La pancreatitis aguda es una inflamación repentina y grave del páncreas, una glándula ubicada en la parte posterior del abdomen, que cumple funciones vitales tanto en la digestión como en la regulación del azúcar en la sangre. El páncreas tiene dos funciones principales: una exocrina, que produce enzimas digestivas que se liberan en el intestino delgado para ayudar a descomponer los alimentos, y una endocrina, que produce hormonas, como la insulina, que regulan el metabolismo de la glucosa.
La pancreatitis aguda se desencadena por una variedad de factores que pueden provocar la activación prematura de las enzimas pancreáticas dentro del propio páncreas, lo que lleva a la autodigestión de sus propios tejidos. Esta autodigestión provoca inflamación, daño celular, necrosis (muerte celular) y, en casos graves, puede generar complicaciones severas que ponen en riesgo la vida del paciente.
Depleción del volumen intravascular
La pancreatitis aguda es una afección compleja que puede dar lugar a una serie de complicaciones sistémicas, entre las cuales se encuentra la depleción de volumen intravascular. Esta depleción ocurre principalmente debido a la fuga de líquidos hacia el lecho pancreático inflamado y a la presencia de íleo, un trastorno en el que se observa la distensión de los intestinos por la acumulación de líquidos. En consecuencia, la redistribución de líquidos dentro de la cavidad abdominal y la reducción del volumen intravascular pueden conducir a una insuficiencia renal prerrenal, manifestada por un aumento de los niveles de nitrógeno ureico en sangre (azotemia prerrenal) y, en casos graves, incluso insuficiencia renal aguda tubular (ATN, por sus siglas en inglés) sin la presencia evidente de shock. Este fenómeno ocurre típicamente dentro de las primeras 24 horas después del inicio de la pancreatitis aguda y puede durar entre 8 y 9 días. En casos más graves, algunos pacientes pueden requerir terapia de reemplazo renal debido a la insuficiencia renal progresiva.
La deshidratación y la alteración de la perfusión renal, que son consecuencia directa de la fuga de líquidos, pueden resultar en un compromiso hemodinámico que, aunque no siempre se asocia con hipotensión franca o shock, es suficiente para alterar la función renal. El daño renal en este contexto no es secundario a una disminución generalizada de la perfusión, como ocurre en el shock, sino a una redistribución del volumen corporal hacia el espacio extravascular, lo que afecta la circulación renal. Además, la presencia de íleo, que es común en la pancreatitis aguda debido a la inflamación y el daño al sistema nervioso entérico, agrava aún más la acumulación de líquidos en las asas intestinales, contribuyendo a la hipoperfusión renal.
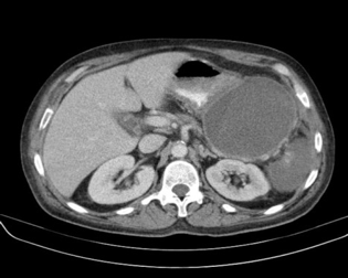
Necrosis pancreática
La clasificación revisada de Atlanta para la pancreatitis aguda distingue entre las colecciones de líquido y la necrosis pancreática según su temporalidad y características. Las colecciones de líquido y necrosis pueden ser agudas, es decir, ocurrir dentro de las primeras 4 semanas del inicio de la enfermedad, o crónicas, si persisten más allá de este período. Además, estas colecciones pueden ser estériles o infectadas. Las colecciones crónicas, como los pseudocistos y la necrosis encapsulada, se caracterizan por la formación de una cápsula que limita la expansión del proceso inflamatorio y facilita la diferenciación de las áreas afectadas. En el caso de las colecciones agudas, la necrosis pancreática puede extenderse rápidamente y convertirse en una complicación grave.
