El derrame pleural aunque raramente es fatal de forma aislada, es con frecuencia un marcador de una condición médica subyacente seria y contribuye a una significativa morbilidad y mortalidad en el paciente.
La evaluación inicial de la etiología del de inicia con una toracocentesis diagnóstica. El derrame pleural es la acumulación anormal de líquido en la cavidad pleural debido a una producción excesiva de éste o a una incapacidad para su depuración.
Datos clínicos
Los signos y síntomas del derrame pleural dependen de la enfermedad subyacente y de la cantidad de líquido contenido en el espacio pleural. La fiebre es un dato clínico que orienta hacia patología infecciosa.
Datos en el examen físico:
-
- disminución de los movimientos respiratorios del lado afectado.
- disminución de vibraciones vocales.
- matidez a la percusión.
- disminución o ausencia de los ruidos respiratorios.
De acuerdo a la etiología del derrame pleural se pueden encontrar otros datos clínicos que puedan orientar a un diagnóstico
específico como:
-
-
- fiebre
- pérdida de peso
- hemoptisis
-
En niños, la tos persistente, fiebre > 38ºC, disnea y dolor torácico son datos clínicos que sugieren neumonía y derrame pleural secundario.
Datos de laboratorio
- Los estudios de laboratorio recomendados para la evaluación inicial y seguimiento del derrame pleural de tipo infeccioso son biometría hemática y proteína C reactiva.
- La proteína C reactiva (PCR) es un marcador sensible para evaluar la progresión de una neumonía.
- La elevación de los leucocitos y de los niveles de PCR en pacientes con neumonía después de 3 días puede indicar progresión a infección pleural.
Datos de imagen
Los estudios de imagen útiles en la evaluación de los pacientes con derrame pleural consisten en:
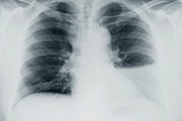
En pacientes con sospecha clínica de derrame pleural se recomienda realizar inicialmente radiografía de tórax (Postero-Anterior y lateral).
- La sensibilidad de la radiografía de tórax para detectar derrame pleural es 24-100% con especificidad 85-100%
- En casos de derrame pleural mínimo, se solicita una radiografía en posición de decúbito lateral del lado afectado.
- En una radiografía de tórax
- 50 a 75 ml de líquido pleural producen borramiento del ángulo costodiafragmático posterior en la radiografía lateral, (“signo del menisco”).
- 200 ml de líquido pleural producen borramiento de los ángulos cardiofrénico y costodiafragmático.
- La radiografía de tórax lateral puede ayudar a confirmar la presencia de líquido pleural que no se observa en la radiografía postero
anterior. - Los derrames pleurales pequeños pueden detectarse en una radiografía en posición decúbito lateral sobre el lado afectado
Los derrames loculados ocurren con más frecuencia en asociación con condiciones que causan intensa inflamación pleural como el empiema, el hemotórax o la tuberculosis.
- Los derrames pleurales masivos llegan a ocupar todo el hemitórax afectado y desplazan el mediastino hacia el lado opuesto.
El ultrasonido está indicado para:
-
- Ayuda a identificar derrames pleurales pequeños.
- Identificar la localización apropiada para efectuar toracocentesis, biopsia pleural o colocación de sonda y ayuda a evitar el
riesgo de complicaciones. - Identificar loculaciones pleurales.
- Diferenciar entre derrame y engrosamiento pleural.
- La sensibilidad para detección del derrame pleural por ultrasonido es 93% con especificidad 96%.
- La sensibilidad del ultrasonido para diferenciar el derrame pleural maligno del benigno en el adulto es 79% con especificidad 100%.
- Los hallazgos en ultrasonido que sugieren malignidad son:
- El ultrasonido detecta líquido pleural septado con mayor sensibilidad que la tomografía computada.
La tomografía computarizada con contraste es útil para diferenciar una consolidación pulmonar de un derrame pleural.
- La TC permite identificar las colecciones interlobulares, las localizadas en la pleura mediastínica y las de pequeño tamaño paravertebrales.
- La TC puede ser útil para distinguir engrosamientos pleurales benignos de los malignos.
- Los hallazgos en TC que sugieren malignidad en adultos son:
- engrosamiento pleural nodular.
- engrosamiento pleural mediastinal.
- engrosamiento parietal > 10 mm.
- pleural circunferencial.


