La neumonía anaeróbica y el absceso pulmonar son condiciones infecciosas que pueden surgir como complicaciones de la aspiración de material orofaríngeo. Aunque la aspiración de pequeñas cantidades de secreciones orofaríngeas es una ocurrencia normal durante el sueño en individuos sanos, esta rara vez causa enfermedades. Sin embargo, la aspiración de mayores volúmenes de material puede tener consecuencias serias.
Neumonía Anaeróbica:
La neumonía anaeróbica es una infección pulmonar provocada por bacterias anaerobias que suelen residir en la cavidad oral y en el tracto gastrointestinal superior. La aspiración de secreciones orofaríngeas que contienen estas bacterias puede desencadenar una neumonía anaeróbica si se produce una cantidad significativa de aspiración o si el sistema inmunológico del huésped está comprometido.
La aspiración de grandes volúmenes de material orofaríngeo introduce una carga bacteriana considerable en los pulmones, donde las bacterias anaerobias prosperan debido a su preferencia por ambientes con bajo contenido de oxígeno. La neumonía anaeróbica se caracteriza por la presencia de abscesos pulmonares o necrosis del tejido pulmonar y puede resultar en un cuadro clínico de fiebre, tos productiva con esputo maloliente y dolor torácico.
Un absceso pulmonar es una colección localizada de pus dentro del pulmón, generalmente causada por una infección bacteriana. Cuando ocurre aspiración de material orofaríngeo, los patógenos involucrados, incluidos aquellos anaerobios como Bacteroides, Fusobacterium, y Peptostreptococcus, pueden formar abscesos pulmonares. La infección origina una respuesta inflamatoria que resulta en la formación de una cavidad llena de pus dentro del tejido pulmonar.
El desarrollo de un absceso pulmonar puede ser gradual y se presenta con síntomas como fiebre persistente, tos productiva con esputo purulento, y dolor torácico. En ocasiones, los abscesos pulmonares pueden causar mal aliento debido a la presencia de tejido necrótico y pus.
Factores Predisponentes:
La susceptibilidad a la neumonía anaeróbica y al absceso pulmonar aumenta en individuos con condiciones que predisponen a una mayor probabilidad de aspiración significativa. Estos incluyen:
- Niveles de conciencia deprimidos: Personas bajo efectos de drogas, alcohol, convulsiones, anestesia general, o enfermedades del sistema nervioso central tienen un riesgo aumentado debido a una disminución en los mecanismos protectores normales que evitan la aspiración.
- Impairment of Deglutition: Trastornos esofágicos o neurológicos pueden comprometer la capacidad para tragar correctamente, lo que facilita la aspiración de material orofaríngeo.
- Uso de tubos traqueales o nasogástricos: Estos dispositivos interfieren con las defensas mecánicas normales de las vías respiratorias, lo que aumenta el riesgo de aspiración y de subsecuentes infecciones pulmonares.
La prevención y el manejo de estas condiciones requieren una evaluación cuidadosa del riesgo de aspiración, así como un tratamiento adecuado con antibióticos dirigidos a los patógenos específicos involucrados, y en algunos casos, la necesidad de drenaje quirúrgico para abscesos pulmonares significativos.
La enfermedad periodontal y una higiene dental deficiente contribuyen significativamente al riesgo de infecciones pleuropulmonares anaeróbicas debido al aumento en la cantidad de bacterias anaerobias presentes en el material aspirado. Estas bacterias anaerobias son responsables de una serie de complicaciones pulmonares severas cuando se aspiran grandes cantidades de material orofaríngeo infectado.
Mecanismo y Factores de Riesgo:
La aspiración de contenidos orofaríngeos infectados puede resultar en una serie de infecciones pulmonares, comenzando con la neumonía, especialmente en las zonas pulmonares que están más en dependencia, como los segmentos posteriores de los lóbulos superiores y los segmentos superiores y basales de los lóbulos inferiores. La posición corporal durante la aspiración juega un papel crucial en determinar qué zonas pulmonares serán afectadas. En una persona en posición supina, por ejemplo, los lóbulos superiores se vuelven más susceptibles a la aspiración.
