Quistes hepáticos
Quistes hepáticos

Quistes hepáticos

El descubrimiento de una masa hepática desencadena la necesidad primaria de determinar si es quística o sólida. En el caso de los quistes hepáticos, mayormente benignos y a menudo asintomáticos, la ecografía se convierte en una herramienta esencial para proporcionar detalles sobre su estructura y características, facilitando así el manejo y seguimiento clínico correspondiente.

 

 

 

Quistes hepáticos

Una masa hepática, un hallazgo que puede surgir en diversas circunstancias, a menudo constituye una revelación fortuita durante un estudio de imagen abdominal realizado con otra indicación. La primera tarea al detectar esta masa es determinar si es de naturaleza quística o sólida.

En la mayoría de los casos, los quistes hepáticos son benignos, lo que implica que no son de naturaleza cancerosa. Esta presencia casual es común y se descubre durante exámenes de imagen destinados originalmente a evaluar otras condiciones. Los quistes hepáticos pueden presentar una variedad de tamaños y características, siendo, en su mayoría, áreas llenas de líquido dentro del hígado.

Los quistes hepáticos simples, por lo general, se manifiestan como formaciones solitarias, es decir, únicas y no múltiples. A menudo, estos quistes son asintomáticos, sin causar molestias perceptibles. Sin embargo, cuando alcanzan un tamaño significativo, pueden provocar molestias abdominales.

La ecografía emerge como una herramienta de diagnóstico habitual en la evaluación de quistes hepáticos. Este método revela un espacio anecoico, oscuro en la imagen, indicando la presencia de líquido. La pared del quiste generalmente no es perceptible en la ecografía, y se puede observar un fenómeno denominado realce acústico posterior, caracterizado por un aumento en la intensidad de la señal ultrasónica más allá del quiste.

 
 

 

Cistadenoma

La detección de ciertos signos preocupantes, ya sea la manifestación de síntomas o el aumento en el tamaño de una masa quística hepática, plantea la necesidad imperativa de descartar la posibilidad de un cistoadenoma, un tipo específico de tumor quístico hepático.

El cistoadenoma, al visualizarse mediante estudios de imagen, se presenta como una masa hipoecoica, destacándose por tener paredes irregulares y tabiques internos. Esta estructura quística puede llevar consigo riesgos significativos, especialmente en casos donde se identifican indicios de potencial malignización.

La malignización, que implica la transformación de un tumor benigno en uno maligno, es un aspecto crítico a considerar en el contexto de los cistoadenomas hepáticos. Dada la posibilidad de que estos tumores adquieran características cancerosas, se indica la resección hepática como enfoque terapéutico. La resección hepática, un procedimiento quirúrgico, implica la extirpación de la parte afectada del hígado.

 

 

 

Enfermedad poliquística

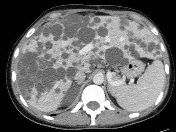
La presencia de quistes hepáticos múltiples puede ser un indicador de la enfermedad poliquística del adulto, la cual tiene un carácter autosómico dominante en su patrón hereditario. Esta condición puede manifestarse con la formación de quistes no solo en el hígado sino también en los riñones, siendo conocida como poliquistosis renal cuando ambas están presentes.

La poliquistosis hepática, ya sea asociada o no con la renal, puede tener una base genética. En el caso de la forma aislada, se ha identificado que está relacionada con mutaciones en los genes PRKCSH y Sec63. El primero codifica la subunidad β de la enzima glucosidasa 2, mientras que el segundo forma parte de un complejo proteico involucrado en el transporte de proteínas en el retículo endoplásmico.

La enfermedad poliquística hepática en adultos suele transcurrir de manera asintomática, aunque algunos pacientes pueden experimentar síntomas como un dolor sordo en el hipocondrio derecho, sensación de plenitud, percepción de una masa abdominal y aumento del perímetro abdominal.

