La poliarteritis nodosa es una enfermedad inflamatoria caracterizada por una arteritis necrotizante que afecta principalmente a los vasos sanguíneos de tamaño medio. Esta condición se distingue por su preferencia a involucrar diversas estructuras y órganos dentro del cuerpo, aunque con una particularidad notable: la afección de los pulmones se presenta de forma excepcional. Los sitios más comúnmente afectados por esta enfermedad incluyen la piel, los nervios periféricos, los vasos mesentéricos, que incluyen las arterias renales, el corazón y el cerebro.
La característica de la poliarteritis nodosa de no comprometer los pulmones se debe a la naturaleza selectiva de la inflamación arterial. Los vasos sanguíneos afectados son principalmente de tamaño medio, como los que irrigan los órganos mencionados, y su daño conduce a una inflamación extensa y necrosis de las capas vasculares. Esta necrosis de las arterias puede desencadenar una serie de complicaciones clínicas graves, como insuficiencia renal, hipertensión, alteraciones neurológicas, y en casos más extremos, fallo multiorgánico, dependiendo de los órganos comprometidos.
A pesar de su gravedad, la poliarteritis nodosa es una condición relativamente rara, con una prevalencia aproximada de 30 casos por cada millón de personas. La enfermedad tiene un curso clínico variable, pero una de las formas más frecuentes de presentación está asociada con infecciones virales, específicamente con el virus de la hepatitis B. Se estima que alrededor del 10% de los casos de poliarteritis nodosa se desencadenan por la infección con hepatitis B, con una relación temporal que se manifiesta en la mayoría de los casos dentro de los primeros seis meses después de la infección. El vínculo entre la hepatitis B y la poliarteritis nodosa se puede explicar a través de la respuesta inmunológica del cuerpo a la presencia del virus, lo que lleva a la activación de mecanismos inflamatorios que afectan los vasos sanguíneos.
Por otro lado, en un número más reducido de casos, la poliarteritis nodosa se presenta de forma familiar en individuos que padecen formas de inicio temprano de la enfermedad. En estos casos, se han identificado mutaciones en el gen que codifica para la adenosina desaminasa 2, una enzima clave en la regulación del sistema inmunológico. Estas mutaciones pueden alterar la función inmunológica, lo que facilita la aparición de la enfermedad en grupos familiares específicos. Estas formas hereditarias son raras, pero brindan una valiosa información genética sobre los mecanismos subyacentes de la enfermedad.
Manifestaciones clínicas
El inicio clínico de la poliarteritis nodosa suele ser insidioso, desarrollándose gradualmente en un período de semanas a meses. Los pacientes generalmente experimentan síntomas generales como fiebre, malestar, pérdida de peso y otros signos inespecíficos, lo que puede llevar a un diagnóstico inicial erróneo o tardío. A medida que la enfermedad progresa, el dolor en las extremidades se convierte en uno de los primeros signos prominentes. Este dolor suele estar relacionado con artralgia, mialgia, especialmente en los músculos de la pantorrilla, o neuropatía.
Una manifestación temprana clave de la poliarteritis nodosa es la combinación de mononeuritis múltiple, cuyo hallazgo más común es la caída del pie, junto con características de una enfermedad sistémica. La presencia de mononeuritis múltiple, junto con otros síntomas sistémicos como fiebre y malestar general, representa una de las primeras pistas específicas para la presencia de una vasculitis subyacente. La poliarteritis nodosa es una de las formas de vasculitis más comúnmente asociadas con neuropatía vasculítica, debido al daño que inflige a los vasos sanguíneos de tamaño medio que irrigan los nervios periféricos.
En cuanto a las manifestaciones dérmicas, la poliarteritis nodosa presenta características específicas en la piel que son reflejo del compromiso de los vasos sanguíneos más profundos y de tamaño medio. Entre estos hallazgos cutáneos se incluyen la livedo reticularis, los nódulos subcutáneos y las úlceras cutáneas, siendo la gangrena digital una manifestación común de la enfermedad. La presentación más frecuente de estos síntomas cutáneos son las úlceras en las extremidades inferiores, particularmente cerca de los maleólos, lo que indica la afectación de los vasos sanguíneos en esas áreas.
