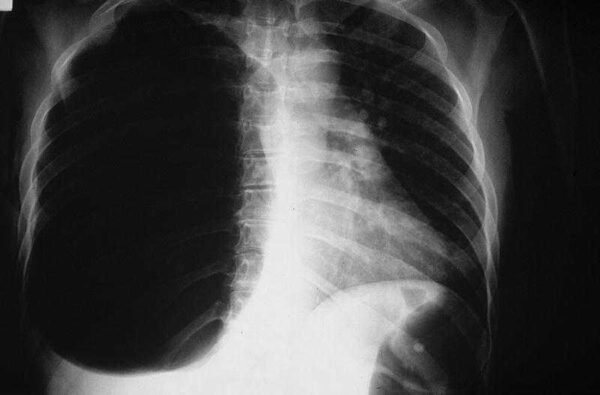
El neumotórax es una condición médica caracterizada por la presencia de aire en el espacio pleural, que es la cavidad entre las membranas que rodean los pulmones y la pared torácica. Dependiendo de su origen y relación con otras enfermedades o eventos, el neumotórax se clasifica en tres tipos principales: espontáneo (primario o secundario), traumático e iatrogénico.
Neumotórax espontáneo:
- Neumotórax espontáneo primario: En este tipo, el neumotórax se desarrolla sin una causa aparente y sin la presencia de una neumopatía subyacente. Ocurre con mayor frecuencia en individuos jóvenes y delgados, especialmente en hombres fumadores. La teoría detrás de su desarrollo implica la presencia de pequeñas bolsas de aire (llamadas blebs o bullas) en la superficie del pulmón, que se rompen y liberan aire al espacio pleural, causando el colapso parcial del pulmón afectado.
- Neumotórax espontáneo secundario: En este caso, el neumotórax es una complicación de una enfermedad pulmonar subyacente, como enfermedad pulmonar obstructiva crónica (EPOC), asma, fibrosis pulmonar, infecciones pulmonares, quistes pulmonares, entre otras. La enfermedad subyacente debilita los tejidos pulmonares, lo que aumenta el riesgo de formación de bolsas de aire o la ruptura de bullas, llevando al neumotórax.
Neumotórax traumático:
El neumotórax traumático es resultado de un traumatismo directo en el tórax, como una lesión penetrante (por ejemplo, una herida de arma blanca o de fuego) o una lesión contusa (por ejemplo, una fractura de costilla). El trauma causa una comunicación entre el aire atmosférico y el espacio pleural, lo que provoca la acumulación de aire y el colapso pulmonar. Los neumotórax traumáticos pueden ser leves o graves, dependiendo de la magnitud del daño.
Neumotórax iatrogénico:
Este tipo de neumotórax es consecuencia de procedimientos médicos invasivos, generalmente en el tórax, como toracocentesis (extracción de líquido del espacio pleural con una aguja), biopsia pleural, colocación de catéteres en las venas subclavia o yugular interna, biopsia percutánea de pulmón y broncoscopia con biopsia transbronquial. Estos procedimientos pueden dañar inadvertidamente los tejidos pulmonares o causar una comunicación entre el espacio pleural y el aire exterior, lo que lleva al neumotórax.
En casos graves de neumotórax, especialmente en los neumotórax traumáticos, puede ocurrir un neumotórax a tensión. Esto sucede cuando el aire entra al espacio pleural durante la inspiración, pero no puede salir durante la espiración debido a un mecanismo de válvula unidireccional. Como resultado, el aire atrapado ejerce presión sobre el pulmón y los órganos mediastínicos, lo que causa una compresión peligrosa y potencialmente mortal.
El tratamiento del neumotórax puede variar según la gravedad y la causa subyacente, pero generalmente implica el drenaje del aire acumulado para permitir que el pulmón se reexpande y el manejo de la condición subyacente si es necesario. En algunos casos graves, puede requerirse la colocación de un tubo torácico para drenar el aire o una cirugía para corregir la comunicación entre el espacio pleural y el aire exterior.


