Identificación de la anatomía pulmonar normal en la radiografía frontal de tórax
Identificación de la anatomía pulmonar normal en la radiografía frontal de tórax

Identificación de la anatomía pulmonar normal en la radiografía frontal de tórax

El reconocimiento preciso de la anatomía pulmonar normal en la radiografía frontal de tórax constituye el fundamento indispensable para toda interpretación radiológica rigurosa. Antes de identificar la enfermedad, el observador debe haber interiorizado profundamente la morfología, la disposición espacial y el comportamiento radiográfico de las estructuras normales. Solo a partir de este conocimiento es posible distinguir variaciones fisiológicas de verdaderas alteraciones patológicas.

La radiografía frontal de tórax es una representación bidimensional de estructuras tridimensionales superpuestas. Esta característica implica que múltiples tejidos de diferente densidad se proyectan en un mismo plano, generando una imagen compleja cuya correcta interpretación exige comprender tanto la anatomía como los principios físicos de la formación de la imagen radiográfica. La capacidad para diferenciar lo normal de lo anómalo no depende únicamente de la agudeza visual, sino del conocimiento anatómico previamente consolidado.

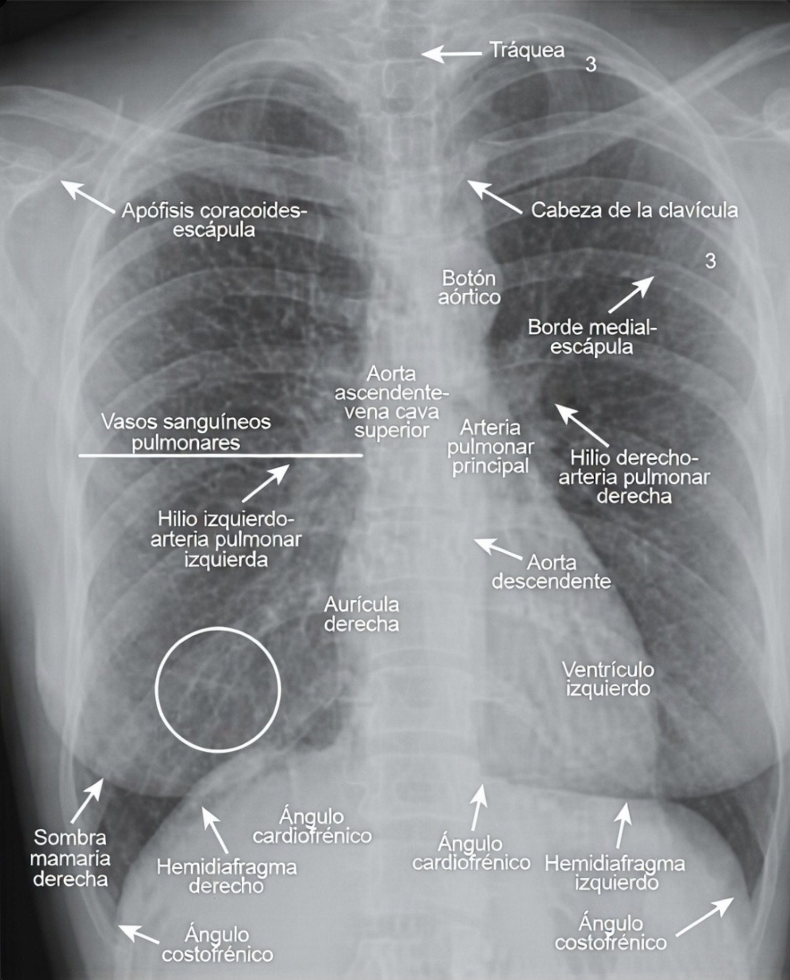
En una radiografía frontal correctamente realizada, la columna vertebral torácica debe visualizarse tenuemente a través de la silueta cardiaca, lo cual indica una penetración radiográfica adecuada. Los ángulos costofrénicos laterales derecho e izquierdo deben observarse agudos y bien definidos, reflejando la ausencia de líquido o engrosamiento pleural significativo.

