Neumotórax, tipos, manifestaciones y manejo
Neumotórax, tipos, manifestaciones y manejo

Neumotórax, tipos, manifestaciones y manejo

El neumotórax, una condición en la que el aire se acumula en el espacio pleural, se clasifica en diferentes tipos según su origen y el contexto en el que se presenta. Esta clasificación ayuda a entender las diversas causas y mecanismos involucrados, así como a guiar el manejo clínico adecuado.

El neumotórax espontáneo puede dividirse en primario y secundario. El neumotórax espontáneo primario ocurre sin una enfermedad pulmonar preexistente. Es más común en personas jóvenes y saludables, y se debe a la ruptura de pequeñas ampollas en el pulmón. Estas ampollas pueden permitir que el aire se filtre al espacio pleural sin una causa externa evidente. Los síntomas pueden variar desde dolor torácico agudo hasta dificultad respiratoria.

En contraste, el neumotórax espontáneo secundario se presenta como una complicación de una enfermedad pulmonar subyacente. En este caso, afecciones como la enfermedad pulmonar obstructiva crónica (EPOC) o la fibrosis quística debilitan el pulmón, facilitando la formación de un neumotórax. La presencia de estas enfermedades puede predisponer al paciente a rupturas en las estructuras pulmonares, resultando en la acumulación de aire en el espacio pleural.

Por otro lado, el neumotórax traumático surge a raíz de un trauma físico, ya sea penetrante (como una herida de arma blanca) o contundente (como en un accidente automovilístico). El trauma puede causar daños en la pleura, permitiendo que el aire entre en el espacio pleural. La gravedad y el tratamiento del neumotórax traumático dependen de la magnitud del daño y del contexto del trauma.

El neumotórax iatrogénico se produce como consecuencia de procedimientos médicos o quirúrgicos. Intervenciones como la toracentesis, biopsias pleurales, o la colocación de catéteres en la vena yugular pueden, accidentalmente, perforar la pleura, llevando a la acumulación de aire en el espacio pleural. Este tipo de neumotórax es un riesgo asociado con procedimientos invasivos y requiere una atención cuidadosa para prevenir o tratar la condición.

El neumotórax de tensión es una emergencia médica en la que el aire se acumula en el espacio pleural de manera progresiva, generando una presión que supera la presión en los alveolos y las venas. Esta presión excesiva comprime el pulmón afectado y desplaza el mediastino, lo que reduce el retorno venoso al corazón y puede llevar a un colapso cardiovascular. El neumotórax de tensión puede ocurrir en contextos de trauma penetrante, infecciones pulmonares graves, maniobras de reanimación cardiopulmonar (RCP) o durante la ventilación mecánica con presión positiva. En este caso, el aire actúa como una válvula unidireccional, permitiendo que entre durante la inspiración pero impidiendo su salida durante la espiración.

El neumotórax espontáneo primario se presenta predominantemente en individuos jóvenes, delgados y altos, con una mayor prevalencia en hombres. Este patrón demográfico y clínico sugiere que la condición tiene factores predisponentes relacionados con la morfología y características físicas de los pacientes.

La etiología del neumotórax espontáneo primario está vinculada a la ruptura de blebs o ampollas subpleurales situadas en la región apical del pulmón. Estos blebs son pequeñas burbujas llenas de aire que se desarrollan en la pleura visceral. La ruptura de estos blebs ocurre frecuentemente en respuesta a elevadas presiones intrapleurales negativas, las cuales pueden ser el resultado de actividades físicas intensas o respiración profunda. En individuos delgados y altos, la mayor expansión del pulmón durante la respiración puede contribuir a la formación y eventual ruptura de estos blebs, facilitando así la acumulación de aire en el espacio pleural.

El papel del tabaquismo en el neumotórax espontáneo primario también está bien documentado. Fumar cigarrillos está asociado con una mayor incidencia de neumotórax, posiblemente debido a sus efectos dañinos en el tejido pulmonar y la pleura. El tabaquismo puede inducir cambios patológicos en la estructura del pulmón que predispongan a la formación de blebs o debiliten las áreas subpleurales, aumentando el riesgo de ruptura.

