¿Qué es la dermis?
¿Qué es la dermis?

¿Qué es la dermis?

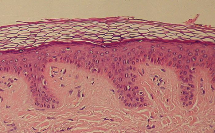
La dermis es un tejido conjuntivo elástico comprimible que brinda soporte y protección a la epidermis, los apéndices dérmicos y los plexos neurovasculares.

Consta de células, moléculas fibrosas y una sustancia fundamental. Se recambia de manera continua, regulada por mecanismos que controlan la síntesis y la degradación de sus componentes proteínicos.

El espesor de la dermis varía de manera considerable con la ubicación anatómica, es mucho más gruesa en el dorso, las palmas de las manos y las plan tas de los pies que en los párpados.

La dermis papilar (superficial) forma proyecciones cónicas hacia arriba (papilas dérmicas) que alternan con las crestas interpapilares y, por lo tanto, aumentan la superficie de contacto entre la dermis y la epidermis y permiten una mejor adhesión entre estas capas.

Contiene varios tipos de células (fibroblastos, dendrocitos dérmicos y mastocitos), vasos y terminaciones nerviosas. Consta de fibras de
colágeno dispuestas en fascículos laxos y fibras elásticas delgadas que se estiran en sentido perpendicular a la unión dermoepidérmica.

En la porción distal de las extremidades, las papilas dérmicas contienen corpúsculos táctiles, terminaciones nerviosas especializadas que funcionan como mecanorreceptores.

La dermis reticular (profunda) consta de haces de colágeno más burdos, que tienden a situarse paralelos a la superficie de la piel. La red elástica también es más gruesa en esta capa. La dermis reticulada contiene la porción profunda de los apéndices cutáneos, así como los plexos vasculares y nerviosos.

 

Homo medicus

 


 

Guías de estudio. Homo medicus.
Guías de estudio. Homo medicus.

 

Fuente:

  • Brunicardi C.F. Schwartz. Principios de cirugía. 11 ed. McGraw Hill. 2020

 

Síguenos en X: @el_homomedicus  y @enarm_intensivo  Síguenos en instagram: homomedicus  y en Treads.net como: Homomedicus  

🟥     🟪     🟨     🟧     🟩     🟦

Aprende administración paso a paso

Administración Desde Cero

ADMINISTRACION DESDE CERO

¿De cuánta utilidad te ha parecido este contenido?

¡Haz clic en una estrella para puntuarlo!

Promedio de puntuación 5 / 5. Recuento de votos: 1

Hasta ahora, ¡no hay votos!. Sé el primero en puntuar este contenido.

Ya que has encontrado útil este contenido...

¡Sígueme en los medios sociales!

Si te fue útil este resumen, compártelo por favor!