poliangitis microscópica
poliangitis microscópica

¿Qué es la poliangitis microscópica?

La instauración del término «poliangitis microscópica» por Davson en 1948 se fundamentó en su identificación de la presencia de glomerulonefritis en individuos afectados por poliarteritis nodosa. Este concepto fue adoptado de manera más formal en la Conferencia de Chapel Hill de consenso sobre nomenclatura de Vasculitis Sistémica en 1992. En dicho evento, se estableció que «poliangitis microscópica» sería el término adecuado para describir una forma específica de vasculitis sistémica caracterizada por una vasculitis necrosante que afecta vasos finos, como capilares, vénulas y arteriolas, y presenta escasos complejos inmunitarios o, en algunos casos, carece por completo de ellos.

Un rasgo distintivo de la poliangitis microscópica es su asociación frecuente con glomerulonefritis, siendo la capilaritis pulmonar otra manifestación común. La diferencia fundamental con la granulomatosis con poliangitis radica en la ausencia de inflamación granulomatosa en la poliangitis microscópica. Esta distinción es esencial para un diagnóstico preciso y una comprensión más profunda de las características clínicas y patológicas de la enfermedad.

La terminología específica utilizada, que destaca la naturaleza de la inflamación y la presencia limitada de complejos inmunitarios, proporciona un marco conceptual claro para la identificación y clasificación de la poliangitis microscópica. Este enfoque terminológico y conceptual es crucial para la precisión diagnóstica y un abordaje terapéutico adecuado en el contexto de las vasculitis sistémicas.

 

Epidemiología

La frecuencia estimada de poliangitis microscópica, con alrededor de 3 a 5 casos por cada 100,000 personas, refleja la relativamente baja incidencia de esta enfermedad en la población en general. Este cálculo se basa en la observación de casos diagnosticados y reportados, indicando que la poliangitis microscópica es considerada una enfermedad rara.

La edad media de inicio alrededor de los 57 años revela que esta enfermedad tiende a afectar a individuos en la segunda mitad de la vida. Este patrón temporal podría asociarse con factores genéticos, ambientales u otros que influyen en la predisposición a desarrollar la poliangitis microscópica en una etapa específica de la vida.

La diferencia en la frecuencia de afectación entre los géneros, con una leve predisposición en los varones en comparación con las mujeres, sugiere posibles disparidades en la susceptibilidad o factores de riesgo relacionados con el género. Estas variaciones pueden influir en la incidencia y la presentación de la enfermedad.

La frecuencia de la poliangitis microscópica también puede estar vinculada a factores de riesgo específicos y desencadenantes ambientales. Exposiciones a agentes patógenos, predisposición genética y otros elementos pueden interactuar de manera compleja, contribuyendo al desarrollo de la enfermedad.

La naturaleza subdiagnosticada de la poliangitis microscópica, debido a sus síntomas iniciales inespecíficos y la necesidad de pruebas específicas para confirmar el diagnóstico, puede influir en la percepción de la rareza de la enfermedad y en la estimación de su frecuencia real.

 

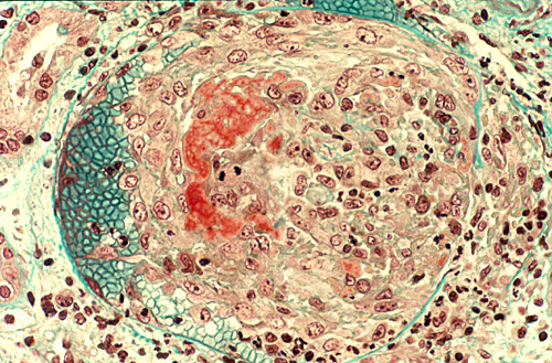
Histopatología y patogenia de la poliangitis microscópica

La histopatología y patogenia de la poliangitis microscópica revelan características distintivas que arrojan luz sobre la naturaleza de la enfermedad. La vasculitis asociada con esta condición muestra una clara predilección por capilares y vénulas, afectando además arterias de calibres pequeño y mediano. Este patrón específico de afectación vascular es una característica notable de la enfermedad.

En términos de respuesta inmunológica, la tinción inmunohistoquímica en las lesiones vasculares de la poliangitis microscópica indica un escaso depósito de inmunoglobulinas. Este hallazgo sugiere que la formación de complejos inmunitarios, común en otras formas de vasculitis, tiene una participación limitada o nula en la patogenia de la poliangitis microscópica.

La lesión renal en la poliangitis microscópica presenta similitudes notables con la observada en la granulomatosis con poliangitis, lo que indica una convergencia en los aspectos histopatológicos entre estas dos formas de vasculitis. Esta similitud plantea interrogantes sobre posibles mecanismos compartidos en la afectación renal de estas enfermedades.