La enfermedad periodontal y la mala higiene dental están asociadas con un aumento en la carga de bacterias anaerobias en la boca. Estas bacterias, que incluyen especies como Prevotella melaninogenica, Peptostreptococcus, Fusobacterium nucleatum y diversas especies de Bacteroides, son normalmente residentes en la flora oral pero se vuelven patógenas cuando se aspiren a los pulmones. La acumulación de estas bacterias anaerobias puede llevar a infecciones graves, ya que estos microorganismos son particularmente adaptados a ambientes con bajo oxígeno y pueden sobrevivir y proliferar en los pulmones una vez aspirados.
Desarrollo de la Enfermedad:
La presentación de estas infecciones suele ser insidiosa. Los síntomas pueden no aparecer hasta que la infección haya progresado significativamente, momento en el cual pueden presentarse condiciones graves como neumonía necrotizante, absceso pulmonar, o empiema. La neumonía necrotizante se caracteriza por la destrucción del tejido pulmonar y la formación de cavidades llenas de pus, mientras que el empiema es la acumulación de pus en la cavidad pleural.
En la mayoría de los casos, las infecciones resultantes de la aspiración están causadas por múltiples especies de bacterias anaerobias. En algunos casos, también se observa la presencia de bacterias aeróbicas, creando una infección mixta. La interacción entre bacterias anaerobias y aeróbicas puede complicar aún más el cuadro clínico y el tratamiento.
Tratamiento y Manejo:
El tratamiento de estas infecciones implica el uso de antibióticos que sean efectivos contra ambos tipos de bacterias, anaerobias y aeróbicas. Es crucial un diagnóstico temprano y un manejo adecuado para evitar la progresión de la enfermedad a complicaciones más graves. En casos de abscesos pulmonares o empiema, puede ser necesario realizar procedimientos quirúrgicos para drenar el pus y aliviar la presión en los pulmones.
La prevención de estas infecciones también es esencial y se basa en la mejora de la higiene dental para reducir la carga bacteriana oral y, por ende, disminuir el riesgo de aspiración de material infectado. Además, el manejo adecuado de condiciones predisponentes, como la enfermedad periodontal, y la vigilancia en pacientes con alto riesgo de aspiración, puede ayudar a prevenir estas graves complicaciones pulmonares.
Manifestaciones clínicas
Los pacientes con infecciones pleuropulmonares anaeróbicas suelen presentar síntomas y signos que reflejan la gravedad de la infección y su impacto en el organismo. Estos síntomas incluyen:
Síntomas Constitucionales:
- Fiebre: La fiebre es una respuesta inflamatoria común a la infección y suele ser uno de los primeros síntomas notados por el paciente.
- Pérdida de peso: La pérdida de peso puede ser un signo de la progresión crónica de la infección, ya que el cuerpo consume más energía para combatir la infección y puede haber una disminución en el apetito.
- Malestar general: El malestar general o malestar generalizado es frecuente en infecciones severas y puede estar asociado con la sensación de cansancio y debilidad.
Síntomas Respiratorios:
- Tos: La tos es un síntoma prominente en infecciones pulmonares. En el contexto de infecciones anaeróbicas, la tos a menudo está acompañada de expectoración.
- Expectoración de esputo purulento y maloliente: La presencia de esputo con mal olor es indicativa de una infección anaeróbica. El esputo purulento se debe a la acumulación de pus en los pulmones, lo cual es característico de estas infecciones.
Signos Clínicos:
- Dentición Deficiente: La mala salud dental es un signo importante asociado con infecciones pleuropulmonares anaeróbicas. La presencia de enfermedad periodontal o una higiene dental inadecuada aumenta la carga de bacterias anaerobias en la boca, que pueden aspirarse y causar infección pulmonar.