Además, ciertos trastornos del tejido conectivo, como el síndrome de Marfan y el síndrome de Ehlers-Danlos, están relacionados con una mayor incidencia de neumotórax espontáneo primario. Estos síndromes afectan la estructura y elasticidad de los tejidos conectivos en el cuerpo, incluidas las estructuras pulmonares y pleurales, lo que puede facilitar la formación de blebs y su ruptura, contribuyendo al desarrollo del neumotórax.

En contraste, el neumotórax secundario se presenta como una complicación de diversas enfermedades pulmonares preexistentes. En este contexto, la condición surge como un resultado de la patología subyacente y puede estar asociada con una amplia gama de enfermedades, tales como:

  • Enfermedad pulmonar obstructiva crónica (EPOC): En la EPOC, la destrucción de tejidos pulmonares y la formación de bullas puede predisponer a la acumulación de aire en el espacio pleural.
  • Enfermedad pulmonar intersticial: En condiciones que afectan el intersticio pulmonar, como la fibrosis pulmonar, la estructura del pulmón puede verse comprometida, aumentando el riesgo de neumotórax.
  • Asma y fibrosis quística: Estas enfermedades provocan cambios en la estructura pulmonar y pueden generar áreas de debilidad que predisponen al neumotórax.
  • Tuberculosis y neumonías: La destrucción del tejido pulmonar por infecciones, como la tuberculosis o la neumonía bacteriana necrotizante, puede resultar en la formación de cavidades pulmonares que pueden perforarse y causar neumotórax.
  • Enfermedades pulmonares quísticas: Trastornos como la linfangioleiomiomatosis, la esclerosis tuberosa y la histiocitosis celular de Langerhans, que involucran la formación de quistes pulmonares, están asociados con un riesgo elevado de neumotórax.

Además, el neumotórax catamenial es una forma específica de neumotórax secundario que se presenta en mujeres durante la menstruación, posiblemente debido a cambios hormonales que afectan la estructura pulmonar.

El síndrome de Birt-Hogg-Dubé, una condición genética que se caracteriza por la presencia de tumores benignos en la piel, quistes pulmonares y un riesgo incrementado de tumores renales, también está asociado con un mayor riesgo de neumotórax secundario.

En pacientes con enfermedades pulmonares subyacentes, el neumotórax secundario tiende a ser menos tolerado debido a la reducción de la capacidad respiratoria. La reserva respiratoria ya disminuida por la enfermedad subyacente puede hacer que la presencia de aire en el espacio pleural resulte en síntomas más graves y en una mayor dificultad respiratoria, requiriendo una atención médica más urgente y especializada.


Manifestaciones clínicas

El neumotórax se manifiesta con una serie de síntomas y hallazgos clínicos que varían en intensidad según el tamaño del neumotórax y la condición general del paciente. Uno de los síntomas más frecuentes es el dolor torácico, que puede ir desde leve hasta severo. Este dolor es causado por la irritación de la pleura parietal, que contiene terminaciones nerviosas sensibles al dolor. Cuando el aire se acumula en el espacio pleural, puede provocar una distensión de esta capa, resultando en una sensación dolorosa en el lado afectado.

La disnea, o dificultad para respirar, es otro síntoma común y se presenta en casi todos los pacientes con neumotórax. Esta dificultad respiratoria se debe a la reducción del volumen pulmonar efectivo; cuando el aire invade el espacio pleural, disminuye la capacidad del pulmón para expandirse adecuadamente. En casos graves, especialmente si el neumotórax es grande o si el paciente tiene una enfermedad pulmonar preexistente, la disnea puede volverse severa y potencialmente amenazar la vida.

La tos también es un síntoma que se reporta con frecuencia en pacientes con neumotórax. La tos puede ser una respuesta natural del cuerpo para intentar despejar el aire o cualquier irritante del tracto respiratorio, aunque también puede contribuir a agravar el dolor torácico y la dificultad respiratoria al aumentar la presión intrapleural.

