La nocardiosis es una enfermedad infecciosa causada por bacterias pertenecientes al género Nocardia. Estas bacterias son del grupo de los actinomicetos, que son microorganismos aerobios (requieren oxígeno para crecer) y saprófitos (se alimentan de materia orgánica muerta). Las nocardias son comunes en todo el mundo y se encuentran principalmente en el suelo, donde desempeñan un papel en la descomposición de la materia orgánica.
Nocardias
Las nocardias pueden representar un riesgo para la salud humana, especialmente en individuos inmunocomprometidos. La inhalación de esporas de Nocardia o la entrada de estas bacterias a través de cortes en la piel pueden dar lugar a la nocardiosis.
Una característica distintiva de las nocardias es su inactividad relativa en las pruebas bioquímicas ordinarias. Esto significa que, en comparación con otras bacterias, las nocardias pueden no mostrar respuestas bioquímicas típicas en los laboratorios clínicos, lo que dificulta su identificación. Esto añade un desafío adicional para el diagnóstico y tratamiento de la nocardiosis. La identificación precisa de la especie de Nocardia involucrada es crucial para determinar el enfoque terapéutico más efectivo.
Durante los últimos 20 años, el avance de las técnicas filogenéticas moleculares ha tenido un impacto significativo en la identificación de bacterias del género Nocardia. Estas técnicas se basan en el análisis de material genético, como el ADN, para establecer relaciones evolutivas entre diferentes especies. En el caso específico de Nocardia, se ha logrado identificar más de 100 especies mediante estas metodologías moleculares.
Anteriormente, en el estudio de infecciones relacionadas con Nocardia, especialmente aquellas asociadas con neumonía y enfermedades generalizadas, se solía identificar predominantemente como Nocardia asteroides utilizando pruebas bioquímicas. Sin embargo, con el avance de las técnicas moleculares, se ha vuelto evidente que este enfoque no era lo suficientemente preciso para discernir entre las diversas especies de Nocardia.
El linaje de las cepas identificadas anteriormente como Nocardia asteroides resultó ser confuso, y las técnicas filogenéticas han desempeñado un papel crucial en aclarar esta confusión. Actualmente, se reconoce de manera más clara que las enfermedades en seres humanos están asociadas con diversas especies de Nocardia, y no simplemente con Nocardia asteroides. Este conocimiento más refinado tiene implicaciones importantes para el diagnóstico y tratamiento de la nocardiosis en humanos, ya que diferentes especies pueden tener variaciones en términos de patogenicidad y susceptibilidad a los antibióticos.
Existen nueve especies o complejos de especies de Nocardia que se asocian con mayor frecuencia a la enfermedad en seres humanos. Estos son microorganismos pertenecientes al género Nocardia, causantes de la nocardiosis, una infección que puede afectar varios órganos y sistemas en el cuerpo humano.
Las especies más comúnmente asociadas con modalidades de nocardiosis generalizada incluyen N. cyriacigeorgica, N. farcinica, N. pseudobrasiliensis y especies de los complejos N. transvalensis y N. nova. Estas bacterias pueden provocar infecciones diseminadas por todo el organismo.
Por otro lado, Nocardia brasiliensis suele estar relacionada con enfermedades que se limitan a la piel. En contraste, N. asteroides rara vez se asocia con la nocardiosis en seres humanos.
Un desafío en el diagnóstico preciso y tratamiento de la nocardiosis radica en que la mayoría de los laboratorios clínicos carece de la capacidad necesaria para identificar de manera precisa las especies de Nocardia aisladas. En muchos casos, los laboratorios podrían notificar las infecciones simplemente como N. asteroides o Nocardia, sin distinguir entre las diversas especies o complejos de especies. Esta falta de especificidad en la identificación puede tener implicaciones clínicas significativas, ya que diferentes especies pueden comportarse de manera distinta en términos de virulencia y respuesta a los tratamientos antibióticos.
Nocardiosis
Se postula que la nocardiosis, una enfermedad asociada con neumonía y diseminación, se origina a partir de la inhalación de micelios bacterianos fragmentados. Estos micelios, estructuras filamentosas presentes en algunas bacterias, incluidas las Nocardias, serían inhalados, sirviendo como punto de entrada para la infección, especialmente en individuos inmunocomprometidos. Esta vía de entrada puede desencadenar respuestas inflamatorias en el sistema respiratorio, extendiéndose a órganos y tejidos adicionales del cuerpo.
La característica histológica típica de la nocardiosis es la formación de un absceso intensamente infiltrado con neutrófilos y notoria necrosis. Histológicamente, la presencia de neutrófilos, células del sistema inmunológico, y la necrosis indican una respuesta inflamatoria significativa y la destrucción de tejido asociada con la infección por Nocardia.