- Edentulismo (Ausencia de Dientes): Aunque es raro, los pacientes edéntulos (sin dientes) pueden estar en mayor riesgo de infecciones pulmonares debido a la dificultad en la masticación y la posible presencia de infecciones en la mucosa oral. Si un paciente edéntulo presenta síntomas respiratorios, podría sugerir la presencia de una lesión bronquial obstructiva que contribuye a la aspiración de material infectado.
Consideraciones Diagnósticas:
- Auscultación Pulmonar: La auscultación puede revelar ruidos respiratorios anormales, como estertores crepitantes o sibilancias, que son indicativos de inflamación o acumulación de secreciones en los pulmones.
- Evaluación Radiológica: Las radiografías de tórax o tomografías computarizadas pueden mostrar imágenes típicas de neumonía necrotizante, abscesos pulmonares o empiema. La presencia de cavitaciones en las imágenes es particularmente sugestiva de una infección anaeróbica.
Importancia del Diagnóstico Temprano:
El diagnóstico temprano es crucial para evitar la progresión de la infección a estados más graves, como neumonía necrotizante o empiema. El tratamiento adecuado y oportuno con antibióticos específicos para bacterias anaerobias, junto con un manejo integral de la salud dental, puede mejorar significativamente el pronóstico del paciente y reducir las complicaciones asociadas con estas infecciones pulmonares.
Hallazgos de laboratorio
En el diagnóstico de infecciones pleuropulmonares anaeróbicas, los hallazgos de laboratorio juegan un papel crucial en la confirmación de la presencia de patógenos específicos. Sin embargo, debido a la naturaleza compleja de estas infecciones y las dificultades inherentes en la recuperación de ciertos microorganismos, la interpretación de los resultados puede ser desafiante. A continuación se detallan los aspectos clave relacionados con los hallazgos de laboratorio:
Cultivos de Esputo:
- Dificultades en la Interpretación:
- Los cultivos de esputo pueden estar contaminados con flora de las vías respiratorias superiores, lo que dificulta la identificación precisa del patógeno. Es común encontrar una mezcla de microorganismos, lo que puede complicar el diagnóstico.
- Contador de Colonias:
- Una alta cantidad de colonias de un microorganismo específico en una tinción de Gram o en cultivo puede ser indicativa de un patógeno real. Si el número de colonias es considerable y el microorganismo observado es consistente con los síntomas clínicos, es probable que sea un agente causal en la infección.
- Recuperación de Anaerobios:
- Las bacterias anaerobias y facultativas anaerobias son difíciles de recuperar en los cultivos estándar debido a su crecimiento lento y las condiciones requeridas para su cultivo. Además, el inicio de la terapia antibiótica puede reducir la cantidad de bacterias en el esputo, dificultando aún más su aislamiento.
Evaluación de Fluido Pleural:
- Empiema:
- En casos de empiema (acumulación de pus en la cavidad pleural), el análisis del líquido pleural puede proporcionar información diagnóstica crucial. El fluido pleural puede ser obtenido a través de toracocentesis y analizado para identificar la presencia de microorganismos.
- Aspecto y Composición:
- El fluido pleural en el empiema suele ser turbio o purulento, lo que sugiere una infección bacteriana. La citología y el cultivo del líquido pleural pueden revelar la presencia de bacterias anaerobias y ayudar a identificar los microorganismos responsables.
- Tinciones Especializadas:
- A menudo, se utilizan tinciones especiales, como la tinción de Gram y cultivos específicos para anaerobios, para mejorar la detección de microorganismos anaerobios en el líquido pleural.
Consideraciones Adicionales:
- Pruebas de Sensibilidad:
- Una vez identificado el microorganismo en los cultivos, es fundamental realizar pruebas de sensibilidad para determinar la eficacia de los antibióticos y ajustar el tratamiento según los resultados.
- Métodos Alternativos:
- En algunos casos, puede ser necesario utilizar técnicas de diagnóstico alternativas, como la PCR (reacción en cadena de la polimerasa) para la detección directa de ADN bacteriano en esputo o líquido pleural, especialmente cuando los cultivos tradicionales no son concluyentes.
