células de Kupffer
células de Kupffer

¿Que son las células de Kupffer?

Las células de Kupffer, componentes esenciales del sistema fagocítico mononuclear, tienen su origen en los monocitos, que son leucocitos circulantes en la sangre. Este proceso de diferenciación es fundamental para su función inmunológica y su papel en la protección del hígado.

El sistema fagocítico mononuclear es una parte crucial del sistema inmunológico, encargado de la fagocitosis, un proceso mediante el cual células fagocíticas, como los monocitos y macrófagos, capturan y destruyen partículas extrañas y patógenos. Las células de Kupffer, al derivar de los monocitos, comparten esta función fagocítica.

Una vez que los monocitos migran al tejido hepático, se diferencian en células de Kupffer y se establecen de manera estacionaria en los sinusoides hepáticos. Su ubicación estratégica les permite monitorear y fagocitar partículas y microorganismos presentes en la sangre hepática, contribuyendo así a la defensa inmunológica del hígado.

La conexión de las células de Kupffer con el sistema fagocítico mononuclear destaca su papel como defensores inmunológicos especializados en el hígado. Su capacidad para eliminar partículas y patógenos contribuye a mantener la homeostasis hepática y proteger el órgano contra posibles amenazas infecciosas.

 

¿Dónde se encuentran las células de Kupffer?

La observación detallada a través de la microscopía electrónica de barrido y la microscopía electrónica de transmisión ha proporcionado una comprensión más clara de la ubicación y la interacción de las células de Kupffer en el contexto del sinusoides hepáticos.

Inicialmente, se consideraba que las células de Kupffer formaban parte del revestimiento de la superficie luminal de las células endoteliales. Esta concepción podría haber surgido debido a que las evaginaciones de las células de Kupffer a veces se superponen con las evaginaciones endoteliales en el lado luminal del vaso, lo que llevó a una interpretación errónea de su relación anatómica.

Sin embargo, la microscopía electrónica más avanzada ha revelado que las células de Kupffer no están unidas a las células endoteliales vecinas. Además, se ha observado que las evaginaciones de las células de Kupffer a menudo parecen atravesar la luz sinusoidal e incluso pueden ocluir parcialmente la luz del vaso. Esta observación sugiere una disposición independiente de las células de Kupffer con respecto a las células endoteliales.

¿Que son las células de Kupffer?
¿Que son las células de Kupffer?

 

Función

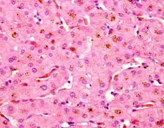
La observación de fragmentos de eritrocitos y la presencia de hierro en forma de ferritina en el citoplasma de las células de Kupffer sugieren su participación en la degradación final de eritrocitos dañados o envejecidos que llegan al hígado desde el bazo.

Cuando los eritrocitos envejecen o se dañan, pueden ser fagocitados por las células de Kupffer en el hígado, donde se lleva a cabo el proceso de degradación final. En este proceso, parte del hierro contenido en los eritrocitos, que originalmente estaba unido a la hemoglobina, se libera y se almacena en el citoplasma de estas células en forma de ferritina.

Además, parte de este hierro ferritínico puede convertirse en gránulos de hemosiderina, una forma de almacenamiento del hierro, y almacenarse en las células de Kupffer. Esta capacidad de almacenamiento y reciclaje de hierro por parte de las células de Kupffer es especialmente destacada después de la extirpación del bazo (esplenectomía), cuando se vuelve esencial para la eliminación eficiente de los eritrocitos desgastados, ya que el bazo es el principal órgano encargado de la eliminación de eritrocitos envejecidos.



 

Homo medicus

 


 

Guías de estudio. Homo medicus.
Guías de estudio. Homo medicus.
Síguenos en X: @el_homomedicus  y @enarm_intensivo  Síguenos en instagram: homomedicus  y en Treads.net como: Homomedicus  

🟥     🟪     🟨     🟧     🟩     🟦

Aprende administración paso a paso

Administración Desde Cero

ADMINISTRACION DESDE CERO

¿De cuánta utilidad te ha parecido este contenido?

¡Haz clic en una estrella para puntuarlo!

Promedio de puntuación 0 / 5. Recuento de votos: 0

Hasta ahora, ¡no hay votos!. Sé el primero en puntuar este contenido.

Ya que has encontrado útil este contenido...

¡Sígueme en los medios sociales!

Si te fue útil este resumen, compártelo por favor!