Un rasgo anatómico importante es que el hilio pulmonar izquierdo suele situarse ligeramente más alto que el derecho. Esta diferencia obedece a la disposición anatómica de las arterias pulmonares y a la relación con el corazón y el arco aórtico. Reconocer esta asimetría como una característica normal evita interpretaciones erróneas.

Asimismo, en el hemitórax derecho suele identificarse la cisura menor u horizontal, que separa el lóbulo superior del lóbulo medio del pulmón derecho. En el pulmón izquierdo no existe cisura menor, ya que este órgano está dividido únicamente en dos lóbulos por la cisura mayor u oblicua. La visualización de estas cisuras es un fenómeno óptico derivado del pliegue de la pleura visceral.

La identificación de las costillas también requiere precisión. Las porciones posteriores de las costillas se observan más horizontales y densas, mientras que las porciones anteriores adoptan una orientación descendente hacia el esternón. Diferenciar ambas evita errores al contar espacios intercostales o valorar el grado de inspiración.

 


Trama pulmonar

La mayor parte de las opacidades lineales visibles dentro de los campos pulmonares corresponde a vasos sanguíneos. Estas estructuras se originan en los hilios y se distribuyen hacia la periferia siguiendo un patrón ramificado. A medida que se alejan del centro, disminuyen progresivamente de calibre.

En condiciones normales, no es posible distinguir con exactitud las arterias pulmonares de las venas pulmonares en la radiografía convencional, debido a que ambas presentan densidades y trayectorias similares. Sin embargo, el patrón general de arborización y adelgazamiento progresivo constituye un elemento esencial para reconocer la normalidad.

La ausencia de reducción gradual del calibre o la presencia de vasos excesivamente prominentes en determinadas regiones puede indicar alteraciones hemodinámicas. Por ello, la comprensión del patrón vascular normal es indispensable para identificar cambios patológicos.

Los bronquios contienen aire y poseen paredes finas. Al estar rodeados también por aire alveolar, no generan contraste suficiente para ser visualizados claramente en la radiografía convencional. Esta invisibilidad relativa es un signo de normalidad.

Cuando los bronquios se hacen visibles de manera evidente, suele deberse a engrosamiento de sus paredes o a la presencia de material en su interior, situaciones que incrementan el contraste con el parénquima circundante. Por tanto, comprender que el bronquio normal no destaca radiográficamente permite detectar con mayor sensibilidad las alteraciones bronquiales.

 


Pleura normal y formación de las cisuras

La pleura está constituida por dos capas: la pleura parietal, que recubre la pared torácica, y la pleura visceral, que recubre directamente la superficie pulmonar. Entre ambas existe un espacio pleural virtual que contiene solo una pequeña cantidad de líquido fisiológico, suficiente para facilitar el deslizamiento pulmonar durante la respiración.

En condiciones normales, ni la pleura parietal ni la pleura visceral son visibles en la radiografía torácica convencional. Solo pueden identificarse cuando la pleura visceral se pliega sobre sí misma formando las cisuras interlobares. Incluso en estos casos, su grosor suele ser mínimo, comparable al trazo fino de un lápiz bien afilado.

La presencia de aire en el espacio pleural o el aumento de líquido alteran este equilibrio fisiológico y modifican la apariencia radiográfica, lo que subraya nuevamente la importancia de conocer la configuración normal.

 


Distribución fisiológica de la vasculatura pulmonar

En el individuo en bipedestación, la gravedad influye de manera significativa en la distribución del flujo sanguíneo pulmonar. Las bases pulmonares reciben mayor perfusión que los ápices. En consecuencia, los vasos de las regiones basales suelen tener mayor calibre que los vasos apicales.

