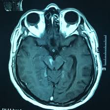
El síndrome de Weber es una condición neurológica que se caracteriza por una serie de síntomas específicos, y su aparición se debe a una lesión en una región particular del cerebro conocida como el pedículo cerebral. Este síndrome es un ejemplo interesante de cómo una lesión en una estructura cerebral específica puede tener un impacto predecible en el funcionamiento del sistema nervioso.
El pedículo cerebral, también llamado pedúnculo cerebral, es una estructura que se encuentra en la parte superior del tronco cerebral. Se compone de fibras nerviosas que conectan diferentes áreas del cerebro, incluido el tronco cerebral, con estructuras más elevadas como el tálamo y el cerebro superior.
La característica principal del síndrome de Weber es la parálisis oculomotora ipsolateral. Esto significa que la lesión en el pedículo cerebral afecta los nervios motores que controlan los movimientos oculares en el mismo lado del cerebro donde se encuentra la lesión. En otras palabras, los músculos oculares del ojo del mismo lado de la lesión se vuelven paralizados.
Además de la parálisis ocular ipsolateral, el síndrome de Weber también se asocia con hemiparesia contralateral. Esta hemiparesia se refiere a la debilidad o parálisis de los músculos de medio cuerpo, que afecta al lado opuesto del cuerpo en relación con la lesión en el pedículo cerebral. La razón detrás de esta hemiparesia contralateral radica en la organización cruzada de las vías motoras en el sistema nervioso central: las fibras motoras que controlan los movimientos de un lado del cuerpo cruzan al lado opuesto en el tronco cerebral.
El síndrome de Weber se produce debido a una lesión en el tracto corticonuclear, que es una vía de fibras nerviosas que conecta la corteza cerebral (la parte externa del cerebro) con los núcleos motores de los nervios craneales. Esta lesión interrumpe la comunicación entre la corteza cerebral y los núcleos motores que inervan los músculos oculares y los músculos del cuerpo.
El síndrome de Weber es el resultado de una lesión en el pedículo cerebral que conlleva parálisis oculomotora ipsolateral (parálisis de los músculos oculares del mismo lado de la lesión) debido a la afectación del tracto corticonuclear. Además, se observa hemiparesia contralateral (debilidad o parálisis en el lado opuesto del cuerpo) debido a la organización cruzada de las vías motoras en el tronco cerebral. Este síndrome es un ejemplo vívido de cómo las lesiones en regiones cerebrales específicas pueden tener efectos predecibles en la función neurológica y la coordinación motora.


