa un pequeño exceso de cadenas ligeras kappa o lambda restringidas en las células plasmáticas de la médula ósea, aunque este exceso es generalmente menor al 10% en comparación con la población normal de células plasmáticas.
En la médula ósea de los pacientes con amiloidosis primaria, la presencia de estas células plasmáticas desmesuradamente productoras de cadenas ligeras amiloidogénicas puede ser observable, aunque no siempre se encuentran depósitos de amiloide intersticiales o en los vasos sanguíneos. La médula ósea puede o no mostrar evidencia de depósito de amiloide, lo que puede dificultar el diagnóstico en las etapas iniciales de la enfermedad. Sin embargo, la presencia de un pequeño exceso de células plasmáticas en la médula ósea es un hallazgo clave que, junto con otros estudios, puede sugerir el diagnóstico de amiloidosis.
Cuando la amiloidosis afecta el corazón, se presenta una forma específica de miocardiopatía infiltrativa, que se caracteriza por un engrosamiento anómalo de las paredes ventriculares, observable a través de la ecocardiografía. Este engrosamiento puede presentar un patrón de «moteado» específico, que es indicativo de la infiltración amiloide, pero, de manera paradójica, los voltajes del complejo QRS en el electrocardiograma suelen ser bajos, lo que refleja la afectación del tejido cardíaco por los depósitos amiloides. Este hallazgo puede ser sorprendente, ya que en otras formas de miocardiopatía, los voltajes del QRS son elevados.
La resonancia magnética cardíaca (RM) es una herramienta particularmente útil en el diagnóstico de la amiloidosis cardíaca. La RM cardíaca muestra un patrón característico de realce tardío con gadolinio, que es prácticamente diagnóstico de amiloidosis cardíaca. Este realce tardío se debe a la acumulación de amiloide en el miocardio, que retiene el gadolinio más tiempo que los tejidos normales. Este hallazgo es crucial para el diagnóstico diferencial, ya que puede distinguir la amiloidosis cardíaca de otras formas de miocardiopatía.
Cuando la amiloidosis afecta los riñones, uno de los primeros signos es la presencia de albuminuria, que puede llegar a ser de grado nefrótico, es decir, una pérdida significativa de proteínas en la orina. Esta pérdida excesiva de proteínas es una de las características del síndrome nefrótico, que puede aparecer como un resultado directo de la infiltración de amiloide en los glomérulos renales. A medida que la enfermedad progresa y la afectación renal se intensifica, la función renal comienza a disminuir, lo que puede llevar a una insuficiencia renal crónica. En estos pacientes, la tasa de filtración glomerular (TFG) puede disminuir progresivamente, y se observa un deterioro general de la función renal. La insuficiencia renal es una complicación grave de la amiloidosis renal, y en etapas avanzadas puede requerir tratamiento como la diálisis.
Diagnóstico diferencial
La amiloidosis debe ser diferenciada de otras condiciones hematológicas, como la gammapatía monoclonal de significado incierto (MGUS, por sus siglas en inglés) y el mieloma múltiple, así como de otros trastornos linfoproliferativos malignos que están asociados con la presencia de paraproteínas. Esta distinción es fundamental debido a que estas condiciones pueden presentar síntomas clínicos y hallazgos de laboratorio similares, lo que puede llevar a confusión en el diagnóstico y retrasar el tratamiento adecuado.
La gammapatía monoclonal de significado incierto (MGUS) es una condición en la que se observa la presencia de una paraproteína en la sangre, generalmente una cadena ligera de inmunoglobulina, sin que existan signos de mieloma múltiple o de amiloidosis. Si bien MGUS no suele causar síntomas ni daño orgánico significativo, es un factor de riesgo para el desarrollo de diversas enfermedades hematológicas, entre ellas el mieloma múltiple y la amiloidosis. De hecho, aproximadamente el 12% de los pacientes con MGUS desarrollarán amiloidosis primaria en un período medio de 9 años. Este dato resalta la importancia de monitorear de cerca a los pacientes con MGUS, ya que, aunque en principio la enfermedad es benigna, puede evolucionar hacia una condición mucho más grave, como la amiloidosis, si no se detecta a tiempo.
