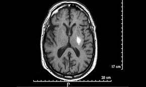
Los infartos lacunares son un tipo específico de infarto cerebral caracterizado por su tamaño reducido, generalmente inferior a 1.5 centímetros de diámetro. Estas lesiones se localizan principalmente en regiones del cerebro que reciben irrigación de arteriolas cortas penetrantes, tales como los ganglios basales, el puente de Varolio, el cerebelo, la cápsula interna y el tálamo. En menor frecuencia, también pueden presentarse en la sustancia blanca cerebral profunda.
La etiología de los infartos lacunares está estrechamente relacionada con condiciones vasculares subyacentes, siendo la hipertensión arterial y la diabetes mellitus mal controladas los factores de riesgo más prevalentes. Estas patologías generan cambios en la estructura de las arterias, incluyendo la lipohialinosis y la oclusión de pequeños vasos, lo que contribuye a la isquemia cerebral en las áreas mencionadas.
Desde el punto de vista clínico, los infartos lacunares pueden manifestarse de diversas formas, dependiendo de la localización de la lesión. Entre los síndromes clínicos asociados se encuentran la hemiparesia motora pura contralateral, el déficit hemisensorial puro, la ataxia ipsilateral con hemiparesia y la disartria acompañada de torpeza en la mano. Es notable que los déficits neurológicos derivados de estos infartos pueden progresar durante un periodo de 24 a 36 horas, antes de estabilizarse.
El pronóstico para los pacientes que sufren infartos lacunares es, en general, favorable. Se observa una tasa de recuperación significativa, con una resolución parcial o completa de los déficits en un plazo de cuatro a seis semanas en muchos casos. Sin embargo, es importante mencionar que la mortalidad temprana y el riesgo de recurrencia de accidentes cerebrovasculares son más altos en aquellos pacientes que sufren infartos no lacunares en comparación con los infartos lacunares.

Fuente y lecturas recomendadas:
- Goldman, L., & Schafer, A. I. (Eds.). (2020). Goldman-Cecil Medicine (26th ed.). Elsevier.
- Loscalzo, J., Fauci, A. S., Kasper, D. L., Hauser, S. L., Longo, D. L., & Jameson, J. L. (Eds.). (2022). Harrison. Principios de medicina interna (21.ª ed.). McGraw-Hill Education.
- Papadakis, M. A., McPhee, S. J., Rabow, M. W., & McQuaid, K. R. (Eds.). (2024). Diagnóstico clínico y tratamiento 2025. McGraw Hill.
- Rozman, C., & Cardellach López, F. (Eds.). (2024). Medicina interna (20.ª ed.). Elsevier España.

