Los carcinomas de células basales (CBC) son una forma común de cáncer de piel que presenta una variabilidad significativa en su presentación clínica y características histológicas. Esta diversidad lleva a la clasificación de los CBC en varios subtipos clínicos e histológicos, los cuales no solo influyen en el comportamiento clínico de la enfermedad, sino también en las opciones de tratamiento.
Subtipos clínicos:
- Superficial: Este subtipo se caracteriza por lesiones que se extienden a lo largo de la superficie de la piel, con un crecimiento lento y progresivo. Suelen aparecer como parches rojos o rosados, a menudo escamosos o con costras. Aunque son generalmente de bajo riesgo y menos invasivos, pueden ser difíciles de tratar debido a su extensión superficial.
- Nodular: Los carcinomas de células basales nodulares son lesiones elevadas que a menudo tienen una apariencia perlada o brillante. Son más propensos a crecer rápidamente y pueden ulcerarse con mayor facilidad que otros subtipos. Aunque son menos comunes que los carcinomas de células basales superficiales, tienen un mayor riesgo de invasión local y pueden requerir un tratamiento más agresivo.
- Pigmentado: Este subtipo se caracteriza por la presencia de pigmentación oscura o variaciones de color en la lesión. Pueden confundirse fácilmente con lesiones benignas como lunares o queratosis seborreicas, lo que puede retrasar el diagnóstico y tratamiento adecuado. La pigmentación puede deberse a la presencia de melanina o a la hemorragia dentro de la lesión.
- Morfeiforme: También conocido como carcinoma basocelular esclerodermiforme, este subtipo se caracteriza por su apariencia cicatricial y su tendencia a infiltrarse profundamente en los tejidos circundantes. Tiene un crecimiento lento pero invasivo, lo que puede dificultar su extirpación completa y aumentar el riesgo de recurrencia.
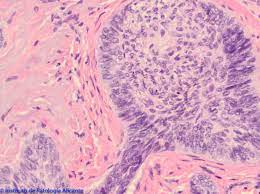
Subtipos histológicos:
- Superficial: En la histología, los CBC superficiales muestran una proliferación de células basales a lo largo de la capa basal de la epidermis. Suelen tener un aspecto más bien plano y pueden mostrar características de diferenciación temprana.
- Nodular: Histológicamente, los CBC nodulares presentan agregados compactos de células basales que invaden la dermis subyacente. A menudo muestran áreas de necrosis y pueden estar asociados con un infiltrado inflamatorio en el estroma circundante.
- Micronodular: Este subtipo histológico se caracteriza por la presencia de nódulos pequeños e irregulares de células basales que se infiltran en la dermis de manera dispersa. Tienen un potencial invasivo significativo y pueden estar asociados con un mayor riesgo de recurrencia y metástasis.
- Infiltrante: Los CBC infiltrantes muestran una invasión profunda en la dermis y tejidos subyacentes, con una ausencia de límites claros entre las células tumorales y el tejido normal circundante. Este subtipo histológico está asociado con un comportamiento más agresivo y un mayor riesgo de metástasis.

La clasificación en subtipos clínicos e histológicos de los carcinomas de células basales es crucial para guiar el manejo clínico y el tratamiento. Los subtipos clínicos proporcionan información sobre la presentación clínica y el comportamiento de la enfermedad, mientras que los subtipos histológicos ofrecen información detallada sobre las características microscópicas del tumor.


