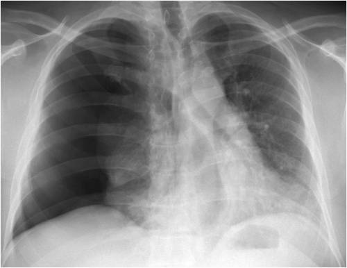
El neumotórax espontáneo es una condición en la cual se acumula aire en el espacio entre la pared torácica y los pulmones, lo que puede provocar la colapsión parcial o total de un pulmón. Cuando se trata de la recurrencia de esta afección, hay varios factores a considerar.
El neumotórax espontáneo es una condición médica en la cual se produce una acumulación de aire en el espacio que existe entre la pared del tórax y la superficie externa del pulmón. Normalmente, este espacio está ocupado por una fina capa de líquido que permite que los pulmones se expandan y contraigan al respirar sin dificultad.
Cuando se produce un neumotórax espontáneo, este espacio se llena de aire, lo que puede deberse a la ruptura de pequeñas bolsas de aire en la superficie del pulmón, llamadas blebs o bullae. Estas bolsas pueden romperse repentinamente, liberando aire en el espacio entre el pulmón y la pared torácica. Como resultado, el pulmón afectado puede colapsar parcial o totalmente, lo que interfiere con la capacidad del paciente para respirar normalmente.
Los síntomas de un neumotórax espontáneo pueden incluir dolor repentino en el pecho, dificultad para respirar, sensación de opresión en el pecho y, en casos más graves, cianosis (coloración azulada de la piel debido a la falta de oxígeno). La gravedad del neumotórax puede variar desde casos leves que no requieren tratamiento hasta situaciones más graves que pueden amenazar la vida y requerir intervención médica urgente.
Es importante destacar que el neumotórax espontáneo puede ocurrir en personas sin antecedentes médicos significativos y sin una causa evidente, lo que lo diferencia del neumotórax traumático, que se produce como resultado de una lesión en el pecho, y del neumotórax secundario, que está asociado con condiciones médicas subyacentes como enfermedades pulmonares o el uso de ventilación mecánica.
La tasa de recurrencia después de la observación o la inserción de un tubo en el pecho (toracostomía con tubo) para el primer episodio es del 30%. Esto significa que alrededor de una tercera parte de los pacientes que han experimentado un neumotórax espontáneo una vez experimentarán un episodio recurrente, a pesar de recibir estos tratamientos iniciales. La razón detrás de esto puede ser multifactorial, incluyendo la presencia de tejido pulmonar débil o propenso a rupturas, así como otras condiciones subyacentes que pueden predisponer a la recurrencia.
En contraste, la recurrencia después de la terapia quirúrgica es menos frecuente. Esto sugiere que la intervención quirúrgica puede abordar eficazmente las causas subyacentes del neumotórax espontáneo, como las bolsas de aire anormales en los pulmones (llamadas blebs o bullae), reduciendo así la probabilidad de futuros episodios. Los procedimientos quirúrgicos pueden incluir técnicas para eliminar estas bolsas de aire y reforzar la pared del pulmón, disminuyendo así la posibilidad de que ocurran fugas de aire.

Además, es importante destacar que después de una terapia exitosa, ya sea observación, toracostomía con tubo o cirugía, no hay complicaciones a largo plazo conocidas asociadas con el neumotórax espontáneo. Esto proporciona tranquilidad a los pacientes y profesionales de la salud al saber que una vez que se ha tratado eficazmente el neumotórax, no hay efectos adversos persistentes.
Sin embargo, es crucial tener en cuenta que el neumotórax secundario, que ocurre como resultado de una lesión o enfermedad subyacente, presenta un mayor riesgo de recurrencia. En particular, si no se realiza intervención quirúrgica para abordar la causa subyacente del neumotórax secundario, la probabilidad de recurrencia puede alcanzar hasta el 50%. Esto subraya la importancia de identificar y tratar la causa subyacente del neumotórax secundario para reducir el riesgo de futuros episodios.


