Toxoplasma gondii es un protozoo parásito de carácter intracelular obligado que ha logrado una distribución mundial debido a su notable adaptabilidad biológica, a la diversidad de rutas de transmisión que utiliza, y a la amplia variedad de huéspedes que puede infectar. Este microorganismo es capaz de invadir y replicarse dentro de numerosas especies de mamíferos y aves, incluido el ser humano, lo que le confiere una capacidad excepcional para mantenerse y diseminarse en distintos ecosistemas.
El ciclo biológico de Toxoplasma gondii se completa en los felinos, particularmente en los gatos domésticos y salvajes, que actúan como huéspedes definitivos. En el intestino de estos animales, el parásito lleva a cabo su reproducción sexual, generando oocistos que son excretados al ambiente a través de las heces. Estos oocistos, altamente resistentes y capaces de permanecer viables durante largos períodos en condiciones ambientales adversas, contaminan el suelo, el agua y los alimentos, sirviendo como una de las principales fuentes de infección para otros animales y seres humanos.
Los humanos adquieren la infección principalmente por tres vías: la ingestión de quistes tisulares presentes en carne cruda o poco cocida procedente de animales infectados, la ingestión de oocistos contenidos en agua o alimentos contaminados por materia fecal de gatos, y, en menor medida, por transmisión vertical transplacentaria cuando una mujer se infecta durante el embarazo. También es posible la transmisión por medio de transfusiones sanguíneas o trasplantes de órganos, aunque esta vía es poco frecuente. Una vez en el organismo humano, el parásito puede diseminarse a diversos tejidos, incluidos los ojos y el sistema nervioso central.
La prevalencia de anticuerpos contra Toxoplasma gondii, es decir, la seroprevalencia, varía de forma significativa según la región geográfica, los hábitos alimentarios, las condiciones sanitarias y la interacción con gatos.
A pesar de que muchas infecciones por Toxoplasma gondii cursan de forma asintomática o leve en individuos inmunocompetentes, las consecuencias clínicas pueden ser graves en casos de infección congénita o en personas inmunodeprimidas.
La ubicuidad de Toxoplasma gondii, su capacidad para infectar múltiples especies animales, su persistencia en el medio ambiente y la diversidad de sus mecanismos de transmisión explican por qué este parásito se encuentra en todos los continentes y constituye una preocupación significativa tanto en salud humana como en salud veterinaria.
Manifestaciones clínicas
Las manifestaciones clínicas de la toxoplasmosis se pueden agrupar en cuatro síndromes.
Infección primaria
La infección primaria por Toxoplasma gondii en personas con un sistema inmunológico funcional representa una forma clínica que, aunque generalmente benigna, posee una fisiopatología compleja y un espectro sintomático variable. El proceso infeccioso se inicia con la entrada del parásito a través del tracto gastrointestinal, ya sea por consumo de carne contaminada con quistes tisulares o por ingestión de agua o alimentos con oocistos eliminados por felinos. Una vez en el intestino, Toxoplasma gondii atraviesa la mucosa intestinal y accede al sistema linfático, donde comienza su multiplicación inicial. Posteriormente, mediante diseminación hematógena, alcanza distintos órganos y tejidos.
En la mayoría de las personas inmunocompetentes, esta infección inicial no produce síntomas clínicamente detectables. Esta ausencia de manifestaciones en la fase aguda se debe, en gran parte, a una respuesta inmune eficaz que limita la proliferación parasitaria sin desencadenar una inflamación significativa. No obstante, entre un 10 y un 20 por ciento de los individuos infectados sí desarrollan síntomas después de un período de incubación que suele durar entre una y dos semanas.
Cuando la infección se presenta de forma sintomática, suele hacerlo como un cuadro febril leve, con características clínicas que imitan otras enfermedades virales comunes, particularmente la mononucleosis infecciosa. Uno de los hallazgos más frecuentes es la linfadenopatía, especialmente en la región cervical, aunque también puede ser generalizada. Estas adenopatías son habitualmente indoloras y pueden persistir durante semanas o incluso meses sin otras alteraciones significativas. A nivel sistémico, los pacientes pueden experimentar fiebre, malestar general, cefalea, odinofagia, exantema, dolores musculares y, en algunos casos, hepatoesplenomegalia. El hemograma puede revelar linfocitos atípicos, lo que refuerza la similitud clínica con infecciones por virus linfotrópicos.
Aunque infrecuentes, también se han documentado formas más graves de la enfermedad en personas inmunocompetentes. Estas incluyen neumonitis, meningoencefalitis, hepatitis, miocarditis, polimiositis y retino coroiditis. Dichas complicaciones pueden surgir cuando la carga parasitaria es elevada o cuando existen condiciones individuales que favorecen una respuesta inflamatoria más intensa.
