En pacientes inmunocomprometidos, como aquellos con VIH, recuentos absolutos de neutrófilos inferiores a 1000 células por microlitro, exposición actual o reciente a medicamentos mielosupresores o inmunosupresores, o aquellos que reciben más de 20 mg/día de prednisona o su equivalente durante más de 4 semanas, los infiltrados pulmonares pueden tener múltiples causas, tanto infecciosas como no infecciosas. Esta complejidad surge debido a la debilidad en el sistema inmunitario que altera las respuestas normales a diversos patógenos y factores.
Causas infecciosas de infiltrados pulmonares:
- Bacterias: En los pacientes inmunocomprometidos, las infecciones bacterianas pueden ser más graves y difíciles de tratar. Las bacterias comunes incluyen Staphylococcus aureus y bacilos gramnegativos. La presencia de neutropenia, es decir, un bajo recuento de neutrófilos, aumenta la susceptibilidad a estas infecciones.
- Micobacterias: Los defectos en la inmunidad celular predisponen a infecciones por micobacterias, como Mycobacterium tuberculosis o Mycobacterium avium complex.
- Hongos: Los pacientes con inmunosupresión grave, como aquellos con recuentos de neutrófilos muy bajos, son susceptibles a infecciones fúngicas. Aspergillus y Candida son ejemplos de hongos que pueden causar neumonía en estos individuos.
- Protozoos: Las infecciones protozoarias, como las causadas por Pneumocystis jirovecii (anteriormente conocido como Pneumocystis carinii), son comunes en pacientes con VIH avanzado o aquellos con inmunosupresión severa.
- Virus: Los defectos en la inmunidad celular también predisponen a infecciones virales, como el citomegalovirus (CMV) y otros virus que pueden causar neumonía.
Causas no infecciosas de infiltrados pulmonares:
- Edema pulmonar: Puede ser causado por diversas razones, incluidas insuficiencia cardíaca o efectos secundarios de medicamentos. El edema se manifiesta en radiografías como infiltrados pulmonares difusos.
- Hemorragia alveolar: Este fenómeno puede deberse a trastornos hemorrágicos o reacciones adversas a medicamentos y se presenta como infiltrados en las imágenes radiográficas.
- Reacciones a medicamentos: Algunos medicamentos pueden inducir neumonitis intersticial o reacciones pulmonares que imitan infecciones.
- Tromboembolismo pulmonar: La presencia de coágulos en los vasos pulmonares puede causar infiltrados en las imágenes y síntomas similares a los de una neumonía.
- Malignidad: Los cánceres pulmonares y metástasis pueden presentar infiltrados pulmonares que pueden confundirse con infecciones.
- Neumonitis por radiación: Pacientes que han recibido radioterapia en el tórax pueden desarrollar inflamación pulmonar que se presenta como infiltrados en estudios de imagen.
Para diferenciar entre estas causas en pacientes inmunocomprometidos, los clínicos deben considerar dos herramientas principales:
- Conocimiento del defecto inmunológico subyacente: Los defectos en la inmunidad pueden predisponer a infecciones específicas. Las deficiencias en la inmunidad humoral se asocian con infecciones bacterianas, mientras que las deficiencias en la inmunidad celular se relacionan con infecciones virales, fúngicas, micobacterianas y protozoarias. La neutropenia y la función granulocítica comprometida predisponen a infecciones por S. aureus, Aspergillus, bacilos gramnegativos y Candida.
- Curso temporal de la infección: El tiempo desde la exposición o el trasplante puede ayudar a identificar la causa. Las neumonías fulminantes suelen ser bacterianas, mientras que las neumonías de inicio insidioso pueden ser virales, fúngicas, protozoarias o micobacterianas. En el contexto de un trasplante de órganos, las infecciones bacterianas son más comunes en las primeras 2-4 semanas, mientras que las infecciones por Pneumocystis jirovecii, virus (como CMV) y hongos (como Aspergillus) son más frecuentes varios meses después del trasplante.
Este enfoque integral ayuda a los clínicos a formular un diagnóstico más preciso y a implementar estrategias de tratamiento adecuadas para pacientes con infiltrados pulmonares en contextos de inmunosupresión.
