La infarto cerebral, resultante de la oclusión trombótica o embólica de un vaso sanguíneo mayor, es un fenómeno patológico que se manifiesta como una interrupción aguda del flujo sanguíneo hacia una determinada región del cerebro. Esta interrupción puede tener causas similares a aquellas que predisponen a los ataques isquémicos transitorios (AIT), que incluyen factores de riesgo como la hipertensión arterial, la diabetes mellitus, la hiperlipidemia y la fibrilación auricular, entre otros.
La oclusión de un vaso sanguíneo principal, ya sea por la formación de un trombo (un coágulo que se forma en el lugar) o por un émbolo (un coágulo que se origina en otra parte del cuerpo y viaja hacia el cerebro), priva a las neuronas de oxígeno y nutrientes esenciales, lo que desencadena un estado de isquemia cerebral. La gravedad de la isquemia depende de varios factores, incluyendo el tipo de vaso afectado y la eficacia de la circulación colateral que pueda existir en la región afectada.
En situaciones de isquemia, el metabolismo celular se ve comprometido, lo que lleva a una acumulación de metabolitos tóxicos y a una disminución en la producción de adenosín trifosfato, la principal fuente de energía para las células. Este entorno energético deficiente provoca una alteración en la homeostasis del calcio dentro de las neuronas. En condiciones normales, el calcio se encuentra regulado en el interior de las células; sin embargo, la isquemia genera un aumento en la permeabilidad de la membrana celular, facilitando la entrada de calcio en exceso. Este incremento en el calcio intracelular es un proceso crítico que puede activar diversas vías bioquímicas, resultando en la apoptosis o necrosis neuronal.
Adicionalmente, la isquemia cerebral induce la liberación de neurotransmisores excitatorios, como el glutamato, así como de otros neuropéptidos que pueden exacerbar el daño neuronal. Este fenómeno, conocido como excitotoxicidad, se produce debido a la hiperactivación de los receptores de glutamato, que provoca una sobrecarga de calcio y, en consecuencia, una cascada de eventos celulares que culminan en la muerte neuronal. La extensión del déficit neurológico resultante de un infarto cerebral dependerá, por tanto, del área afectada, del tipo de neuronas involucradas y del grado de colateralidad vascular que se pueda activar para compensar la pérdida de flujo sanguíneo.
Manifestaciones clínicas
El inicio de un infarto cerebral es típicamente abrupto, manifestándose de forma súbita con síntomas neurológicos que pueden variar en función de la arteria afectada. En general, la progresión clínica tras el evento inicial es mínima, salvo por el aumento de la hinchazón cerebral que puede ocurrir como respuesta al daño isquémico. La evaluación clínica en estos casos debe incluir un examen exhaustivo del corazón, buscando murmullos y irregularidades en el ritmo, ya que estas pueden ser indicativas de embolias que afectan la circulación cerebral. La auscultación sobre los vasos carótidos o subclavios puede revelar un soplo, aunque esta técnica no es lo suficientemente sensible como para sustituir a la imagen vascular en la evaluación de la patología.
Obstrucción de la circulación carotídea
En el caso de la obstrucción de la circulación carótida, la oclusión de la arteria cerebral anterior, distal a su unión con la arteria comunicante anterior, provoca debilidad y pérdida sensorial cortical en la pierna contralateral. En ocasiones, también se puede observar una debilidad leve en el brazo, especialmente en la porción proximal. Adicionalmente, pueden presentarse reflejos anormales, como el reflejo de agarre contralateral, rigidez paratónica, abulia (falta de iniciativa) o confusión franca. La incontinencia urinaria es relativamente común en estos pacientes, sobre todo cuando se observan alteraciones conductuales. La infarto bilateral de la arteria cerebral anterior está asociado con cambios conductuales marcados y disturbios en la memoria.