En general, el curso clínico de la toxoplasmosis aguda en individuos inmunocompetentes tiende a ser autolimitado. Los síntomas pueden fluctuar en intensidad a lo largo del tiempo, pero la mayoría de los pacientes se recupera completamente en el transcurso de unas pocas semanas a varios meses, sin requerir tratamiento específico. Esta evolución benigna contrasta con las formas graves observadas en pacientes inmunosuprimidos o en casos de infección congénita, donde el pronóstico puede ser considerablemente más complejo.
Infección congénita
La toxoplasmosis congénita representa una forma particular de transmisión vertical del parásito Toxoplasma gondii, que ocurre cuando una mujer embarazada, previamente no inmunizada, adquiere la infección durante la gestación. En estos casos, el parásito puede atravesar la barrera placentaria y afectar al feto en desarrollo, dando lugar a una amplia gama de manifestaciones clínicas que dependen, en gran medida, del momento en que se produce la infección dentro del curso del embarazo.
La transmisión maternofetal se produce en aproximadamente entre el 30% y el 50% de los casos de infección materna durante el embarazo, aunque este riesgo no es uniforme a lo largo de la gestación. En el primer trimestre, la probabilidad de que el parásito alcance al feto es menor —entre el 10% y el 25%—, pero las consecuencias clínicas suelen ser mucho más graves. En este periodo temprano del desarrollo fetal, el sistema nervioso central y otros órganos se encuentran en fases críticas de formación, por lo que la infección puede ocasionar daños estructurales severos, que incluyen aborto espontáneo, muerte intrauterina o malformaciones congénitas de alto impacto. Las lesiones cerebrales, la hidrocefalia, la calcificación intracraneal y la coriorretinitis severa son algunas de las complicaciones más temidas.
En el segundo trimestre, el riesgo de transmisión fetal aumenta progresivamente hasta situarse entre el 30% y el 50%. Aunque la gravedad de las manifestaciones fetales tiende a ser algo menor que en el primer trimestre, aún es posible observar afectación neurológica significativa, así como daño ocular irreversible. Uno de los hallazgos más característicos es la retinocoroiditis, una inflamación crónica que puede afectar la mácula y comprometer seriamente la visión, ya sea en el periodo neonatal o años después del nacimiento.
Durante el tercer trimestre, la probabilidad de transmisión al feto supera el 60%, e incluso puede acercarse al 90% en infecciones maternas muy tardías. Sin embargo, en esta etapa avanzada de la gestación, el desarrollo fetal ya ha alcanzado una mayor madurez, lo que hace que las manifestaciones clínicas sean menos graves o incluso ausentes al momento del nacimiento. Muchos recién nacidos con toxoplasmosis congénita en esta etapa parecen clínicamente normales, pero pueden desarrollar síntomas progresivos en meses o años posteriores. Entre las secuelas más comunes destacan las alteraciones visuales, los déficits cognitivos y los trastornos del neurodesarrollo, que pueden surgir de manera insidiosa.
En los Estados Unidos, se estima que ocurren entre 400 y 4000 casos de toxoplasmosis congénita cada año, lo que convierte a esta entidad en un problema relevante de salud pública, particularmente por su potencial de producir daño neurológico y visual permanente. Dado que muchas infecciones maternas son asintomáticas y pasan desapercibidas, el diagnóstico prenatal suele ser difícil sin pruebas serológicas específicas y vigilancia obstétrica adecuada. La prevención se basa fundamentalmente en la educación de las mujeres embarazadas sobre los factores de riesgo, como el consumo de carne cruda o mal cocida, la manipulación de heces de gato sin protección y la ingesta de agua contaminada.
Retinocoroiditis
La retinocoroiditis constituye la manifestación ocular más frecuente y representativa de la toxoplasmosis congénita tardía, aunque también puede presentarse en personas que adquirieron la infección de manera postnatal, especialmente durante la infancia temprana. Esta afección es el resultado de la localización del parásito Toxoplasma gondii en los tejidos oculares, particularmente en la retina y la coroides, donde desencadena un proceso inflamatorio que puede ser crónico, recurrente y potencialmente incapacitante.
En el contexto de la toxoplasmosis congénita, la retinocoroiditis suele manifestarse no en el período neonatal inmediato, sino varios años después del nacimiento, con frecuencia durante la adolescencia o incluso en la adultez temprana. Este retraso en la aparición clínica se debe a que muchos focos de infección ocular permanecen inicialmente inactivos o subclínicos y se reactivan posteriormente, ya sea de forma espontánea o en asociación con factores que modulan la inmunidad local.