Una característica clave es la fuerte asociación de la poliangitis microscópica con la presencia de anticuerpos anticitoplasma de neutrófilos (ANCA). La presencia de ANCA, similar a lo observado en la granulomatosis con poliangitis, sugiere que estos anticuerpos podrían desempeñar un papel relevante en la patogenia del síndrome. Sin embargo, los mecanismos precisos mediante los cuales los ANCA contribuyen a la inflamación vascular aún no están completamente esclarecidos.

 

Manifestaciones clínicas

La semejanza en los signos clínicos entre la poliangitis microscópica y la granulomatosis con poliangitis encuentra su explicación en la preferencia compartida por afectar vasos finos en ambas condiciones. Este factor subyacente contribuye a la similitud en la presentación clínica, aunque ambas enfermedades tienen características distintivas.

Ambas condiciones suelen manifestar un inicio gradual, con síntomas iniciales que pueden ser inespecíficos, tales como fiebre, pérdida de peso y dolor musculoesquelético. A pesar de este inicio gradual, el curso de la enfermedad tiende a ser agudo en ambas, con una rápida progresión de los síntomas y posibles complicaciones.

La glomerulonefritis, una complicación renal, es una característica compartida que aparece en al menos el 79% de los pacientes con poliangitis microscópica. Esta afectación renal puede evolucionar rápidamente, llevando a la insuficiencia renal en algunos casos.

La presencia de hemoptisis, que puede ser el primer signo de hemorragia alveolar, se observa en aproximadamente el 12% de los pacientes con ambas enfermedades. Este síntoma subraya la significativa afectación pulmonar que puede ocurrir en ambas poliangitis microscópica y granulomatosis con poliangitis.

Otras manifestaciones clínicas incluyen mononeuritis múltiple y vasculitis del tubo digestivo y la piel. Es esencial destacar que, a diferencia de la granulomatosis con poliangitis, la poliangitis microscópica no muestra típicamente afectación de las vías respiratorias altas ni nódulos pulmonares. La presencia de estos hallazgos sugiere más fuertemente la posibilidad de granulomatosis con poliangitis.

 

Exámenes complementarios

Los signos de inflamación observados en la poliangitis microscópica pueden abarcar un aumento en la tasa de eritrosedimentación, la proteína C reactiva, o ambas. Además, pueden manifestarse anemia, leucocitosis y trombocitosis. Estos indicadores hematológicos y de inflamación reflejan la respuesta del organismo a la enfermedad y son componentes clave en la evaluación diagnóstica.

En aproximadamente el 75% de los pacientes con poliangitis microscópica se detectan anticuerpos anticitoplasma de neutrófilos (ANCA). Entre los ANCA asociados con esta enfermedad, los dirigidos contra la mieloperoxidasa son predominantes. La presencia de estos autoanticuerpos es un marcador importante que respalda el diagnóstico de poliangitis microscópica y contribuye a la comprensión de los mecanismos inmunológicos subyacentes.

El diagnóstico de la poliangitis microscópica se fundamenta en pruebas histopatológicas que evidencien la presencia de vasculitis o glomerulonefritis pauciinmunitaria en un paciente que presenta características clínicas compatibles con la afectación de múltiples sistemas y órganos. La combinación de hallazgos clínicos y pruebas histopatológicas proporciona una base sólida para la identificación de la enfermedad.

Es relevante destacar que la poliangitis microscópica está vinculada con la presencia de ANCA, aunque la sensibilidad y especificidad de estos autoanticuerpos para confirmar la enfermedad aún no han sido completamente corroboradas por estudios específicos. La presencia de ANCA en el contexto clínico adecuado fortalece el diagnóstico, pero se necesita cautela en la interpretación, ya que la sensibilidad y especificidad de estos autoanticuerpos en la poliangitis microscópica pueden variar.

 

 

Homo medicus

 


 

 

 

Guías de estudio. Homo medicus.
Guías de estudio. Homo medicus.

 

Consultorio Médico Exitoso: Consejos para otorgar un servicio de calidad, para atraer pacientes y conservarlos a largo plazo.
Consultorio Médico Exitoso: Consejos para otorgar un servicio de calidad, para atraer pacientes y conservarlos a largo plazo.
Síguenos en X: @el_homomedicus  y @enarm_intensivo  Síguenos en instagram: homomedicus  y en Treads.net como: Homomedicus  

🟥     🟪     🟨     🟧     🟩     🟦

Aprende administración paso a paso

Administración Desde Cero

ADMINISTRACION DESDE CERO

¿De cuánta utilidad te ha parecido este contenido?

¡Haz clic en una estrella para puntuarlo!

Promedio de puntuación 0 / 5. Recuento de votos: 0

Hasta ahora, ¡no hay votos!. Sé el primero en puntuar este contenido.

Ya que has encontrado útil este contenido...

¡Sígueme en los medios sociales!

Si te fue útil este resumen, compártelo por favor!