En contraste, la oclusión unilateral de la arteria cerebral anterior, proximal a la unión con la arteria comunicante anterior, generalmente se tolera bien gracias a la circulación colateral proveniente del hemisferio contralateral. Por otro lado, la oclusión de la arteria cerebral media provoca hemiplejía contralateral, pérdida sensorial hemisomática y hemianopsia homónima (pérdida bilateralmente simétrica de visión en la mitad de los campos visuales), con desvío de la mirada hacia el lado de la lesión. Si el hemisferio dominante está involucrado, se presenta afasia global, y es difícil distinguir clínicamente esta condición de una oclusión de la arteria carótida interna.
La hinchazón del hemisferio afectado puede ser significativa durante las primeras 72 horas tras la oclusión, a tal punto que la función del hemisferio contralateral o del tronco encefálico rostral puede verse comprometida, lo que puede llevar a un estado de coma. La oclusión de diferentes ramas de la arteria cerebral media produce hallazgos clínicos más limitados. Por ejemplo, la afectación de la división superior en el hemisferio dominante resulta en una afasia expresiva (afasia de Broca) y parálisis contralateral, así como pérdida de la sensibilidad en el brazo, la cara y, en menor medida, la pierna. La oclusión de la rama inferior en el hemisferio dominante produce una afasia receptiva (afasia de Wernicke) y un defecto en el campo visual homónimo.
En el caso de la oclusión de la arteria oftálmica o de la arteria central de la retina, se produce una pérdida visual súbita e indolora, con palidez retiniana y un punto rojo cereza en la mácula al examen con oftalmoscopio. Un episodio de pérdida de visión súbita y transitoria en un ojo, conocido como amaurosis fugax, es indicativo de un ataque isquémico transitorio en este territorio arterial.
Obstrucción de la circulación vertebrobasilar
La obstrucción de la circulación vertebrobasilar puede tener consecuencias neurológicas significativas, dependiendo de la localización y la extensión de la oclusión arterial. La oclusión de la arteria cerebral posterior, por ejemplo, puede dar lugar a un síndrome talámico caracterizado por una alteración sensorial hemisensorial contralateral. Este síntoma inicial suele ir acompañado del desarrollo de dolor espontáneo y hiperalgesia, condiciones que reflejan la plasticidad neuronal y la reorganización en el sistema nervioso central tras el daño isquémico.
Uno de los hallazgos clínicos más destacados en la oclusión de la arteria cerebral posterior es la hemianopsia homónima, que generalmente respeta la mácula, lo que implica que la visión central se preserva mientras que se pierde la visión en la mitad del campo visual contralateral. Además, puede presentarse una hemiparesia leve, la cual, en muchos casos, es temporal. En situaciones donde el núcleo subtalámico se ve comprometido, pueden aparecer movimientos involuntarios, y si el infarto afecta al lóbulo occipital izquierdo y al esplenio del cuerpo calloso, puede producirse alexia, que es la incapacidad para leer.
Cuando la oclusión ocurre en la arteria principal más allá del origen de sus ramas penetrantes, el resultado clínico puede ser simplemente una hemianopsia macular-respetada, sin otros déficits significativos. Por otro lado, la oclusión de la arteria vertebral por debajo del origen de las arterias espinal anterior y cerebelosa posterior inferior puede ser clínicamente silenciosa, ya que la circulación se mantiene a través de la otra arteria vertebral. Sin embargo, si la arteria vertebral restante presenta anomalías congénitas o aterosclerosis severa, se puede observar un déficit similar al de la oclusión de la arteria basilar, a menos que exista una circulación colateral adecuada desde la circulación anterior a través del círculo de Willis.