Cuando las arterias renales están involucradas, se produce una hipertensión mediada por la renina, una característica que es mucho menos frecuente en las vasculitis que afectan a vasos de menor calibre. Esta hipertensión es significativa porque difiere de las formas de vasculitis que afectan a los vasos pequeños, los cuales no suelen provocar este tipo de disfunción renal. Sin embargo, es importante señalar que, por razones aún no completamente comprendidas, la poliarteritis nodosa clásica rara vez (si acaso) afecta a los pulmones, con la excepción ocasional de las arterias bronquiales.
El dolor abdominal es un síntoma común en los pacientes con poliarteritis nodosa, especialmente cuando es de tipo difuso y periumbilical, y suele ser precipitado por la ingestión de alimentos. Sin embargo, en las primeras etapas de la enfermedad, este dolor abdominal puede ser difícil de atribuir a la vasculitis mesentérica. Otros síntomas gastrointestinales como náuseas y vómitos también son frecuentes. La infarto de los órganos comprometidos puede deteriorar la función de los mismos y dar lugar a condiciones graves como colecistitis acalculosa o apendicitis. Algunos pacientes pueden presentar de manera dramática un abdomen agudo debido a la vasculitis mesentérica, que puede resultar en perforación intestinal, o en un cuadro de hipotensión por la ruptura de un microaneurisma en el hígado, los riñones o el intestino.
La afectación subclínica del corazón es frecuente en la poliarteritis nodosa, y en algunos casos, la disfunción cardíaca puede volverse manifiesta, como en el infarto de miocardio secundario a vasculitis coronaria o en casos de miocarditis. Estos hallazgos cardíacos son menos evidentes en las etapas iniciales de la enfermedad, pero la afectación de los vasos coronarios puede llevar a complicaciones graves si no se detecta a tiempo.
Exámenes diagnósticos
Uno de los hallazgos más comunes en los pacientes con poliarteritis nodosa es la presencia de anemia, que puede ser causada por diversos mecanismos, como la hemorragia oculta en los órganos afectados, la destrucción de los glóbulos rojos debido a la vasculitis o la alteración en la producción de glóbulos rojos debido a la afectación de la médula ósea. Además, la mayoría de los pacientes experimentan leucocitosis, un aumento en el número de glóbulos blancos, como resultado de la respuesta inflamatoria sistémica asociada con la enfermedad. Este aumento de los leucocitos refleja el proceso inflamatorio activo en el cuerpo.
Los reactantes de fase aguda, como la proteína C reactiva y la velocidad de sedimentación de los eritrocitos, suelen estar elevados de manera significativa en los pacientes con poliarteritis nodosa, aunque no siempre. Estos reactantes son marcadores inespecíficos de inflamación y su aumento refleja la actividad inflamatoria sistémica de la enfermedad. Sin embargo, es importante destacar que no existe un autoanticuerpo específico para la poliarteritis nodosa. Esto hace que el diagnóstico de la enfermedad sea más desafiante, ya que no se puede realizar mediante una simple prueba serológica que detecte anticuerpos específicos, como ocurre con otras enfermedades autoinmunes.
En cuanto a los autoanticuerpos, los pacientes con poliarteritis nodosa clásica suelen ser negativos para los anticuerpos anticitoplasma de los neutrófilos (ANCA), que son típicos de otras formas de vasculitis, como la vasculitis granulomatosa con poliangeítis. Sin embargo, algunos pacientes pueden presentar títulos bajos de factores reumatoides o anticuerpos antinucleares, que son hallazgos no específicos y pueden encontrarse en diversas enfermedades autoinmunes, pero no son diagnósticos de la poliarteritis nodosa en sí mismos.
En aquellos casos en los que se sospecha que la poliarteritis nodosa podría estar asociada con la infección por hepatitis B, es fundamental realizar pruebas específicas para detectar la presencia activa de esta infección, como el antígeno de superficie de la hepatitis B (HBsAg), el antígeno e de la hepatitis B (HBeAg) y la carga viral del virus de la hepatitis B. Aproximadamente el 10% de los casos de poliarteritis nodosa están relacionados con una infección reciente por hepatitis B, y esta relación tiene una implicación significativa en el enfoque diagnóstico y terapéutico.
En los pacientes con inicio infantil de la enfermedad, se recomienda realizar una evaluación genética para buscar mutaciones en el gen de la adenosina desaminasa 2, una enzima implicada en la regulación del sistema inmunológico. Las mutaciones en este gen están asociadas con formas hereditarias de poliarteritis nodosa, y su identificación puede ser clave para el diagnóstico en niños o en pacientes con antecedentes familiares de la enfermedad.
