La glomerulonefritis aguda es una causa poco frecuente de lesión renal aguda, representando aproximadamente el cinco por ciento de los casos. Esta baja prevalencia se debe a que la lesión renal aguda tiene múltiples etiologías, siendo las más comunes aquellas relacionadas con causas prerrenales, como la hipovolemia y la insuficiencia cardíaca, o causas intrínsecas no glomerulares, como la necrosis tubular aguda. En contraste con estas entidades, la glomerulonefritis aguda afecta específicamente la unidad glomerular, lo que limita su incidencia relativa dentro del espectro de la insuficiencia renal aguda.
En los casos en los que la glomerulonefritis aguda es la causa subyacente de la lesión renal aguda, el mecanismo fisiopatológico central es la inflamación del glomérulo, la cual desencadena una respuesta proliferativa de los podocitos, las células endoteliales de los capilares glomerulares o las células mesangiales, o una combinación de estos eventos. Esta proliferación celular contribuye a la disrupción de la arquitectura glomerular, lo que compromete la filtración glomerular y agrava la disfunción renal.
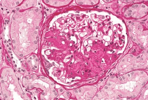
En los casos más severos, la inflamación y el daño capilar pueden provocar la ruptura de las paredes glomerulares, lo que permite la extravasación de células inflamatorias hacia la cápsula de Bowman. Este proceso puede dar lugar a la formación de semilunas glomerulares, que corresponden a proliferaciones extracapilares de células epiteliales parietales y leucocitos que rodean el ovillo glomerular. La presencia de estas semilunas es un marcador de daño severo y se asocia con una evolución clínica desfavorable, ya que interfiere con la estructura glomerular normal y puede llevar a la fibrosis progresiva y la insuficiencia renal crónica.
El pronóstico en la glomerulonefritis aguda depende de la extensión del compromiso glomerular y la gravedad de las lesiones histológicas. Cuando un alto porcentaje de glomérulos está afectado y las lesiones son severas, especialmente en presencia de semilunas, la probabilidad de progresión hacia la insuficiencia renal crónica es significativamente mayor. Por esta razón, en los casos de glomerulonefritis aguda con afectación extensa, se requiere un diagnóstico y tratamiento oportunos para minimizar el daño renal y mejorar los desenlaces clínicos a largo plazo.
Tipos
Las glomerulonefritis constituyen un grupo heterogéneo de enfermedades renales cuya clasificación en cinco procesos fisiopatológicos responde a los distintos mecanismos patogénicos subyacentes. Estos procesos incluyen la glomerulonefritis mediada por inmunocomplejos, la glomerulonefritis asociada a anticuerpos dirigidos contra la membrana basal glomerular, la glomerulonefritis pauciinmune, la glomerulonefritis mediada por inmunoglobulina monoclonal y la glomerulopatía por C3. Además, existen causas vasculares de glomerulonefritis, como las emergencias hipertensivas y las microangiopatías trombóticas.
Glomerulonefritis mediada por inmunocomplejos
Este mecanismo se produce cuando los autoanticuerpos se combinan con antígenos para formar inmunocomplejos que se depositan en los glomérulos, desencadenando una respuesta inflamatoria mediada por el sistema del complemento y la activación de células inmunitarias. Existen varias enfermedades específicas dentro de este grupo, como la nefropatía por inmunoglobulina A, la glomerulonefritis relacionada con infecciones, la nefritis lúpica y la glomerulonefritis crioglobulinémica, esta última comúnmente asociada con la infección por el virus de la hepatitis C. La variabilidad en la presentación clínica y la evolución de estas enfermedades depende en gran medida del patrón de depósito de los inmunocomplejos, la intensidad de la inflamación y la activación del complemento.
Glomerulonefritis asociada a anticuerpos contra la membrana basal glomerular
En este tipo de glomerulonefritis, los autoanticuerpos están dirigidos contra el colágeno tipo IV de la membrana basal glomerular. Cuando el proceso patológico se limita a los riñones, se habla de glomerulonefritis anti-membrana basal glomerular, pero cuando la enfermedad se asocia con hemorragia pulmonar, se denomina síndrome de Goodpasture. En ambos casos, el daño glomerular se debe a la activación del complemento y la infiltración de células inflamatorias, lo que genera necrosis y formación de semilunas en los glomérulos.