En la nocardiosis, se observa comúnmente un tejido de granulación alrededor de la lesión. Este tejido, compuesto por células inflamatorias, vasos sanguíneos y tejido conectivo, es una respuesta reparativa del cuerpo a la lesión o la infección. Es notable que, en contraste con otras infecciones, es inusual encontrar fibrosis (formación excesiva de tejido cicatricial) o encapsulación (aislamiento del tejido infectado mediante una barrera de tejido fibroso) en la nocardiosis, lo que puede tener implicaciones para la presentación clínica y la progresión de la enfermedad.
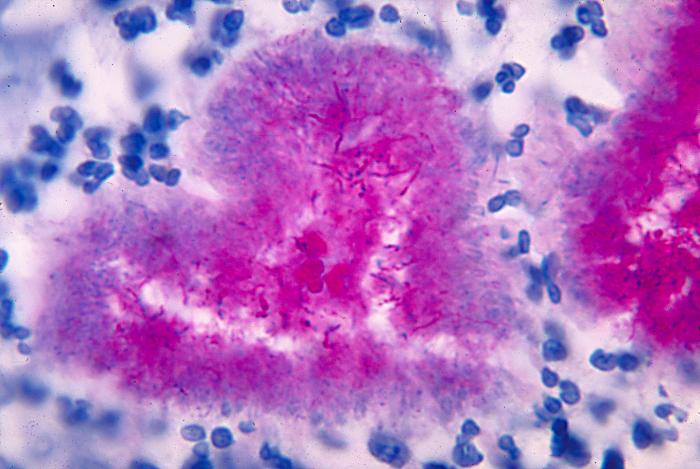
El actinomicetoma es una condición médica caracterizada por una inflamación supurativa que conduce a la formación de trayectos fistulosos. Estos trayectos son canales o túneles que se desarrollan en los tejidos afectados, dando lugar a una conexión entre la lesión y la superficie de la piel. Esta condición es causada por la infección con actinomicetos, que son un grupo de bacterias, incluidas las Nocardias, que comparten características con los hongos y a menudo forman colonias en forma de gránulos.

Se observa la presencia de gránulos, que son microcolonias compuestas por densas masas de filamentos bacterianos que se extienden radialmente desde un núcleo central. Estos gránulos son una característica distintiva que se puede identificar en preparaciones histológicas de lesiones asociadas con actinomicetoma. Es relevante señalar que estos gránulos son a menudo detectados en las secreciones liberadas de las lesiones de actinomicetoma. Esta presencia de gránulos en las secreciones es una pista importante para el diagnóstico de actinomicetoma, ya que prácticamente nunca se encuentran en las lesiones de otras formas de nocardiosis.
Las Nocardias, como estrategia de supervivencia, han desarrollado diversas propiedades que les permiten resistir dentro de los fagocitos, células del sistema inmunológico especializadas en fagocitar o engullir microorganismos invasores. Entre estas propiedades se incluye la capacidad de neutralizar oxidantes, impedir la fusión de lisosomas y fagosomas (orgánulos celulares involucrados en la degradación de sustancias extrañas) y evitar la acidificación de estos compartimentos celulares. Estos mecanismos les permiten evadir la acción destructiva de los fagocitos y persistir en el interior de estas células de defensa.
Aunque los neutrófilos, un tipo de fagocito, son capaces de fagocitar microorganismos y limitar su crecimiento, no siempre logran eliminarlos eficazmente. En el caso de las Nocardias, la capacidad de resistir dentro de los fagocitos contribuye a su persistencia y dificulta su erradicación por parte de estos glóbulos blancos.
La inmunidad mediada por células desempeña un papel fundamental en el control y la eliminación definitiva de las Nocardias. Se ha observado que la proteína GM-CSF (factor estimulante de colonias de granulocitos y macrófagos) está implicada en la patogenia de la proteinosis alveolar pulmonar. Se ha encontrado que pacientes con proteinosis alveolar tienen anticuerpos contra GM-CSF, y estos anticuerpos podrían afectar la respuesta inmunitaria.
Las Nocardias estimulan la producción de GM-CSF en los fagocitos in vitro. Aunque se ha observado infección por Nocardias en pacientes con autoanticuerpos contra GM-CSF, muchos de ellos no presentaban proteinosis alveolar pulmonar. Las relaciones precisas entre la proteinosis alveolar pulmonar, la nocardiosis y los anticuerpos contra GM-CSF aún no se comprenden completamente.


