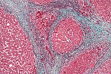
La cirrosis es una enfermedad hepática crónica caracterizada por cambios patológicos en el hígado que incluyen fibrosis y formación de nódulos regenerativos. Estos cambios afectan significativamente la estructura y función del hígado, independientemente de la causa subyacente.
La fibrosis es el resultado de una respuesta del hígado a un daño crónico y persistente. Cuando el hígado se lesiona, las células hepáticas (hepatocitos) intentan reparar el daño, pero en el proceso se produce una acumulación excesiva de tejido conectivo (colágeno y otros componentes de la matriz extracelular) alrededor de las áreas dañadas. Con el tiempo, esta acumulación de tejido fibroso se va extendiendo por todo el hígado, provocando una distorsión estructural y la formación de nódulos de regeneración.
Los nódulos de regeneración son pequeñas agrupaciones de hepatocitos que intentan compensar la pérdida de tejido hepático funcional causada por la fibrosis. Estos nódulos son una respuesta de regeneración del hígado, pero su formación no es suficiente para restaurar completamente la función hepática normal. Con el avance de la cirrosis, estos nódulos regenerativos pueden volverse más grandes y más frecuentes, ocupando más espacio en el hígado.
A medida que la fibrosis y los nódulos regenerativos se extienden, se produce una disminución de la masa de hepatocitos funcionales, lo que afecta negativamente la función del hígado. Los hepatocitos son las células encargadas de realizar múltiples funciones cruciales, como la síntesis de proteínas, el metabolismo de nutrientes, la detoxificación de sustancias y la producción de factores de coagulación. Con menos hepatocitos funcionales, el hígado pierde su capacidad para llevar a cabo todas estas funciones esenciales de manera efectiva.
Además de afectar la función hepática, la cirrosis también altera el flujo sanguíneo dentro del hígado. A medida que la fibrosis avanza, los vasos sanguíneos del hígado pueden quedar comprimidos o restringidos debido a la acumulación de tejido cicatricial, lo que afecta el flujo sanguíneo y la circulación portal. Esta alteración del flujo sanguíneo puede contribuir al desarrollo de hipertensión portal, una condición en la que aumenta la presión en las venas del sistema portal, que drenan la sangre desde los órganos abdominales hacia el hígado.
El estímulo para la fibrosis ocurre cuando se activan las células estrelladas hepáticas, que son células especializadas en la producción y mantenimiento de la matriz extracelular del hígado. Estas células, bajo ciertas condiciones, se activan y comienzan a producir mayores cantidades de colágeno y otros componentes de la matriz extracelular, lo que conduce a la formación de fibrosis. La activación de las células estrelladas hepáticas puede ser desencadenada por diversas causas, como el daño celular, la inflamación crónica y factores tóxicos.