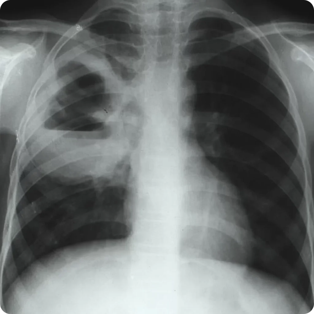
Estudios de imagen
En el diagnóstico de infecciones pleuropulmonares anaeróbicas, la imagenología juega un papel crucial para diferenciar entre las distintas manifestaciones radiográficas de estas infecciones. Los estudios de imagen permiten visualizar las características específicas de cada tipo de infección, lo que ayuda a confirmar el diagnóstico y guiar el tratamiento. A continuación, se describen las características radiográficas típicas de las infecciones pleuropulmonares anaeróbicas y cómo se utilizan las técnicas de imagen para diferenciarlas de otras patologías pulmonares:
1. Absceso Pulmonar:
- Apariencia Radiográfica:
- Un absceso pulmonar típicamente se presenta como una cavidad solitaria con pared gruesa en el pulmón. Esta cavidad está rodeada por una zona de consolidación del tejido pulmonar.
- La cavidad suele mostrar un nivel de aire-líquido, que es una indicación de que hay pus dentro de la cavidad y que la cavidad está parcialmente llena de líquido.
- Diagnóstico Diferencial:
- Es esencial excluir otras causas de enfermedad pulmonar cavitaria, que pueden tener una apariencia similar en las imágenes radiográficas. Estas incluyen:
- Tuberculosis: Los abscesos tuberculosos tienden a ser más múltiples y ubicarse a menudo en los lóbulos superiores.
- Micología: Infecciones fúngicas pueden presentar cavitaciones, a menudo con características específicas según el hongo.
- Cáncer: Los tumores pulmonares malignos pueden formar cavidades, y a menudo tienen bordes más irregulares.
- Infarto Pulmonar: Las áreas de infarto pueden presentar cavitación, pero suelen estar asociadas con antecedentes de tromboembolismo.
- Nódulos Necrobióticos en Artritis Reumatoide: Estos pueden parecerse a abscesos pero suelen estar asociados con una historia de artritis reumatoide.
- Vasculitis Pulmonar: Puede presentar cavitación pero se acompaña de otros hallazgos clínicos y radiográficos asociados con la vasculitis.
- Es esencial excluir otras causas de enfermedad pulmonar cavitaria, que pueden tener una apariencia similar en las imágenes radiográficas. Estas incluyen:
2. Neumonía Necrotizante:
- Apariencia Radiográfica:
- La neumonía necrotizante se caracteriza por la presencia de múltiples áreas de cavitación dentro de un área de consolidación. A diferencia de un absceso pulmonar solitario, hay varias cavidades dentro de una región extensa afectada del pulmón.
- Diagnóstico Diferencial:
- La presencia de múltiples cavitaciones puede ayudar a diferenciar la neumonía necrotizante de otras patologías pulmonares. Las infecciones mixtas, la neumonía bacteriana severa o el cáncer avanzado también pueden presentar múltiples cavidades, por lo que se deben considerar otros hallazgos clínicos y radiográficos para un diagnóstico definitivo.
3. Empiema:
- Apariencia Radiográfica:
- El empiema se caracteriza por la acumulación de líquido purulento en la cavidad pleural. En las radiografías, puede parecer como una opacidad en la región pleural que puede ocupar una parte o la totalidad de la cavidad torácica.
- El líquido pleural purulento puede acumularse alrededor de las lesiones pulmonares subyacentes, como abscesos o áreas de neumonía necrotizante.
- Ultrasonografía:
- La ultrasonografía es una herramienta valiosa para localizar el líquido pleural y puede revelar loculaciones (compartimentos separados) dentro del fluido, lo que indica que el líquido no se distribuye uniformemente y puede tener adhesiones en la cavidad pleural.
