La hemorragia intracerebral espontánea, no traumática, se presenta con mayor frecuencia en pacientes que no muestran evidencia angiográfica de anomalías vasculares asociadas, como aneurismas o angiómas. Este fenómeno es, en su mayoría, consecuencia de la hipertensión arterial. En el contexto de la hipertensión, la base patológica que subyace a la hemorragia intracerebral probablemente se relaciona con la formación de microaneurismas en los vasos perforantes. Estos microaneurismas son dilataciones localizadas que pueden surgir en las paredes de los vasos sanguíneos, resultando en un debilitamiento que facilita la ruptura vascular.
Las localizaciones más comunes de la hemorragia hipertensiva son los ganglios basales, el puente de Varolio, el tálamo y el cerebelo, mientras que las manifestaciones en la sustancia blanca cerebral son menos frecuentes. En algunos casos, la hemorragia puede extenderse hacia el sistema ventricular o el espacio subaracnoideo, lo que puede dar lugar a signos de irritación meníngea, como rigidez de nuca y cefalea intensa.
Además de la hipertensión, en adultos mayores, la angiopatía amiloide cerebral representa una causa significativa y frecuente de hemorragia intracerebral. Esta condición tiende a presentar una distribución lobar y puede ser recurrente. Su pronóstico inmediato suele ser mejor que el asociado con las hemorragias hipertensivas. En pacientes más jóvenes, las malformaciones arteriovenosas se consideran una causa importante de hemorragia intracerebral.
Otros factores que contribuyen a la hemorragia intracerebral no traumática incluyen trastornos hematológicos y de coagulación, como la leucemia, la trombocitopenia, la hemofilia y la coagulación intravascular diseminada. También se relacionan el uso de anticoagulantes, enfermedades hepáticas, el consumo excesivo de alcohol, el abuso de drogas como la cocaína y las metanfetaminas, así como condiciones infecciosas como la encefalitis por herpes simple. Además, se han identificado otras patologías como la vasculitis, la enfermedad de Moyamoya, el síndrome de vasoconstricción cerebral reversible y la presencia de tumores cerebrales, ya sean primarios o secundarios, como factores contribuyentes.
La hemorragia también puede estar asociada con la edad avanzada y el sexo masculino, lo que sugiere un perfil epidemiológico en el que estos factores incrementan la vulnerabilidad a las hemorragias. En el caso de las hemorragias provocadas por aneurismas intracraneales, el sangrado se presenta principalmente en el espacio subaracnoideo, aunque también puede haber componente intraparenquimatoso.
Finalmente, es importante señalar que la hemorragia intracerebral puede ocurrir en el contexto de infartos cerebrales, tanto arteriales como venosos, añadiendo una capa adicional de complejidad al diagnóstico y manejo clínico de estas condiciones. En resumen, la hemorragia intracerebral no traumática es un fenómeno multifacético, donde la hipertensión y otros trastornos vasculares juegan un papel central en su etiología.
Manifestaciones clínicas
La hemorragia en el hemisferio cerebral se caracteriza por una serie de manifestaciones clínicas que pueden variar en su presentación y severidad. En aproximadamente la mitad de los pacientes, la conciencia se pierde o se ve comprometida en las fases iniciales del evento hemorrágico. Este deterioro del estado de alerta puede estar asociado con una serie de síntomas que incluyen vómitos, que son frecuentes al inicio del sangrado, así como cefaleas que pueden aparecer de manera aguda.
A medida que la hemorragia progresa, se desarrollan síntomas y signos focales que dependen de la localización específica de la hemorragia. En el caso de las hemorragias hipertensivas, es común observar un déficit neurológico que evoluciona rápidamente, manifestándose típicamente como hemiplejía o hemiparesia. Además, se presenta una alteración hemisensitiva, particularmente en lesiones que se encuentran en ubicaciones más profundas del cerebro.
Cuando las lesiones afectan al putamen, puede ser notoria la pérdida de la mirada lateral conjugada. Por otro lado, la hemorragia thalamica puede dar lugar a una serie de alteraciones oculares, incluyendo la pérdida de la mirada hacia arriba, desviaciones hacia abajo o sesgadas de los ojos, paresias en la mirada lateral, y desigualdades pupilares. Estos signos reflejan la complejidad de las conexiones neuronales en esta región y su impacto sobre los reflejos oculomotores.
La hemorragia cerebelosa se presenta de manera abrupta, con síntomas que incluyen náuseas y vómitos, desequilibrio, y ataxia que puede afectar la marcha, las extremidades o el tronco. En algunos casos, puede haber cefalea intensa y pérdida de conciencia, que puede resultar fatal en un corto período de tiempo, a menudo dentro de las 48 horas posteriores al inicio de los síntomas.
