La lesión renal aguda en pacientes hospitalizados con COVID-19 representa una complicación frecuente y de mal pronóstico, afectando aproximadamente al 30% de los pacientes ingresados y hasta al 50% de aquellos en estado crítico. Su presencia se asocia con una mayor morbimortalidad, lo que resalta la importancia de comprender sus mecanismos fisiopatológicos y su abordaje terapéutico.
La necrosis tubular aguda es la principal causa de lesión renal aguda en estos pacientes y resulta de múltiples factores interconectados. Uno de los mecanismos más relevantes es el estado inflamatorio sistémico exacerbado, conocido como «tormenta de citocinas», en el que la liberación descontrolada de mediadores inflamatorios como interleucina-6, interleucina-1 y factor de necrosis tumoral alfa genera un daño endotelial difuso, aumento de la permeabilidad vascular y activación de la coagulación intravascular. Esta inflamación sistémica contribuye al daño directo de las células epiteliales tubulares y a la formación de microtrombos que pueden comprometer la perfusión renal.
Otro factor clave en la patogénesis de la lesión renal aguda en COVID-19 es la hipotensión prolongada y la depleción de volumen, comunes en pacientes críticos debido a fiebre persistente, taquicardia, reducción de la ingesta oral y aumento de las pérdidas insensibles. En pacientes con disfunción cardiovascular, el estado hipodinámico puede generar una perfusión renal inadecuada, lo que favorece la isquemia tubular y la progresión a necrosis tubular aguda.
El análisis de orina en estos pacientes puede mostrar hematuria, que se asocia con daño endotelial y formación de trombos de fibrina en la microvasculatura renal. Esta afectación microvascular puede intensificar la disfunción tubular y contribuir a la persistencia del daño renal.
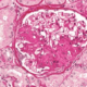
Un subgrupo de pacientes con predisposición genética, en particular aquellos portadores de variantes de alto riesgo en el gen APOL1, pueden desarrollar una entidad específica denominada glomerulopatía colapsante asociada a COVID-19. Esta enfermedad es una forma agresiva de esclerosis focal y segmentaria que se caracteriza por la pérdida abrupta de la función renal y la presencia de síndrome nefrótico. Su patogénesis involucra una respuesta aberrante a la inflamación y el estrés celular, lo que conduce a una dediferenciación y proliferación de los podocitos con colapso de las asas capilares glomerulares.
El tratamiento de la lesión renal aguda asociada a COVID-19 es principalmente de soporte, con medidas dirigidas a optimizar la hemodinamia, evitar la hipovolemia y minimizar la exposición a nefrotóxicos. A pesar de estas estrategias, hasta el 20% de los pacientes desarrollan insuficiencia renal grave que requiere terapia de reemplazo renal.
En el caso específico de la glomerulopatía colapsante asociada a COVID-19, se ha utilizado corticosteroides con cierto éxito en reportes de casos, sugiriendo un posible beneficio en la reducción de la inflamación y la progresión del daño glomerular. Sin embargo, la ausencia de ensayos clínicos controlados y el limitado seguimiento a largo plazo impiden establecer con certeza su eficacia y seguridad en estos pacientes.

Fuente y lecturas recomendadas:
- Klomjit N et al. COVID-19 and glomerular diseases. Kidney Int Rep. 2023;8:1137. [PMID: 37274308]
- Medina E et al. FSGS and COVID-19 in non-African American patients. Kidney360. 2023;4:687. [PMID: 37229730]

