El síndrome de vaciamiento gástrico rápido es una condición que ocurre cuando los alimentos pasan demasiado rápido desde el estómago al intestino delgado. Este trastorno puede ocurrir como resultado de varias intervenciones quirúrgicas, incluyendo las esofágicas, gástricas y bariátricas mencionadas.
Cuando se realiza una esofagectomía distal o una miotomía para tratar la acalasia, se están realizando cirugías que afectan directamente la función del esófago y su conexión con el estómago. Estos procedimientos pueden alterar el proceso normal de vaciamiento gástrico y llevar a que los alimentos pasen más rápido de lo habitual al intestino delgado.
Las intervenciones gástricas, como la fundoplicatura de Nissen y la reparación de la hernia de hiato, también pueden afectar el vaciamiento gástrico al alterar la anatomía y la función del estómago. Estos procedimientos a menudo se realizan para tratar enfermedades como el reflujo gastroesofágico y la hernia de hiato, pero pueden tener como consecuencia cambios en la velocidad a la que los alimentos se vacían del estómago.
Por otro lado, las intervenciones bariátricas, como la derivación gástrica con cruce duodenal y la Y de Roux, están diseñadas específicamente para alterar la anatomía del sistema digestivo con el objetivo de inducir la pérdida de peso. Estos procedimientos pueden causar un vaciamiento gástrico rápido al redirigir el flujo de alimentos directamente al intestino delgado, evitando así una parte significativa del proceso normal de digestión en el estómago.
En todos estos casos, la liberación no regulada de azúcares concentrados y alimentos al duodeno y el yeyuno puede tener varias consecuencias negativas:
- Alteración del control de la insulina: La rápida llegada de carbohidratos y azúcares al intestino delgado puede provocar picos de glucosa en sangre, lo que puede dificultar el control de la glucemia y conducir a problemas de salud a largo plazo, como la resistencia a la insulina y la diabetes.
- Mala digestión: El tiempo insuficiente para que los alimentos se descompongan adecuadamente en el estómago puede resultar en una mala digestión y absorción de nutrientes, lo que puede llevar a deficiencias nutricionales y otros problemas de salud.
- Movimientos osmóticos de líquidos a la luz intestinal: La presencia de alimentos no digeridos en el intestino delgado puede provocar movimientos osmóticos de líquidos hacia la luz intestinal, lo que puede causar diarrea y desequilibrios electrolíticos.
- Tránsito rápido: El tránsito rápido a través del intestino delgado puede resultar en un tiempo de contacto insuficiente para la absorción adecuada de nutrientes, lo que puede contribuir a la malnutrición y otros problemas de salud.
Manifestaciones
El síndrome de vaciamiento gástrico rápido es una condición en la cual los alimentos pasan demasiado rápido desde el estómago al intestino delgado. Cuando esto ocurre, puede resultar en una serie de síntomas que afectan el sistema digestivo y el bienestar general del paciente.
- Diarrea grave: El paso rápido de alimentos no digeridos al intestino delgado puede provocar un aumento en la frecuencia y la cantidad de las deposiciones, lo que resulta en diarrea. Esto se debe a que los alimentos no tienen tiempo suficiente para ser digeridos y absorbidos adecuadamente, lo que puede llevar a una acumulación de líquido en el intestino.
- Malabsorción: La velocidad a la que los alimentos pasan a través del sistema digestivo puede interferir con la capacidad del intestino delgado para absorber nutrientes correctamente. Esto puede conducir a una malabsorción de vitaminas, minerales y otros nutrientes esenciales, lo que a su vez puede provocar deficiencias nutricionales y pérdida de peso.
- Calambres abdominales: Los calambres abdominales son comunes en pacientes con síndrome de vaciamiento gástrico rápido debido a la rápida contracción y movimiento de los músculos intestinales. Esto puede causar molestias y dolor abdominal, especialmente después de las comidas.
- Gases: La fermentación de los alimentos no digeridos en el intestino delgado debido al rápido tránsito puede producir gases, lo que puede causar hinchazón, distensión abdominal y malestar.
- Pérdida de peso: La combinación de malabsorción de nutrientes y la frecuente diarrea puede llevar a una pérdida de peso significativa en pacientes con síndrome de vaciamiento gástrico rápido.
En algunos casos, también pueden presentarse síntomas adicionales como sudoración, mareos y alteraciones en la función cognitiva debido a la hipoglucemia posprandial. La rápida absorción de glucosa en el intestino delgado después de una comida puede provocar una respuesta exagerada de insulina, lo que puede llevar a una disminución rápida y excesiva de los niveles de azúcar en sangre, causando síntomas de hipoglucemia como sudoración, mareos y confusión.