- La ecografía puede ayudar en la evaluación de la extensión del empiema y en la planificación de procedimientos como la toracocentesis para drenar el líquido.
Tratamiento
El tratamiento de las infecciones pleuropulmonares anaeróbicas requiere una combinación de antibióticos específicos y, en algunos casos, intervenciones quirúrgicas para manejar complicaciones. A continuación, se detalla el enfoque terapéutico recomendado, así como las consideraciones para el manejo de abscesos pulmonares y empiemas:
1. Tratamiento Antibiótico:
Medicación de Elección:
- Combinación de Betalactámico/ Inhibidor de Beta-lactamasa:
- Los antibióticos que combinan una betalactámico con un inhibidor de beta-lactamasa, como la amoxicilina-clavulánico (Augmentin) o la ticarcilina-clavulánico, son eficaces contra muchas bacterias anaerobias y algunos estreptococos anaerobios facultativos.
- Carbapenem:
- Los carbapenemes, como el imipenem o meropenem, son opciones de amplio espectro que cubren una gran variedad de bacterias anaerobias y aeróbicas.
- Clindamicina:
Terapia de Segunda Línea:
- Penicilina y Metronidazol:
- La combinación de penicilina y metronidazol es una alternativa en caso de que las opciones de primera línea no sean adecuadas o disponibles. Metronidazol es particularmente efectivo contra bacterias anaerobias.
Duración del Tratamiento:
- La duración del tratamiento con antibióticos para la neumonía anaeróbica varía, pero generalmente se recomienda un mínimo de 3 semanas. Algunos expertos sugieren prolongar el tratamiento hasta que la cavidad del absceso se haya resuelto en las imágenes de seguimiento. El tratamiento prolongado puede ser necesario para asegurar la resolución completa de la infección.
2. Manejo de Abscesos Pulmonares y Empiema:
Distinción entre Absceso Pulmonar y Empiema:
- Absceso Pulmonar:
- El absceso pulmonar se trata principalmente con antibióticos adecuados, y el manejo puede ser conservador si el absceso responde al tratamiento médico.
- Empiema:
- El empiema se caracteriza por la acumulación de líquido purulento en la cavidad pleural y requiere drenaje para aliviar la presión y eliminar el pus. La colocación de un tubo de toracostomía (drenaje torácico) es esencial para el tratamiento del empiema.
- Es crítico distinguir entre un absceso pulmonar y un empiema porque colocar un tubo de toracostomía en una cavidad de absceso pulmonar puede causar complicaciones, como una fístula broncopleural.
Consultoría de Cirugía Torácica:
- Abscesos Grandes o No Resolventes:
- Para abscesos grandes, persistentes o que no responden al tratamiento antibiótico, la consulta con un cirujano torácico es recomendable. Los cirujanos pueden evaluar la necesidad de intervenciones adicionales.
- Complicaciones como Ruptura en el Espacio Pleural:
- Si un absceso pulmonar se rompe en el espacio pleural, puede causar empiema secundario y puede requerir un tratamiento quirúrgico adicional.
Intervención Quirúrgica:
- Drenaje Percutáneo:
- Puede ser necesario para abscesos grandes o difíciles de tratar con antibióticos solo. La punción y drenaje percutáneo puede ayudar a reducir la infección y el tamaño del absceso.
- Segmentectomía, Lobectomía o Neumonectomía:
- En casos raros, cuando el absceso es extremadamente grande o no responde al tratamiento médico y drenaje, puede ser necesaria una cirugía más invasiva, como una segmentectomía (extirpación de un segmento del pulmón), lobectomía (extirpación de un lóbulo) o incluso una neumonectomía (extirpación de todo el pulmón).

Fuente y lecturas recomendadas:
- Makhnevich, A., et al. (2019). Aspiration pneumonia in older adults. Journal of Hospital Medicine, 14, 429. https://doi.org/10.12788/jhm.3284