Por otro lado, la amiloidosis primaria puede presentarse en el contexto de un mieloma múltiple, que es un cáncer maligno de las células plasmáticas. Aproximadamente una quinta parte de los pacientes con amiloidosis primaria cumplirán con los criterios diagnósticos para mieloma múltiple, lo que indica que ambas enfermedades pueden coexistir. Esta superposición en los criterios diagnósticos es crucial, ya que el mieloma múltiple se caracteriza por la proliferación anormal de células plasmáticas que producen paraproteínas, generalmente en forma de cadenas ligeras de inmunoglobulina. La diferencia clave radica en el hecho de que, en la amiloidosis primaria, los depósitos de proteínas amiloides resultan de la acumulación de estas cadenas ligeras de inmunoglobulina, mientras que en el mieloma múltiple, el problema principal es la producción excesiva de células plasmáticas malignas que secretan paraproteínas.
De manera inversa, un pequeño porcentaje de pacientes con mieloma múltiple, alrededor del 5%, tendrá depósitos amiloides de sus paraproteínas en el momento del diagnóstico. Esto ocurre cuando las cadenas ligeras de inmunoglobulina producidas por las células plasmáticas malignas se desnaturalizan y forman fibrillas de amiloide, que se depositan en diversos órganos, provocando disfunción orgánica. Este fenómeno puede ser difícil de identificar inicialmente, ya que los síntomas y hallazgos clínicos de los depósitos de amiloide pueden ser similares a los de otras condiciones, como la insuficiencia renal o la miocardiopatía. Por lo tanto, se requiere una evaluación exhaustiva para diferenciar entre amiloidosis y otras enfermedades hematológicas con paraproteínas.
Es importante destacar que la amiloidosis primaria, el mieloma múltiple y la gammapatía monoclonal de significado incierto comparten una base patológica común en la que la producción anormal de proteínas por las células plasmáticas juega un papel central. Sin embargo, las características clínicas y los hallazgos en los estudios de imagen y laboratorio son fundamentales para establecer un diagnóstico preciso y diferenciado. La amiloidosis se caracteriza principalmente por la deposición de proteínas mal plegadas en forma de fibrillas de amiloide, mientras que en el mieloma múltiple la característica principal es la proliferación de células plasmáticas malignas. Además, el tratamiento para estas enfermedades es completamente diferente; mientras que la amiloidosis se maneja a menudo con quimioterapia dirigida a reducir la producción de proteínas amiloidogénicas, el mieloma múltiple requiere terapias dirigidas a eliminar las células plasmáticas malignas.
Tratamiento
El enfoque terapéutico para la amiloidosis primaria es muy similar al utilizado en el mieloma múltiple, ya que ambas enfermedades comparten una base patológica común relacionada con la proliferación anormal de células plasmáticas y la producción excesiva de proteínas anormales, específicamente las cadenas ligeras de inmunoglobulinas, que se depositan en los tejidos como fibrillas de amiloide. Dado que la amiloidosis primaria y el mieloma múltiple comparten características clínicas y patológicas, sus tratamientos están orientados a reducir la producción de estas proteínas amiloides y, por ende, a prevenir el daño progresivo de los órganos afectados.
Los ensayos clínicos prospectivos y aleatorizados han comparado la quimioterapia en pacientes con mieloma múltiple con el uso de colchicina en el tratamiento de la amiloidosis. Los resultados de estos estudios han demostrado que la quimioterapia ofrece un beneficio significativo en términos de supervivencia, en comparación con la colchicina, que es menos eficaz en este contexto. El objetivo primordial del tratamiento en la amiloidosis primaria es reducir la producción de cadenas ligeras de inmunoglobulinas, ya que estas proteínas anormales son las que forman los depósitos amiloides en los tejidos. Al reducir la producción de estas cadenas ligeras, se busca detener la progresión de la disfunción orgánica asociada con la acumulación de amiloide, lo que puede ayudar a mejorar la función de los órganos y prolongar la vida del paciente.
