¿Cómo se clasifican los epitelios?
¿Cómo se clasifican los epitelios?

¿Cómo se clasifican los epitelios?

La clasificación tradicional de los epitelios es descriptiva y tiene su fundamento en dos factores:

  1. la cantidad de estratos celulares
  2. la forma de las células superficiales.

La terminología, por consiguiente, refleja sólo la estructura y no la función. Así el epitelio se describe como:

  • simple, cuando tiene un solo estrato celular de espesor
  • estratificado cuando posee dos o más estratos celulares

Las células individuales que componen un epitelio pueden ser:

  • planas o escamosas, cuando el ancho de las células es mayor que su altura.
  • cúbicas, cuando el ancho, la profundidad y la altura son aproximadamente iguales.
  • cilíndricas, cuando la altura de las células excede apreciablemente el ancho.
    • cilíndrico bajo cuando la altura de la célula apenas excede las otras dimensiones.

Se debe tomar en cuenta lo siguiente al clasificar:

  • Al describir la cantidad de estratos celulares y el aspecto morfológico de las células superficiales, resulta sencillo clasificar las diversas configuraciones del tejido epitelial.
  • Las células en algunas glándulas exocrinas son más o menos piramidales y sus regiones apicales están orientadas hacia la luz. Sin embargo, se clasifican en cúbicas o cilíndricas, según su altura en relación con el ancho en la base celular.
  • En un epitelio estratificado, la forma y la altura de las células suelen variar de un estrato a otro, pero sólo la forma de las células que integran el estrato más superficial sirve para la clasificación del epitelio.
  • En algunos casos, un tercer factor (la especialización de la región apical de la superficie celular) puede añadirse a este sistema de clasificación.
    • epitelios simples cilíndricos se clasifican en simples cilíndricos ciliados cuando la región celular apical contiene cilios.
    • epitelio estratificado plano en el cual las células más superficiales pueden estar queratinizadas o no queratinizadas.

 

Categorías especiales de epitelios

Existen dos categorías especiales del epitelio:

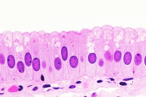
  • el epitelio seudoestratificado: aparece con aspecto estratificado, aunque no todas las células alcanzan la superficie libre, todas sí se apoyan sobre la membrana basal. En realidad es un epitelio simple.
  • el epitelio de transición: es un término aplicado al epitelio que reviste las vías urinarias inferiores y se extiende desde los cálices menores del riñón hasta el segmento proximal de la uretra

 

Nombres específicos de ciertos enpitelios

En ciertos sitios los epitelios reciben nombres específicos:

  • Endotelio es el epitelio que recubre los vasos sanguíneos y linfáticos.
  • Endocardio es el epitelio que tapiza los ventrículos y aurículas del corazón.
  • Mesotelio es el epitelio que tapiza las paredes y el contenido de las cavidades cerradas del cuerpo (las cavidades abdominal, pericárdica y pleural).
  • Urotelio es el epitelio transicional que recubre las superficies de cálices, pelvis y uréter hasta su entrada en vejiga.

 

Funciones

Un epitelio dado puede tener una o más funciones, según la actividad de los tipos celulares que contenga:

  • secreción, como en el epitelio cilíndrico del estómago y las glándulas gástricas.
  • absorción, como en el epitelio cilíndrico de los intestinos y los túbulos contorneados proximales del riñón.
  • transporte, como en el transporte de materiales o células sobre la superficie de un epitelio por el movimiento ciliar (transporte de partículas de polvo en el árbol bronquial) o el transporte de materiales a través de un epitelio (pinocitosis o endocitosis) hacia o desde el tejido conjuntivo.
  • protección mecánica, como en el epitelio estratificado plano de la piel (epidermis) y el epitelio de transición de
    la vejiga urinaria y
  • función receptora, para recibir y transducir estímulos externos, como en los corpúsculos gustativos de la lengua, el epitelio olfatorio de la mucosa nasal y la retina del ojo.
Epitelios
Epitelios

Los epitelios que intervienen en la secreción o absorción son generalmente simples y, en unos pocos casos, seudoestratificados. La altura de las células con frecuencia es un reflejo del grado de actividad secretora o de absorción.

Los epitelios simples planos son compatibles con un ritmo acelerado de transporte transepitelial.

La estratificación del epitelio suele correlacionarse con la impermeabilidad transepitelial.

Algunos epitelios seudoestratificados, las células basales son las células madre que dan origen a las células funcionales maduras del epitelio, con lo cual se mantiene el recambio celular.

 

 

 

 

Homo medicus

 


 

 

 

Síguenos en X: @el_homomedicus  y @enarm_intensivo  Síguenos en instagram: homomedicus  y en Treads.net como: Homomedicus  

🟥     🟪     🟨     🟧     🟩     🟦

Aprende administración paso a paso

Administración Desde Cero

ADMINISTRACION DESDE CERO

¿De cuánta utilidad te ha parecido este contenido?

¡Haz clic en una estrella para puntuarlo!

Promedio de puntuación 3.7 / 5. Recuento de votos: 3

Hasta ahora, ¡no hay votos!. Sé el primero en puntuar este contenido.

Ya que has encontrado útil este contenido...

¡Sígueme en los medios sociales!

Si te fue útil este resumen, compártelo por favor!