La evaluación física del neumotórax varía considerablemente dependiendo de su tamaño. En el caso de un neumotórax pequeño, que ocupa menos del 15% del volumen de un hemitórax, los hallazgos físicos suelen ser mínimos. A menudo, la única manifestación detectable es una taquicardia leve, que refleja la respuesta del cuerpo al dolor y a la posible hipoxia. En estos casos, los signos físicos adicionales pueden ser normales o discretos.

En contraste, un neumotórax grande presenta hallazgos más evidentes. Se pueden encontrar sonidos respiratorios disminuidos en el lado afectado, ya que el aire en el espacio pleural interfiere con la transmisión de los sonidos respiratorios. Además, puede haber una disminución del fremitus táctil, que es la vibración que se siente al tocar el tórax mientras el paciente habla. La reducción del movimiento del pecho y un tono de percusión hiperresonante también son comunes en un neumotórax grande. Este sonido más resonante ocurre porque el aire libre en el espacio pleural hace que los tejidos subyacentes sean menos densos y, por lo tanto, más resonantes al ser percutidos.

Un neumotórax de tensión es una condición particularmente grave que requiere una evaluación urgente. En este escenario, el aire se acumula en el espacio pleural de manera progresiva, generando una presión que supera la presión dentro de los pulmones y las venas. Esto puede llevar a una compresión del pulmón afectado y al desplazamiento de estructuras mediastínicas, como el corazón y la tráquea. Los signos clínicos de un neumotórax de tensión incluyen taquicardia marcada, hipotensión y desplazamiento mediastínico o traqueal, los cuales indican una emergencia que necesita atención inmediata para evitar complicaciones potencialmente mortales.

Hallazgos de laboratorio

En la evaluación de pacientes con neumotórax, el análisis de gases en sangre arterial (ABG) suele ser menos prioritario debido a la naturaleza específica del diagnóstico, que a menudo puede realizarse mediante evaluación clínica e imagenológica. Sin embargo, cuando se realiza, el ABG puede proporcionar información valiosa sobre el estado respiratorio del paciente. En la mayoría de los casos, el análisis revela hipoxemia, que es una disminución del nivel de oxígeno en la sangre, y alcalosis respiratoria aguda. La alcalosis respiratoria ocurre debido a la hiperventilación, que es una respuesta común ante la dificultad respiratoria y el dolor asociado con el neumotórax. La hiperventilación reduce el dióxido de carbono en la sangre, lo que eleva el pH y causa alcalosis.

Además, el neumotórax primario, especialmente si es del lado izquierdo, puede tener implicaciones en el electrocardiograma (ECG). En algunos casos, los pacientes pueden presentar cambios en el eje QRS y alteraciones en las ondas T en las derivaciones precordiales del ECG. Estos cambios pueden ser interpretados erróneamente como signos de un infarto de miocardio agudo (IM), lo que puede llevar a confusión diagnóstica. Los cambios en el ECG se deben a la presión aumentada en el espacio pleural y el desplazamiento del mediastino, que pueden afectar la actividad eléctrica del corazón y provocar hallazgos similares a los de un infarto.

Por lo tanto, aunque el ABG puede ofrecer información adicional sobre la hipoxemia y la alcalosis respiratoria en pacientes con neumotórax, su utilidad en el diagnóstico específico del neumotórax suele ser limitada. En cambio, la evaluación clínica y los estudios de imagen, como la radiografía de tórax o la tomografía computarizada, son fundamentales para un diagnóstico preciso. Además, es importante considerar los posibles cambios en el ECG en el contexto del neumotórax para evitar malinterpretaciones y garantizar una gestión adecuada del paciente.


Hallazgos de imágen

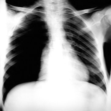
En el diagnóstico del neumotórax, la radiografía de tórax es una herramienta fundamental que permite observar características específicas asociadas con la acumulación de aire en el espacio pleural. En una radiografía de tórax, la presencia de un neumotórax se manifiesta como un área de radiolucidez, o «luz», entre la pared torácica y el pulmón, donde no se aprecian las marcas pulmonares normales. Esto indica la existencia de aire en el espacio pleural. Además, la visualización de una «línea pleural», que es la línea delgada formada por la pleura visceral separada de la pleura parietal por el aire, es un hallazgo diagnósticamente significativo.