Diagnóstico
- Hipoglucemia tardía (120 a 180 min): Después de la ingesta de alimentos, especialmente aquellos ricos en carbohidratos o azúcares, el cuerpo normalmente libera insulina para ayudar a la glucosa a entrar en las células y ser utilizada como fuente de energía. Sin embargo, en pacientes con síndrome de vaciamiento rápido, la rápida absorción de glucosa en el intestino delgado puede provocar una respuesta exagerada de insulina. Esto puede llevar a una disminución rápida y excesiva de los niveles de azúcar en sangre, resultando en hipoglucemia tardía, que se manifiesta típicamente entre 120 y 180 minutos después de la ingesta de alimentos.
- Elevación temprana del hematocrito (30 min): El hematocrito es una medida de la proporción de glóbulos rojos en la sangre en relación con el volumen total de la sangre. En pacientes con síndrome de vaciamiento rápido, la rápida absorción de líquidos en el intestino delgado puede causar una disminución temporal en el volumen sanguíneo, lo que resulta en una elevación temprana del hematocrito, que puede ser detectada tan pronto como 30 minutos después de la ingesta de alimentos.
- Aumento de la frecuencia del pulso: La respuesta del cuerpo a la hipoglucemia y la disminución del volumen sanguíneo puede incluir un aumento en la frecuencia del pulso, que es el número de latidos del corazón por minuto. Este aumento en la frecuencia del pulso puede ser una respuesta compensatoria del cuerpo para mantener la perfusión de los tejidos con oxígeno y nutrientes adecuados.
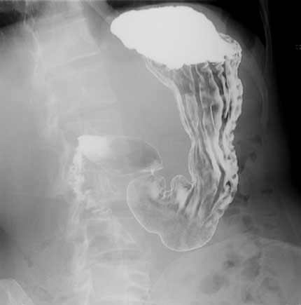
- Un estudio baritado del intestino delgado: es una prueba en la cual se administra un medio de contraste que contiene bario por vía oral y luego se toman radiografías para evaluar el tiempo que tarda el bario en pasar a través del intestino delgado. En pacientes con síndrome de vaciamiento rápido, se puede observar un tránsito acelerado del bario a través del intestino delgado, lo que confirma el diagnóstico.
Tratamiento
El tratamiento del síndrome de vaciamiento rápido se centra en controlar los síntomas y mejorar la calidad de vida del paciente. Esto suele lograrse mediante una combinación de medidas dietéticas y medicamentosas, adaptadas a las necesidades individuales de cada paciente.
- Dieta pobre en alimentos azucarados repartida en seis tomas diarias de pequeño volumen: Una dieta baja en alimentos azucarados puede ayudar a reducir la rapidez con la que los azúcares se liberan en el intestino delgado, lo que puede disminuir los síntomas de hipoglucemia y otros problemas asociados con el síndrome de vaciamiento rápido. Dividir la dieta en seis comidas pequeñas a lo largo del día ayuda a mantener un nivel constante de nutrientes en el cuerpo y evita los picos de glucosa en sangre que pueden desencadenar la hipoglucemia.
- Administración de pectina: La pectina es una fibra soluble que se encuentra en frutas y vegetales, y puede ayudar a retrasar el vaciamiento gástrico. Al retrasar la digestión y la absorción de los alimentos, la pectina puede ayudar a reducir los síntomas de vaciamiento rápido.
- Análogos de la somatostatina: Los análogos de la somatostatina, como el octreótido, son medicamentos que imitan la acción de la somatostatina, una hormona que regula la secreción de varios otros hormonas en el cuerpo, incluyendo la insulina y el glucagón. Estos medicamentos pueden ayudar a reducir la velocidad de vaciamiento gástrico y mejorar los síntomas de vaciamiento rápido.
- Inhibidores de la hidrolasa α-glucosidasa: Estos medicamentos, como la acarbosa, bloquean la absorción de carbohidratos en el intestino delgado, lo que puede ayudar a prevenir los picos de glucosa en sangre y los síntomas de hipoglucemia reactiva que pueden ocurrir después de las comidas.
- Alimentación continua con sonda: En casos graves o refractarios, cuando las medidas dietéticas y farmacológicas no son suficientes para controlar los síntomas, la alimentación continua con sonda puede ser una opción. Esto implica la administración de nutrientes líquidos directamente en el estómago o en el intestino delgado a través de una sonda, lo que garantiza un suministro constante de nutrientes al cuerpo sin provocar síntomas de vaciamiento rápido.