Los pacientes típicamente se presentan con una afectación unilateral, aunque la bilateralidad no es infrecuente, especialmente en casos más severos o de reactivaciones múltiples. Los signos oculares característicos incluyen dolor ocular, fotofobia intensa y alteraciones visuales, como visión borrosa, escotomas o pérdida progresiva del campo visual. Estos síntomas reflejan el compromiso de la retina y de la coroides por la inflamación activa. En muchos casos, también puede observarse uveítis, una inflamación del tracto uveal que puede involucrar el iris, el cuerpo ciliar y la coroides, y que agrava la sintomatología ocular.
A diferencia de otras formas clínicas de la toxoplasmosis, la retinocoroiditis suele cursar sin manifestaciones sistémicas, lo que puede dificultar su reconocimiento en pacientes que no tienen un diagnóstico previo de infección congénita. Clínicamente, los hallazgos oftalmológicos incluyen lesiones blanquecinas activas en la retina, con bordes mal definidos, habitualmente rodeadas de cicatrices pigmentadas antiguas si se trata de reactivaciones. La inflamación del vítreo también es un hallazgo frecuente, generando una apariencia turbia conocida como «headlight in the fog».
Aunque el proceso inflamatorio tiende a resolverse con o sin tratamiento específico, y muchos pacientes experimentan una mejoría progresiva de los síntomas, los daños estructurales residuales en la retina pueden dejar secuelas visuales permanentes. Entre ellas se incluyen defectos del campo visual, pérdida de agudeza visual y visión central comprometida, dependiendo de la localización de las lesiones. En raras ocasiones, la evolución de la enfermedad puede conducir a complicaciones graves como el glaucoma secundario —producto del aumento sostenido de la presión intraocular— o incluso la ceguera irreversible, especialmente si la mácula o el nervio óptico se ven involucrados.
En pacientes que contrajeron la infección en etapas postnatales, como en la infancia temprana, también puede desarrollarse retinocoroiditis, aunque con algunas diferencias clínicas. En estos casos, la enfermedad tiende a ser unilateral con menor frecuencia de recurrencias, pero las lesiones oculares pueden ser igualmente destructivas si no se identifican y tratan oportunamente.
Enfermedad en individuos inmunocomprometidos
En individuos con inmunodeficiencia, la toxoplasmosis adquiere características clínicas marcadamente diferentes y, en muchos casos, más graves que en personas inmunocompetentes. Esta forma de la enfermedad es el resultado de la reactivación de una infección latente adquirida con anterioridad, situación que ocurre cuando la capacidad del sistema inmunológico para contener al parásito disminuye significativamente. Las poblaciones más vulnerables incluyen a pacientes con infección por el virus de la inmunodeficiencia humana en estadios avanzados, personas con cáncer, receptores de trasplantes de órganos sólidos o médula ósea, y aquellos que reciben terapias inmunosupresoras por enfermedades autoinmunes o tratamientos oncológicos.
En el contexto del síndrome de inmunodeficiencia adquirida, la toxoplasmosis reactivada representa una de las infecciones oportunistas más frecuentes del sistema nervioso central. Su presentación clínica habitual es una encefalitis subaguda, caracterizada por fiebre, cefalea persistente, deterioro del estado mental, trastornos cognitivos y signos neurológicos focales, como hemiparesias, convulsiones, afasia o ataxia, que reflejan la localización de las lesiones cerebrales. Desde el punto de vista anatomopatológico, estas lesiones corresponden a áreas de necrosis multifocal causadas por la proliferación incontrolada del parásito, y suelen observarse como lesiones hipodensas o en anillo en estudios de neuroimagen como la tomografía computarizada o la resonancia magnética.
Aunque la encefalitis es la manifestación predominante en personas con infección por el virus de la inmunodeficiencia humana, existen otras formas menos comunes de presentación. La coriorretinitis, por ejemplo, puede manifestarse con dolor ocular, fotofobia y disminución progresiva de la agudeza visual. Esta forma ocular puede pasar desapercibida si no se realiza un examen oftalmológico detallado, pero representa una causa significativa de pérdida visual en estos pacientes. Por otro lado, la neumonitis toxoplásmica, aunque infrecuente, puede presentarse con síntomas respiratorios inespecíficos como fiebre, tos no productiva y disnea progresiva, y suele confundirse con otras infecciones pulmonares oportunistas si no se investiga de forma dirigida.
En pacientes que han recibido trasplantes de órganos sólidos o de médula ósea, la toxoplasmosis puede surgir como consecuencia de la reactivación de una infección previa en el receptor o, en casos más raros, por transmisión directa del parásito a través del órgano trasplantado. En estas circunstancias, la presentación clínica puede ser similar a la observada en pacientes con infección por el virus de la inmunodeficiencia humana, aunque con una mayor frecuencia de formas pulmonares y cardíacas, incluyendo miocarditis. La supresión farmacológica del sistema inmune en estos pacientes impide una respuesta eficaz contra el parásito, lo que permite su diseminación sistémica y su establecimiento en tejidos vitales.
