La hipertensión intracraneal idiopática, también conocida como pseudotumor cerebri, puede ser causada por una variedad de factores. Una de las causas más relevantes es la trombosis del seno venoso transverso, que puede ocurrir como complicación de otitis media o mastoiditis crónica. Esta condición puede generar una clínica similar a la hipertensión intracraneal idiopática. Otra causa posible es la trombosis del seno sagital, que también puede presentar una imagen clínica semejante.
Existen otras afecciones que pueden desencadenar este trastorno, entre las cuales se incluyen enfermedades pulmonares crónicas, el lupus eritematoso sistémico (SLE, por sus siglas en inglés), la uremia, y trastornos endocrinos tales como el hipoparatiroidismo, el hipotiroidismo o la enfermedad de Addison. Además, la toxicidad por vitamina A, el uso de tetraciclinas y de anticonceptivos orales también se han identificado como factores asociados. En algunos casos, la hipertensión intracraneal idiopática se ha presentado tras la retirada de corticosteroides luego de un uso prolongado.
Sin embargo, en la mayoría de los casos, no se puede identificar una causa específica para el trastorno, el cual tiende a remitir de forma espontánea después de varios meses. La variante idiopática de esta afección es más frecuente entre mujeres con sobrepeso, particularmente aquellas que se encuentran en el rango de edad de 20 a 44 años.
En todos los casos, es fundamental realizar un proceso de diagnóstico que incluya un examen para detectar la presencia de lesiones espaciales en el cerebro, ya que es crucial descartar otras patologías que puedan simular o contribuir a la hipertensión intracraneal.
Manifestaciones clínicas
Los síntomas de la hipertensión intracraneal idiopática son diversos, pero los más característicos incluyen dolor de cabeza, diplopía y otros trastornos visuales, los cuales son consecuencia del edema de papila y la disfunción del nervio abducens. El dolor de cabeza, generalmente intenso y difuso, es el síntoma principal y a menudo se agrava con la maniobra de Valsalva o al cambiar de posición rápidamente. La diplopía, o visión doble, se produce debido a la parálisis del músculo recto lateral, que es inervado por el nervio abducens, lo que resulta en una alteración en el movimiento ocular y la capacidad para alinear correctamente los ojos. Además, los pacientes pueden experimentar otros síntomas visuales relacionados con la compresión de las fibras nerviosas que pasan por el nervio óptico.
Uno de los hallazgos clínicos importantes es el papiledema, que es una hinchazón del disco óptico causada por la presión intracraneal elevada. Este signo es indicativo de la presencia de hipertensión intracraneal y puede progresar a medida que la presión continúa siendo elevada. Junto con el papiledema, se observa una ampliación de los puntos ciegos en el campo visual, lo cual se debe a la alteración en la transmisión de señales visuales a través del nervio óptico afectado.
Además, los pacientes con hipertensión intracraneal idiopática pueden presentar tinnitus sincrónico con el pulso, una condición en la que se escucha un sonido similar a un zumbido o pitido que coincide con el ritmo del latido del corazón. Este síntoma, aunque menos frecuente, es una manifestación de la presión aumentada dentro del cráneo, que afecta la circulación sanguínea dentro del oído interno o estructuras cercanas.
A pesar de estos síntomas visuales y auditivos, en general, los pacientes con hipertensión intracraneal idiopática suelen mantener un buen estado general de salud. En la exploración física, se puede observar el papiledema y la expansión de los puntos ciegos en la evaluación del campo visual, pero, fuera de estos signos, el resto del examen físico habitualmente no revela alteraciones evidentes. Esto puede llevar a una presentación clínica engañosa, en la que el paciente parece estar relativamente bien, a pesar de los hallazgos neurológicos subyacentes. Es por ello que el diagnóstico temprano y una evaluación exhaustiva son cruciales para evitar complicaciones mayores.
Exámenes diagnósticos
Las investigaciones diagnósticas en pacientes con hipertensión intracraneal idiopática suelen revelar la ausencia de lesiones ocupantes de espacio, lo que implica que no hay masas tumorales ni otras formaciones patológicas dentro del cráneo que compriman el cerebro. El uso de técnicas de imagen como la tomografía computarizada o la resonancia magnética puede mostrar ventrículos cerebrales de tamaño normal o ligeramente reducidos, lo que indica que no hay una expansión significativa del sistema ventricular que sugiera hidrocefalia. En algunos casos, también se observa una silla turca vacía, un hallazgo que refleja la compresión o desaparición de la glándula pituitaria, a menudo asociada con el aumento de la presión intracraneal.