La oclusión de la arteria cerebelosa posterior inferior o de la arteria vertebral justo antes de que se ramifique a esta arteria puede llevar al síndrome medular lateral, que se manifiesta con síntomas como vértigo y nistagmus, asociados a la afectación del núcleo vestibular. También se observa una pérdida sensorial ipsilateral por la vía espinotalámica que involucra la cara, afectando el núcleo y tracto trigeminal, así como disartria debido al compromiso del núcleo ambiguo. Adicionalmente, pueden aparecer ataxias de las extremidades debido a la implicación del pedúnculo cerebeloso inferior, junto con el síndrome de Horner, que se origina por la afectación de las fibras simpáticas descendentes. Este cuadro clínico se complementa con la pérdida sensorial contralateral en las extremidades, reflejando la complejidad de la red vascular y neurológica que se encuentra en la circulación vertebrobasilar.
La oclusión de ambas arterias vertebrales o de la arteria basilar representa una emergencia médica crítica, resultando en una serie de manifestaciones clínicas que reflejan la severidad del compromiso cerebral. Este tipo de oclusión se asocia con la aparición de coma, pupilas en punto, cuadriplejía flácida y pérdida sensorial, así como variaciones en las anomalías de los nervios craneales. Estas manifestaciones son el resultado de la isquemia que afecta tanto a las estructuras cerebrales superiores como a las regiones del tronco encefálico, donde se encuentran importantes núcleos nerviosos que regulan funciones vitales.
En el caso de una oclusión parcial de la arteria basilar, el paciente puede experimentar síntomas variados, que incluyen diplopía (visión doble), pérdida visual, vértigo, disartria (dificultad para articular palabras), ataxia, debilidad y alteraciones sensoriales que pueden afectar a uno o más de los miembros. Además, pueden observarse parálisis de nervios craneales discretos, dependiendo de la localización del infarto en el tronco encefálico.
La desviación ocular también ofrece pistas importantes en la evaluación clínica. En los pacientes con hemiplejía de origen pontino, los ojos tienden a desviarse hacia el lado parético, mientras que en aquellos con lesiones hemisféricas, la desviación ocular generalmente se produce alejándose del lado hemiplégico. Este fenómeno se relaciona con la integridad de las vías nerviosas que controlan el movimiento ocular y la posición de la cabeza.
Cuando las pequeñas arterias paramedianas que emergen de la arteria basilar se ocluyen, se presenta una hemiplejía contralateral y un déficit sensorial asociado a una parálisis de nervio craneal ipsilateral en el nivel de la lesión. Este patrón refleja cómo el compromiso vascular puede causar lesiones focales que afectan tanto las vías motoras como los núcleos de los nervios craneales.
Asimismo, la oclusión de cualquiera de las arterias cerebelosas mayores produce síntomas distintivos, como vértigo, náuseas, vómitos, nistagmus e ataxia de los miembros ipsilaterales. La pérdida sensorial contralateral por vía espinotalámica en las extremidades puede acompañar a estos síntomas, lo que indica un compromiso en las vías nerviosas ascendentes y descendentes que procesan la información sensorial y motora.
Un caso específico de interés es la oclusión de la arteria cerebelosa anterior inferior, que puede resultar en sordera debido a la isquemia de la cóclea, así como en pérdida sensorial y debilidad en el rostro, ya que esta arteria irriga áreas críticas que afectan tanto la audición como la sensibilidad facial.
En situaciones de infarto cerebeloso masivo, pueden surgir complicaciones graves como hidrocefalia obstructiva, coma, herniación tonsilar y, eventualmente, la muerte. Estos eventos son consecuencia del aumento de la presión intracraneal y de la compresión de estructuras vitales en el cerebro, destacando la importancia de una intervención médica urgente para restaurar el flujo sanguíneo y prevenir daños irreversibles.
Exámenes diagnósticos
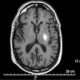
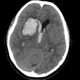
La realización de una tomografía computarizada (TC) de la cabeza sin contraste es un paso crítico en la evaluación inicial de un paciente con sospecha de accidente cerebrovascular. Este procedimiento debe llevarse a cabo de inmediato, antes de la administración de aspirina u otros agentes antitrombóticos, con el objetivo de excluir la posibilidad de una hemorragia cerebral. La tomografía computarizada, aunque es una herramienta valiosa, tiene una sensibilidad relativamente baja para detectar accidentes cerebrovasculares isquémicos agudos durante las primeras seis a doce horas después del inicio de los síntomas. En este contexto, una resonancia magnética (RM) con secuencias ponderadas por difusión es fundamental para definir la distribución y extensión del infarto, así como para descartar otras condiciones, como tumores.