De manera análoga, pacientes con neoplasias hematológicas o aquellos sometidos a tratamientos inmunosupresores intensivos, como corticoides, agentes citotóxicos o inhibidores de calcineurina, también presentan un riesgo elevado de reactivación. En estos casos, la toxoplasmosis puede manifestarse con un espectro clínico semejante al de los pacientes con infección por el virus de la inmunodeficiencia humana, aunque con una tendencia más marcada a desarrollar neumonitis y miocarditis, dos entidades que, si no se identifican y tratan con rapidez, pueden comprometer severamente la función respiratoria o cardíaca.
Exámenes diagnósticos
El diagnóstico de la toxoplasmosis requiere un enfoque integral que combine métodos directos e indirectos, dada la diversidad de sus presentaciones clínicas y la dificultad inherente a la identificación del parásito en muestras biológicas. Desde el punto de vista microbiológico, existen dos grandes estrategias para confirmar la infección por Toxoplasma gondii: la detección directa del parásito en tejidos o fluidos corporales y la evaluación serológica de la respuesta inmune del huésped.
Identificación directa del parásito
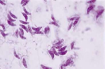
La visualización directa de Toxoplasma gondii puede lograrse mediante el examen microscópico de tejidos infectados o fluidos biológicos, aunque esta técnica presenta limitaciones debido a la escasa densidad del parásito en muchas muestras clínicas. En muestras tisulares, como biopsias, es posible detectar las formas proliferativas (taquizoítos) durante la fase aguda de la infección. Estos organismos se caracterizan por su morfología arqueada y su rápida replicación intracelular. La presencia de taquizoítos es un indicador claro de infección activa y en evolución. Por otro lado, los quistes tisulares, que contienen bradizoítos, pueden observarse tanto en infecciones agudas como crónicas, por lo que su hallazgo no permite determinar con certeza el estadio de la enfermedad.
La dificultad para detectar los parásitos por métodos convencionales ha llevado al desarrollo y uso de técnicas de tinción especializadas, como la tinción de Giemsa o la inmunohistoquímica, que aumentan la sensibilidad diagnóstica. Sin embargo, incluso con estas técnicas, la detección en tejidos como los ganglios linfáticos —comúnmente afectados en la toxoplasmosis— es rara, ya que la inflamación puede estar presente en ausencia de organismos visibles.
Otra estrategia para el diagnóstico directo es la inoculación de muestras clínicas en cultivos celulares o en modelos murinos, permitiendo así la amplificación del parásito para su posterior identificación. Este enfoque, aunque útil en entornos de investigación, es lento y poco práctico para la toma de decisiones clínicas urgentes.
Más recientemente, las técnicas moleculares, en particular la reacción en cadena de la polimerasa (PCR), han revolucionado el diagnóstico directo de toxoplasmosis. La PCR permite detectar con alta sensibilidad y especificidad el ADN del parásito en fluidos como el líquido amniótico, la sangre periférica, el líquido cefalorraquídeo, el humor acuoso y el lavado broncoalveolar. Esta herramienta es especialmente valiosa en contextos como la toxoplasmosis congénita, donde la confirmación de infección fetal puede realizarse mediante PCR del líquido amniótico, o en casos de compromiso neurológico en inmunocomprometidos, mediante el análisis del líquido cefalorraquídeo.
Diagnóstico serológico
El diagnóstico indirecto, basado en la detección de anticuerpos específicos, sigue siendo la piedra angular en la evaluación de la infección por Toxoplasma gondii. Diversas técnicas serológicas se emplean con este propósito, incluyendo el ensayo de tinción de Sabin-Feldman —considerado el estándar de oro—, el ensayo por inmunoabsorción ligado a enzimas (ELISA), la inmunofluorescencia indirecta y las pruebas de aglutinación.
Tras la infección, los anticuerpos de tipo inmunoglobulina G (IgG) aparecen en la sangre del huésped entre una y dos semanas después de la exposición y, por lo general, permanecen detectables de por vida, lo cual indica una infección pasada y la presencia de inmunidad. En cambio, los anticuerpos de tipo inmunoglobulina M (IgM) se producen en fases más tempranas, alcanzan su pico antes que los IgG, y en teoría declinan en cuestión de meses. Sin embargo, en ciertos individuos los anticuerpos IgM pueden persistir durante períodos prolongados, incluso años, lo que puede dificultar la interpretación del momento preciso de la infección.
En pacientes inmunocomprometidos, como aquellos con infección por el virus de la inmunodeficiencia humana o en tratamiento inmunosupresor, la interpretación serológica requiere especial precaución. En estos casos, un resultado positivo para IgG sugiere una infección previa y, por tanto, una posible reactivación en presencia de síntomas compatibles. Por el contrario, un resultado negativo para IgG en un paciente con sospecha clínica hace improbable una toxoplasmosis por reactivación. Es importante destacar que, durante la reactivación en individuos inmunodeprimidos, los niveles de IgM suelen ser negativos, debido a la falta de una respuesta inmunológica primaria vigorosa.
