- La neumonía es una infección del pulmón o del parénquima pulmonar.
- Puede ser clasificada como neumonía adquirida en la comunidad (NAC) o neumonía adquirida en el hospital.
- Una nueva categoría de neumonía se denomina neumonía asociada a la asistencia sanitaria.
La neumonía adquirida en la comunidad es una infección común y, a menudo, se diagnostica incorrectamente y se trata de manera inapropiada. Puede presentarse como una enfermedad relativamente leve pero una causa de morbilidad y mortalidad considerables.
El 80% de estos casos pueden ser tratados de forma ambulatoria y del 20 al 25% en el ámbito hospitalario. La tasa de mortalidad general de la neumonía adquirida en la comunidad es de alrededor del 1%.
Las tasas de incidencia son mayores en los extremos de la vida.
Etiología
Hay un gran número de patógenos microbianos que se han asociado con neumonía adquirida en la comunidad, en el paciente inmunocompetente. Se han documentado patógenos más nuevos, incluido:
- el hantavirus
- metaneumovirus humano
- coronavirus asociado con el SARS
- el síndrome respiratorio de Oriente Medio
Las cepas adquiridas en la comunidad de Staphylococcus aureus resistente a la meticilina se han convertido en patógenos de neumonía adquirida en la comunidad.
Los patógenos conocidos anteriormente como causantes de neumonía adquirida en la comunidad son:
- S. pneumoniae
- Mycoplasma pneumoniae
- Haemophilus influenzae
- C. pneumoniae
- Virus respiratorios
La reacción en cadena de la polimerasa (PCR) ha permitido la detección de virus en muestras respiratorias
Se han encontrado infecciones mixtas con organismos bacterianos y virales en aproximadamente el 20% de los casos de neumonía adquirida en la comunidad y tienden a asociarse con infecciones más graves que las causadas por una sola bacteria.
Los patógenos virales potenciales son:
- la influenza es el más importante
- el virus sincitial respiratorio
- adenovirus
- parainfluenza
- coronavirus
El virus de la influenza es capaz de causar neumonía por sí solo y es muy grave, sin embargo es frecuente una infección primaria que luego se infecta secundariamente por una bacteria como S. aureus o Streptococcus pneumoniae .
Se pueden observar bacterias anaeróbicas en casos de neumonía por aspiración grave en pacientes con vías respiratorias desprotegidas o gingivitis.
Ls patógenos atípicos como M. pneumoniae y Chlamydophila pneumoniae están adquiriendo mayor importancia, especialmente en adultos jóvenes.
Las infecciones por hongos y protozoos no se observan en el huésped normal con neumonía adquirida en la comunidad, excepto en circunstancias específicas como coccidioidomicosis y criptococosis.
Factores de riesgo
- alcoholismo
- el asma
- la inmunosupresión
- la institucionalización
- la edad mayor de 70 años
- condiciones de vida hacinadas
- el contacto cercano con los niños
Los pacientes con neumonía adquirida en la comunidad de edad avanzada que requieren hospitalización, la tasa de mortalidad global es mayor que la de la población hospitalaria general.
Los factores de riesgo de neumonía neumocócica incluyen:
- demencia
- convulsiones
- enfermedad cerebrovascular
- insuficiencia cardíaca
- alcoholismo
- tabaquismo
- enfermedad pulmonar obstructiva crónica
- infección por VIH.
- bronquiectasias o fibrosis quística.
Fisiopatología
Los macrófagos alveolares residentes y las proteínas tensioactivas A y D actuan como siguiente paso en la defensa si los microorganismos acceden al alveolo.
Los tensioactivos generalmente actúan para reducir la tensión superficial entre dos líquidos o una interfaz líquido-sólido, participan en la inmunidad innata, pueden eliminar células apoptóticas y unirse a estructuras no propias, como bacterias y hongos.
La respuesta inflamatoria explica la mayoría de los signos y síntomas de la neumonía. Si la respuesta de las citocinas proinflamatorias es excesiva, el proceso puede progresar a sepsis, insuficiencia orgánica y posiblemente shock e incluso la muerte. En casos de infección grave, varios mediadores inflamatorios, incluidos IL-1, TNF, IL-8 y factor estimulante de colonias de granulocitos, dan como resultado fiebre y la liberación de neutrófilos y su atracción hacia el pulmón. Puede desarrollarse una fuga alveolo-capilar que ocasiona el llenado de los alvéolos y la hipoxemia . Cuando el cuadro es severo, los cambios secundarios en el volumen pulmonar y la distensibilidad pueden resultar en la muerte del paciente.
Fases de la neumonía
- Inicialmente, hay edema causado por la presencia de un exudado proteico en los alvéolos Fase de hepatización roja causada por la presencia de muchos glóbulos rojos
- Fase de hepatización gris en la cual los glóbulos rojos se lisan o degradan y los neutrófilos y la deposición de fibrina comienzan a dominar.
- Fase de resolución en la que los macrófagos eliminan los desechos y la respuesta inflamatoria disminuye.
Manifestaciones clínicas
La respuesta inflamatoria a la infección es la principal responsable de las manifestaciones de la neumonía.
La enfermedad puede variar en su presentación benigna a fulminante y de leve a fatal en severidad.
- temperatura y frecuencia cardíaca elevadas
- escalofríos
- mialgias y artralgias
- tos que puede variar de no productiva a productiva de esputo purulento y posiblemente teñido de sangre.