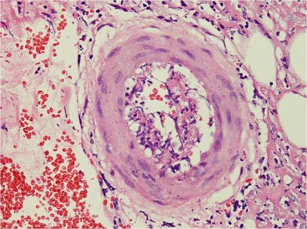
El diagnóstico de poliarteritis nodosa requiere una confirmación mediante técnicas de imagen o biopsias de los tejidos afectados. Las biopsias de los sitios sintomáticos, como la piel, los nervios o los músculos, son esenciales para confirmar la enfermedad. Es particularmente importante realizar una biopsia profunda de las úlceras cutáneas o de los nódulos en la piel, en lugar de una biopsia por punción, para asegurarse de que el vaso sanguíneo de tamaño medio esté incluido en la muestra, ya que la afectación de estos vasos es característica de la enfermedad. En los pacientes que presentan síntomas neuropáticos, las pautas actuales recomiendan realizar biopsias tanto del nervio como del músculo, en lugar de una biopsia de solo nervio, para obtener una muestra más representativa de la afectación de los nervios periféricos.
En aquellos pacientes en los que se sospecha poliarteritis nodosa, por ejemplo, debido a isquemia mesentérica o hipertensión recién aparecida en el contexto de una enfermedad sistémica, el diagnóstico también puede confirmarse mediante la visualización angiográfica de dilataciones aneurismáticas en las arterias renales, mesentéricas o hepáticas. Estas dilataciones son indicativas de la afectación vasculítica de los vasos de tamaño medio, lo que es característico de la poliarteritis nodosa y puede ser un hallazgo clave en la evaluación de pacientes con síntomas clínicos compatibles con esta enfermedad.
Diagnóstico diferencial
Cuando los hallazgos de imagen sugieren la presencia de poliarteritis nodosa, pero no se observan otros síntomas clínicos típicos de la enfermedad, es crucial considerar un diagnóstico diferencial que incluya trastornos genéticos del colágeno, como los síndromes de Ehlers-Danlos y Loeys-Dietz, displasia fibromuscular y la mediolisis segmentaria arterial. Estos trastornos pueden compartir características clínicas e imágenes vasculares similares a las observadas en la poliarteritis nodosa, pero presentan mecanismos patológicos y características distintivas que deben ser diferenciadas para un diagnóstico preciso.
Trastornos genéticos del colágeno: Los síndromes de Ehlers-Danlos y Loeys-Dietz son condiciones hereditarias que afectan la síntesis o estructura del colágeno, una proteína clave para la estabilidad de la matriz extracelular y la integridad de los vasos sanguíneos. Estos trastornos pueden predisponer a una mayor fragilidad y disfunción de los vasos sanguíneos, lo que aumenta el riesgo de desarrollar dilataciones vasculares, aneurismas o disección arterial, hallazgos que también pueden ser visibles en estudios de imagen de pacientes con poliarteritis nodosa. Sin embargo, a diferencia de la poliarteritis nodosa, estos síndromes no son vasculitis inflamatorias, sino trastornos en los que la estructura de los vasos se ve alterada debido a la deficiencia del colágeno. Por ejemplo, en el síndrome de Ehlers-Danlos, la piel es extremadamente elástica y frágil, lo que es una característica distintiva de esta condición, mientras que en el síndrome de Loeys-Dietz, los aneurismas y las malformaciones vasculares pueden estar presentes desde edades tempranas, junto con otros problemas esqueléticos y craneofaciales.
Displasia fibromuscular: La displasia fibromuscular es una enfermedad vascular que afecta principalmente a las arterias renales y, en menor medida, a otras arterias de tamaño medio. Se caracteriza por el crecimiento anormal de las capas musculares y fibrosas de los vasos, lo que resulta en estenosis, aneurismas o disección arterial. Aunque esta condición puede presentar hallazgos de imagen similares a los observados en la poliarteritis nodosa, como la presencia de dilataciones vasculares o aneurismas, la displasia fibromuscular no es una vasculitis inflamatoria, sino un trastorno estructural de la pared arterial. Además, en la displasia fibromuscular, el curso clínico suele ser más indolente, sin los síntomas sistémicos como fiebre, malestar general o pérdida de peso que son típicos de las vasculitis. Es una condición menos asociada a la afectación de órganos como el cerebro o los riñones de manera tan generalizada como en la poliarteritis nodosa.