Los agentes activos utilizados en el tratamiento de la amiloidosis primaria incluyen varios fármacos que se usan comúnmente en el tratamiento del mieloma múltiple. Entre estos agentes se encuentran el melphalan, la ciclofosfamida, la dexametasona, el lenalidomida, el bortezomib y el daratumumab. Estos fármacos actúan de manera diferente, pero en conjunto buscan reducir la producción de células plasmáticas anormales que secretan las proteínas amiloides. El melphalan, por ejemplo, es un agente quimioterápico que destruye las células plasmáticas anormales, mientras que el bortezomib y el lenalidomida son inhibidores de proteasomas y moduladores inmunitarios, respectivamente, que también ayudan a controlar la proliferación de células plasmáticas malignas. El daratumumab, por su parte, es un anticuerpo monoclonal dirigido contra la proteína CD38, que se expresa en las células plasmáticas y ayuda a eliminar las células plasmáticas malignas productoras de paraproteínas.
Al igual que en el mieloma múltiple, uno de los tratamientos más avanzados para la amiloidosis primaria es el trasplante autólogo de células madre hematopoyéticas, que se utiliza en pacientes con una función orgánica razonable y un buen estado funcional general. Este tratamiento consiste en la recolección de células madre hematopoyéticas del propio paciente, seguido de un tratamiento de quimioterapia de dosis alta, generalmente con melphalan, para destruir las células plasmáticas malignas. Posteriormente, las células madre recolectadas se reintegran en el paciente para restaurar la producción de células sanguíneas normales. Este enfoque terapéutico ha demostrado ser eficaz en muchos pacientes, pero tiene un riesgo elevado de mortalidad relacionada con el tratamiento. En el caso de la amiloidosis primaria, la mortalidad relacionada con el trasplante es más alta que en el mieloma múltiple (6% frente al 1%), debido a la fragilidad de los pacientes con disfunción orgánica avanzada. A pesar de esto, algunos pacientes experimentan una mejoría en la función de los órganos afectados después de la terapia, lo que subraya la importancia de un diagnóstico y tratamiento tempranos.
Además de los tratamientos convencionales, actualmente se están desarrollando nuevas terapias dirigidas a facilitar la disolución del amiloide o a corregir las anomalías en el plegamiento de la proteína amiloide. Estas estrategias incluyen enfoques innovadores que buscan intervenir directamente en el proceso patológico de la amiloidosis. Sin embargo, estas terapias aún se encuentran en fase de investigación y desarrollo.
En el caso de la amiloidosis secundaria, también conocida como amiloidosis AA, el tratamiento se enfoca en la causa subyacente de la inflamación crónica que genera los depósitos de amiloide. La amiloidosis AA se asocia con enfermedades inflamatorias crónicas, como la artritis reumatoide o las infecciones persistentes, y su tratamiento consiste en controlar o erradicar la fuente de la inflamación para reducir la producción de la proteína amiloide A, que es la responsable de los depósitos en los tejidos.
Por otro lado, la amiloidosis familiar relacionada con la transtiretina (TTR) es causada por mutaciones genéticas que inducen la producción de una proteína transtiretina anómala que se pliega incorrectamente y forma depósitos de amiloide. El tratamiento para la amiloidosis familiar de transtiretina generalmente involucra trasplante de hígado, dado que el hígado es el principal órgano productor de transtiretina. La sustitución del hígado afectado por uno sano detiene la producción de la proteína transtiretina anómala. En los casos de amiloidosis adquirida o heredada por transtiretina, se están desarrollando terapias farmacológicas específicas, como el tafamidis y el inotersen. Estos fármacos actúan estabilizando la proteína transtiretina para evitar que se desnaturalice y forme depósitos de amiloide, y han demostrado ser efectivos en la reducción de la progresión de la enfermedad.
Pronóstico
La amiloidosis primaria no tratada se asocia con un curso progresivo hacia la insuficiencia orgánica terminal y la muerte prematura, lo que subraya la gravedad de esta enfermedad en ausencia de intervención terapéutica. Aunque actualmente no existe una cura definitiva para la amiloidosis primaria, su progresión puede ser ralentizada y, en algunos casos, revertida mediante tratamientos adecuados, lo que mejora las perspectivas de supervivencia. La naturaleza progresiva de la amiloidosis primaria se debe a la acumulación continua de depósitos de proteínas amiloides en diversos órganos y tejidos, lo que interfiere con su función normal y desencadena un daño irreversible si no se controla.