Entre el 5 y el 10% de los pacientes con pancreatitis aguda pueden experimentar complicaciones derivadas de necrosis pancreática infectada, lo cual constituye una de las principales causas de mortalidad en esta enfermedad. La necrosis pancreática puede complicarse con infecciones secundarias, que a menudo se desarrollan debido a la presencia de tejidos necrosados susceptibles a la colonización por microorganismos, especialmente aquellos de origen entérico. La presencia de necrosis infectada se asocia con síntomas sistémicos de gravedad, como fiebre, leucocitosis, y en algunos casos, shock. Además, la necrosis pancreática infectada está estrechamente vinculada con el fallo de varios órganos, tales como el sistema gastrointestinal (por ejemplo, hemorragias gastrointestinales), el sistema respiratorio (insuficiencia respiratoria) y el sistema renal (insuficiencia renal aguda). En aproximadamente el 50% de los casos, la necrosis pancreática infectada es responsable del fallo multiorgánico, lo que contribuye a la alta mortalidad de esta condición.
Una complicación potencialmente grave de la necrosis pancreática es la interrupción completa del conducto pancreático, conocida como síndrome de conducto pancreático desconectado. Este trastorno ocurre cuando la necrosis afecta de manera tan severa al conducto principal del páncreas que se produce una desconexión entre las áreas viables y las necrosadas del páncreas. Como resultado, se generan colecciones de líquido recurrentes o fístulas persistentes meses o incluso años después de que la necrosis inicial se haya resuelto. Estas complicaciones crónicas requieren un manejo especializado para evitar la progresión de la enfermedad y el daño a largo plazo.
El tratamiento de la necrosis pancreática infectada requiere una intervención agresiva, que a menudo incluye la desbridación quirúrgica del tejido necrosado para eliminar la fuente de la infección. Dado que la necrosis pancreática infectada es una de las principales causas de mortalidad en la pancreatitis aguda grave, el diagnóstico temprano y preciso de esta complicación es crucial. La aspiración con aguja fina guiada por tomografía computarizada (TC) de las áreas de necrosis pancreática es un procedimiento clave para obtener muestras de tejido que permitan la identificación de microorganismos responsables mediante la tinción de Gram y cultivos microbiológicos. Este procedimiento debe realizarse de manera repetida si es necesario, ya que la infección puede ser difícil de detectar inicialmente debido a la ubicación de las áreas afectadas y la variabilidad de los síntomas.
Síndrome de dificultad respiratoria aguda
Una complicación grave de la pancreatitis aguda es el síndrome de dificultad respiratoria aguda, una condición respiratoria crítica que se caracteriza por la insuficiencia respiratoria progresiva debido a la acumulación de líquido en los pulmones. El SDRA generalmente ocurre entre los días 3 y 7 después del inicio de la pancreatitis, y se asocia principalmente con pacientes que han requerido grandes volúmenes de líquidos y coloides para mantener la presión arterial y la producción urinaria durante el curso de la enfermedad. En estos casos, la respuesta inflamatoria generalizada y el daño endotelial causado por la pancreatitis aguda favorecen la fuga de fluidos desde los vasos sanguíneos hacia los pulmones, lo que resulta en edema pulmonar intersticial y alveolar, dificultando así el intercambio gaseoso.
La inflamación sistémica provocada por la pancreatitis y el proceso de necrosis pancreática puede dar lugar a una alteración en la función pulmonar, con infiltrados pulmonares difusos visibles en las radiografías de tórax, que reflejan la acumulación de líquido en los pulmones. El SDRA se presenta típicamente con dificultad respiratoria, hipoxemia (bajos niveles de oxígeno en la sangre) y necesidad de asistencia ventilatoria. La mayoría de los pacientes con SDRA relacionado con la pancreatitis requieren intubación endotraqueal para la administración de ventilación mecánica y oxígeno suplementario, lo que proporciona el soporte necesario para mejorar la oxigenación mientras se trata la causa subyacente. Este síndrome es una de las complicaciones más graves de la pancreatitis aguda y contribuye de manera significativa a la mortalidad, especialmente cuando se asocia con insuficiencia multiorgánica.