Diagnóstico en embarazadas y recién nacidos
El diagnóstico de toxoplasmosis durante el embarazo y en el periodo neonatal plantea desafíos significativos, tanto por la complejidad del sistema inmunológico materno-fetal como por las limitaciones inherentes a las pruebas serológicas y moleculares disponibles. Dado el riesgo potencial de transmisión vertical del parásito Toxoplasma gondii y sus graves consecuencias fetales, la interpretación cuidadosa y contextualizada de los resultados diagnósticos es fundamental para una toma de decisiones clínica adecuada.
En mujeres embarazadas, el hallazgo de una seroconversión —es decir, el cambio de un perfil serológico negativo a uno positivo para anticuerpos específicos contra Toxoplasma gondii— o el aumento significativo de títulos de inmunoglobulinas, sugiere una infección aguda adquirida durante la gestación. Sin embargo, como las pruebas serológicas no se realizan de forma sistemática en todos los embarazos, estos hallazgos suelen detectarse solo en contextos específicos, como en regiones con programas de cribado prenatal o en mujeres con antecedentes de exposición de riesgo.
Cuando se realiza tamizaje serológico durante el embarazo, la ausencia tanto de inmunoglobulina G (IgG) como de inmunoglobulina M (IgM) indica que la paciente no ha estado previamente expuesta al parásito y, por lo tanto, carece de inmunidad. Esto no solo descarta una infección activa en ese momento, sino que también señala una mayor vulnerabilidad a adquirir la infección durante el embarazo. En estos casos, la educación preventiva y la vigilancia serológica periódica pueden ser recomendadas.
Un resultado positivo para IgG acompañado de IgM negativa sugiere una infección antigua o crónica, en la cual la paciente ya ha desarrollado inmunidad. Esta situación descarta prácticamente el riesgo de transmisión congénita, a menos que la paciente experimente una reactivación severa de la infección en el contexto de una inmunodepresión significativa, lo cual es muy poco frecuente.
Por otro lado, un resultado positivo para IgM durante el embarazo es motivo de preocupación, ya que puede reflejar una infección reciente, con el consiguiente riesgo de transmisión al feto. Sin embargo, dado que los anticuerpos IgM pueden persistir durante meses e incluso años después de la infección aguda, este hallazgo no debe considerarse diagnóstico por sí solo. En estos casos, es indispensable realizar pruebas confirmatorias para evitar decisiones clínicas precipitadas, como tratamientos innecesarios o la interrupción del embarazo. Entre las pruebas complementarias útiles se encuentra la medición de la avidez de los anticuerpos IgG: una baja avidez sugiere una infección reciente, mientras que una alta avidez es más compatible con una infección antigua, incluso en presencia de IgM.
Cuando se sospecha una infección aguda durante la gestación, la evaluación del feto mediante técnicas moleculares es esencial para determinar si ha ocurrido transmisión vertical. La reacción en cadena de la polimerasa (PCR) realizada en líquido amniótico permite detectar directamente el ADN del parásito y es uno de los métodos más sensibles y específicos para confirmar la infección fetal in utero. Esta prueba se suele realizar entre las semanas 18 y 20 de gestación, una vez que el feto ha comenzado a excretar el parásito en el líquido amniótico si está infectado.
En recién nacidos, el diagnóstico de toxoplasmosis congénita se basa en una combinación de pruebas serológicas y moleculares. La detección de anticuerpos IgM o IgA en el neonato es altamente sugestiva de infección congénita, ya que estas inmunoglobulinas no atraviesan la placenta, y por tanto, deben haber sido producidas por el propio sistema inmunológico del lactante. No obstante, la ausencia de IgM o IgA no descarta el diagnóstico, especialmente si el sistema inmunológico del neonato es inmaduro o si la infección ocurrió en etapas muy precoces del desarrollo fetal.
La presencia de anticuerpos IgG en el neonato al nacer puede reflejar simplemente la transferencia pasiva de anticuerpos maternos a través de la placenta. Por esta razón, el seguimiento serológico es crucial: si los anticuerpos IgG desaparecen en los primeros meses de vida, es probable que se trate solo de inmunidad pasiva. En cambio, la persistencia de IgG más allá de los 12 meses de edad es diagnóstica de infección congénita, ya que indica la producción continua de anticuerpos por parte del niño.
Adicionalmente, la PCR realizada en sangre, líquido cefalorraquídeo o incluso en orina puede contribuir al diagnóstico precoz de la toxoplasmosis congénita, especialmente en aquellos recién nacidos con manifestaciones clínicas o hallazgos sugestivos en neuroimagen.
