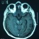
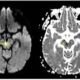
El síndrome de Benedikt es un trastorno neurológico que se produce como resultado de una lesión en una región específica del cerebro, conocida como el núcleo rojo. Esta lesión lleva a una serie de síntomas clínicos característicos que son de interés en el campo de la neurología.
El núcleo rojo es una estructura cerebral situada en el mesencéfalo, que forma parte del sistema de los ganglios basales. Está involucrado en la coordinación de los movimientos y desempeña un papel importante en la regulación de los músculos y la función motora.
Uno de los síntomas clave del síndrome de Benedikt es la parálisis ipsolateral del nervio motor ocular común. Esto significa que la lesión en el núcleo rojo afecta al nervio motor ocular común del mismo lado del cerebro donde se encuentra la lesión. El nervio motor ocular común controla varios músculos oculares que son responsables de la dirección y el movimiento de los ojos.
Además de la parálisis ipsolateral del nervio motor ocular común, el síndrome de Benedikt se caracteriza por la presencia de trastornos del movimiento contralaterales. Estos trastornos incluyen temblor, corea y atetosis.
- El temblor es un movimiento rítmico e involuntario de una parte del cuerpo que suele ser más evidente durante el reposo o en la realización de movimientos finos.
- La corea es un trastorno caracterizado por movimientos bruscos, involuntarios y aleatorios que afectan a los músculos de forma intermitente.
- La atetosis se refiere a movimientos lentos, serpenteantes y sinuosos que afectan principalmente a las extremidades.
La clave aquí es que estos trastornos del movimiento son «contralaterales», lo que significa que afectan al lado opuesto del cuerpo con respecto a la lesión en el núcleo rojo. Esto se debe a la forma en que las vías nerviosas están organizadas en el cerebro, con muchas de ellas cruzando de un lado al otro.
El síndrome de Benedikt es un trastorno neurológico que se produce debido a una lesión en el núcleo rojo del cerebro. Esto da lugar a una parálisis ipsolateral del nervio motor ocular común (afectando al mismo lado que la lesión) y trastornos del movimiento contralaterales, como temblor, corea y atetosis (afectando al lado opuesto de la lesión). Esta combinación de síntomas refleja la complejidad de las conexiones neurológicas y la importancia del núcleo rojo en la coordinación y el control de los movimientos corporales.