Glomerulonefritis pauciinmune
Este subtipo de glomerulonefritis se asocia con vasculitis de vasos pequeños mediada por anticuerpos contra el citoplasma de los neutrófilos (ANCA). A diferencia de las glomerulonefritis por inmunocomplejos o anti-membrana basal glomerular, no hay un depósito significativo de inmunoglobulinas en los glomérulos. Se cree que el daño tisular es consecuencia de la activación de neutrófilos por los autoanticuerpos, lo que desencadena la liberación de enzimas y mediadores inflamatorios que dañan el endotelio vascular. Ejemplos representativos de esta categoría incluyen la granulomatosis con poliangeítis, que además de glomerulonefritis puede afectar las vías respiratorias superiores, los pulmones y la piel, y la poliangeítis microscópica, que también puede manifestarse con daño glomerular severo. En estos casos, los antígenos más frecuentemente implicados son la proteinasa 3 (PR3) en la granulomatosis con poliangeítis y la mieloperoxidasa (MPO) en la poliangeítis microscópica.
Glomerulonefritis mediada por inmunoglobulina monoclonal
Este proceso se caracteriza por la deposición de inmunoglobulinas monoclonales en los glomérulos, la membrana basal tubular o ambas estructuras. Estas inmunoglobulinas pueden identificarse mediante técnicas de inmunofluorescencia o inmunohistoquímica en biopsias renales. En muchos casos, la enfermedad se desarrolla en el contexto de una gammapatía monoclonal, aunque en algunos pacientes no se identifica una alteración hematológica evidente. Para su diagnóstico, es fundamental la realización de electroforesis de proteínas séricas, inmunofijación y análisis de cadenas ligeras libres en suero, que permiten detectar la producción anómala de inmunoglobulinas monoclonales.
Glomerulopatía por C3
La glomerulopatía por C3 se caracteriza por un depósito predominante de la fracción C3 del complemento en los glomérulos, con mínima o nula presencia de inmunoglobulinas. Esta enfermedad resulta de anomalías en la regulación de la vía alternativa del complemento, lo que provoca una activación incontrolada del sistema del complemento y daño glomerular. La medición de los niveles séricos de C3 puede ser útil en el diagnóstico, aunque niveles normales no descartan la enfermedad.
Causas vasculares de glomerulonefritis
Además de los mecanismos inmunológicos mencionados, existen causas vasculares que pueden inducir glomerulonefritis. Entre ellas destacan las emergencias hipertensivas, en las que la disrupción de la autorregulación renal conduce a daño endotelial y necrosis fibrinoide de los vasos pequeños. También se incluyen las microangiopatías trombóticas, como el síndrome urémico hemolítico y la púrpura trombocitopénica trombótica, en las que la disfunción endotelial y la activación plaquetaria provocan formación de microtrombos en la microvasculatura renal, con daño glomerular secundario.
Manifestaciones clínicas
Los pacientes con glomerulonefritis aguda pueden presentar hipertensión arterial y edema debido a la combinación de inflamación glomerular, disfunción de la barrera de filtración y activación de mecanismos neurohormonales. La reducción de la tasa de filtración glomerular desencadena la activación del sistema renina-angiotensina-aldosterona, lo que aumenta la reabsorción de sodio y agua en los túbulos renales, favoreciendo la expansión del volumen intravascular y elevando la presión arterial. Adicionalmente, el daño endotelial y la disfunción de la autorregulación renal contribuyen al aumento de la resistencia vascular sistémica. La hipertensión en estos pacientes puede ser de difícil control y, en algunos casos, requiere tratamiento antihipertensivo intensivo para prevenir complicaciones cardiovasculares y cerebrovasculares.
El edema es una manifestación frecuente y se origina en la combinación de retención de sodio y agua con la pérdida de proteínas plasmáticas. La inflamación glomerular altera la permeabilidad de la membrana basal, lo que permite la pérdida de albúmina y otras proteínas hacia la orina. La disminución de la presión oncótica plasmática facilita la extravasación de líquido hacia el intersticio, provocando edema periférico y, en casos más severos, edema pulmonar.
Las manifestaciones extrarrenales dependen de la etiología subyacente de la glomerulonefritis. En la nefritis lúpica, los pacientes pueden presentar erupciones cutáneas, artralgias y síntomas sistémicos como fiebre y fatiga. En la glomerulonefritis asociada a anticuerpos contra el citoplasma de los neutrófilos, las manifestaciones pueden incluir sinusitis crónica, tos, hemoptisis y disnea debido a la afectación pulmonar. Además, es frecuente que estos pacientes refieran fatiga subaguda y pérdida de peso como parte del síndrome inflamatorio sistémico. En la crioglobulinemia mixta, una patología frecuentemente vinculada con la infección por el virus de la hepatitis C, pueden observarse signos como púrpura palpable, artralgias y fenómeno de Raynaud, además del daño glomerular.