Diagnóstico en individuos inmunocompetentes
En individuos inmunocompetentes que presentan un cuadro clínico sugestivo de toxoplasmosis, la evaluación diagnóstica comienza con la determinación de anticuerpos específicos, principalmente inmunoglobulina G (IgG) e inmunoglobulina M (IgM), contra Toxoplasma gondii. La presencia de seroconversión, que se define como la aparición de anticuerpos IgG en un paciente previamente negativo, o un aumento significativo en los títulos de anticuerpos, usualmente un incremento de dieciséis veces respecto a valores previos, es indicativo de una infección reciente o aguda. Asimismo, un título elevado de IgM, por ejemplo, superior a 1:64, es altamente sugestivo de infección activa, aunque debe considerarse la posibilidad de resultados falsos positivos, que pueden confundirse con infecciones pasadas o reactivaciones.
Más allá de la serología, el diagnóstico puede confirmarse mediante métodos directos, como la visualización de taquizoítos en muestras tisulares, el cultivo del parásito en medios específicos o la amplificación del ADN parasitario por reacción en cadena de la polimerasa (PCR) en sangre u otros fluidos corporales. La evaluación histológica de ganglios linfáticos afectados puede revelar alteraciones morfológicas características, que incluyen inflamación y necrosis, con o sin presencia visible de parásitos.
Diagnóstico en individuos inmunocomprometidos
En contraste, en individuos inmunocomprometidos, especialmente en aquellos con infección avanzada por el virus de inmunodeficiencia humana (VIH), la presentación clínica puede ser mucho más grave, siendo la encefalitis toxoplásmica la manifestación más común. En estos pacientes, la imagenología cerebral es fundamental para el diagnóstico inicial. Las tomografías computarizadas y las resonancias magnéticas suelen revelar múltiples lesiones cerebrales que realzan con contraste en forma de anillo, localizadas predominantemente en la unión corticomedular y en los ganglios basales. De estas modalidades, la resonancia magnética es la más sensible para detectar lesiones más pequeñas o incipientes.
En pacientes con sida que presentan anticuerpos IgG positivos y que no han recibido tratamiento específico reciente contra Toxoplasma gondii o terapia antirretroviral, la presencia de lesiones cerebrales características en la imagenología tiene un valor predictivo aproximado del ochenta por ciento para encefalitis toxoplásmica. Sin embargo, es importante considerar el diagnóstico diferencial con otras patologías del sistema nervioso central, entre las que se incluye el linfoma cerebral primario, que típicamente produce una lesión única; también se deben contemplar otras etiologías infecciosas, como tuberculomas, abscesos bacterianos o fúngicos, y neoplasias metastásicas.
Dado que el diagnóstico definitivo mediante biopsia cerebral es invasivo y a menudo de difícil acceso, la confirmación clínica suele obtenerse mediante un enfoque terapéutico. La administración de tratamiento específico para toxoplasmosis suele acompañarse de una mejoría clínica y radiológica en un plazo de dos a tres semanas, lo cual se interpreta como evidencia indirecta del diagnóstico.
En cuanto a las manifestaciones oculares, la retinoquoroiditis es una presentación frecuente en pacientes inmunocomprometidos. El examen funduscópico revela inflamación del vítreo, lesiones blancas activas en la retina y cicatrices pigmentadas residuales, hallazgos característicos de la enfermedad.
Finalmente, el diagnóstico de otras formas clínicas de toxoplasmosis en individuos con inmunosupresión suele apoyarse en el estudio histológico, mediante el cual se identifican los cambios tisulares específicos y, en ocasiones, la presencia directa del parásito.
Tratamiento
Abordaje
El tratamiento de la toxoplasmosis varía considerablemente según el estado inmunológico del paciente y la gravedad de la infección, dado que la enfermedad puede presentarse desde formas leves y autolimitadas hasta cuadros graves y potencialmente mortales.
En individuos inmunocompetentes, la infección primaria por Toxoplasma gondii suele ser autolimitada y, por lo general, no requiere intervención farmacológica. La mayoría de los pacientes experimentan una resolución espontánea de los síntomas sin secuelas importantes. No obstante, en casos en los que la enfermedad se presenta con síntomas severos, persistencia prolongada o compromiso visceral significativo, se puede considerar la administración de tratamiento durante un periodo de dos a cuatro semanas para acelerar la recuperación y prevenir complicaciones. Un caso especial dentro de esta población es el de las mujeres embarazadas que adquieren la infección, ya que el tratamiento no solo busca proteger a la madre, sino también reducir la probabilidad de transmisión fetal y la severidad del daño congénito. En estos casos, la terapia tiene un papel preventivo y curativo fundamental.