Adicionalmente, la angiografía por tomografía computarizada de la cabeza y el cuello debe realizarse para identificar oclusiones de grandes vasos que sean susceptibles a terapia endovascular en pacientes que se presentan dentro de las seis horas posteriores al inicio del accidente cerebrovascular. En aquellos que llegan entre seis y veinticuatro horas después del evento, también se debe considerar esta técnica, complementada con estudios de perfusión por TC. Independientemente del momento de presentación, la imagen de la vasculatura cervical es un componente esencial en la búsqueda del origen del accidente cerebrovascular.
En casos de un foramen oval permeable (FOP) y accidentes cerebrovasculares criptogénicos, es imperativo realizar imágenes de la vasculatura intracraneal para descartar la presencia de aterosclerosis en grandes vasos antes de considerar el cierre del FOP. Este enfoque meticuloso es esencial para garantizar que no haya un sustrato vascular que justifique el evento isquémico.
Los estudios de laboratorio y otras pruebas diagnósticas son igualmente relevantes. Se recomienda incluir un hemograma completo, determinación de glucosa en sangre y un perfil lipídico en ayunas. En función de las circunstancias clínicas, pueden incluirse pruebas serológicas para sífilis e infección por VIH. La evaluación de anticuerpos antifosfolípidos, la mutación del factor V Leiden y las anomalías en las proteínas C, S o antitrombina, así como la mutación del gen de la protrombina, deben realizarse únicamente si se sospecha un trastorno de hipercoagulabilidad, como en el caso de un paciente joven sin factores de riesgo evidentes para accidente cerebrovascular.
Aunque se ha identificado que niveles elevados de homocisteína son un factor de riesgo para accidente cerebrovascular, no se ha demostrado que la reducción de estos niveles mediante suplementación vitamínica disminuya el riesgo de accidente cerebrovascular, por lo que no se recomienda la evaluación rutinaria de homocisteína. Además, la monitorización electrocardiográfica (ECG) o el monitoreo cardíaco continuo durante al menos veinticuatro horas son esenciales para excluir un infarto de miocardio reciente o arritmias cardíacas que podrían ser fuentes de embolización.
Se estima que la fibrilación auricular se descubre en aproximadamente el diez por ciento de los pacientes con accidente cerebrovascular isquémico durante su hospitalización, y se espera que un diez por ciento adicional presente arritmias durante el monitoreo ambulatorio prolongado después del alta. Esta evaluación es indicada en casos donde se sospecha fibrilación auricular, especialmente en accidentes cerebrovasculares no lacunares y en presencia de agrandamiento de la aurícula izquierda en ecocardiografía, o en ausencia de aterosclerosis intracraneal o carotídea.
La ecocardiografía, idealmente con contraste de solución salina agitada, debe realizarse en casos de accidente cerebrovascular no lacunar para descartar enfermedad valvular, cortocircuito de derecha a izquierda y trombos cardíacos. Los hemocultivos son pertinentes si se sospecha endocarditis, pero no son necesarios de manera rutinaria.
La exploración del líquido cefalorraquídeo (LCR) no siempre es necesaria, aunque puede ser útil si se sospecha vasculitis cerebral u otra causa inflamatoria o infecciosa del accidente cerebrovascular. Sin embargo, esta prueba debe retrasarse hasta después de la TC o RM para excluir cualquier riesgo de herniación cerebral debido a un efecto de masa.