Absceso pancreático
A medida que la pancreatitis progresa, otra complicación importante que puede surgir es el absceso pancreático, también conocido como pseudocisto infectado o supurativo. Este absceso es un proceso supurativo que se desarrolla usualmente entre 6 y más semanas después del inicio de la pancreatitis aguda. Se caracteriza por una fiebre persistente, leucocitosis (un aumento en el número de glóbulos blancos en la sangre) y dolor localizado en el epigastrio, donde se puede palpar una masa que corresponde al absceso. La presencia de un absceso pancreático indica una infección de una colección de líquido dentro del páncreas o en sus alrededores, que no se resuelve adecuadamente y se convierte en un foco infeccioso. Los abscesos pancreáticos pueden complicarse con la presencia de un derrame pleural izquierdo o incluso con el agrandamiento del bazo, lo que sugiere trombosis de la vena esplénica.
En contraste con la necrosis pancreática infectada, que es una complicación mucho más grave y frecuentemente asociada con una alta tasa de mortalidad, el pronóstico de un absceso pancreático es generalmente mejor. Esto se debe a que el tratamiento, que involucra el drenaje de la colección purulenta, suele ser eficaz para resolver la infección. El drenaje puede ser realizado mediante intervención quirúrgica o, en muchos casos, por procedimientos mínimamente invasivos guiados por imágenes, como la aspiración con aguja fina o el drenaje percutáneo. Aunque el absceso pancreático puede presentar síntomas graves y una elevada carga de morbilidad, la tasa de mortalidad después de su drenaje es relativamente baja en comparación con otras complicaciones de la pancreatitis aguda, como la necrosis pancreática infectada o el fallo multiorgánico.
Pseudoquiste pancreático
Los pseudoquistes son colecciones encapsuladas de líquido que contienen una concentración elevada de amilasa, una enzima pancreática, y son una complicación común en la evolución de la pancreatitis aguda, especialmente cuando se utiliza la tomografía computarizada (TC) para monitorear el curso de la enfermedad. Estos pseudoquistes suelen formarse después de un episodio de pancreatitis aguda, como resultado de la ruptura de los conductos pancreáticos o la fuga de jugos pancreáticos hacia los tejidos circundantes. Aunque inicialmente no contienen un epitelio verdadero, se desarrolla una cápsula fibrosa que los encapsula, lo que los diferencia de otras colecciones de líquido. Esta cápsula puede ser visible en las imágenes de TC, lo que permite la identificación de los pseudoquistes como colecciones bien delimitadas.
La mayoría de los pseudoquistes, especialmente aquellos con un diámetro inferior a 6 centímetros, tienden a resolverse espontáneamente sin necesidad de intervención quirúrgica, ya que la cápsula tiende a reabsorberse y el líquido contenido se drena progresivamente hacia el sistema de drenaje natural del cuerpo. Sin embargo, los pseudoquistes más grandes o aquellos que se desarrollan como consecuencia de pancreatitis más grave pueden persistir y causar problemas. Estos pseudoquistes generalmente se localizan dentro o adyacentes al páncreas, pero pueden extenderse a otras áreas del abdomen por medio de los planos anatómicos que conectan diversas cavidades, como el mediastino o el espacio retrorectal. En algunos casos, pueden presentarse múltiples pseudoquistes en un mismo paciente, lo que ocurre en aproximadamente el 14% de los casos.
Aunque los pseudoquistes son inicialmente estériles, pueden infectarse secundariamente, lo que convierte su manejo en una preocupación clínica importante. En estos casos, los pseudoquistes infectados se comportan de manera similar a los abscesos pancreáticos, mostrando síntomas como fiebre, leucocitosis y dolor abdominal localizado. La infección secundaria de un pseudoquiste requiere drenaje, el cual se realiza de manera similar al tratamiento de un absceso pancreático, mediante procedimientos quirúrgicos o intervenciones mínimamente invasivas, como el drenaje percutáneo guiado por imágenes.
Ascitis pancreática
Por otro lado, la ascitis pancreática puede desarrollarse después de la resolución de un episodio de pancreatitis aguda. Esta complicación se caracteriza por un aumento gradual en la circunferencia abdominal debido a la acumulación de líquido en la cavidad peritoneal. A diferencia de la ascitis común, la ascitis pancreática se asocia con niveles persistentemente elevados de amilasa en suero, lo que indica que el líquido contenido en la cavidad abdominal sigue siendo pancreático. Además, se observan concentraciones marcadamente elevadas de proteínas y amilasa en el líquido ascítico (superiores a 3 g/dL y 1000 U/L, respectivamente), lo que refuerza la sospecha de que la ascitis proviene de la fuga de jugos pancreáticos. Esta condición ocurre típicamente debido a la ruptura del conducto pancreático o a la comunicación entre un pseudocisto y la cavidad peritoneal, lo que resulta en el drenaje del contenido pancreático hacia la cavidad abdominal.