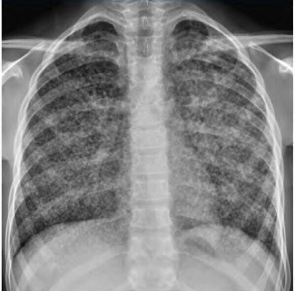
En el diagnóstico de infiltrados pulmonares en pacientes inmunocomprometidos, la radiografía de tórax suele tener una utilidad limitada para acotar el diagnóstico diferencial. Dado que la radiografía puede no ser específica ni suficiente para determinar la causa subyacente, es crucial utilizar métodos adicionales para identificar el patógeno responsable.
Examen de esputo:
La evaluación de esputo expectorado para la detección de bacterias, hongos, micobacterias, Legionella y Pneumocystis jirovecii es una herramienta importante en la investigación diagnóstica. Este examen puede, en muchos casos, evitar la necesidad de procedimientos diagnósticos invasivos y costosos. La inducción de esputo, que implica la inhalación de soluciones salinas para obtener muestras de las vías respiratorias, puede ser necesaria para obtener muestras adecuadas para el análisis. La sensibilidad del esputo inducido para detectar Pneumocystis jirovecii puede variar según la experiencia institucional, el número de muestras analizadas y los métodos de detección utilizados.
Limitaciones y manejo inicial:
A menudo, la evaluación rutinaria del esputo no logra identificar el organismo causante de la infección. Por lo tanto, los clínicos pueden iniciar un tratamiento antimicrobiano empírico antes de recurrir a procedimientos diagnósticos invasivos. La decisión de comenzar el tratamiento empírico se basa en la gravedad de la infección pulmonar, la enfermedad subyacente del paciente, los riesgos asociados con la terapia empírica y la experiencia local con los procedimientos diagnósticos.
Procedimientos diagnósticos invasivos:
Cuando la evaluación del esputo no proporciona un diagnóstico definitivo, se consideran los siguientes procedimientos invasivos:
- Broncoscopía con lavado broncoalveolar (BAL): La BAL, realizada mediante broncoscopía flexible, es un método seguro y eficaz para obtener secreciones pulmonares para estudios microbiológicos. Este procedimiento tiene menos riesgos de sangrado y otras complicaciones en comparación con la biopsia transbronquial. Es particularmente útil para el diagnóstico de infecciones pulmonares en pacientes inmunocomprometidos.
- Biopsia pulmonar transbronquial: Aunque útil en algunos casos, la biopsia transbronquial puede presentar riesgos adicionales, como sangrado y perforación. Su utilidad y seguridad dependen de la experiencia del equipo médico y del estado clínico del paciente.
- Biopsia pulmonar quirúrgica: La biopsia pulmonar abierta, frecuentemente realizada mediante toracoscopia asistida por video, proporciona una opción diagnóstica definitiva para los infiltrados pulmonares. Sin embargo, aunque puede ser útil para obtener un diagnóstico específico, solo alrededor de dos tercios de los casos reciben un diagnóstico definitivo, y la información obtenida puede no siempre influir en el resultado clínico del paciente.
El enfoque para el manejo y la toma de decisiones debe considerar varios factores: la gravedad de la infección pulmonar, las características del paciente (incluyendo su enfermedad subyacente y el estado inmunológico), los riesgos potenciales asociados con la terapia empírica y la experiencia local con procedimientos diagnósticos. La combinación de pruebas microbiológicas y procedimientos invasivos permite una evaluación más completa y dirigida para el tratamiento adecuado de los infiltrados pulmonares en pacientes inmunocomprometidos.

Fuente y lecturas recomendadas:
- Del Corpo, O., et al. (2020). Diagnostic accuracy of serum (1-3)-β-D-glucan for Pneumocystis jirovecii pneumonia: A systematic review and meta-analysis. Clinical Microbiology and Infection, 26(8), 1137-1147. https://doi.org/10.1016/j.cmi.2020.04.024
- Ghembaza, A., et al. (2020). Risk factors and prevention of Pneumocystis jirovecii pneumonia in patients with autoimmune and inflammatory diseases. Chest, 158(6), 2323-2334. https://doi.org/10.1016/j.chest.2020.08.2038
- Haydour, Q., et al. (2020). Diagnosis of fungal infections: A systematic review and meta-analysis supporting American Thoracic Society practice guidelines. Chest. https://doi.org/10.1016/j.chest.2020.08.003