Exámenes diagnósticos
Aunque la hematuria microscópica es un hallazgo común en las glomerulonefritis, la hematuria macroscópica es poco frecuente y suele observarse en enfermedades específicas. En la nefropatía por inmunoglobulina A, la hematuria macroscópica puede presentarse de forma episódica tras infecciones del tracto respiratorio superior o ejercicio intenso, lo que refleja la activación del complemento y el depósito de inmunoglobulina A en los glomérulos. Otras formas de glomerulonefritis, como la postinfecciosa o la rápidamente progresiva, pueden asociarse con hematuria macroscópica secundaria a disrupción de la membrana basal y extravasación de eritrocitos a la orina.
La elevación de la creatinina sérica en pacientes con glomerulonefritis puede ocurrir en un periodo variable, desde días hasta meses, dependiendo de la velocidad del proceso patológico subyacente. En las formas agudas y rápidamente progresivas, la inflamación glomerular intensa y la proliferación celular comprometen rápidamente la filtración glomerular, lo que conduce a un ascenso acelerado de la creatinina. En contraste, en glomerulonefritis crónicas o de evolución más lenta, la pérdida de función renal es progresiva y puede manifestarse con un incremento más gradual de este biomarcador.
El examen inicial de orina mediante tira reactiva suele revelar la presencia de hematuria y proteinuria, lo que sugiere daño a la barrera de filtración glomerular. Sin embargo, el análisis microscópico de la orina proporciona información más detallada sobre la naturaleza del proceso patológico. En la glomerulonefritis, la hematuria se caracteriza por la presencia de eritrocitos dismórficos, los cuales adquieren esta morfología anormal al atravesar la membrana basal glomerular dañada. En casos de sangrado glomerular intenso, pueden formarse cilindros de eritrocitos en el sedimento urinario, los cuales son altamente específicos de la glomerulonefritis y reflejan un proceso inflamatorio activo dentro del glomérulo.
El análisis de los niveles séricos de complemento es una herramienta diagnóstica clave para diferenciar entre los distintos tipos de glomerulonefritis. En las formas mediadas por complejos inmunitarios, como la glomerulonefritis postinfecciosa, la nefritis lúpica y la glomerulonefritis crioglobulinémica, los niveles de C3 y C4 pueden encontrarse disminuidos debido al consumo del complemento en la respuesta inmunitaria. En la glomerulopatía C3, el descenso del C3 sin afectación significativa del C4 refleja una disfunción en la regulación de la vía alternativa del complemento. En contraste, las glomerulonefritis pauciinmunes, la enfermedad por anticuerpos anti-membrana basal glomerular y la mayoría de las glomerulonefritis mediadas por inmunoglobulinas monoclonales presentan niveles normales de complemento, lo que sugiere mecanismos de lesión distintos a la activación clásica del complemento.
La evaluación serológica complementaria es fundamental para establecer un diagnóstico etiológico preciso. La determinación de títulos de antiestreptolisina O puede ser útil en casos sospechosos de glomerulonefritis postestreptocócica. La detección de anticuerpos anti-membrana basal glomerular confirma la enfermedad mediada por autoanticuerpos contra el colágeno tipo IV de la membrana basal glomerular. La identificación de anticuerpos contra el citoplasma de los neutrófilos es esencial en la glomerulonefritis pauciinmune, donde la presencia de estos autoanticuerpos se asocia con vasculitis de pequeños vasos. Los títulos de anticuerpos antinucleares son relevantes en la evaluación de la nefritis lúpica, mientras que la detección de crioglobulinas es indicativa de enfermedades asociadas a infecciones virales crónicas o desórdenes linfoproliferativos. Además, la evaluación de serologías para virus de inmunodeficiencia humana, hepatitis B y hepatitis C es crucial para descartar causas infecciosas subyacentes.
En los casos donde se sospecha una gammapatía monoclonal asociada a enfermedad glomerular, se deben realizar estudios de electroforesis de proteínas séricas, inmunofijación y análisis de cadenas ligeras libres en suero. Estas pruebas permiten detectar la presencia de inmunoglobulinas monoclonales circulantes, las cuales pueden depositarse en el glomérulo y contribuir a la disfunción renal. Adicionalmente, en situaciones donde la clínica sugiere una posible endocarditis infecciosa u otra patología infecciosa sistémica, se recomienda la realización de hemocultivos para la identificación de patógenos responsables.
El ultrasonido renal es una herramienta de imagen fundamental que permite evaluar la morfología renal y descartar anomalías estructurales que puedan contraindicar la realización de una biopsia renal. En la mayoría de los casos, la biopsia renal es indispensable para confirmar el diagnóstico de glomerulonefritis y guiar el tratamiento. El análisis histopatológico del tejido renal permite caracterizar el patrón de inflamación glomerular, la presencia de depósitos inmunitarios y el grado de daño crónico, lo que facilita la clasificación de la enfermedad y la selección de la estrategia terapéutica más adecuada.
