La evaluación de la penetración en una radiografía de tórax constituye un paso esencial dentro del análisis sistemático de la calidad técnica de la imagen. La penetración se refiere al grado en que el haz de radiación ha atravesado las estructuras anatómicas del tórax y ha sido registrado adecuadamente por el detector. Este parámetro determina si las diferencias de atenuación entre los tejidos han sido representadas con fidelidad, permitiendo distinguir con precisión las estructuras normales y las posibles alteraciones patológicas.
Desde el punto de vista físico, los rayos X son una forma de radiación electromagnética capaz de atravesar el cuerpo humano en distinta medida según la densidad y el espesor de los tejidos. Las estructuras con mayor densidad, como el hueso, absorben una mayor proporción del haz, mientras que los tejidos menos densos, como el pulmón aireado, permiten el paso de una mayor cantidad de radiación. Si la energía administrada no es suficiente para atravesar de manera adecuada las regiones más densas del tórax, la imagen resultante presentará una atenuación excesiva, lo que se traduce en una apariencia global más blanca o sobreexpuesta en términos de absorción. Por el contrario, una penetración excesiva puede producir una imagen demasiado oscura, dificultando la valoración de detalles sutiles.
Evaluar la idoneidad técnica de una radiografía torácica implica, por tanto, verificar que la penetración sea la adecuada para representar simultáneamente estructuras de diferente densidad, tales como el parénquima pulmonar, la silueta cardiaca, el mediastino y la columna vertebral dorsal. Este análisis no es un mero formalismo técnico, sino un requisito indispensable para evitar errores diagnósticos derivados de artefactos. Una radiografía insuficientemente penetrada puede simular falsamente un aumento de la densidad pulmonar basal o una cardiomegalia aparente, debido a que las estructuras posteriores no se visualizan con claridad. De manera inversa, una penetración excesiva puede ocultar infiltrados pulmonares leves o pequeñas consolidaciones, al disminuir el contraste entre el aire y los tejidos blandos.
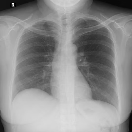
Para determinar si la penetración de una radiografía frontal de tórax es adecuada, se emplea un criterio práctico y ampliamente aceptado: la visualización de los cuerpos vertebrales dorsales a través de la silueta cardiaca. En condiciones óptimas, los contornos de la columna vertebral deben percibirse de manera tenue pero definida detrás del corazón. Esta observación indica que el haz de radiación ha sido suficiente para atravesar tanto las estructuras óseas posteriores como el tejido cardiaco y mediastínico, sin comprometer el contraste necesario para evaluar el parénquima pulmonar. Si las vértebras no son visibles a través de la silueta cardiaca, es probable que la imagen esté subpenetrada. Si, por el contrario, se observan con excesiva nitidez y el pulmón aparece muy oscuro, puede sospecharse una sobrepenetración.
Artefactos por penetración inadecuada
La penetración radiográfica constituye un determinante fundamental de la calidad diagnóstica en la radiografía frontal de tórax, ya que condiciona la representación fiel de las relaciones de densidad entre las distintas estructuras torácicas. Cuando la energía del haz de rayos X es insuficiente para atravesar adecuadamente los tejidos, se produce una imagen globalmente más clara, fenómeno que corresponde a una atenuación excesiva de la radiación antes de alcanzar el detector. En términos prácticos, se considera que existe penetración insuficiente cuando no es posible distinguir los cuerpos vertebrales dorsales a través de la silueta cardiaca. Esta incapacidad de visualizar la columna posterior indica que el haz no ha tenido la energía necesaria para atravesar de manera equilibrada las estructuras mediastínicas y óseas, alterando el contraste natural entre los tejidos.
La penetración insuficiente puede originar errores interpretativos relevantes. Uno de ellos afecta a la valoración de la base pulmonar izquierda. En condiciones técnicas inadecuadas, la región inferior del pulmón izquierdo puede adquirir una apariencia opaca debido a la superposición del corazón y al incremento artificial de la densidad radiográfica. Como consecuencia, el hemidiafragma izquierdo puede no delinearse con claridad. Esta situación puede simular la presencia de una consolidación pulmonar en el lóbulo inferior izquierdo o de un derrame pleural ipsilateral. De manera inversa, también puede ocultar una patología real al enmascarar los contornos normales. Para discriminar entre un artefacto técnico y una alteración auténtica, resulta imprescindible analizar la radiografía lateral de tórax, donde la base pulmonar izquierda puede evaluarse sin la superposición directa de la silueta cardiaca.
Un segundo error potencial derivado de la penetración insuficiente se relaciona con la apariencia de la trama pulmonar. La red vascular pulmonar, constituida principalmente por arterias y venas, puede mostrarse artificialmente prominente debido al aumento global de la opacidad de la imagen. Esta exageración del patrón vascular puede inducir a interpretar erróneamente la existencia de congestión pulmonar secundaria a insuficiencia cardiaca o de cambios intersticiales compatibles con fibrosis. Sin embargo, en estos casos la aparente densidad incrementada no refleja un aumento real del contenido vascular ni del intersticio, sino una consecuencia directa de la técnica radiográfica. Para evitar este error, es indispensable buscar signos complementarios de insuficiencia cardiaca, tales como cardiomegalia verdadera, redistribución vascular hacia los lóbulos superiores o presencia de líquido en los recesos pleurales.
En el extremo opuesto, la penetración excesiva se produce cuando el haz de rayos X posee una energía superior a la necesaria, generando una imagen globalmente más oscura debido a la menor atenuación diferencial entre los tejidos. En estas circunstancias, la trama pulmonar puede parecer atenuada o incluso casi inexistente, lo que puede inducir a sospechar enfisema o neumotórax. Sin embargo, esta disminución aparente del patrón vascular no necesariamente refleja una pérdida real de tejido pulmonar o la presencia de aire en el espacio pleural, sino un efecto técnico derivado de la sobreexposición. Además, cuando la penetración excesiva es marcada, lesiones reales como un nódulo pulmonar pueden volverse difíciles de identificar debido a la reducción del contraste entre el nódulo y el parénquima circundante.
Por esta razón, el grado de lucencia pulmonar no constituye un criterio fiable por sí solo para el diagnóstico de enfisema, dado que puede estar profundamente influido por la técnica empleada. En el enfisema verdadero, la radiografía suele mostrar signos estructurales adicionales, como hiperinsuflación pulmonar con aumento de los espacios intercostales y aplanamiento de los hemidiafragmas. De igual modo, el diagnóstico de neumotórax no debe basarse únicamente en la mayor oscuridad de un hemitórax, sino en la identificación de la línea pleural visible como un trazo blanco fino que delimita el pulmón colapsado y separa el aire pleural del parénquima.

Fuente y lecturas recomendadas:
- Herring, W. (2024). Radiología básica: Aspectos fundamentales (5.ª ed.). Elsevier España.
- Bushong, S. C. (2022). Manual de radiología para técnicos: Física, biología y protección radiológica (12.ª ed.). Elsevier.
- Formación en Radiología (FORA), Del Cura Rodríguez, J. L., Aquerreta Beola, J. D., Sendra Portero, F., & Carreira Villamor, J. (2021). Radiología básica: Método programado para el aprendizaje. Editorial Médica Panamericana.