En algunos casos, los pacientes con neumotórax pueden desarrollar un derrame pleural secundario, que puede ser identificado en la radiografía de tórax como un nivel característico de aire-fluido. Esto se presenta como una interfaz entre el aire y el líquido en el espacio pleural, evidenciada en la radiografía.

Para los pacientes que se encuentran en posición supina, la radiografía de tórax convencional puede no mostrar claramente el neumotórax, y en su lugar, se puede observar un «surco profundo» en el área costofrénica. Este hallazgo radiológico se debe a la acumulación de aire en el espacio pleural, que desplaza el diafragma hacia arriba, creando una radiolucidez anormal en la región costofrénica.

En situaciones de neumotórax de tensión, la radiografía de tórax revela una acumulación significativa de aire en el hemitórax afectado. Este exceso de aire provoca un desplazamiento del mediastino hacia el lado opuesto, una característica clave para la identificación de esta condición crítica.

La ecografía de tórax, que puede realizarse junto a la cama por médicos o técnicos experimentados, ofrece una evaluación dinámica y detallada de la región afectada. La ecografía es particularmente útil en la detección de neumotórax, especialmente en pacientes traumatizados, y a menudo se prefiere en entornos de cuidados intensivos. Su sensibilidad para detectar neumotórax en comparación con la radiografía de tórax en pacientes en posición supina puede ser mayor, aunque las características de prueba pueden variar según el contexto clínico y el operador.

Finalmente, en el caso de un neumotórax espontáneo, especialmente si se presenta por primera vez, una tomografía computarizada de alta resolución puede ser considerada para evaluar la presencia de enfermedades pulmonares quísticas subyacentes. Esta técnica proporciona una visión más detallada y precisa del pulmón y puede ayudar a identificar anomalías pulmonares que podrían haber contribuido al desarrollo del neumotórax.


Diagnóstico diferencial

En un paciente joven que presenta síntomas típicos de neumotórax espontáneo primario, el diagnóstico suele ser bastante evidente y puede confirmarse fácilmente mediante una radiografía de tórax (CXR). Este tipo de neumotórax generalmente ocurre en personas jóvenes, delgadas y saludables, y se manifiesta con síntomas como dolor torácico agudo y disnea. En estos casos, los hallazgos en la CXR muestran típicamente una área de radiolucidez entre la pared torácica y el pulmón, junto con una línea pleural visible, que son características diagnósticas de la presencia de aire en el espacio pleural.

Sin embargo, en ocasiones el neumotórax puede presentar desafíos diagnósticos, ya que puede imitar otras condiciones clínicas. Por ejemplo, puede presentar síntomas y hallazgos que se asemejan a los de un infarto de miocardio (IM), una embolia pulmonar (EP) o una neumonía, complicando el diagnóstico diferencial.

  • Infarto de Miocardio (IM): El dolor torácico asociado con un neumotórax puede ser intenso y localizado, lo cual puede ser confundido con el dolor anginoso característico de un infarto. Además, los cambios en el electrocardiograma (ECG) asociados con un neumotórax, como la alteración en el eje QRS y las ondas T en las derivaciones precordiales, pueden ser similares a los hallazgos en un IM, lo que puede llevar a una interpretación errónea.
  • Embolia Pulmonar (EP): La disnea severa y la posible taquicardia asociada con el neumotórax pueden parecerse a los síntomas de una embolia pulmonar. Ambas condiciones pueden presentar dificultad respiratoria y dolor torácico, lo que puede hacer que se necesite una evaluación cuidadosa para diferenciar entre estas afecciones.
  • Neumonía: Los síntomas de un neumotórax, como el dolor torácico y la tos, también pueden estar presentes en una neumonía. Aunque la radiografía de tórax puede ayudar a diferenciar entre neumotórax y neumonía, en algunos casos, la presentación clínica puede solaparse, requiriendo una interpretación detallada de las imágenes y el contexto clínico del paciente.