Mediolisis segmentaria arterial: La mediolisis segmentaria arterial es un trastorno raro que implica la destrucción segmentaria de la capa media de los vasos sanguíneos, lo que resulta en la formación de aneurismas, disección y otras alteraciones vasculares. Este trastorno puede producir imágenes similares a las de la poliarteritis nodosa, con dilataciones arteriales focales o segmentarias, pero sin la presencia de la vasculitis inflamatoria generalizada característica de la poliarteritis nodosa. La mediolisis segmentaria arterial también suele afectar a las arterias renales y mesentéricas, y puede estar asociada con factores de riesgo como hipertensión, trauma o uso de drogas, lo que la diferencia de la poliarteritis nodosa, que generalmente tiene un origen inmunológico. Además, la mediolisis segmentaria arterial puede presentarse sin los síntomas sistémicos de vasculitis, como fiebre y pérdida de peso, que son más comunes en la poliarteritis nodosa.
Tratamiento
El tratamiento de la poliarteritis nodosa, especialmente en su forma severa, debe ser cuidadosamente manejado debido a la naturaleza grave y potencialmente mortal de la enfermedad. La poliarteritis nodosa es una vasculitis inflamatoria que afecta principalmente los vasos sanguíneos de tamaño medio, y en su forma más grave, puede comprometer múltiples órganos, incluyendo los riñones, el corazón y el sistema nervioso. El tratamiento inicial para esta forma severa de la enfermedad está basado en el uso de metilprednisolona en dosis altas, como un pulso intravenoso de 1 gramo diario durante tres días. Este tratamiento es recomendado debido a su potente efecto antiinflamatorio que puede reducir rápidamente la inflamación y el daño vascular, estabilizando al paciente de manera urgente. La metilprednisolona actúa sobre la respuesta inmunológica alterada, suprimendo la inflamación en los vasos sanguíneos afectados, lo que es crucial para prevenir complicaciones graves, como la insuficiencia orgánica.
Sin embargo, el tratamiento con corticosteroides por sí solo no es suficiente para garantizar una remisión prolongada en los casos graves de poliarteritis nodosa. Por lo tanto, se añade un agente inmunosupresor, como la ciclofosfamida, que ha demostrado ser eficaz para reducir la morbilidad y mortalidad en esta enfermedad. La ciclofosfamida actúa inhibiendo la proliferación de linfocitos T y B, que son fundamentales en la mediación de la respuesta inflamatoria que caracteriza a la vasculitis. La combinación de metilprednisolona y ciclofosfamida permite un control más efectivo de la enfermedad en su fase activa y reduce la probabilidad de recaídas, mejorando así el pronóstico de los pacientes.
Una vez que se ha logrado la remisión de la enfermedad, es necesario utilizar un tratamiento de mantenimiento para evitar las recaídas. Medicamentos como el metotrexato o la azatioprina son frecuentemente utilizados en esta fase. Ambos fármacos son inmunosupresores que, aunque menos potentes que la ciclofosfamida, pueden mantener la remisión a largo plazo sin el riesgo elevado de efectos secundarios graves asociados con la ciclofosfamida. El metotrexato inhibe la proliferación de células inmunológicas y la producción de citocinas proinflamatorias, mientras que la azatioprina interfiere con la síntesis de ADN en células inmunes, reduciendo su actividad.
En los casos en los que la poliarteritis nodosa está asociada con una infección activa por hepatitis B, el tratamiento requiere un enfoque multidisciplinario que involucre tanto el manejo de la vasculitis como el tratamiento específico para la infección viral. En estos pacientes, el tratamiento inicial preferido es un curso corto de prednisona, que tiene efectos antiinflamatorios rápidos y efectivos en la vasculitis. Sin embargo, dado que la hepatitis B es una infección viral activa, se debe iniciar tratamiento antiviral contra el virus de la hepatitis B (como los agentes antivirales nucleósidos) para controlar la replicación viral y evitar complicaciones hepáticas. Además, la plasmaféresis, un procedimiento que permite eliminar anticuerpos y otras sustancias inflamatorias del torrente sanguíneo, puede ser útil en el tratamiento de la poliarteritis nodosa asociada con hepatitis B, y se realiza de tres a cuatro veces por semana durante un período de hasta seis semanas. Este tratamiento ayuda a reducir la carga inflamatoria sistémica y mejora el control de la enfermedad.