A pesar de que la amiloidosis primaria puede afectar prácticamente todos los tejidos del cuerpo, el patrón clínico y pronóstico de la enfermedad está marcado por la afectación de uno o dos órganos principales, que son los que impulsan predominantemente la presentación clínica y la evolución de la enfermedad. En la práctica clínica, los órganos más comúnmente comprometidos incluyen el corazón, los riñones, el sistema nervioso periférico y el tracto gastrointestinal. La acumulación de amiloide en estos órganos puede causar una variedad de síntomas, y la gravedad de la disfunción orgánica generalmente depende de la cantidad de amiloide depositado y la rapidez con que progresa la enfermedad.
Uno de los principales órganos involucrados en la amiloidosis primaria es el corazón, donde la acumulación de amiloide puede llevar a una miocardiopatía infiltrativa, que afecta la capacidad del corazón para bombear sangre eficientemente. En pacientes con amiloidosis primaria, los biomarcadores cardíacos como el péptido natriurético cerebral (BNP), el pro-péptido natriurético cerebral N-terminal (pro-BNP) y las troponinas T e I son de gran utilidad prognóstica. Estos biomarcadores están elevados en pacientes con amiloidosis primaria, incluso en ausencia de signos clínicos evidentes de afectación cardíaca. El aumento de estos biomarcadores sugiere un compromiso subclínico del corazón y está relacionado con un peor pronóstico, independientemente de que la enfermedad sea o no manifiesta a nivel clínico en el corazón.
Históricamente, el pronóstico de los pacientes con amiloidosis primaria ha estado estrechamente vinculado con los órganos comprometidos y la gravedad de los síntomas. En aquellos pacientes con presentaciones predominantemente cardíacas o de afectación del sistema nervioso autónomo, la supervivencia media oscilaba entre los 3 y los 9 meses, lo que refleja la rapidez con que estos órganos pueden verse comprometidos en su función. Por otro lado, los pacientes que presentaban síndrome del túnel carpiano o nefrósis (una condición caracterizada por la pérdida excesiva de proteínas en la orina) tenían una esperanza de vida media de 1.5 a 3 años. Los pacientes con neuropatía periférica, otro síntoma común de la amiloidosis primaria, solían tener una supervivencia media de aproximadamente 5 años. Estas cifras de supervivencia han mejorado considerablemente con la implementación de tratamientos similares a los utilizados en el mieloma múltiple, una enfermedad relacionada que también involucra la proliferación de células plasmáticas y la producción de proteínas anormales.
El tratamiento de la amiloidosis primaria, particularmente con terapias quimioterápicas y agentes dirigidos a las células plasmáticas, ha demostrado mejorar significativamente la supervivencia. En pacientes tratados con terapias similares a las empleadas en el mieloma múltiple, como el uso de agentes quimioterápicos, la supervivencia media se ha duplicado en comparación con los tratamientos previos, lo que subraya la importancia de intervenir de manera temprana para frenar la progresión de la enfermedad. Un avance significativo en el tratamiento de la amiloidosis primaria es el trasplante autólogo de células madre hematopoyéticas, que se realiza en pacientes con función orgánica preservada y buen estado general. Este tratamiento ha demostrado una mejora notable en la esperanza de vida de los pacientes, con una supervivencia media de aproximadamente 5 años, y en aquellos que alcanzan una remisión hematológica completa, la supervivencia puede acercarse a los 10 años.

Fuente y lecturas recomendadas:
- Basset M et al. Early cardiac response is possible in stage IIIb cardiac AL amyloidosis and is associated with prolonged survival. Blood. 2022;140:1964. [PMID: 35772003]
- Brunger AF et al. Causes of AA amyloidosis: a systematic review. Amyloid. 2020;27:1. [PMID: 31766892] Gertz MA et al. Systemic amyloidosis recognition, prognosis, and therapy: a systematic review. JAMA. 2020;324:79. [PMID: 32633805]
- Kastritis E et al; ANDROMEDA Trial Investigators. Daratumumabbased treatment for immunoglobulin light-chain amyloidosis. N Engl J Med. 2021;385:46. [PMID: 34192431]
- Palladini G et al. Diagnosis and treatment of AL amyloidosis. Drugs. 2023;83:203. [PMID: 36652193]