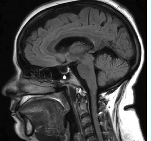
Otro hallazgo característico es la tortuosidad de los nervios ópticos, que se puede observar tanto en la resonancia magnética como en la tomografía computarizada. Esta tortuosidad, junto con la distensión de la vaina del nervio óptico, sugiere que la presión aumentada está afectando la estructura del nervio óptico, lo que contribuye al papiledema y a los trastornos visuales. Además, el aplanamiento del polo posterior del globo ocular es otro signo de hipertensión intracraneal, en el que la presión intracraneal elevada provoca una alteración en la forma del ojo, lo que puede influir en la visión del paciente.
Para evaluar la posible presencia de trombosis de los senos venosos intracraneales, se emplea la venografía por resonancia magnética, una herramienta esencial en el diagnóstico diferencial de la hipertensión intracraneal idiopática. En algunos casos, esta técnica revela estenosis de uno o más de los senos venosos, lo que puede contribuir a la elevación de la presión intracraneal, dado que el flujo venoso alterado puede generar congestión en el sistema venoso cerebral.
La punción lumbar es necesaria para confirmar la presencia de hipertensión intracraneal, ya que permite medir la presión del líquido cefalorraquídeo (LCR). Sin embargo, en la hipertensión intracraneal idiopática, el LCR generalmente presenta una apariencia normal, sin anomalías en su composición, lo que diferencia este trastorno de otras condiciones que también pueden causar un aumento en la presión intracraneal.
Los estudios de laboratorio desempeñan un papel crucial en el proceso diagnóstico, ya que ayudan a excluir otras causas que podrían generar síntomas similares. Estos estudios son fundamentales para descartar trastornos metabólicos, endocrinos o infecciosos, tales como enfermedades autoinmunes, alteraciones hormonales o infecciones, que también pueden provocar una elevación de la presión intracraneal y que requieren un enfoque terapéutico diferente. Así, un enfoque diagnóstico completo, que combine técnicas de imagen, análisis del LCR y pruebas de laboratorio, es esencial para llegar a un diagnóstico adecuado y garantizar un tratamiento apropiado para los pacientes con hipertensión intracraneal idiopática.
Tratamiento
Si la hipertensión intracraneal no se trata adecuadamente, puede conducir a la atrofia óptica secundaria y a la pérdida visual permanente. La presión intracraneal elevada afecta negativamente la función del nervio óptico, y si no se controla, la falta de riego adecuado a través del nervio óptico puede generar daño irreversible, resultando en una pérdida de visión que no se puede recuperar. Por esta razón, es crucial intervenir de manera temprana para reducir la presión intracraneal y evitar complicaciones a largo plazo.
Tratamiento médico
El tratamiento farmacológico más utilizado para reducir la presión intracraneal es el acetazolamida, un inhibidor de la anhidrasa carbónica que disminuye la producción de líquido cefalorraquídeo. La dosis inicial típica de acetazolamida es de 250 a 500 mg tres veces al día, aumentando gradualmente hasta una dosis de mantenimiento de hasta 4000 mg diarios, divididos en dos o más tomas a lo largo del día. Este medicamento es eficaz para reducir la presión intracraneal, pero es importante ajustar la dosis de manera cuidadosa para evitar efectos adversos.
Similar al acetazolamida, el medicamento antiepiléptico topiramato también actúa como un inhibidor de la anhidrasa carbónica, y se ha demostrado que es eficaz en el tratamiento de la hipertensión intracraneal idiopática, como se evidenció en un estudio abierto. Una ventaja adicional del topiramato es que, además de reducir la presión intracraneal, promueve la pérdida de peso, lo cual puede ser beneficioso en pacientes con sobrepeso, ya que el exceso de peso es un factor de riesgo importante para esta afección.
El furosemida, un diurético de asa, también se puede utilizar como tratamiento adjunto en algunos casos. En dosis de 20 a 40 mg diarios, el furosemida ayuda a reducir la retención de líquidos, lo que a su vez puede contribuir a disminuir la presión intracraneal. Sin embargo, su uso suele ser complementario, ya que otros tratamientos son más eficaces para un alivio sostenido.
En algunos casos, se pueden recetar corticosteroides, como la prednisona en dosis de 60 a 80 mg diarios, para tratar la inflamación asociada con la hipertensión intracraneal. No obstante, su uso es limitado debido a los efectos secundarios, como la ganancia de peso, la supresión del sistema inmunológico y el riesgo de recaída cuando se suspende el tratamiento. Estos efectos secundarios han llevado a los médicos a ser cautelosos en la prescripción de corticosteroides para esta condición.