En relación con la retinoquoroiditis, la manifestación ocular más común en la toxoplasmosis, la decisión terapéutica puede ser más controvertida. Muchos episodios se resuelven espontáneamente sin necesidad de tratamiento específico, sin embargo, la presencia de ciertos factores clínicos puede justificar la intervención. Se recomienda el tratamiento cuando la agudeza visual disminuye de manera significativa, cuando las lesiones son múltiples o extensas, cuando afectan áreas centrales como la mácula, cuando existe inflamación ocular considerable o cuando los síntomas persisten por más de un mes. En estas situaciones, el objetivo es minimizar el daño ocular irreversible y preservar la función visual.
En contraste, para las personas con inmunosupresión, el manejo es mucho más riguroso debido al riesgo elevado de enfermedad diseminada y potencialmente mortal. Todos los pacientes inmunocomprometidos con infección activa requieren tratamiento inmediato y sostenido. En aquellos con inmunodeficiencia transitoria, como podría ocurrir en casos de tratamientos inmunosupresores temporales, la terapia debe mantenerse durante cuatro a seis semanas y continuar hasta que los síntomas desaparezcan completamente, asegurando así una erradicación adecuada del parásito.
Para pacientes con inmunodeficiencia persistente, especialmente aquellos con síndrome de inmunodeficiencia adquirida avanzada, el abordaje terapéutico consta de una fase inicial intensiva de cuatro a seis semanas con dosis plenas de los fármacos antitoxoplásmicos, seguida de un tratamiento de mantenimiento con dosis reducidas para prevenir reactivaciones. Esta quimioprofilaxis a largo plazo es fundamental para reducir la incidencia de recaídas, que en este grupo de pacientes puede tener consecuencias graves.
Finalmente, en aquellos pacientes inmunodeficientes que aún no presentan síntomas pero que cuentan con pruebas serológicas positivas para Toxoplasma gondii, se recomienda iniciar una profilaxis quimioterapéutica continua. Este enfoque preventivo es vital para evitar el desarrollo de toxoplasmosis clínica, especialmente encefalitis, que es una causa importante de morbilidad y mortalidad en esta población vulnerable.
Medicamentos
Los medicamentos utilizados para el tratamiento de la toxoplasmosis actúan exclusivamente sobre la fase activa y replicativa del parásito, conocida como taquizoíto, lo que implica que no logran eliminar completamente la infección ni erradicar las formas latentes o quísticas presentes en el organismo. Por esta razón, el tratamiento puede controlar la enfermedad activa, pero no asegura la curación definitiva ni la eliminación total del parásito.
El régimen terapéutico estándar consiste en la administración combinada de pirimetamina y sulfadiazina, dos fármacos que actúan sinérgicamente para inhibir la síntesis de ácido fólico en Toxoplasma gondii, bloqueando así su reproducción. La pirimetamina se inicia con una dosis de carga oral de 200 miligramos, seguida por una dosis de mantenimiento diaria que varía entre 50 y 75 miligramos, aproximadamente un miligramo por kilogramo de peso corporal. La sulfadiazina se administra en dosis de uno a 1.5 gramos por vía oral cuatro veces al día. Dado que la pirimetamina puede provocar toxicidad hematológica, especialmente supresión de la médula ósea, se debe añadir folinato de calcio (ácido folínico) en dosis de 10 a 20 miligramos diarios para mitigar este efecto adverso y proteger la función medular.
Antes de iniciar el tratamiento con sulfadiazina, es fundamental evaluar si el paciente tiene antecedentes de sensibilidad a los sulfonamidas, ya que estas reacciones pueden manifestarse con erupciones cutáneas, síntomas gastrointestinales o hepatotoxicidad, que podrían complicar la terapia. Asimismo, para prevenir la nefrotoxicidad causada por la formación de cristales de sulfadiazina en los túbulos renales, es necesario asegurar una adecuada hidratación y mantenimiento de la diuresis durante el tratamiento.
Los efectos secundarios de la pirimetamina incluyen cefalea y molestias gastrointestinales, y a pesar de la administración concomitante de ácido folínico, la supresión de la médula ósea puede ocurrir, por lo que se recomienda el monitoreo regular de los recuentos plaquetarios y leucocitarios, al menos semanalmente, para detectar cualquier signo de toxicidad hematológica.
Como alternativa de primera línea, especialmente en pacientes que no toleran sulfadiazina, se puede emplear la combinación de pirimetamina con clindamicina, administrada en dosis de 600 miligramos por vía oral cuatro veces al día. Otro esquema alternativo incluye el uso de trimetoprima-sulfametoxazol (TMP-SMZ), que también presenta eficacia clínica significativa contra la infección activa.
