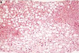
Características histológicas de la hepatitis alcohólica
Características histológicas de la hepatitis alcohólica

Características histológicas de la hepatitis alcohólica

La hepatitis alcohólica es una forma específica de daño hepático causado por el consumo excesivo y crónico de alcohol. Se caracteriza por una serie de cambios histológicos en los hepatocitos y en la estructura del hígado, que se pueden observar mediante un examen microscópico del tejido hepático.

Las principales características histológicas de la hepatitis alcohólica son las siguientes:

  • Degeneración globosa de los hepatocitos: Los hepatocitos, que son las células principales del hígado, presentan una acumulación de grasa en su interior, lo que se conoce como degeneración globosa. Esta acumulación de grasa es un rasgo distintivo de la hepatitis alcohólica y puede ser observable bajo el microscopio.
  • Necrosis irregular: Se puede observar la presencia de áreas de necrosis en el tejido hepático. La necrosis es la muerte de células y tejidos, y en la hepatitis alcohólica, esta necrosis ocurre de manera irregular, afectando diferentes zonas del hígado.
  • Infiltrado polimorfo nuclear: En la hepatitis alcohólica, hay una infiltración de células inflamatorias en el tejido hepático. Este infiltrado polimorfo nuclear está compuesto por diferentes tipos de células inmunitarias, como linfocitos, neutrófilos y macrófagos, que se congregan en el área dañada para responder a la lesión hepática.
  • Fibrosis en el espacio perivenular y perisinusoidal de Disse: La fibrosis es la formación de tejido cicatricial en respuesta a la lesión hepática crónica. En la hepatitis alcohólica, se observa fibrosis en las áreas cercanas a los espacios perivenulares y perisinusoidales de Disse, que son regiones específicas del hígado donde se encuentran las células estrelladas y el espacio de Disse, que son importantes en el mantenimiento del equilibrio hepático.
  • Cuerpos de Mallory-Denk: En casos avanzados de hepatitis alcohólica, es posible encontrar estructuras conocidas como cuerpos de Mallory-Denk. Estos son agregados anormales de proteínas que se forman en el interior de los hepatocitos. Aunque se pueden observar en la hepatitis alcohólica, no son específicos ni necesarios para establecer el diagnóstico, ya que también pueden encontrarse en otras enfermedades hepáticas.

Es importante destacar que la presencia de cuerpos de Mallory-Denk no siempre se correlaciona con la gravedad de la hepatitis alcohólica, y su ausencia no excluye el diagnóstico de la enfermedad. El diagnóstico definitivo de hepatitis alcohólica se basa en una combinación de hallazgos clínicos, antecedentes de consumo de alcohol y los resultados de los estudios histológicos del tejido hepático. El tratamiento oportuno y la abstinencia del alcohol son fundamentales para prevenir complicaciones y mejorar el pronóstico en pacientes con hepatitis alcohólica.

 

Homo medicus

 


 

Guías de estudio. Homo medicus.
Guías de estudio. Homo medicus.

 

 

 

Síguenos en X: @el_homomedicus  y @enarm_intensivo  Síguenos en instagram: homomedicus  y en Treads.net como: Homomedicus  

🟥     🟪     🟨     🟧     🟩     🟦

Aprende administración paso a paso

Administración Desde Cero

ADMINISTRACION DESDE CERO

¿De cuánta utilidad te ha parecido este contenido?

¡Haz clic en una estrella para puntuarlo!

Promedio de puntuación 0 / 5. Recuento de votos: 0

Hasta ahora, ¡no hay votos!. Sé el primero en puntuar este contenido.

Ya que has encontrado útil este contenido...

¡Sígueme en los medios sociales!

Si te fue útil este resumen, compártelo por favor!