Panadizo herpético

¿Qué es el Panadizo herpético?

El panadizo herpético es una infección digital causada por el virus del herpes simple (HSV). Esta infección puede manifestarse como una complicación del herpes primario, ya sea en la región…
trastornos mieloproliferativos

¿Qué son los trastornos mieloproliferativos?

Los trastornos mieloproliferativos son un grupo heterogéneo de enfermedades hematológicas caracterizadas por la proliferación anómala de células sanguíneas derivadas de una única célula madre hematopoyética clonada. Estas anomalías adquiridas en…
¿Qué es el plasma?

¿Qué es el plasma?

El plasma es la fracción no celular de la sangre y desempeña un papel fundamental en el transporte de sustancias y en el mantenimiento del equilibrio químico del organismo. Se…
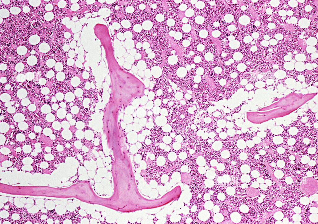
¿Cómo esta vascularizada la médula ósea?

¿Cómo esta vascularizada la médula ósea?

La médula ósea es un tejido metabólicamente activo que requiere un suministro constante de oxígeno y nutrientes para mantener sus funciones vitales. La red de vasos sanguíneos que la atraviesa…
Intoxicación por anticolinérgicos

Intoxicación por anticolinérgicos

La intoxicación por atropina y otras sustancias con propiedades anticolinérgicas, como la escopolamina, los alcaloides presentes en plantas como Atropa belladonna, Datura stramonium y Hyoscyamus niger, así como ciertos hongos…
5 malos hábitos que dañan la memoria

5 malos hábitos que dañan la memoria

Los malos hábitos que pueden tener un impacto negativo en la memoria. La memoria es un proceso fundamental en nuestras vidas, ya que nos permite recordar información, experiencias y aprendizajes.…