Este gradiente es un fenómeno fisiológico. La inversión de este patrón, con vasos apicales prominentes, puede indicar alteraciones en la presión o en el flujo sanguíneo pulmonar. Por tanto, la evaluación comparativa entre ápices y bases constituye un componente esencial del análisis sistemático.

Además, la arborización vascular debe mostrar una transición progresiva y armoniosa desde los hilios hacia la periferia. La interrupción brusca de este patrón o la desaparición anómala de vasos puede sugerir procesos obstructivos o destructivos.

Identificación de la anatomía pulmonar normal en la radiografía frontal de tórax
Identificación de la anatomía pulmonar normal en la radiografía frontal de tórax

 


Métodos de evaluación sistemática

Los radiólogos adoptan distintos enfoques para analizar una radiografía torácica. Algunos prefieren un método centrífugo, comenzando por las estructuras externas y avanzando hacia el interior; otros emplean un recorrido inverso o una secuencia cráneo-caudal. También existen sistemas basados en reglas mnemotécnicas.

Sin embargo, lo verdaderamente relevante no es el orden específico, sino la exhaustividad. Cualquier método es válido si garantiza que todas las estructuras visibles sean examinadas sin omisiones. La sistematicidad reduce el riesgo de pasar por alto hallazgos sutiles.

Con la experiencia, muchos especialistas desarrollan una percepción global inmediata de la imagen. Esta impresión inicial, de carácter gestáltico, surge de la comparación inconsciente con múltiples patrones normales previamente almacenados en la memoria visual.

Si la impresión global coincide con la expectativa de normalidad, el estudio suele confirmarse mediante una revisión sistemática. Si, por el contrario, la imagen genera discordancia, el análisis detallado se intensifica. Esta combinación de intuición experta y método estructurado constituye una estrategia eficaz.

Existe un principio fundamental en radiología que sostiene que solo se identifica aquello que se busca, y solo se busca aquello que se conoce. La percepción no es un acto pasivo; está condicionada por el conocimiento previo.

Si el observador desconoce la morfología normal de una estructura, difícilmente podrá reconocer su alteración. En cambio, cuando la anatomía normal está firmemente integrada en la memoria conceptual y visual, cualquier desviación se hace evidente.

Por ello, el aprendizaje profundo de la anatomía pulmonar normal en la radiografía frontal no es un objetivo accesorio, sino la base sobre la cual se edifica toda competencia diagnóstica. La familiaridad con los patrones normales genera seguridad interpretativa, reduce errores y permite diferenciar con claridad lo fisiológico de lo patológico.

Homo medicus

 


 

Guías de estudio. Homo medicus.
Guías de estudio. Homo medicus.

¡Gracias por visitarnos!

Fuente y lecturas recomendadas:
  1. Herring, W. (2024). Radiología básica: Aspectos fundamentales (5.ª ed.). Elsevier España.
  2. Bushong, S. C. (2022). Manual de radiología para técnicos: Física, biología y protección radiológica (12.ª ed.). Elsevier.
  3. Formación en Radiología (FORA), Del Cura Rodríguez, J. L., Aquerreta Beola, J. D., Sendra Portero, F., & Carreira Villamor, J. (2021). Radiología básica: Método programado para el aprendizaje. Editorial Médica Panamericana.
Síguenos en X: @el_homomedicus  y @enarm_intensivo  Síguenos en instagram: homomedicus  y en Treads.net como: Homomedicus  

🟥     🟪     🟨     🟧     🟩     🟦

Aprende administración paso a paso

Administración Desde Cero

ADMINISTRACION DESDE CERO

¿De cuánta utilidad te ha parecido este contenido?

¡Haz clic en una estrella para puntuarlo!

Promedio de puntuación 0 / 5. Recuento de votos: 0

Hasta ahora, ¡no hay votos!. Sé el primero en puntuar este contenido.

Ya que has encontrado útil este contenido...

¡Sígueme en los medios sociales!

Si te fue útil este resumen, compártelo por favor!