Tratamiento quirúrgico
La pérdida de peso es un aspecto fundamental en el manejo de la hipertensión intracraneal, especialmente en pacientes con sobrepeso u obesidad. La cirugía bariátrica ha demostrado ser eficaz en la reducción de la presión intracraneal y el peso corporal, como se observó en un ensayo clínico aleatorizado, donde los pacientes que se sometieron a cirugía bariátrica experimentaron una disminución tanto en la presión intracraneal como en su peso en un período de dos años, en comparación con aquellos que participaron en un programa comunitario de manejo de peso. Este enfoque puede ser considerado en pacientes con un índice de masa corporal (IMC) de 35 o superior, ya que la pérdida de peso puede contribuir significativamente a mejorar los síntomas y prevenir el deterioro de la visión.
En cuanto a medidas más inmediatas, la punción lumbar repetida es un tratamiento temporal eficaz para reducir la presión intracraneal al eliminar el líquido cefalorraquídeo, lo que puede aliviar de forma rápida los síntomas en situaciones de emergencia. Sin embargo, los enfoques farmacológicos a largo plazo son más efectivos para el manejo sostenido de la condición.
Seguimiento
El seguimiento del tratamiento se realiza mediante la monitorización de la agudeza visual y los campos visuales, así como la inspección del fondo de ojo para evaluar la presencia de papiledema o cualquier otro signo de daño óptico. Además, se mide la presión del líquido cefalorraquídeo para asegurarse de que los tratamientos estén funcionando de manera efectiva. Es importante destacar que la enfermedad puede empeorar después de un período de estabilidad, lo que subraya la necesidad de un seguimiento a largo plazo para ajustar el tratamiento según sea necesario y prevenir complicaciones adicionales.
Cuando el tratamiento médico no logra controlar adecuadamente la presión intracraneal, es necesario considerar opciones quirúrgicas para evitar un daño irreversible a la visión y preservar la función neurológica. Una de las intervenciones quirúrgicas más utilizadas en estos casos es la colocación de un derivado lumboperitoneal o ventriculoperitoneal, que son dispositivos que permiten drenar el exceso de líquido cefalorraquídeo hacia una cavidad corporal, como la cavidad peritoneal, para aliviar la presión dentro del cráneo. Estos procedimientos ayudan a restablecer un equilibrio en la producción y reabsorción del líquido cefalorraquídeo, reduciendo de manera efectiva la presión intracraneal y, con ello, el riesgo de daño al nervio óptico y la pérdida de visión.
En algunos casos, si la hipertensión intracraneal está relacionada con una estenosis de los senos venosos durales, la colocación de un stent en los senos venosos se ha convertido en una opción terapéutica cada vez más aceptada. La estenosis de los senos venosos durales implica un estrechamiento de las venas que drenan la sangre desde el cerebro, lo que puede generar un aumento de la presión intracraneal. El stent ayuda a mantener abiertos estos vasos, restaurando el flujo venoso adecuado y reduciendo así la presión intracraneal de manera eficaz. Este enfoque, aunque más reciente, ha demostrado ser una opción prometedora para pacientes con esta complicación.
Además de las intervenciones quirúrgicas mencionadas, es fundamental tratar cualquier causa subyacente específica de la hipertensión intracraneal, ya que la resolución de la causa primaria puede aliviar los síntomas de manera significativa. Por ejemplo, en el caso de alteraciones endocrinas como el hipoparatiroidismo o el hipotiroidismo, se debe iniciar un tratamiento hormonal adecuado para corregir el desequilibrio, lo cual puede contribuir a la normalización de la presión intracraneal.
Asimismo, si la hipertensión intracraneal es causada por medicamentos, como tetraciclinas, anticonceptivos orales o vitamina A, la suspensión de estos agentes es crucial para permitir la resolución de la condición. Estos medicamentos pueden inducir una elevación de la presión intracraneal, y la retirada de ellos generalmente resulta en la mejora de los síntomas. Es importante señalar que cualquier tratamiento farmacológico que esté implicado en la causa de la hipertensión intracraneal debe ser ajustado o interrumpido bajo la supervisión médica.
En los casos en los que la hipertensión intracraneal se relaciona con el uso prolongado de corticosteroides, la interrupción abrupta de estos medicamentos puede ser un factor precipitante de la enfermedad. En tales situaciones, se recomienda reintroducir los corticosteroides de forma gradual, disminuyendo su dosis de manera más controlada para evitar un rebote de la hipertensión intracraneal. Este enfoque permite que el cuerpo se ajuste adecuadamente a la disminución de los medicamentos sin desencadenar un aumento brusco de la presión intracraneal.

Fuente y lecturas recomendadas:
- Kalyvas A et al. A systematic review of surgical treatments of idiopathic intracranial hypertension (IIH). Neurosurg Rev. 2021;44:773. [PMID: 32335853]
- Mollan SP et al. Effectiveness of bariatric surgery vs community weight management intervention for the treatment of idiopathic intracranial hypertension: a randomized controlled trial. JAMA Neurol. 2021;78:678. [PMID: 33900360]