Tratamiento
El manejo del accidente cerebrovascular se divide en fases agudas y crónicas, cada una con objetivos específicos. La fase aguda se centra en minimizar la discapacidad, mientras que la fase crónica está orientada a prevenir recurrencias del accidente cerebrovascular. Esta diferenciación es crucial para abordar tanto el tratamiento inmediato del evento como las estrategias de rehabilitación y prevención a largo plazo.
Para los pacientes que se presentan dentro de las veinticuatro horas desde el inicio del accidente cerebrovascular, se dispone de una combinación de terapias de trombólisis y tratamientos endovasculares. La terapia trombolítica intravenosa con activador de plasminógeno tisular recombinante mejora significativamente las probabilidades de recuperación sin discapacidad significativa a noventa días, aumentando estas probabilidades del veintiséis por ciento al treinta y nueve por ciento si se administra dentro de las tres horas desde el inicio de los síntomas. Aunque la efectividad del tratamiento se mantiene hasta las cuatro horas y media, es crucial que se inicie lo más pronto posible, ya que los resultados están directamente relacionados con el tiempo transcurrido desde el inicio del accidente cerebrovascular hasta el tratamiento.
En Europa, se aprueba el uso de alteplase (0.9 mg/kg, hasta un máximo de 90 mg, administrado como un bolo del diez por ciento en un minuto y el resto en una hora) hasta cuatro horas y media después del inicio del accidente cerebrovascular. Sin embargo, en los Estados Unidos, esta aprobación es solo hasta tres horas, aunque el uso off-label durante la ventana de tres a cuatro horas y media es común. Además, el tenecteplase, administrado en una dosis única de 0.25 mg/kg intravenosamente dentro de las cuatro horas y media desde el inicio, es considerado no inferior a la alteplase y se utiliza en algunos centros especializados, a pesar de no estar aprobado para esta indicación en Estados Unidos o Europa.
La presión arterial juega un papel fundamental en la administración de la terapia trombolítica. En pacientes con presión sistólica superior a 185 mm Hg o diastólica superior a 110 mm Hg, es necesario reducir la presión arterial por debajo de 185/110 mm Hg mediante la administración intravenosa de labetalol o nicardipina para permitir la administración de rtPA. Debido al riesgo de hemorragia, la rtPA no debe utilizarse más allá de las cuatro horas y media, ni en situaciones donde esté contraindicada desde un punto de vista médico. Sin embargo, hay evidencia que sugiere que los pacientes con tejido isquémico, pero no infartado, identificados mediante imágenes de perfusión automatizadas o resonancia magnética, podrían ser tratados hasta nueve horas después del inicio o al despertar con síntomas de accidente cerebrovascular.
Varios ensayos aleatorizados han demostrado que la embolectomía mecánica endovascular mediante stent retrievers incrementa la probabilidad de lograr independencia funcional, ya sea como complemento a la terapia intravenosa con rtPA o como tratamiento independiente en pacientes no elegibles para rtPA. Los pacientes con oclusión de grandes vasos, que representan aproximadamente el veinte por ciento de los pacientes con accidente cerebrovascular isquémico agudo, son candidatos para la embolectomía si el tratamiento puede iniciarse dentro de las seis horas desde el inicio. Además, aquellos que se presentan entre seis y veinticuatro horas y tienen una penumbra isquémica grande identificada por perfusión por tomografía computarizada, resonancia magnética de perfusión o resonancia magnética ponderada por difusión también son elegibles para este tratamiento.
El manejo temprano de un accidente cerebrovascular completado requiere, en general, medidas de soporte general que aseguren la estabilidad del paciente y prevengan complicaciones adicionales. La atención en una unidad de cuidados para accidentes cerebrovasculares ha demostrado mejorar los resultados, probablemente debido a la rehabilitación temprana y a la prevención de complicaciones médicas asociadas. Durante la etapa aguda, es común observar un notable aumento de la hinchazón cerebral y edema, lo que puede manifestarse a través de síntomas y signos de aumento de la presión intracraneal, un déficit neurológico en progresión o síndrome de herniación.