Complicaciones raras
En cuanto a las complicaciones raras de la pancreatitis aguda, se incluyen la hemorragia causada por la erosión de un vaso sanguíneo, que puede dar lugar a la formación de un pseudoaneurisma. Este fenómeno ocurre cuando un vaso sanguíneo cercano al páncreas es erosionado por la inflamación o la necrosis pancreática, lo que lleva a la formación de un aneurisma falso que puede romperse, causando hemorragias graves. Además, la pancreatitis aguda puede dar lugar a necrosis del colon, lo que puede causar una complicación abdominal severa.
Otra complicación frecuente en pacientes con pancreatitis aguda grave es la trombosis venosa portoesplénica, que afecta a los vasos sanguíneos que drenan la sangre desde el bazo y los intestinos hacia el hígado. Esta trombosis es más común en casos de pancreatitis necrosante, donde la inflamación y la necrosis pancreática pueden comprometer la circulación sanguínea en la región abdominal. Aunque la trombosis venosa portoesplénica es común en estos pacientes, rara vez conduce a complicaciones graves.
Otras complicaciones locales asociadas con la pancreatitis aguda incluyen el síndrome de compartimento abdominal, una condición en la que se produce una presión intraabdominal elevada debido a la inflamación y el edema, lo que puede afectar la función de los órganos vitales. También puede haber isquemia intestinal, que ocurre cuando la inflamación o la necrosis pancreática comprometen el suministro sanguíneo a los intestinos, y obstrucción de la salida gástrica, que impide el vaciamiento adecuado del estómago hacia el intestino.
Finalmente, aunque la pancreatitis aguda en sí misma es una condición grave, aproximadamente el 10% de los pacientes desarrollan pancreatitis crónica como resultado de múltiples episodios de pancreatitis aguda. En estos casos, el daño recurrente al páncreas puede llevar a una pérdida permanente de la función pancreática exocrina, lo que se traduce en insuficiencia pancreática exocrina. Esta insuficiencia se caracteriza por una deficiencia en la producción de enzimas digestivas, lo que puede causar problemas de absorción y malnutrición. Asimismo, el daño al páncreas en casos recurrentes de pancreatitis puede dar lugar a diabetes mellitus, una complicación que resulta de la destrucción de las células productoras de insulina en el páncreas. Sin embargo, se ha sugerido que el uso de estatinas podría reducir el riesgo de desarrollar diabetes en pacientes con antecedentes de pancreatitis aguda, aunque este aspecto sigue siendo objeto de investigación.

Fuente y lecturas recomendadas:
- Buxbaum JL et al. American Society for Gastrointestinal Endoscopy guideline on post-ERCP pancreatitis prevention strategies: summary and recommendations. Gastrointest Endosc. 2023;97:153. [PMID: 36517310]
- Chaudhry H et al. Does use of long-term aspirin impact outcomes in patients with acute pancreatitis? Eur J Gastroenterol Hepatol. 2023;35:721. [PMID: 37272503]
- Czapári D et al. Detailed characteristics of post-discharge mortality in acute pancreatitis. Gastroenterology. 2023;165:682. [PMID: 37247642]
- de-Madaria E et al. Aggressive or moderate fluid resuscitation in acute pancreatitis. N Engl J Med. 2022;387:989. [PMID: 36103415]
- Di Martino M et al. Timing of cholecystectomy after moderate and severe acute biliary pancreatitis. JAMA Surg. 2023;158:e233660. [PMID: 37610760]
- Thiruvengadam NR et al. Association of statin usage and the development of diabetes mellitus after acute pancreatitis. Clin Gastroenterol Hepatol. 2023;21:1214. [PMID: 35750248]