- dificultad para respirar
- dolor torácico puede ser secundario a la tos o al compromiso pleurítico.
- síntomas gastrointestinales en forma de náuseas, vómitos o diarrea.
Hallazgos físicos:
- Dependerán del grado de afectación local del parénquima pulmonar y de la presencia o ausencia de derrame, así como del grado de respuesta sistémica a la liberación de citocinas.
- el paciente puede estar enrojecido y / o cianótico
- puede estar usando músculos accesorios de la respiración
- frémito táctil
- datos de consolidación o derrame pleural
- estertores
- roncus
- ruidos respiratorios bronquiales
- roce pleural
Exámenes complementarios
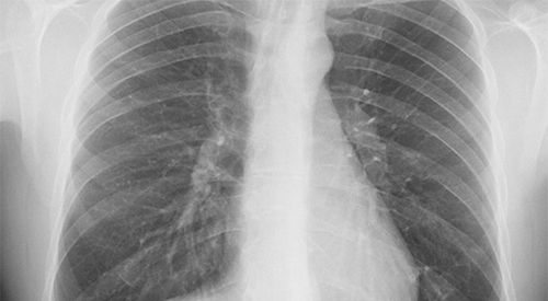
- Radiografía de tórax o tomografía pueden mostrar datos de consolidación o derrame pleural.
- Tinción de Gram y cultivo de esputo y secreciones respiratorias
- Hemocultivos
- Pruebas de antígeno en orina Para los antígenos de neumococo y Legionella pneumophila.
- Reacción en cadena de la polimerasa
- Serología
- Biomarcadores como la procalcitonina y la proteína C reactiva indicativos de inflamación.
No existen reglas estrictas y rápidas sobre el uso de estas diversas pruebas, aunque en general prácticamente ninguna se usaría en pacientes ambulatorios con neumonía adquirida en la comunidad.
Tratamiento
Una vez que se ha realizado un diagnóstico de neumonía adquirida en la comunidad, la extensión y el tipo de investigación, así como el tipo de tratamiento, dependerán del lugar de atención, es decir, como paciente ambulatorio o en el ámbito hospitalario. Las herramientas de predicción disponibles para ayudar con esta decisión son:
- el índice de gravedad de la neumonía (PSI), el cual se desarrolló inicialmente para identificar a los pacientes con neumonía adquirida en la comunidad lo suficientemente bien como para ser tratados de forma ambulatoria. El PSI usa 20 variables y relega a los pacientes a 1 de 5 categorías.
- el CURB-65 es una puntuación real de gravedad de la enfermedad usando solo 5 variables y clasificando a los pacientes en 1 de 3 categorías. La combinación del CURB-65 con la medición de un biomarcador puede mejorar el poder discriminatorio del CURB-65.
Tratamiento con antibióticos
El médico generalmente no sabe con certeza cuál es el patógeno etiológico cuando se inicia el tratamiento.
El tratamiento debe iniciarse lo antes posible
En caso de que se identifique un patógeno y se disponga de datos de susceptibilidad, se debe considerar la posibilidad de reducir o simplificar la terapia antimicrobiana a un régimen más específico.
Si existe la posibilidad de staphylococcus aureus resistente, entonces se puede usar vancomicina o linezolid.
La duración del tratamiento para los casos sin complicaciones suele ser de 5 a 7 días
En casos de bacteriemia documentada con patógenos como S. aureus o P. aeruginosa , el tratamiento debe administrarse durante un máximo de 4 o 2semanas, respectivamente .
Si se sospecha que la influenza es un patógeno o copatógeno, entonces se debe administrar tratamiento antiviral a las pacientes. El tratamiento con un inhibidor de la neuraminidasa, como zanamivir u oseltamivir, debe iniciarse lo antes posible y administrarse durante 5 días.
La resistencia a los antimicrobianos ciertamente no es un problema nuevo. En todo caso, sigue amenazando la utilidad de los medicamentos disponibles y la necesidad de minimizar la resistencia es uno de los mejores argumentos para programas eficaces de administración de antibióticos.
El problema de la resistencia debe considerarse desde el punto de vista tanto del patógeno como de los fármacos. En casos causados por S. pneumoniae , atípicos como M. pneumoniae , y S. aureus y así como ciertos bacilos gramnegativos. Las clases de fármacos habituales que se utilizan para la neumonia adquirida en la comunidad incluyen los β-lactámicos, los macrólidos, las fluoroquinolonas y la tetraciclina
Los bacilos gramnegativos que incluyen P. aeruginosa que causan neumonia adquirida en la comunidad pueden tratarse con una variedad de fármacos que incluyen cefalosporinas de tercera generación y penicilinas antipseudomonas, carbapenémicos y fluoroquinolonas.
Pronóstico
Varios factores determinan el pronóstico de la neumonía adquirida en la comunidad, incluida la edad y el estado general de salud del paciente, y si el tratamiento se administra de forma ambulatoria o hospitalaria.
Prevención
Afortunadamente, hay dos vacunas disponibles (influenza y neumococo) para ayudar con el problema de la neumonía adquirida en la comunidad.
En general, las vacunas antineumocócicas conjugadas han tenido un efecto positivo mediado en parte por la inmunidad colectiva y han disminuido la enfermedad neumocócica debido a los serotipos de la vacuna en niños mayores y adultos.