La presión intracraneal elevada se maneja mediante la elevación de la cabeza del paciente y el uso de agentes osmóticos como el manitol, que ayudan a reducir el edema cerebral. Mantener una presión de perfusión cerebral adecuada es crucial para prevenir la isquemia adicional, asegurando así que el tejido cerebral afectado reciba el flujo sanguíneo necesario.
En casos de infartos malignos de la arteria cerebral media, la hemicraniectomía descompresiva temprana, realizada dentro de las cuarenta y ocho horas siguientes al inicio del accidente cerebrovascular, ha demostrado reducir la mortalidad y mejorar los resultados funcionales. Este procedimiento quirúrgico permite disminuir la presión intracraneal al proporcionar espacio adicional para el cerebro hinchado, mitigando así el riesgo de daño cerebral irreversible.
Durante la fase aguda del accidente cerebrovascular, es importante ser cauteloso al intentar reducir la presión arterial en pacientes hipertensos. Generalmente, se debe evitar la reducción de la presión arterial durante las primeras setenta y dos horas a menos que sea necesario para facilitar la administración segura de activador de plasminógeno tisular. Esto se debe a que la autoregulación cerebral puede estar comprometida, y una reducción inapropiada de la presión arterial podría comprometer aún más las áreas isquémicas del cerebro. Sin embargo, si la presión sistólica supera los 220 mm Hg, se puede considerar su reducción mediante el uso de labetalol intravenoso, nicardipina o clevidipina, monitorizando continuamente para estabilizarla entre 170 y 200 mm Hg. Después de setenta y dos horas, la presión arterial puede reducirse aún más a menos de 140/90 mm Hg.
En pacientes que presentan hipotensión relativa, el aumento de la presión arterial no suele ser necesario; sin embargo, es crucial mantener una adecuada hidratación, administrando líquidos intravenosos cuando sea necesario. Esto es especialmente relevante, ya que una adecuada perfusión y el equilibrio hídrico son esenciales para la recuperación cerebral y la prevención de complicaciones adicionales.
Las medidas profilácticas y médicas discutidas en la sección sobre ataques isquémicos transitorios son fundamentales y deben guiar el manejo de los pacientes con accidente cerebrovascular. Una vez que se ha excluido la hemorragia mediante tomografía computarizada, se inicia inmediatamente la administración de aspirina a una dosis de 325 miligramos por vía oral diariamente. Esta intervención es crítica para prevenir la formación de nuevos trombos en el contexto de un accidente cerebrovascular isquémico. Sin embargo, si el paciente ha recibido tratamiento trombolítico, la aspirina se inicia solo después de que una tomografía computarizada de seguimiento, realizada a las veinticuatro horas, haya descartado la presencia de hemorragia asociada al tratamiento.
En el caso de pacientes que han sufrido un accidente cerebrovascular menor, definido como una puntuación de tres o menos en la Escala de Accidentes Cerebrovasculares de los Institutos Nacionales de Salud, se recomienda el uso de terapia antiplaquetaria dual durante un período de veintiún días. Esta estrategia se basa en la evidencia de que la combinación de dos agentes antitrombóticos puede proporcionar un efecto protector adicional frente a la recurrencia de eventos isquémicos.
Los medicamentos anticoagulantes se inician cuando se considera indicado, siguiendo las pautas establecidas para el manejo de ataques isquémicos transitorios. Es importante destacar que no hay ventaja en retrasar el tratamiento anticoagulante, ya que el temor común de causar una hemorragia en un área previamente infartada es infundado. De hecho, el riesgo de embolia adicional en la circulación cerebral es considerablemente mayor si se retarda la terapia.
El tratamiento físico desempeña un papel crucial en la rehabilitación de pacientes con deterioro de la función motora. Los movimientos pasivos en las primeras etapas del proceso pueden ayudar a prevenir contracciones musculares y mantener la movilidad articular. A medida que aumenta la cooperación del paciente y comienza a observarse cierta recuperación, los movimientos activos son esenciales para mejorar la fuerza y la coordinación.
