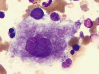
Los megacariocitos, a diferencia de otras células madre progenitoras hematopoyéticas, poseen una característica única en su proceso de división celular. En lugar de llevar a cabo divisiones celulares mitóticas convencionales, optan por un proceso conocido como endomitosis. Esta endomitosis implica la reduplicación del genoma celular sin completar la división celular en dos células hijas independientes.
El resultado de este proceso es que los megacariocitos se convierten en células multinucleadas, es decir, poseen varios núcleos dentro de una misma célula. Esta peculiaridad es esencial para la producción de plaquetas.
La trombopoyetina, una hormona hematopoyética, desempeña un papel crucial en este proceso. Cuando la trombopoyetina se une a su receptor MPL en la superficie de los megacariocitos en desarrollo, activa una serie de señales intracelulares que estimulan la endomitosis y la expansión del núcleo celular sin completar la división celular completa.
Una vez que los megacariocitos han alcanzado un tamaño y complejidad nucleares adecuados gracias a la endomitosis estimulada por la trombopoyetina, pueden iniciar la trombopoyesis. Durante este proceso, los megacariocitos fragmentan su citoplasma en múltiples fragmentos llamados cuerpos de plaquetas o plaquetas precursoras. Estos fragmentos son liberados en la sangre y se convierten en plaquetas maduras. La presencia de múltiples núcleos en los megacariocitos multinucleados permite la producción de numerosas plaquetas a partir de una sola célula madre progenitora.
✳️ La endomitosis estimulada por la trombopoyetina es un proceso fundamental para la formación de megacariocitos multinucleados, lo que, a su vez, permite la producción eficiente de plaquetas durante el proceso de trombopoyesis. Este mecanismo biológico es esencial para mantener un adecuado equilibrio en la cantidad de plaquetas en la sangre y, por lo tanto, para la hemostasia y la coagulación sanguínea en el organismo.