Complicaciones

El neumotórax de tensión es una urgencia médica crítica que puede comprometer gravemente la vida del paciente. En esta condición, la acumulación de aire en el espacio pleural se incrementa progresivamente, generando una presión que supera la presión intrapulmonar y venosa. Este aumento de presión causa la compresión del pulmón afectado y desplaza el mediastino hacia el lado opuesto, lo que puede llevar a una reducción significativa del retorno venoso al corazón y a una disminución del gasto cardíaco. Sin intervención inmediata, el neumotórax de tensión puede resultar en insuficiencia respiratoria y cardiovascular, poniendo en grave peligro la vida del paciente.

Además de los riesgos inmediatos asociados con el neumotórax de tensión, el neumotórax espontáneo puede también dar lugar a complicaciones adicionales, como el neumomediastino y el enfisema subcutáneo.

El neumomediastino ocurre cuando aire se acumula en el mediastino, el área central del tórax que contiene el corazón, grandes vasos sanguíneos, tráquea y esófago. Esta condición puede ser una complicación del neumotórax espontáneo si el aire se desplaza desde el espacio pleural hacia el mediastino. El neumomediastino puede presentar síntomas como dolor torácico, disnea y, a veces, una sensación de plenitud en el pecho. En la evaluación clínica, el neumomediastino puede aparecer en la radiografía de tórax o en la tomografía computarizada. Es crucial considerar el diagnóstico diferencial para esta condición, ya que el neumomediastino puede ser causado por una ruptura del esófago o un bronquio, situaciones que requieren un manejo urgente. La ruptura esofágica o bronquial puede introducir aire en el mediastino desde el tracto gastrointestinal o respiratorio, respectivamente, y debe ser identificada y tratada adecuadamente para evitar complicaciones graves.

El enfisema subcutáneo es otra complicación posible del neumotórax espontáneo. Se produce cuando el aire se infiltra en los tejidos subcutáneos, creando una sensación de burbujeo bajo la piel y, a menudo, se acompaña de una expansión visible en el área afectada. Este aire puede provenir del espacio pleural si hay una comunicación entre el neumotórax y los tejidos subcutáneos. Aunque el enfisema subcutáneo en sí mismo puede no ser inmediatamente peligroso, indica que hay una fuga de aire y puede ser un signo de otras complicaciones subyacentes.


Tratamiento

El tratamiento del neumotórax se determina en función de la gravedad de la condición, que a su vez está influenciada por el tamaño del neumotórax, la intensidad de los síntomas y la presencia de enfermedades pulmonares subyacentes. En pacientes con neumotórax primario espontáneo, que es una acumulación de aire en el espacio pleural sin una causa externa evidente, el enfoque terapéutico puede variar dependiendo de la estabilidad del paciente y la extensión del neumotórax.

En casos de neumotórax primario espontáneo en pacientes estables, especialmente si los síntomas son mínimos y el neumotórax es pequeño, la observación puede ser una estrategia adecuada. Esta aproximación se basa en el hecho de que muchos neumotórax pequeños tienden a resolverse espontáneamente con el tiempo. El aire acumulado en el espacio pleural es gradualmente reabsorbido por el cuerpo, permitiendo que el pulmón se reexpanda de manera natural. Durante este período de observación, se realiza un seguimiento clínico regular para asegurarse de que el neumotórax no progrese y que el paciente permanezca estable.

En contraste, para neumotórax espontáneos primarios que son grandes o que muestran una tendencia a progresar, puede ser necesario realizar una drenaje de aspiración simple. Esta intervención implica la colocación de un catéter de pequeño calibre, como un angiocatéter de calibre 16 o un catéter de drenaje más grande, para aspirar el aire del espacio pleural. Esta técnica permite la reducción rápida del volumen de aire en el espacio pleural, aliviando los síntomas y facilitando la expansión del pulmón. La aspiración simple es a menudo suficiente para casos grandes que no han respondido a la observación y para evitar la progresión del neumotórax.