Tratamiento
El tratamiento de la glomerulonefritis debe ser individualizado, considerando tanto la etiología subyacente como la gravedad del daño renal. La intervención terapéutica se dirige a frenar la inflamación glomerular, prevenir la progresión a enfermedad renal crónica y minimizar las complicaciones sistémicas asociadas. Para lograr estos objetivos, se emplean diferentes estrategias farmacológicas, que incluyen corticosteroides en dosis elevadas, agentes inmunosupresores como rituximab y ciclofosfamida, fármacos antiproliferativos como micofenolato de mofetilo y moduladores de la activación de linfocitos T, como los inhibidores de calcineurina, entre ellos tacrolimus y ciclosporina.
Los corticosteroides constituyen la piedra angular del tratamiento en muchas formas de glomerulonefritis, ya que ejercen un potente efecto antiinflamatorio e inmunosupresor. Su mecanismo de acción involucra la inhibición de la activación de linfocitos T y B, la reducción de la producción de citoquinas proinflamatorias y la estabilización de la barrera glomerular, disminuyendo así la proteinuria y la progresión del daño renal. En formas graves de glomerulonefritis, como la rápidamente progresiva, se emplean pulsos intravenosos de metilprednisolona seguidos de una pauta de mantenimiento con prednisona oral en dosis decrecientes.
El rituximab, un anticuerpo monoclonal dirigido contra el antígeno CD20 de los linfocitos B, se ha consolidado como una alternativa terapéutica en glomerulonefritis mediadas por autoanticuerpos, incluyendo la nefritis lúpica y las formas asociadas a anticuerpos contra el citoplasma de los neutrófilos. Suprimen la producción de autoanticuerpos patogénicos al inducir la depleción de linfocitos B, lo que reduce la inflamación y el daño tisular.
Los agentes citotóxicos, como la ciclofosfamida, son utilizados en casos de glomerulonefritis severa que requieren una inmunosupresión más intensa. Su mecanismo de acción radica en la inhibición de la proliferación de linfocitos mediante la interferencia en la síntesis de ADN. Aunque su uso prolongado se asocia con efectos adversos como toxicidad hematológica y aumento del riesgo de neoplasias, sigue siendo un tratamiento fundamental en patologías como la granulomatosis con poliangeítis y la glomerulonefritis rápidamente progresiva.
El micofenolato de mofetilo, un inhibidor de la inosina monofosfato deshidrogenasa, bloquea la proliferación de linfocitos T y B al interferir con la síntesis de purinas. Se emplea con frecuencia en la nefritis lúpica y en algunas formas de glomerulonefritis mediadas por inmunoglobulinas, ya que su perfil de seguridad es más favorable en comparación con la ciclofosfamida.
Los inhibidores de la calcineurina, como tacrolimus y ciclosporina, actúan bloqueando la activación de linfocitos T mediante la inhibición de la transcripción de interleucina-2. Su utilidad se ha demostrado en la glomerulonefritis membranosa y en algunas formas de nefropatía por inmunoglobulina A resistentes a tratamiento convencional. Sin embargo, su uso debe ser monitoreado estrechamente debido al riesgo de toxicidad renal y efectos adversos metabólicos.
En la enfermedad de Goodpasture, caracterizada por la presencia de anticuerpos contra la membrana basal glomerular, la plasmaféresis constituye una medida terapéutica crucial para la eliminación rápida de los autoanticuerpos circulantes. Este procedimiento es particularmente efectivo cuando se combina con inmunosupresión intensiva mediante corticosteroides y ciclofosfamida. La plasmaféresis permite reducir el riesgo de progresión a insuficiencia renal terminal y minimizar la afectación pulmonar en aquellos pacientes con hemorragia alveolar.
El pronóstico de la glomerulonefritis depende en gran medida del tiempo transcurrido hasta el inicio del tratamiento, la respuesta a la terapia inmunosupresora y la presencia de daño crónico en la biopsia renal. En casos de glomerulonefritis rápidamente progresiva con formación de semilunas en un alto porcentaje de glomérulos, la instauración temprana de una terapia agresiva es determinante para evitar la pérdida irreversible de la función renal. En contraste, en formas menos agresivas, una combinación de inmunosupresión moderada y control de factores de progresión, como la hipertensión arterial y la proteinuria, puede ser suficiente para preservar la función renal a largo plazo.

Fuente y lecturas recomendadas:
- Anders HJ et al. Glomerulonephritis: immunopathogenesis and immunotherapy. Nat Rev Immunol. 2023;23:453. [PMID: 36635359]
- Rovin B et al. Executive summary of the KDIGO 2021 guideline for the management of glomerular diseases. Kidney Int. 2021;100:753. [PMID: 34556300]
- Sethi S et al. Acute glomerulonephritis. Lancet. 2022;399:1646. [PMID: 35461559]