Quistes hepáticos
Quistes hepáticos

Complicaciones como la rotura, el sangrado, la infección o la torsión de un quiste pueden ocasionar un dolor intenso. En la exploración física de pacientes con esta enfermedad, se detecta hepatomegalia, un aumento del tamaño del hígado, caquexia debido al adelgazamiento y la presencia de ascitis, acumulación anormal de líquido en el abdomen.

Con el transcurso del tiempo y el aumento en el número y tamaño de los quistes, estos pueden volverse palpables durante la exploración física. En estudios de imagen como la ecografía, los quistes hepáticos aparecen como estructuras llenas de líquido, sin ecos internos, a menos que ocurra sangrado o infección.

La presencia de quistes hepáticos puede dar lugar a complicaciones significativas, como la rotura, el sangrado interno, la infección o la torsión de un quiste, todas las cuales provocan un dolor intenso y requieren atención médica inmediata.

En la exploración física de pacientes con enfermedad poliquística hepática, se evidencian signos distintivos como hepatomegalia, que es el agrandamiento del hígado, caquexia debido al adelgazamiento y la presencia de ascitis, que se refiere a la acumulación anormal de líquido en la cavidad abdominal.

Con el transcurso del tiempo y el envejecimiento, los quistes hepáticos tienden a aumentar en número y tamaño, tornándose palpables durante la exploración física.

En la ecografía, una herramienta diagnóstica habitual para quistes hepáticos, se observan varios quistes llenos de líquido, sin ecos internos, a menos que se presenten complicaciones como sangrado o infección.

Frente a los síntomas de pacientes con quistes hepáticos, las intervenciones indicadas pueden comprender la aspiración para extraer líquido de los quistes o la resección, que implica la eliminación quirúrgica de los mismos.

En términos generales, la poliquistosis hepática, aunque por lo general no produce alteraciones clínicas en el hígado, tiene su pronóstico vinculado a la gravedad de la poliquistosis renal concomitante, la cual afecta los riñones.

En circunstancias excepcionales, la presencia de quistes hepáticos grandes, sintomáticos o propensos a sangrado puede llevar a considerar la opción de trasplante de hígado, siendo comúnmente combinado con el trasplante de riñón para abordar tanto los quistes hepáticos como la insuficiencia renal asociada.

La enfermedad de Caroli, una condición rara y congénita, se caracteriza por la dilatación quística del árbol biliar intrahepático, acompañada de colangitis y la formación de cálculos biliares. Esta enfermedad puede evolucionar hacia complicaciones más graves, como el desarrollo de colangiocarcinoma.

La colangiopancreatografía por resonancia magnética en pacientes con enfermedad de Caroli permite visualizar dilataciones intrahepáticas, con conductos normales en el intervalo, y un colédoco normal. Este estudio desempeña un papel crucial en la evaluación y manejo de esta condición específica. En conjunto, estos conceptos ofrecen una comprensión integral de diversas facetas relacionadas con los quistes hepáticos y condiciones asociadas, proporcionando una base para la atención y el abordaje clínico adecuados.

 

 

 

Homo medicus

 


 

Guías de estudio. Homo medicus.
Guías de estudio. Homo medicus.
Síguenos en X: @el_homomedicus  y @enarm_intensivo  Síguenos en instagram: homomedicus  y en Treads.net como: Homomedicus  

🟥     🟪     🟨     🟧     🟩     🟦

Aprende administración paso a paso

Administración Desde Cero

ADMINISTRACION DESDE CERO

¿De cuánta utilidad te ha parecido este contenido?

¡Haz clic en una estrella para puntuarlo!

Promedio de puntuación 0 / 5. Recuento de votos: 0

Hasta ahora, ¡no hay votos!. Sé el primero en puntuar este contenido.

Ya que has encontrado útil este contenido...

¡Sígueme en los medios sociales!

Si te fue útil este resumen, compártelo por favor!