La hemorragia pontina, por su parte, puede provocar una combinación de signos que incluyen paresias en la mirada conjugada hacia el lado de la lesión, pupilas reactivas pero pequeñas, hemiplejía contralateral, debilidad facial periférica y respiración periódica. En casos de hemorragia pontina extensa, estos signos pueden ser bilaterales, y el paciente puede evolucionar hacia un estado de «locked-in», caracterizado por cuadriplejía con conciencia preservada. Esta condición es particularmente devastadora, ya que el individuo es consciente de su entorno pero incapaz de moverse o comunicarse.
Exámenes complementarios
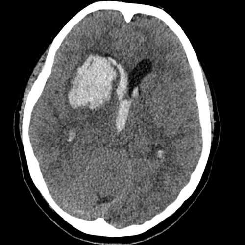
La utilización de la tomografía computarizada sin contraste o la resonancia magnética con secuencias de susceptibilidad magnética, como la imagen por eco de gradiente, es fundamental en el contexto de la hemorragia intracerebral. Estos métodos de imagen no solo permiten confirmar la presencia de hemorragia, sino que también son cruciales para determinar el tamaño y la ubicación del hematoma, lo cual tiene implicaciones directas en el manejo clínico y pronóstico del paciente.
La tomografía computarizada es particularmente valiosa en las primeras horas tras el evento hemorrágico, ya que proporciona imágenes rápidas y efectivas que pueden identificar hematomas agudos. La resonancia magnética, por su parte, ofrece un contraste más detallado de los tejidos y puede detectar cambios sutiles en la morfología cerebral y en la dinámica de la hemorragia.
En ciertos casos, la imagen vascular adicional suele ser innecesaria, sin embargo, se recomienda la angiografía por tomografía computarizada o por resonancia magnética para buscar una fuente subyacente de hemorragia en pacientes que presentan características específicas. Por ejemplo, en individuos menores de setenta años con hemorragia lobar, o aquellos menores de cuarenta y cinco años con hemorragia en regiones profundas o fosa posterior, así como en pacientes de entre cuarenta y cinco y setenta años con hemorragia en estas mismas áreas y sin antecedentes de hipertensión. Esta recomendación se basa en el riesgo relativamente mayor de anomalías vasculares subyacentes, como malformaciones arteriovenosas o aneurismas, en estas poblaciones.
La angiografía digital por sustracción convencional debe considerarse en situaciones donde la angiografía por tomografía computarizada o por resonancia magnética resulta normal, o cuando se identifica una lesión vascular en estos estudios. Asimismo, en casos de hemorragia intraventricular aislada, este enfoque puede ser esencial para descartar causas subyacentes.
En casos donde la localización de la hemorragia, como en las regiones parasagitales o temporoparietales, sugiere trombosis venosa cerebral, se debe considerar la venografía por tomografía computarizada o por resonancia magnética. Estos métodos permiten visualizar la circulación venosa y detectar posibles obstrucciones que podrían ser responsables de la hemorragia.
Para pacientes con imágenes vasculares normales y sin antecedentes de hipertensión, una resonancia magnética con contraste puede revelar causas no hipertensivas de la hemorragia, como un neoplasma subyacente o angiopatía amiloide cerebral. Esta evaluación es crucial, ya que identifica patologías que requieren un enfoque terapéutico diferente.
La evaluación clínica de un paciente que presenta hemorragia intracerebral incluye una serie de análisis de laboratorio que pueden revelar causas predisponentes de la hemorragia. Entre estos análisis se incluyen un hemograma completo, el recuento de plaquetas, los tiempos de protrombina y de tromboplastina parcial, así como pruebas bioquímicas hepáticas y de función renal. Cada uno de estos estudios desempeña un papel importante en la identificación de condiciones subyacentes que podrían haber contribuido al evento hemorrágico.
El hemograma completo permite evaluar la cantidad de glóbulos rojos, glóbulos blancos y plaquetas. Un recuento de plaquetas bajo puede indicar una tendencia a la hemorragia, ya sea por trastornos hematológicos o por efectos de fármacos. Los tiempos de protrombina y de tromboplastina parcial son pruebas esenciales para evaluar la coagulación sanguínea; alteraciones en estos tiempos pueden sugerir deficiencias en factores de coagulación, lo que podría predisponer al paciente a eventos hemorrágicos. Las pruebas bioquímicas hepáticas son importantes porque el hígado juega un papel crucial en la síntesis de muchos de estos factores de coagulación; un deterioro en la función hepática puede comprometer esta capacidad. Asimismo, las pruebas de función renal son relevantes, dado que enfermedades renales pueden influir en el equilibrio de líquidos y electrolitos, afectando potencialmente la presión arterial y la hemostasia.