La movilización temprana y la rehabilitación activa son componentes fundamentales de la recuperación. La terapia ocupacional puede contribuir a mejorar la moral y las habilidades motoras del paciente, mientras que la terapia del habla es fundamental para abordar problemas como la afasia expresiva o la disartria, que son comunes tras un accidente cerebrovascular.
Debido al riesgo de disfagia que puede presentarse tras el evento, el acceso a alimentos y líquidos suele restringirse hasta que se realice una evaluación adecuada de la deglución. Durante este período, se recomienda mantener la cabecera de la cama elevada para prevenir la aspiración. Además, se desaconseja la colocación de catéteres urinarios, y si se han colocado, deben retirarse en un plazo de veinticuatro a cuarenta y ocho horas.
Pronóstico
El pronóstico de supervivencia tras un infarto cerebral es generalmente más favorable que el observado después de hemorragias cerebrales o subaracnoideas. Esto se debe a que los infartos, que resultan de la oclusión de los vasos sanguíneos, suelen permitir una mayor preservación de la estructura cerebral en comparación con las hemorragias, que pueden provocar daños extensos y rápidamente irreversibles. En particular, los pacientes que reciben tratamiento con activador de plasminógeno tisular recombinante tienen al menos un treinta por ciento más de probabilidades de experimentar discapacidad mínima o ninguna a los tres meses en comparación con aquellos que no son tratados con este agente. Asimismo, los pacientes sometidos a embolectomía mecánica también presentan una probabilidad similar de alcanzar la independencia funcional.
La pérdida de conciencia después de un infarto cerebral se asocia con un pronóstico más desfavorable, ya que indica un daño cerebral más extenso o una afectación del sistema nervioso central que puede comprometer la recuperación. La extensión del infarto es un factor determinante en el potencial de rehabilitación, dado que los infartos más grandes suelen conllevar déficits neurológicos más severos y limitaciones funcionales mayores.
Además, los pacientes que han sufrido un infarto cerebral presentan un riesgo elevado de sufrir nuevos eventos cerebrovasculares, así como infartos de miocardio. Por ello, las medidas profilácticas discutidas en la sección sobre tratamiento son esenciales para mitigar este riesgo. La terapia antiplateletaria, por ejemplo, ha demostrado reducir la tasa de recurrencia en un treinta por ciento entre los pacientes que han experimentado un accidente cerebrovascular sin causa cardíaca y que no son candidatos para la endarterectomía carotídea. A pesar de esto, el riesgo acumulado de recurrencia de un accidente cerebrovascular no cardioembólico sigue siendo de un tres al siete por ciento anualmente.
En el caso de infartos cerebrales masivos, donde una recuperación significativa es poco probable, la gestión del paciente se centra en cuidados paliativos. Esto implica un enfoque que prioriza la calidad de vida y el bienestar del paciente, en lugar de buscar intervenciones que pueden no resultar beneficiosas o que pueden estar asociadas con una carga excesiva.

Fuente y lecturas recomendadas:
- Goldman, L., & Schafer, A. I. (Eds.). (2020). Goldman-Cecil Medicine (26th ed.). Elsevier.
- Loscalzo, J., Fauci, A. S., Kasper, D. L., Hauser, S. L., Longo, D. L., & Jameson, J. L. (Eds.). (2022). Harrison. Principios de medicina interna (21.ª ed.). McGraw-Hill Education.
- Papadakis, M. A., McPhee, S. J., Rabow, M. W., & McQuaid, K. R. (Eds.). (2024). Diagnóstico clínico y tratamiento 2025. McGraw Hill.
- Rozman, C., & Cardellach López, F. (Eds.). (2024). Medicina interna (20.ª ed.). Elsevier España.

