¿Qué es el tejido óseo?

¿Qué es el tejido óseo?

El tejido óseo es una forma especializada de tejido conectivo que se encuentra en el esqueleto de los vertebrados, incluyendo los seres humanos. Se caracteriza por tener una matriz extracelular…
¿Por qué varía el número de huesos en los humanos?

¿Por qué varía el número de huesos en los humanos?

Los huesos son estructuras rígidas y resistentes que forman el esqueleto de los vertebrados, incluyendo los seres humanos. Son tejidos vivos y dinámicos compuestos principalmente de células llamadas osteocitos, fibras…
¿Qué huesos forman el miembro inferior?

¿Qué huesos forman el miembro inferior?

El miembro inferior, al igual que el miembro superior, también está dividido en tres segmentos principales: el muslo, la pierna y el pie. Cada uno de estos segmentos contiene huesos…
¿Qué huesos forman el miembro superior?

¿Qué huesos forman el miembro superior?

El miembro superior humano es una parte fundamental del cuerpo humano y está compuesto por tres segmentos principales: el brazo, el antebrazo y la mano. Cada uno de estos segmentos…
¿Qué huesos delimitan la cavidad pélvica?

¿Qué huesos delimitan la cavidad pélvica?

Los huesos coxales, el sacro y el cóccix desempeñan un papel fundamental en la formación y delimitación de la cavidad pélvica, una estructura en forma de embudo ubicada en la…
¿Qué es la cintura pectoral?

¿Qué es la cintura pectoral?

La cintura pectoral, también conocida como cingulum pectorale, se refiere a la estructura formada por la escápula y la clavícula en el esqueleto humano. Esta región desempeña un papel crucial…
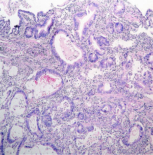
Adenocarcinoma gástrico

Adenocarcinoma gástrico

El adenocarcinoma gástrico representa una de las principales causas de mortalidad por cáncer a nivel global, ubicándose como la tercera causa más común de muerte por esta enfermedad. Esta posición…