Es fundamental tener en cuenta que la punción lumbar está contraindicada en pacientes con un hematoma intracerebral grande. Realizar esta maniobra puede provocar un síndrome de herniación cerebral, que ocurre cuando el tejido cerebral es desplazado debido a un aumento de la presión intracraneal. Este desplazamiento puede resultar en daños neurológicos graves o incluso en la muerte.
Tratamiento
Los pacientes que presentan hemorragia intracerebral deben ser admitidos en una unidad de cuidados intensivos para observación y atención de soporte. Esta atención es fundamental para monitorear de cerca la evolución clínica del paciente, manejar complicaciones potenciales y proporcionar intervenciones terapéuticas adecuadas.
Un aspecto clave en el manejo inicial de estos pacientes es la reducción de la presión arterial sistólica a un objetivo de 140 milímetros de mercurio. Para lograr esto, se pueden utilizar agentes antihipertensivos intravenosos como el labetalol o la nicardipina. Sin embargo, ensayos aleatorios han demostrado que los objetivos de presión arterial sistólica inferiores a 140 milímetros de mercurio o incluso inferiores a 180 milímetros de mercurio no han mostrado diferencias significativas en los resultados clínicos. Además, se ha observado que bajar la presión sistólica por debajo de 130 milímetros de mercurio puede ser perjudicial.
El tratamiento a largo plazo de la hipertensión es imperativo para prevenir recurrencias de hemorragia. En situaciones de trombocitopenia, la transfusión de plaquetas debe ser considerada, aunque el umbral específico para iniciar este tratamiento y el recuento de plaquetas objetivo post-transfusión pueden variar según las características del paciente y la experiencia del médico. Es importante señalar que la transfusión de plaquetas no debe utilizarse para tratar hemorragias intracerebrales asociadas con el uso de antiplatelet, a menos que sea necesaria una cirugía de emergencia.
La anticoagulación debe suspenderse de inmediato, y las coagulopatías deben ser revertidas utilizando plasma fresco congelado, concentrados de complejo de protrombina, vitamina K o agentes de reversión específicos. Por ejemplo, se puede utilizar protamina para revertir los efectos de la heparina, idarucizumab para el dabigatran, y andexanet alfa o concentrados de complejo de protrombina de cuatro factores para los anticoagulantes orales directos como apixaban, edoxaban y rivaroxaban. Si se ha ingerido un anticoagulante oral directo en las últimas dos horas, se puede administrar carbón activado para disminuir su efecto.
La terapia hemostática con factor VII activado recombinante no ha demostrado mejorar la supervivencia o el resultado funcional en pacientes sin coagulopatías subyacentes. Además, la presión intracraneal debe ser monitoreada y, en algunos casos, puede ser necesario utilizar terapia osmótica. En pacientes con hemorragia intraventricular y hidrocefalia aguda, puede ser necesaria la drenaje ventricular, con o sin trombólisis intraventricular.
La descompresión o la evacuación mínimamente invasiva del hematoma pueden ser beneficiosas en casos donde un hematoma superficial en la sustancia blanca cerebral está ejerciendo un efecto de masa y causando una herniación incipiente. En los pacientes con hemorragia cerebelosa que presentan deterioro neurológico o compresión del tronco encefálico, así como hidrocefalia, la evacuación quirúrgica del hematoma se considera apropiada. Esto se debe a que un deterioro espontáneo e impredecible podría llevar a un desenlace fatal, mientras que el tratamiento quirúrgico podría resultar en la resolución completa del déficit clínico.
El tratamiento de lesiones estructurales subyacentes o trastornos hemorrágicos dependerá de la naturaleza específica de estos problemas. En el caso de la angiopatía amiloide cerebral, no existe un tratamiento específico establecido.

Fuente y lecturas recomendadas:
- Goldman, L., & Schafer, A. I. (Eds.). (2020). Goldman-Cecil Medicine (26th ed.). Elsevier.
- Loscalzo, J., Fauci, A. S., Kasper, D. L., Hauser, S. L., Longo, D. L., & Jameson, J. L. (Eds.). (2022). Harrison. Principios de medicina interna (21.ª ed.). McGraw-Hill Education.
- Papadakis, M. A., McPhee, S. J., Rabow, M. W., & McQuaid, K. R. (Eds.). (2024). Diagnóstico clínico y tratamiento 2025. McGraw Hill.
- Rozman, C., & Cardellach López, F. (Eds.). (2024). Medicina interna (20.ª ed.). Elsevier España.