En cuanto al tratamiento durante el embarazo, la pirimetamina está contraindicada en el primer trimestre debido a su potencial teratogénico, que podría afectar negativamente el desarrollo fetal. Por esta razón, la terapia estándar para la toxoplasmosis aguda en gestantes es la administración de espiramicina, un macrólido que se administra a razón de un gramo por vía oral tres veces al día hasta el momento del parto. La espiramicina ha demostrado reducir en aproximadamente un 60% la tasa de transmisión vertical del parásito al feto. Sin embargo, dado que este fármaco no atraviesa la placenta, en casos en los que se confirma la infección fetal o en infecciones agudas durante el último trimestre, cuando el riesgo de transmisión es elevado, se debe iniciar tratamiento con combinaciones de medicamentos como las mencionadas anteriormente para asegurar un efecto terapéutico directo sobre el parásito en el feto.
Prevención
La prevención de la infección primaria por Toxoplasma gondii se basa fundamentalmente en la minimización del contacto con fuentes potencialmente contaminadas, especialmente en poblaciones vulnerables como las mujeres embarazadas que no han desarrollado inmunidad y las personas con inmunosupresión. Una de las principales vías de transmisión es el consumo de carne cruda o mal cocida que contiene quistes tisulares del parásito, por lo que es esencial evitar la ingesta de productos cárnicos que no hayan sido sometidos a procesos térmicos adecuados. La cocción a temperaturas superiores a 66 grados Celsius, la irradiación o la congelación a –20 grados Celsius durante un periodo prolongado son métodos efectivos para destruir estos quistes y prevenir la infección.
Asimismo, el contacto con ambientes contaminados por heces de gatos, que son los hospedadores definitivos del parásito, representa otra vía importante de contagio. Las ooquistes excretadas en las heces pueden mantenerse infectivas durante un año o más en condiciones ambientales favorables. Sin embargo, las ooquistes frescas no presentan infectividad inmediata, ya que requieren un período de maduración de al menos 48 horas para volverse contagiosas. Por ello, la manipulación diaria y la limpieza minuciosa de las cajas de arena de los gatos, idealmente cambiándolas diariamente y desinfectándolas con agua hirviendo durante cinco minutos, contribuye a reducir la transmisión. Además, es recomendable utilizar guantes al realizar actividades de jardinería, evitar la ingestión de carne seca, y lavar cuidadosamente frutas y verduras para eliminar cualquier posible contaminación superficial.
En cuanto a la vigilancia epidemiológica, algunos países han implementado programas de tamizaje universal para detectar anticuerpos contra Toxoplasma gondii en mujeres embarazadas, aunque esta práctica no es habitual en los Estados Unidos. En un escenario ideal, la evaluación serológica debe incluir la determinación de anticuerpos IgG e IgM en mujeres gestantes al inicio del embarazo. Aquellas que resultan ser seronegativas deben recibir instrucciones estrictas sobre las medidas de prevención mencionadas anteriormente. Además, si estas mujeres continúan expuestas a ambientes con riesgo de contagio, es recomendable realizar pruebas serológicas periódicas a lo largo de la gestación para detectar una eventual infección primaria temprana.
Para personas inmunocomprometidas, como receptores de trasplantes de células hematopoyéticas o pacientes con infección avanzada por el virus de la inmunodeficiencia humana, la prevención se complementa con la quimioprofilaxis farmacológica para evitar tanto la infección primaria como la reactivación de infecciones latentes. El tratamiento profiláctico más comúnmente utilizado es la combinación de trimetoprima-sulfametoxazol, que también protege contra otras infecciones oportunistas como Pneumocystis jirovecii. La dosificación típica puede ser una tableta de doble concentración administrada diariamente o dos tabletas tres veces por semana. Alternativamente, se emplean regímenes basados en pirimetamina combinada con sulfadoxina o dapsona en distintas formulaciones.
En pacientes con inmunodeficiencia relacionada con el síndrome de inmunodeficiencia adquirida, la quimioprofilaxis puede suspenderse cuando la terapia antirretroviral logra restaurar la función inmunológica, evidenciada por la recuperación del recuento de células CD4. De esta forma, la prevención de la toxoplasmosis se basa en un enfoque integral que combina modificaciones conductuales, medidas higiénicas estrictas y el uso adecuado de tratamientos farmacológicos profilácticos en aquellos grupos con mayor riesgo de enfermedad.

Fuente y lecturas recomendadas:
- Aerts R et al. Guidelines for the management of Toxoplasma gondii infection and disease in patients with haematological malignancies and after haematopoietic stem-cell transplantation: guidelines from the 9th European Conference on Infections in Leukaemia, 2022. Lancet Infect Dis. 2023;S147300495. [PMID: 38134949]
- Bollani L et al. Congenital toxoplasmosis: the state of the art. Front Pediatr. 2022;10:894573. [PMID: 35874584]