Por otro lado, en los pacientes con poliarteritis nodosa relacionada con deficiencia de adenosina deaminasa 2, el tratamiento de primera línea es el uso de inhibidores del factor de necrosis tumoral (TNF). La deficiencia de adenosina deaminasa 2 es una causa genética rara de poliarteritis nodosa, y la inflamación en estos casos está mediada por un mecanismo inmunológico distinto, en el que el factor de necrosis tumoral juega un papel central. Los inhibidores de TNF, como el infliximab y el etanercept, actúan bloqueando la acción de esta citocina proinflamatoria, lo que disminuye la inflamación y previene el daño vascular. Este tratamiento ha demostrado ser eficaz en la mejora de los síntomas y la reducción de las recaídas en pacientes con este subtipo específico de la enfermedad.
Pronóstico
La poliarteritis nodosa es una enfermedad grave que, sin tratamiento adecuado, tiene una tasa de supervivencia a 5 años de aproximadamente un 10%. Esta baja tasa de supervivencia se debe a la naturaleza agresiva de la enfermedad, que puede comprometer órganos vitales como los riñones, el corazón, el sistema nervioso central y el aparato gastrointestinal, resultando en daños irreversibles o incluso en la muerte. Sin embargo, con un tratamiento adecuado, la situación mejora significativamente. Las terapias actuales pueden inducir remisiones, lo que aumenta la tasa de supervivencia a 5 años entre un 60% y un 90%, dependiendo de la gravedad de la enfermedad y la respuesta al tratamiento.
El pronóstico de los pacientes con poliarteritis nodosa depende de varios factores, y algunos de ellos son considerados de mal pronóstico. Entre los factores que están asociados con un peor pronóstico se encuentran la enfermedad renal crónica con niveles de creatinina sérica superiores a 1.6 mg/dL (141 micromoles por litro), la presencia de proteinuria superior a 1 gramo por día, la isquemia gastrointestinal, el compromiso del sistema nervioso central y la afectación cardíaca. Estos factores reflejan un grado avanzado de daño en los órganos clave y aumentan el riesgo de complicaciones graves, lo que disminuye las probabilidades de supervivencia a largo plazo.
Por otro lado, cuando no se presentan ninguno de estos cinco factores de mal pronóstico, la supervivencia a 5 años puede ser de casi el 90%. Es decir, aquellos pacientes sin afección renal grave, sin isquemia intestinal ni compromiso cardíaco o neurológico tienen un pronóstico mucho más favorable, y las probabilidades de una recuperación completa o de mantener una remisión a largo plazo son significativamente mayores. No obstante, la supervivencia se ve afectada negativamente si alguno de estos factores de mal pronóstico está presente. Por ejemplo, la supervivencia a 5 años disminuye al 75% en pacientes que tienen un solo factor de mal pronóstico, y puede descender a cerca del 50% cuando se presentan dos o más factores adversos.
Es importante destacar que, a pesar de los avances en el tratamiento de la poliarteritis nodosa, las terapias utilizadas, como la ciclofosfamida y los corticosteroides, pueden tener efectos secundarios significativos que contribuyen a la morbilidad y mortalidad de los pacientes. La ciclofosfamida es un potente inmunosupresor que puede causar efectos adversos graves, como infecciones, efectos sobre la médula ósea, daño gonadal o toxicidad renal. Del mismo modo, el uso prolongado de corticosteroides puede inducir efectos adversos como osteoporosis, diabetes, hipertensión, infecciones y alteraciones psicológicas. Estos efectos secundarios requieren una supervisión rigurosa y un manejo especializado para minimizar los riesgos y asegurar el mejor resultado para el paciente.
A pesar de los riesgos asociados con las terapias, es relevante señalar que, en comparación con otras formas de vasculitis sistémica, las recaídas de la poliarteritis nodosa después de la inducción de la remisión son relativamente infrecuentes, ocurriendo solo en aproximadamente el 20% de los casos. Esto sugiere que una vez que se logra una remisión, la enfermedad puede mantenerse bajo control durante períodos prolongados, lo que mejora considerablemente el pronóstico a largo plazo de los pacientes.

Fuente y lecturas recomendadas:
- Chung SA et al. 2021 American College of Rheumatology/ Vasculitis Foundation Guideline for the management of polyarteritis nodosa. Arthritis Rheumatol. 2021;73:1384. [PMID: 34235883].