Otra opción es la colocación de un tubo torácico de pequeño diámetro, generalmente entre 7F y 14F, que se conecta a una válvula Heimlich unidireccional. Esta válvula permite la salida del aire acumulado mientras impide la entrada de aire al espacio pleural, ofreciendo una protección adicional contra el desarrollo de un neumotórax de tensión. Además, el uso de un tubo torácico con una válvula puede permitir una mayor flexibilidad en la observación del paciente, ya que puede permitir el manejo del neumotórax en un entorno ambulatorio si el paciente está en condiciones de hacerlo.

A lo largo del tratamiento, es crucial que el paciente reciba tratamiento sintomático para el dolor torácico y la tos, que son síntomas comunes del neumotórax. La monitoreo continuomediante radiografías de tórax en serie, realizadas cada 24 horas, es esencial para evaluar la evolución del neumotórax y asegurar que el pulmón se esté reexpandiendo adecuadamente. Estas radiografías permiten a los médicos verificar si el volumen de aire en el espacio pleural está disminuyendo y si el estado del pulmón está mejorando.

En pacientes con neumotórax secundario, neumotórax de tensión, síntomas graves o aquellos que se encuentran bajo ventilación mecánica, la intervención con colocación de un tubo torácico (toracostomía con tubo) se considera esencial. Esta estrategia permite un manejo eficaz del aire acumulado en el espacio pleural y la resolución de la condición.

El tubo torácico se inserta a través de una incisión en la pared torácica y se coloca bajo un sistema de drenaje con sello de agua, que facilita la eliminación continua del aire del espacio pleural. Una vez colocado, se aplica succión al sistema para promover la reexpansión completa del pulmón. La succión continua asegura que el aire atrapado sea evacuado de manera eficiente, permitiendo que el pulmón se expanda y recupere su volumen normal. La duración de la colocación del tubo torácico depende de la evolución clínica y la disminución de la fuga de aire; el tubo puede ser retirado una vez que se observa una resolución satisfactoria del neumotórax y la fuga de aire ha disminuido considerablemente.

Es fundamental que todos los pacientes con antecedentes de neumotórax, especialmente aquellos que fuman, reciban recomendaciones sobre el cese del tabaquismo. Fumar cigarrillos está estrechamente asociado con un mayor riesgo de recurrencia del neumotórax, ya que el humo del tabaco puede contribuir al debilitamiento de las estructuras pulmonares y aumentar la formación de blebs o ampollas, predisponiendo a nuevos episodios de neumotórax.

Cuando se enfrenta a neumotórax espontáneo recurrente o neumotórax bilateral, o cuando el neumotórax no se resuelve adecuadamente con el tratamiento inicial (por ejemplo, si el pulmón no se expande completamente o hay una fuga persistente de aire), las indicaciones para el manejo quirúrgico se vuelven más claras. La cirugía toracoscópica asistida por vídeo (VATS) es una técnica recomendada en estos casos. Esta modalidad quirúrgica permite una inspección directa del espacio pleural y la intervención precisa para abordar la causa subyacente del neumotórax. La VATS puede incluir la resección de blebs o bullas responsables del neumotórax y la realización de pleurodesis. La pleurodesis, que puede ser mecánica o química, tiene como objetivo inducir la adhesión de las pleuras visceral y parietal para prevenir la recurrencia al eliminar el espacio pleural donde pueda acumularse aire en el futuro.

En pacientes que no son candidatos adecuados para una cirugía toracoscópica, se puede considerar la pleurodesis química a través del tubo torácico. Este procedimiento implica la administración de agentes químicos en el espacio pleural para promover la adhesión de las pleuras y prevenir futuros episodios de neumotórax.


Pronóstico

A pesar de la intervención inicial para su tratamiento, los pacientes con neumotórax espontáneo pueden enfrentar una tasa significativa de recurrencia. Aproximadamente el 30% de los pacientes experimentan una recurrencia del neumotórax después de un episodio inicial, ya sea que hayan sido tratados mediante observación clínica o mediante toracostomía con tubo.

La alta tasa de recurrencia después del primer episodio se debe a varios factores. El neumotórax espontáneo primario, que ocurre en individuos sin enfermedad pulmonar subyacente, está frecuentemente asociado con la presencia de blebs o ampollas apicales en el pulmón. Estos blebs, al ser estructuras débiles, pueden rupturarse nuevamente, especialmente si no se aborda la causa subyacente o si el pulmón afectado no se ha cicatrizado adecuadamente. En muchos casos, la observación o el tratamiento inicial con toracostomía de tubo, que tiene como objetivo drenar el aire acumulado y permitir que el pulmón se reexpanda, no siempre resuelve el problema subyacente de manera definitiva. Esto puede llevar a la reaparición del neumotórax en una proporción considerable de pacientes.

Por otro lado, cuando el neumotórax espontáneo es tratado quirúrgicamente, la recurrencia es menos frecuente. Las opciones quirúrgicas, como la pleurodesis (un procedimiento que induce la adhesión de las pleuras parietal y visceral para evitar la acumulación de aire), abordan de manera más eficaz el problema subyacente al eliminar las ampollas o blebs que predisponen a la recurrencia. La intervención quirúrgica, al atacar la raíz del problema, tiene un impacto más duradero en la prevención de futuros episodios.

En general, una vez que se ha realizado una terapia exitosa, ya sea mediante toracostomía de tubo o cirugía, los pacientes suelen experimentar una recuperación satisfactoria sin complicaciones a largo plazo. La resolución del neumotórax y la reexpansión completa del pulmón suelen llevar a una restauración completa de la función pulmonar sin secuelas duraderas, siempre y cuando no haya complicaciones adicionales durante el tratamiento.

Sin embargo, el neumotórax secundario, que ocurre en el contexto de una enfermedad pulmonar preexistente, presenta un desafío adicional. Los pacientes con neumotórax secundario tienen hasta un 50% de probabilidad de experimentar una recurrencia después del primer episodio si no se realiza una intervención quirúrgica adecuada. La alta tasa de recurrencia en estos casos se debe a que la presencia de una enfermedad pulmonar subyacente, como la enfermedad pulmonar obstructiva crónica (EPOC) o la fibrosis quística, puede predisponer al desarrollo continuo de blebs o ampollas, y las condiciones subyacentes pueden seguir contribuyendo a la inestabilidad pulmonar.

 

 

Homo medicus

 


 

Guías de estudio. Homo medicus.
Guías de estudio. Homo medicus.

¡Gracias por visitarnos!

 

Fuente y lecturas recomendadas:
  1. Brown, S. G., & PSP Investigators. (2020). Conservative versus interventional treatment for spontaneous pneumothorax. New England Journal of Medicine, 382, 405.
  2. Chan, K. K., Sia, S. Y., & Cheong, J. H. (2020). Chest ultrasonography versus supine chest radiography for diagnosis of pneumothorax in trauma patients in the emergency department. Cochrane Database of Systematic Reviews, 7, CD013031.
  3. Hallifax, R. J., & Lee, P. C. (2020). Ambulatory management of primary spontaneous pneumothorax: An open-label, randomised controlled trial. Lancet, 396, 39.
Síguenos en X: @el_homomedicus  y @enarm_intensivo  Síguenos en instagram: homomedicus  y en Treads.net como: Homomedicus  

🟥     🟪     🟨     🟧     🟩     🟦

Aprende administración paso a paso

Administración Desde Cero

ADMINISTRACION DESDE CERO

¿De cuánta utilidad te ha parecido este contenido?

¡Haz clic en una estrella para puntuarlo!

Promedio de puntuación 0 / 5. Recuento de votos: 0

Hasta ahora, ¡no hay votos!. Sé el primero en puntuar este contenido.

Ya que has encontrado útil este contenido...

¡Sígueme en los medios sociales!

Si te fue útil este resumen, compártelo por favor!